CASE REPORT
JOP. J Pancreas (Online) 2010 Mar 5; 11(2):173-175.
Malignant Melanoma Presenting as Obstructive Jaundice Secondary to Metastasis to the Ampulla of Vater
Joshua A Marks, Atul S Rao, David Loren, Agnes Witkiewicz, Michael J Mastrangelo, Adam C Berger
Departments of Surgery, Pathology, and Medical Oncology; Thomas Jefferson University Hospital. Philadelphia, PA, USA
ABSTRACT
Context Malignant melanoma commonly metastasizes to the small intestine where it can cause pain, bleeding, and obstruction. However, jaundice from metastatic melanoma is relatively uncommon. Case report A case of known malignant melanoma presenting as new onset obstructive jaundice as a result of a rarely reported metastasis to the ampulla of Vater. Conclusion Multidisciplinary management of patients with metastatic melanoma is essential.
INTRODUCTION
Malignant melanoma is a highly unpredictable tumor that can metastasize to any organ. The particular incidence of metastasis to the ampulla of Vater has seldom been reported. Optimal therapy remains unclear due to the lesion’s rarity; however, its overall prognosis is poor. The following is a case report and review of the available literature of known malignant melanoma presenting as new onset obstructive jaundice as a result of an uncommon metastasis to the Ampulla of Vater.
CASE REPORT
The patient is a 66-year-old female who presented complaining of several days of mild right upper quadrant abdominal pain, jaundice, and pruritus. The patient was first diagnosed with malignant melanoma in March 2006 when she noticed a raised, flesh colored lesion on her right forearm which was growing. A biopsy showed malignant melanoma and subsequent wide local excision revealed a 2.5 mm thick nodular type malignant melanoma with ulceration (T3b). Sentinel lymph node sampling was negative for metastasis at the time. Four months later, she noticed a right superior eyelid nodule. Excision of the nodule showed dermal metastasis of her melanoma.
At this time, a CT of the chest, abdomen and pelvis demonstrated an asymmetrically thickened gallbladder with a nodular component and a questionable pancreatic head abnormality. Follow-up MRI showed multiple enhancing nodules and areas of thickening within the gallbladder that were worrisome for metastasis as well as heterogeneous enhancement throughout the pancreatic head. The patient completed six cycles of Dartmouth regimen chemotherapy several months prior to her current presentation with obstructive jaundice.
At the current presentation, she had a total bilirubin of 14.5 mg/dL (reference range: 0.2-1.2 mg/dL), and a CT of abdomen and pelvis on admission showed a mass centered at the ampulla with lateral displacement of the duodenum. The pancreatic, common bile and intrahepatic ducts were all dilated. An MRCP further demonstrated a 2.5x2.0 cm ampullary versus duodenal carcinoma with obstruction of the ampulla of Vater (Figure 1). The enhancing gallbladder masses were more consistent with metastasis. There remained no evidence of liver metastasis. An ERCP demonstrated a large, irregular, friable, soft mass at the ampulla (Figure 2). A palliative self-expanding metal stent was placed and multiple biopsies were taken.
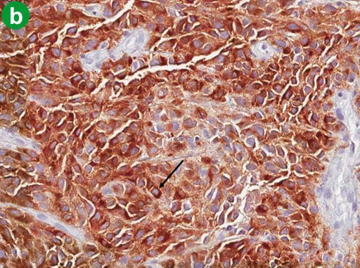
Final pathology confirmed malignant neoplasm of the ampulla of Vater consistent with malignant melanoma. Hematoxylin and eosin staining showed malignant cells in the background of tissue stroma. The immunohistochemical stains for S-100 protein, HMB-45 and Melan-A antigens were all positive and confirmed the diagnosis of melanoma (Figure 3). The patient subsequently underwent an outpatient PET scan that demonstrated multiple areas throughout the chest, abdomen, pelvis and superficial soft tissues of hypermetabolic activity consistent with malignancy. She was resumed on palliative chemotherapy and succumbed to her disease approximately 15 months later.

|
Figure 1. A 3D MRCP reconstruction demonstrates a 2.5x2.0 cm ampullary versus duodenal carcinoma with obstruction of the ampulla of Vater (red arrow). The gallbladder mass is seen as a filling defect (R). |
|
|

|
Figure 2. Images from the ERCP demonstrate a large, irregular, friable, soft mass at the ampulla. |
|
|


|
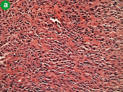
Figure 3. Pathology slides confirming the final diagnosis of malignant melanoma including immunohistochemistry stain for S-100. a. The tumor is composed of pleomorphic, loosely cohesive cells with enlarged, hyperchromatic, irregular nuclei (20x, Hematoxylin and Eosin). b. Tumor cells show positive staining for Melan-A protein. Arrow depicts cytoplasmic staining (20x, immunohistochemistry). |
|
|
DISCUSSSION
Malignant melanoma is a highly unpredictable tumor that can metastasize to any organ; it is known for its propensity to metastasize to multiple sites resulting in widespread disseminated disease. While the incidence of malignant melanoma metastatic specifically to the gastrointestinal tract and even to the biliary tree is well documented [1, 2], the particular incidence of isolated metastasis to the ampulla of Vater resulting in cholestasis is far less well known. A thorough review of the literature reveals only four such prior reported cases.
Obstructive jaundice was the first clinical manifestation of what turned out to be malignant melanoma in two of the four cases. In the first case, the primary tumor was later located in the skin of the back; however, metastatic lesions were also identified in the lungs, mediastinum, liver and spleen [3]. The patient was treated with a palliative sphincterotomy, biliary prosthesis and systemic chemotherapy; the patient died four months later. In the other patient, despite complete clinical and radiological examinations, the primary was never identified [4]. The authors acknowledge the possibility of an undetected or regressed extra-digestive primary tumor, however, surmise, given other reports of primary malignant melanomas of the biliary tract, the possibility of a primary melanoma of the Ampulla of Vater [2, 4]. Given the patient’s young age and the long-term survival reported in selected patients after surgical resection of digestive metastatic melanoma, the patient was treated with a pylorus preserving pancreaticoduodenectomy. She died several months later, however, secondary to liver and lung metastasis.
In the other two previously published cases, as in ours, the diagnosis of melanoma was well known at the time that the jaundice presented although was not immediately linked to the disease until proven by biopsy. In one case, the patient had malignant melanoma with brain metastasis and had received polychemotherapy [5]. The patient presented with jaundice, pruritis, nausea, vomiting and laboratory evidence of cholestasis. This patient underwent ERCP that revealed a well-defined round black mass at the ampulla of Vater, biopsy of which confirmed the diagnosis of metastatic malignant melanoma. The patient had a sphincterotomy and placement of two biliary prostheses, but he died three months later. The patient in the final case presented with progressive jaundice and dark stools for which the workup revealed an isolated 5 cm periampullary obstructive mass resulting in intra- and extra-hepatic ductal dilatation. After a negative metastatic workup, the patient underwent an R0 pancreaticoduodenectomy. Final pathology of the resected lesion was consistent with metastatic malignant melanoma. The patient subsequently experienced a cerebrovascular accident. A CT scan of the brain done at that time demonstrated several lesions consistent with metastatic disease. The patient died three months later.
Malignant melanoma metastatic to the gastrointestinal tract is a late manifestation of the disease with an overall poor prognosis [6]. Most often, gastrointestinal metastasis is asymptomatic and is only discovered post-mortem with the greatest propensity for GI metastasis being to the small bowel [6]. When identified ante-mortem, the heralding sign is usually small intestine intussusception or obstruction, although GI bleeding is also common. This small case series adds obstructive jaundice to the list of possible presenting symptoms for metastatic melanoma in patients with a clinical history of melanoma. Optimal therapy for these lesions remains unclear given the rare incidence of melanoma of the ampulla of Vater. Biliary prostheses seem to offer at least temporary symptomatic palliation with a rapid improvement of cholestasis. Surgical resection via pancreaticoduodenectomy may be an option for isolated metastatic lesions to the ampulla of Vater in select symptomatic patients with good performance status and no other sites of metastatic disease although patients are still likely to die of metastatic disease elsewhere in the body [7]. Whether controlling localized metastatic disease with surgery in this particular instance increases overall survivability remains unknown. Surgical resections of other parts of the GI tract for metastatic melanoma have shown survivability benefit and improvement of quality of life even in the face of disseminated disease [2, 7]. In each of the previous case reports of metastatic melanoma to the ampulla of Vater, however, all of the patients succumbed to their disease, no matter the treatment option employed, within four months of presentation.
Although the overall prognosis is grim, an aggressive multidisciplinary approach to treatment of these patients that includes surgical or, as our literature review would suggest, endoscopic palliation, immunotherapy, and chemotherapy may enhance short-term survival.
Received November 17th, 2009 - Accepted December 28th, 2009
Keywords Ampulla of Vater; Melanoma
Conflict of interest The authors have no potential conflicts of interest
Correspondence
Adam
C Berger
Thomas Jefferson University Hospital
1100 Walnut Street, MOB, Suite 500
Philadelphia, PA 19107
USA
Phone: +1-215.955.1622
Fax: +1-215.923.8222
E-mail: adam.berger@jefferson.edu
References
1. Dasgupta T, Brasfield R. Metastatic melanoma. A clinicopathological study. Cancer 1964; 17:1323-39. [PMID 14236766] (FULL TEXT: http://www3.interscience.wiley.com/cgi-bin/fulltext/112663729/PDFSTART)
2. Samplaski MK, Rosato EL, Witkiewicz AK, Mastrangelo MJ, Berger AC. Malignant melanoma of the gallbladder: a report of two cases and review of the literature. J Gastrointest Surg 2008; 12:1123-6. [PMID 18060465] (FULL TEXT: http://www.springerlink.com/content/h8731172207r2837/fulltext.html)
3. Caballero-Mendoza E, Gallo-Reynoso S, Arista-Nasr J, Angeles-Angeles A. Obstructive jaundice as the first clinical manifestation of a metastatic malignant melanoma in the ampulla of vater. J Clin Gastroenterol 1999; 29:188-9. [PMID 10478883] (FULL TEXT: http://journals.lww.com/jcge/pages/articleviewer.aspx?year=1999&issue=09000&article=00017&type=abstract)
4. Fléchon A, Lombard-Bohas C, Saurin JC, Ponchon T, Partensky C, Scoazec JY. Malignant melanoma presenting as an ampullary tumour. Histopathology 2002; 41:562-3. [PMID 12460212] (FULL TEXT: http://www3.interscience.wiley.com/cgi-bin/fulltext/118917683/HTMLSTART)
5. Sans M, Llach J, Bordas JM, Andreu V, Campo A, Castells A, Mondelo E, Terés J, Rodés J. Metastatic malignant melanoma of the papilla of Vater: an unusual case of obstructive cholestasis treated with biliary prostheses. Endoscopy 1996; 28:791-2. [PMID 9007447]
6. Capizzi PJ. Donohue JH. Metastatic melanoma of the gastrointestinal tract: a review of the literature. Compr Ther 1994; 20:20-3. [PMID 8137614]
7. Meyers MO, Frey DJ, Levine EA. Pancreaticoduodenectomy for melanoma metastatic to the duodenum: a case report and review of the literature. Am Surg 1998; 64:1174-6. [PMID 9843339]