LETTER
JOP. J Pancreas (Online) 2010 May 5; 11(3):280-282.
A Large Gastric Duplication (Choristoma) in an Adult Mimicking a Mucinous Cystic Tumor of the Pancreas
Javier A Cienfuegos1, José Luis Hernández-Lizoáin1, Carlos Pastor Idoate1, Gabriel Zozaya1, Álvaro Bueno1, Jesús Javier Sola2
Departments of 1General Surgery and 2Pathology, University Clinic of Navarra. Pamplona, Spain
Summary
Gastric duplication represents a very rare entity in the adult population. Most of the symptoms are due to the presence of ectopic gastric mucosa (30-35% of cases), gastrointestinal bleeding or perforation or neoplasm formation. We report a case of gastric duplication in an adult mimicking a mucinous cystic neoplasm of the pancreas.
Dear Sir,
Gastric duplications represent between 3 and 4% of foregut duplications and are a rare entity in adults [1]. They are predominantly diagnosed in infancy (before age two). Gastric duplication may be tubular or cystic, the cystic form being more frequent. They are usually located in the greater curvature of the stomach, without communication with the gastric lumen and often mimic other disease entities [1]. Ectopic gastric mucosa is observed in 30-35% of the cases, intestinal epithelium in 24% and heterotopic pancreatic tissue in 1% [1, 2]. They sometimes present as pancreatic complications: relapsing pancreatitis, pancreatic pseudocysts, endoluminal bleeding and neoplasia formation [3, 4, 5, 6, 7, 8, 9]. We present a case of gastric duplication (foregut choristoma) in an adult mimicking a mucinous cystic neoplasm of the pancreas. To our knowledge, only one similar case has been reported worldwide.
Case report
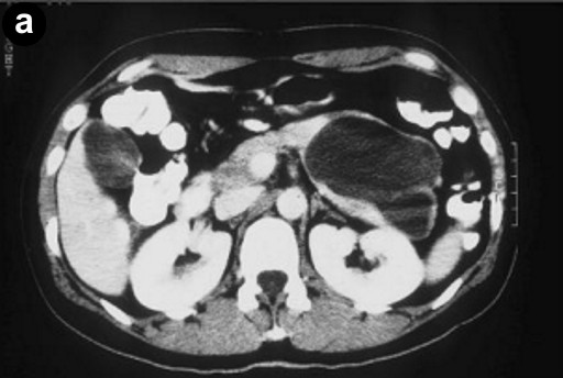
A 38-year-old woman with a previous diagnosis of ileal Crohn’s disease, presented to our institution complaining of epigastric discomfort, bloating, postprandial nausea and 2-3 bowel movements per day. She had no history of pancreatitis and an unremarkable gynecologic history. The patient was further investigated with abdominal ultrasonography and computerized scan tomography (CT) which revealed a large cystic mass (8.5 cm diameter) in the pancreatic tail (displacing the stomach wall) (Figure 1a). Fine needle-aspiration showed a mucinous content with detritus and acellular fluid. The patient underwent a distal pancreatectomy with splenectomy. No communication between the pancreatic mass and the lumen of the stomach was assessed. The postoperative course was uneventful. The patient remains free of symptoms 10 years after the procedure. Pathological study revealed a 9.5 cm diameter cystic mass with a homogeneous wall (Figure 1b). Part of the cyst was lined with gastric mucosa surrounded by a wall of muscularis propria well delineated from the normal pancreas tissue (Figure 2ab). A focal hyperplasia of simple cuboid epithelium and ciliated pseudostratified epithelium was observed (Figure 2cdef). The diagnosis of a gastric duplication cyst (foregut choristoma) of the pancreas was made.


|
Figure 1. a. Axial CT shows cystic tumor in the pancreas tail (8.5 cm diameter). b. Gross appearance of the cystic mass. The circumscribed lesion involves the tail of the pancreas. |
|
|

|
Figure 2. Microscopic aspect of the cyst wall. Some areas are lined by gastric-type mucosa, either oxyntic-type (a.; b.: detail of a.), or antral mucosecretory-type epithelium with mild hyperplasia (c.; d.: detail of c.). Flat ciliated pseudostratified epithelium covering other areas of the inner face of the cyst (e.; f.: detail of e.). (H&E; a., c., e.: 15x; b., d.: 200x; f.: 400x). |
|
|
Discussion
Gastric duplications represent between 3 and 4% of foregut duplications which include the esophagus, stomach, 2nd and 3rd portion of the duodenum and the pancreas [1, 2]. They usually present in infancy as cystic formations with occasional compression symptoms, such as intestinal sub-occlusion, palpable mass, poor weight gain or symptoms secondary to the heterotopic mucosa, such as gastrointestinal bleeding, perforation into the peritoneal cavity or neoplasm formation which is very rare in adults. Some authors have coined the term "choristoma" derived from an ancient Greek word (cw ristv ma), the result of separation in order to recall the embryonic origin of this entity. The case reported showed the clinical and radiological pattern of a mucinous cystic tumor of the pancreas. Due to its size (9.5 cm diameter) and the presence of symptoms, a distal pancreatectomy with splenectomy was carried out. The patient is free of symptoms 10 years after the procedure. We have found four cases of gastric duplications presenting as pancreatic complications in adults: one case of relapsing pancreatitis, two cases of pancreatic pseudocyst and a case of mucinous cystic tumor [3, 5, 6, 7]. Due to the fact that gastric duplication is located in the greater curvature of the stomach, it can present as a pseudocyst or as a cystic tumor of the pancreas. Complete surgical resection is warranted as a tendency of the heterotopic gastric mucosa to become malignant has been described [10]. Table 1 shows the cases reported which present pancreatic complications in children and adults.
|
Table 1. Reported experience of gastric duplication presenting as pancreatic complications. |
||||
|
Author |
Patient |
Age at diagnosis |
Gender |
Clinical presentation |
|
Hoffman, et al., 1987 [7] |
Child |
19 years |
Female |
Relapsing pancreatitis |
|
Lavine, et al., 1989 [8] |
Child |
6 years |
Female |
Relapsing
pancreatitis |
|
Chawla, et al., 1991 [4] |
Child |
20 months |
Female |
GI bleeding |
|
Rao, et al., 1999 [9] |
Child |
8 months |
Male |
GI bleeding |
|
Traverso, et al., 1975 [3] |
Adult |
32 years |
Female |
Relapsing pancreatitis |
|
Glaser, et al., 1998 [6] |
Adult |
59 years |
Female |
Pancreatic pseudocyst. |
|
D’Journo, et al., 2004 [5] |
Adult |
29 years |
Female |
Mucinous cystic tumor |
|
Present case, 2010 |
Adult |
38 years |
Female |
Mucinous cystic tumor |
References
Received March 18th, 2010 - Accepted March 22nd, 2010
Key word Choristoma; Neoplasms, Cystic, Mucinous, and Serous; Pancreas
Conflict of interest The authors have no potential conflict of interest
Correspondence
Javier
A Cienfuegos
Departamento de Cirugía General
Clínica Universidad de Navarra
Av. Pío
XII, n 36
31008 Pamplona
Spain
Phone: +34-948.296.797
Fax: +34-948.296.500
E-mail: fjacien@unav.es
References
1. Ildstad ST, Tollerud DJ, Weiss RG, Ryan DP, McGowan MA, Martin LW. Duplications of the alimentary tract. Clinical characteristics, preferred treatment, and associated malformations. Ann Surg 1988; 208:208:184-9. [PMID 3401062]
2. Puligandla PS, Nguyen LT, St-Vil D, Flageole H, Bensoussan AL, Nguyen VH, Laberge JM. Gastroinginal duplications. J Pediatr Surg 2003; 38:740-4. [PMID 12720184]
3. Traverso LW, Damus PS, Longmine WP Jr. Pancreatitis of unusual origin. Surg Gynecol Obstet 14:383-6. [PMID 1162566]
4. Chawla A, Gadaleta D, Kenigsberg K, Kahn E, Markowitz J. Erosion through the posterior gastric wall by a pancreatic pseudocyst secondary to gastric duplication. J Pediatr Gastroenterol Nutr 1991; 13:115-8. [PMID 1919944]
5. D'Journo XB, Moutardier V, Turrini O, Guiramand J, Lelong B, Pesenti C, et al. Gastric duplication in an adult mimicking mucinous cystoadenoma of the pancreas. J Clin Pathol 2004; 57:1215-8. [PMID 15509688]
6. Glaser C, Kuzinkovas V, Maurer C, Glättli A, Mouton WG, Baer HU. A large duplication cyst of the stomach in an adult presenting as pancreatic pseudocyst. Dig Surg 1998; 15:703-6. [PMID 9845641]
7. Hoffman M, Sugerman HJ, Heuman D, Turner MA, Kisloff B. Gastric duplication cyst communicating with aberrant pancreatic duct: a rare cause of recurrent acute pancreatitis. Surgery 1987; 101:369-72. [PMID 3824165]
8. Lavine JE, Harrison M, Heyman MB. Gastrointestinal duplications causing relapsing pancreatitis in children. Gastroenterology 1989; 97:1556-8. [PMID 2684724]
9. Rao KLN, Sunil I, Pimpalwar A, Vaiphei K, Chowdhary S. Intrapancreatic gastric duplication cyst presenting as lower gastrointestinal bleedings. J Pediatr Surg 2003; 38:243-4. [PMID 12596113]
10. Kuraoka K, Nakayama H, Kagawa T, Ichikawa T, Yasui W. Adenocarcinoma arising from gastric duplication cyst with invasion to the stomach: a case report with literature review. J Clin Pathol 2004; 57:428-31. [PMID 15047751]