LETTER
JOP. J Pancreas (Online) 2010 Mar 5; 11(2):186-188.
Gemcitabine-Induced Pulmonary Toxicity in a Patient with Pancreatic Cancer
Daigo Hiraya, Katsunori Kagohashi, Naoya Sakamoto, Tadashi Kondo, Hiroaki Satoh
Departments of Internal Medicine and Surgery, Mito Medical Center, University of Tsukuba. Mito, Ibaraki, Japan
Dear Sir,
We previously read with interest the article by Shaib et al. on gemcitabine-induced pulmonary toxicity during adjuvant therapy in a patient with pancreatic cancer [1]. We would like to share our experience.
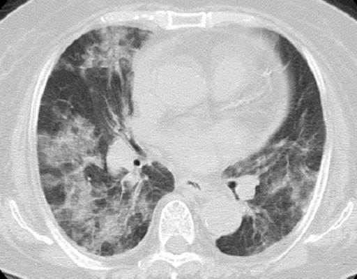
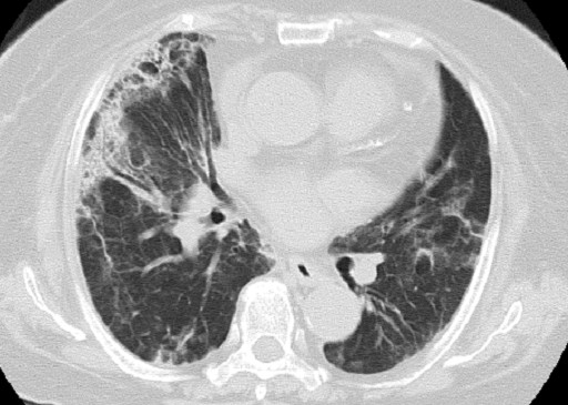
A 74-year-old woman was referred to our hospital with a 23x19 mm pancreatic body tumor with dilatation of pancreatic duct which was detected incidentally and was diagnosed with pancreatic cancer. It was clinically staged as T3N0 Stage II (UICC) and a distal pancreatectomy was then planned. However, the resection was discontinued due to peritoneal dissemination, and only a biopsy of the tumor was performed. The postoperative course was uneventful, but multiple liver metastases were found in a follow-up CT scan. Laboratory data showed the following levels: white blood cell count 10,200 mm-3 (WBC; reference range: 4,000-9,000 mm-3), C-reactive protein 1.07 mg/dL (CRP; reference range: 0-0.5 mg/dL), aspartate aminotransferase 60 IU/L (AST; reference range: 0-35 IU/L), alanine aminotransferase 59 IU/L (ALT; reference range: 0-40 IU/L), lactate dehydrogenase 259 U/L (LDH; reference range: 119-229 U/L), blood urea nitrogen 9 mg/dL (BUN; reference range: 8-20 mg/dL), and creatinine 0.66 mg/dL (reference range: 0.6-1.2 mg/dL). Soon after the CT scan, she began chemotherapy with gemcitabine 1,000 mg/m2 on days 1, 8, and 15 every 28 days. After her fourth course of the chemotherapy, she developed shortness of breath, and was dyspneic at rest. There was no finding of heart failure or evidence of a pulmonary embolism. A chest CT showed bilateral diffuse ground-glass opacities in both lungs (Figure 1). The radiological features seemed compatible with acute interstitial pneumonitis. An echocardiogram was normal. Laboratory data showed WBC 10,500 mm-3, CRP 9.46 mg/dL, AST 22 IU/L, ALT 15 IU/L, LDH 357 U/L, BUN 14 mg/dL, creatinine 0.54 mg/dL, and CA 19-9 348,440 U/mL (reference range: 0-37 U/mL). There was no elevation of antibody titers of Mycoplasma, Legionella pneumophilia, and Chlamydia psittaci. Antibiotic treatment was initiated with ciprofloxacin on admission; however, her respiratory status rapidly deteriorated. Suspecting gemcitabine-induced pneumonitis, the gemcitabine was discontinued and the patient was treated with methylprednisolone (500 mg/day) for 3 days. A lung biopsy was planned but the patient’s respiratory condition improved after steroid therapy, so the procedure was not performed. On the 21st day of hospitalization, a chest CT showed the disappearance of the diffuse ground-glass opacities in both lungs (Figure 2). The steroids were gradually tapered off. Due to concerns of gemcitabine-induced pulmonary pneumonitis, the chemotherapy was changed to S 1 combination monotherapy.

|
Figure 1. Chest CT on admission showing bilateral diffuse ground-glass opacities in both lungs. |
|
|
|
|

|
Figure 2. Chest CT showing the disappearance of ground-glass opacity in both lungs after discontinuation of the drug, administration of corticosteroids and pulmonary support. |
|
|
It has generally been accepted that a diagnosis of chemotherapy-induced pulmonary toxicity can be made when it develops shortly after the initiation of treatment, when there is the lack of an alternative explanation of respiratory and/or cardiac failure and, in some cases, when there is the resolution of symptoms after corticosteroid treatment and withdrawal of the presumed agent. Incidence of gemcitabine-induced pulmonary toxicity varies from 0.02% to 0.27% [2, 3]. Roychowdhury et al. reported that the incidence rate of acute respiratory distress syndrome associated with gemcitabine is reported to be 0.002% [3]. Vahid and Marik reviewed the case reports involving gemcitabine-induced pneumonitis which have been published and classified them into three types: capillary leak syndrome, diffuse alveolar damage and alveolar hemorrhage [4]. Gemcitabine-induced pulmonary toxicity is a diagnosis of exclusion after ruling out infectious pneumonia, cardiogenic pulmonary edema and diffuse alveolar hemorrhage. Antibiotics and diuretics are often started empirically. However, once gemcitabine lung toxicity is suspected, discontinuation of the drug, the administration of corticosteroids and pulmonary support constitute the mainstay of treatment and have been successful in treating patients with pulmonary toxicity. A misdiagnosis can have potentially fatal outcomes. According to the review by Vahid and Marik, a rapid response (within days) to prednisone, 60 mg daily, has been described, although the mortality rate can be as high as 20% [4]. Therefore, a correct diagnosis is important since treatment with corticosteroids has been shown to be effective [4]. In our case, the type of pulmonary toxicity resulted in severe diffuse alveolar damage, and we successfully treated it with discontinuation of the drug, the administration of corticosteroids and pulmonary support.
In our patient, pulmonary toxicity became apparent after the 4th cycle. This would suggest that it may be related to: 1) a cumulative dose, 2) the changing condition of the patient or 3) accumulating toxicity in the lungs. Gemcitabine is metabolized and the metabolites are excreted renally. Therefore, changes here could signal a change in drug disposition from cycle to cycle. Shaib et al. suggest that a cumulative dose may not be important [1]. In our patient, there were no changes in laboratory values with regard to renal and liver functions just prior to the first cycle and the values at cycle 4. We have no information on the cumulative nature of this condition; however, the laboratory data regarding our patient did not suggest strong relevance between a cumulative dose of the drug and the development of pneumonitis.
Gemcitabine is a radiation sensitizer [5, 6]. In vitro studies suggest that the critical event in gemcitabine-mediated radiosensitization is the inhibition of ribonucleotide reductase by one of its metabolites, difluorodeoxycytidine diphosphate, which in turn leads to depletion of the dATP pools [6]. The greatest radiosensitization effect is noticed in S-phase cells [6]. Additional effects may result from the lowering of the threshold for radiation-induced apoptosis by gemcitabine [6]. In addition, many of the earliest cases of gemcitabine-induced pulmonary toxicity were patients with lung cancer who received concurrent radiation [2, 7, 8]. Safran et al. reported two cases of radiation pneumonitis in a phase study with gemcitabine, paclitaxel, and radiation for locally advanced pancreatic cancer [7]. They reported that less than 5% of the lung was in the radiation field, and the pneumonitis diffusely involved both lungs [7]. In our patient, radiation was not administered either in the abdomen including the primary lesion and liver metastases or in the lungs. It is unclear whether the pneumonitis was related to the combination chemotherapy or to the chemoradiation. This case may furnish evidence that, at least in some cases of pneumonitis, the cause is solely gemcitabine-induced and not associated with radiation or the combination of the two.
Although very rare, this condition can occur even in pancreatic cancer patients without any interstitial fibrotic changes in the lungs. Practicing physicians must be aware of this condition.
|
Commenting: |
|
|
Reply: |
Received December 7th, 2009 - Accepted December 17th, 2009
Key words Deoxycytidine /analogs and derivatives /toxicity; gemcitabine; Lung; Pancreatic Neoplasms
Conflict of interest The authors have no potential conflicts of interest
Correspondence
Hiroaki
Satoh
Division of Internal Medicine
Mito Medical Center
Institute of Clinical Medicine
University of Tsukuba
Mito, Ibaraki, 310-0015
Japan
Phone: +81-29.231.2371
Fax: +81-29.221.5137
E-mail: hirosato@md.tsukuba.ac.jp
References
1. Shaib W, Lansigan F, Cornfeld D, Syrigos K, Saif MW. Gemcitabine-induced pulmonary toxicity during adjuvant therapy in a patient with pancreatic cancer. JOP. J Pancreas (Online) 2008; 9:708-14. [PMID 18981552] (FULL TEXT: http://www.joplink.net/prev/200811/07.html)
2. Briasoulis E, Pavlidis N. Noncardiogenic pulmonary edema: an unusual and serious complication of anticancer therapy. Oncologist 2001; 6:153-61. [PMID 11306727] (FULL TEXT: http://theoncologist.alphamedpress.org/cgi/content/full/6/2/153)
3. Roychowdhury DF, Cassidy CA, Peterson P, Arning M. A report on serious pulmonary toxicity associated with gemcitabine-based therapy. Invest New Drugs 2002; 20:311-5. [PMID 12201493] (FULL TEXT: http://www.springerlink.com/content/1ldp62up20rf6xqf/fulltext.pdf)
4. Vahid B, Marik PE. Pulmonary complications of novel antineoplastic agents for solid tumors. Chest 2008; 133:528-38. [PMID 18252919] (FULL TEXT: http://chestjournal.chestpubs.org/content/133/2/528.long)
5. Lawrence TS, Eisbruch A, Shewach DS. Gemcitabine-mediated radiosensitization. Semin Oncol 1997; 24(2 Suppl 7):S7-24-8. [PMID 9194476]
6. Lawrence TS, Eisbruch A, McGinn CJ, Fields MT, Shewach DS. Radiosensitization by gemcitabine. Oncology (Williston Park) 1995; 13(Suppl 5):55-60. [PMID 10550827]
7. Safran H, Dipetrillo T, Iannitti D, Quirk D, Akerman P, Cruff D, et al. Gemcitabine, paclitaxel, and radiation for locally advanced pancreatic cancer: a Phase I trial. Int J Radiat Oncol Biol Phys 2002; 54:137-41. [PMID 12182983] (FULL TEXT: http://www.redjournal.org/article/PIIS0360301602029024/fulltext)
8. Pavlakis N, Bell DR, Millward MJ, Levi JA. Fatal pulmonary toxicity resulting from treatment with gemcitabine. Cancer 1997; 80:286-91. [PMID 9217042] (FULL TEXT: http://www3.interscience.wiley.com/cgi-bin/fulltext/75502650/HTMLSTART)