CASE REPORT
JOP. J Pancreas (Online) 2010 Mar 5; 11(2):170-172.
Lymphoepithelial Pancreatic Cyst: An Atypical Benign Pancreatic Mass Presenting with a "Cheerios-Like" Appearance
Alessia Matrone1, Maria Russo2, Carmine Mollica1, Domenico Lombardi2, Guido Lombardi2, Simone Maurea1, Massimo Imbriaco1
Departments of 1Radiology and 2Surgical Sciences, Orthopedics, Traumatology and Emergency, University 'Federico II'. Naples, Italy
ABSTRACT
Context Lymphoepithelial cyst of the pancreas is a rare benign lesion which often presents as an incidental radiological finding, but may cause symptoms, such as abdominal pain and nausea. It can occur at any location in the pancreas. The differential diagnosis includes primary splenic cysts, pseudocysts, mucinous cystic neoplasms of the pancreas, left adrenal cysts, duplication cysts and retroperitoneal cysts. Some of these diagnoses can be excluded by MRI; however, for the final diagnosis, fine needle aspiration or surgical resection may be necessary. Case report We report a rare case of a pancreatic lymphoepithelial cyst in an asymptomatic 63-year-old man, discovered in a clinical follow-up for colon cancer. In particular, we describe the unique "cheerios-like" appearance of the lesion which has never before been reported. Conclusion This particular finding could help in the differential diagnosis of this benign lesion from other pancreatic masses.
INTRODUCTION
A lymphoepithelial cyst of the pancreas is a rare benign lesion which was described for the first time in 1987 by Truong et al. [1]. Histologically, the lesion has a complex content consisting of keratinous material and a wall lined with mature squamous epithelium surrounded by dense lymphoid tissue. This benign cyst has been described in the past [2, 3, 4, 5, 6]. We report a case of a lymphoepithelial pancreatic cyst with a "cheerios-like" appearance discovered in an asymptomatic subject in a clinical follow-up for colon cancer, with emphasis on the unique magnetic resonance imaging (MRI) findings. This rare entity and its peculiar imaging characteristics should be considered in the differential diagnosis between this lesion and other benign and malignant pancreatic masses.
CASE REPORT
A 63-year-old man with a previous history of colon cancer, resected 3 years earlier, presented for a routine clinical follow-up. Physical examination and past medical history were unremarkable, except for an appendectomy at the age of 15. The patient had had a history of intermittent and mild left upper quadrant abdominal pain not associated with meals before a resection for colonic cancer; CA 19-9, CEA and amylase were unremarkable. There was no body weight loss or fever, and the patient had no previous history of pancreatitis. An abdominal ultrasound was performed which showed a 7 cm non homogeneous anechoic mass at the level of the pancreatic tail. An MR scan was subsequently obtained which confirmed the presence of a 7x4 cm lesion at the level of the pancreatic tail, close to the splenic hylum. This lesion showed a complex structure with multiple sub-centimeter nodules within it. In particular, the lesion was homogeneously hypointense on the pre-contrast T1-weighted MR images (Figure 1), showing a mild rim of enhancement after intravenous contrast administration while maintaining the hypointensity of the central core constant (Figure 2); on T2-weighted MR images, the pancreatic mass had a "cheerios-like" appearance, showing multiple small nodules with a central hypointensity and peripheral hyperintensity; a fluid-level was also present at the bottom of the lesion (Figures 3 and 4), most likely reflecting the inflammatory changes of the lesion. The patient subsequently underwent a distal pancreatectomy and splenectomy (due to the proximity of the lesion to the splenic hylum). Histological examination demonstrated the benign nature of the lesion consisting of a pancreatic lymphoepithelial cyst. The surface of the cyst was smooth, the lesion was filled with keratinous material and the walls were lined with stratified squamous epithelium which was surrounded by a layer of lymphoid tissue composed of small lymphocytes, plasma cells and germinal centers, without signs of atypia (Figure 5). The periphery was composed of normal pancreatic tissue. The postoperative course was uneventful and the patient was discharged from the hospital 10 days after the surgical intervention.

|
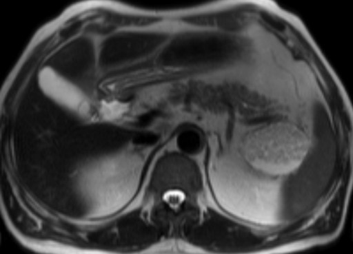
Figure 1. Pre-contrast axial-T1-weighted MR image showing a hypointense mass of 7x4 cm in the pancreatic tail, close to the splenic hylum. |
|
|

|
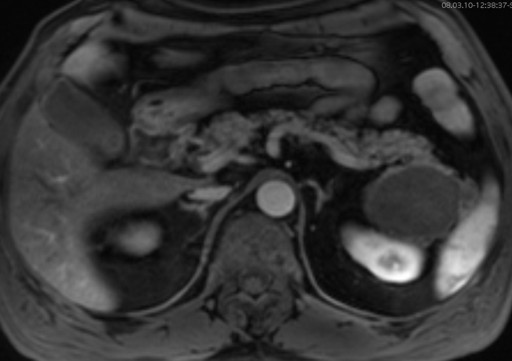
Figure 2. Post-contrast axial-T1-weighted MR image showing a mild rim of enhancement of the pancreatic mass, with constant hypointensity of the central core. |
|
|

|
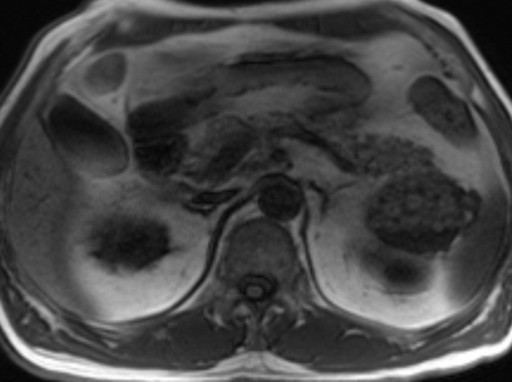
Figure 3. T2-weighted axial MR image showing a complex mass consisting of multiple sub-centimeter nodules, with a "cheerios-like" appearance, showing a central hypointensity with peripheral hyperintensity; a fluid-level is also present at the bottom of the lesion. |
|
|

|
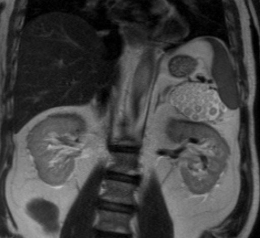
Figure 4. T2-weighted coronal MR image showing a complex mass consisting of multiple sub-centimeter nodules, with a "cheerios-like" appearance, showing a central hypointensity with peripheral hyperintensity. |
|
|

|
Figure 5. Histopathological findings of the cyst: stratified squamous epithelium with adjacent lymphoid infiltrate, without signs of atypia. |
|
|
DISCUSSION
Lymphoepithelial cysts of the pancreas are rare lesions and fewer than 100 cases have been reported in the English literature. The etiology is unclear; it has been hypothesized that these lesions represent enlarged epithelial inclusions in a peripancreatic lymph node which has undergone a squamous metaplasic phenomenon [7]. Other authors have identified these cysts in ectopic pancreatic tissue [8, 9]. Histologically, lymphoid epithelial cysts are lined with squamous epithelium without atypia. The wall of the cyst contains lymphocytes usually accompanied by germinal centers. It has also been hypothesized that these lesions represent benign epithelial inclusions, embedded in the pancreas or branchial cleft cysts fused with the pancreatic remnant during embryogenesis [10].
The most common symptoms are abdominal pain, nausea and vomiting, anorexia and weight loss, but many patients are asymptomatic, coming to the surgeon’s attention as incidental radiological findings. These lesions most often appear in middle-aged men and can occur at any location of the pancreas, becoming as large as 13 cm, and are often multilocular; however, regardless of its histogenesis, a lymphoepithelial cyst of the pancreas can be histologically differentiated from other types of well-established disease, such as congenital cysts, dermoid cysts and heterogeneous cysts.
Previous reports mostly concern the pathological findings, and the descriptions of the imaging characteristics are conflicting [5, 11]. In particular, the CT and US findings vary from a simple cyst to a solid or a hypodense mass [6, 12]. MR findings of this rare pancreatic lesion have rarely been reported in the English literature [2]. Maekawa et al. recently described a rare case of a lymphoid epithelial cyst with an intracystic papillary growth which was positively visualized by positron emission tomography [13]. In particular, differentiating a lymphoepithelial cyst from a pancreatic pseudocyst or a mucinous cystic neoplasm of the pancreas may be a very difficult task. Mucinous cystic neoplasms are far more common in women than in men and have a propensity for involving the pancreatic tail. A pancreatic pseudocyst without any concomitant peripancreatic changes may not be easy to differentiate from a lymphoepithelial cyst by MRI alone. Therefore, the diagnosis should always be based on the final histopathological results. The "cheerios-like" appearance observed in our case has never before been reported; this particular finding could help in the differential diagnosis between this rare benign lesion and other solid pancreatic masses.
Received November 17th, 2009 - Accepted December 23rd, 2009
Key words Abdomen; Cysts; Magnetic Resonance Imaging; Pancreas
Conflict of interest The authors have no potential conflicts of interest
Correspondence
Massimo
Imbriaco
Via Posillipo 196
80123 Naples
Italy
Phone: +39-081.746.3560
Fax: +39-081.545.7081
E-mail: mimbriaco@hotmail.com
References
1. Truong LD, Rangdaeng S, Jordan PH Jr. Lymphoepithelial cyst of the pancreas. Am J Surg Pathol 1987; 11:899-903. [PMID 3674287] (FULL TEXT: http://journals.lww.com/ajsp/toc/1987/11000)
2. Frezza EE, Wachtel MS. Lymphoepithelial cyst of the pancreas tail. Case report and review of the literature. JOP. J Pancreas (Online) 2008; 9:46-9. [PMID 18182743] (FULL TEXT: http://www.joplink.net/prev/200801/09.html)
3. Adsay NV, Hasteh F, Cheng JD, Bejarano PA, Lauwers GY, Batts KP, et al. Lymphoepithelial cysts of the pancreas: a report of 12 cases and a review of the literature. Mod Pathol 2002; 15:492-501. [PMID 12011254] (FULL TEXT: http://www.nature.com/modpathol/journal/v15/n5/full/3880553a.html)
4. Neymann EG, Georgiades CS, Horton KH, Lillemoe KD, Fishman EK. Lymphoepithelial cyst of the pancreas--evaluation with multidetector CT. Clin Imaging 2005; 29:345-7. [PMID 16153542] (FULL TEXT: http://www.clinicalimaging.org/article/PIIS0899707105000021/fulltext)
5. Kim YH, Auh YH, Kim KW, Lee MG, Kim KS, Park SY. Lymphoepithelial cysts of the pancreas: CT and sonographic findings. Abdom Imaging 1998; 23:185-7. [PMID 9516512] (FULL TEXT: http://www.springerlink.com/content/ttylptnfr74eagt9/)
6. Koga H, Takayasu K, Mukai K, Muramatsu Y, Mizuguchi Y, Furukawa H, et al. CT of lymphoepithelial cysts of the pancreas. J Comput Assist Tomogr 1995; 19:221-4. [PMID 7890845] (FULL TEXT: http://journals.lww.com/jcat/toc/1995/03000)
7. Sako S, Isozaki H, Hara H, Tsutsumi A, Tanigawa N. Cystic lymphoepithelial lesions of the pancreas and peripancreatic region: report of two cases. Surg Today 1999; 29:467-71. [PMID 10333422] (FULL TEXT: http://www.springerlink.com/content/h516575322jn7191/fulltext.pdf)
8. Strapko A, Botash RJ, Murthy UK, Landas SK. Lymphoepithelial cyst of the pancreas: a case report and review of the literature. Dig Dis Sci 1998; 43:870-4. [PMID 9558046] (FULL TEXT: http://www.springerlink.com/content/q640n58452502026/)
9. Tsuchiya Y, Suzuki S, Sakaguchi T, Kojima Y, Okamoto K, Kurachi K, et al. Lymphoepithelial cyst of the pancreas: report of a case. Surg Today 2000; 30:856-60. [PMID 11039720] (FULL TEXT: http://www.springerlink.com/content/av8vkdc0w5w0u7fx/fulltext.pdf)
10. Tateyama H, Tada T, Murase T, Fujitake S, Eimoto T. Lymphoepithelial cyst and epidermoid cyst of the accessory spleen in the pancreas. Mod Pathol 1998; 11:1171-7. [PMID 9872647]
11. Ueno S, Muranaka T, Maekawa S, Masuda Y, Ro T, Saku M, Oshiumi Y. Radiographic features in lymphoepitelial cyst of the pancreas. Abdom Imaging 1994; 19:232-4. [PMID 8019350] (FULL TEXT: http://www.springerlink.com/content/jk04532v4013750q/fulltext.html)
12. Jacobs JE, Dinsmore BJ. Mature cystic teratoma of the pancreas: sonographic and CT findings. AJR Am J Roentgenol 1993; 160:523-4. [PMID 8430545] (FULL TEXT: http://www.ajronline.org/cgi/reprint/160/3/523)
13. Maekawa H, Yoneyama H, Komatsu Y, Orita H, Sakurada M, Sato K, Yamano M. Pancreatic lymphoepithelial cyst with an intracystic papillary projection. Report of a case. JOP. J Pancreas (Online) 2009; 10:694-6. [PMID 19890197] (FULL TEXT: http://www.joplink.net/prev/200911/17.html)