CASE REPORT
JOP. J Pancreas (Online) 2010 Jan 8; 11(1):31-35.
Pancreatic Schwannoma: A Case Report and Literature Review with Special Reference to Imaging Features
Shiji Suzuki1, Satoshi Kaji1, Nobusada Koike1, Nobuhiko Harada1, Tsuneo Hayashi1, Mamoru Suzuki1, Fujio Hanyu1, Shinichi Ban2
1Hachioji Digestive Disease Hospital. Hachioji City, Tokyo, Japan. 2Department of Pathology, Saiseikai Kawaguchi General Hospital. Kawaguchi, Saitama, Japan
ABSTRACT
Context We report the imaging features of pancreatic schwannomas, a rare benign type of pancreatic tumor. Case report A 66-year-old woman was admitted to our hospital with a pancreatic tumor indicated in medical examinations. Computed tomography (CT), magnetic resonance imaging (MRI) and endoscopic ultrasonography (EUS) revealed a solid and cystic tumor, 3 cm in diameter, within the body of the pancreas. Contrast-enhanced CT, MRI and ultrasonography showed partial enhancement in the solid component. Endoscopic retrograde cholangiopancreatography (ERCP) and angiography showed no abnormal findings. A distal pancreatectomy together with a splenectomy and lymph node dissection were performed with a tentative diagnosis of mucinous cystic neoplasm of the pancreas. The cut surface of the resected pancreas showed a well-demarcated, pale yellow, solid tumor within the pancreas parenchyma. Histopathological examination of the tumor revealed proliferation of the spindle cells showing interlacing and palisading patterns. Immunohistochemically, these spindle cells were positive for S-100 protein and vimentin, and negative for alpha-smooth muscle actin, CD34, and cytokeratin. Thus the tumor was diagnosed as a pancreatic schwannoma. Conclusion CT and US can detect pancreatic schwannomas as solid and cystic masses, and MRI shows a relatively characteristic feature. Imaging procedures such as CT, MRI and US are able to differentiate a pancreatic tumor, such as a pancreatic schwannoma.
INTRODUCTION
Schwannomas are neurogenic neoplasms derived from Schwann cells of the sheaths of the peripheral nerves [1, 2]. They are basically soft tissue neoplasms, usually found in the head and neck, extremities, mediastinum and retroperitoneum [3, 4], but rarely found in the pancreas. Moreover, schwannomas often contain various patterns of solid and cystic components within a tumor. In this context, the preoperative diagnosis of a pancreatic schwannoma is difficult, and they are often confused with pancreatic cystic neoplasms, such as non-functioning endocrine neoplasms, solid pseudopapillary neoplasms and mucinous cystic neoplasms [5, 6]. We herein report a case of pancreatic schwannoma and an English language literature review with special reference to the imaging features of pancreatic schwannomas.
CASE REPORT
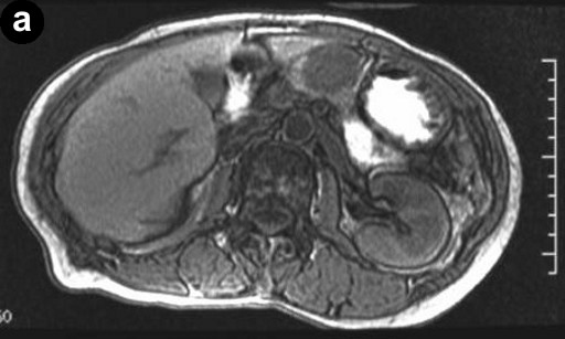
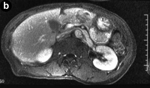
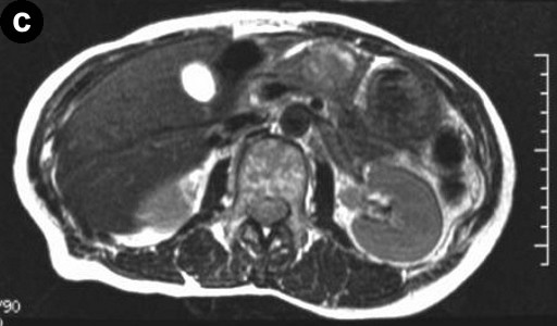
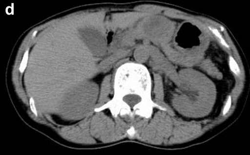
A 66-year-old Japanese woman was admitted to our hospital with a pancreatic tumor indicated in medical examinations. There was no remarkable past history of disease. No inherited factors or marked diseases in her family were noted. On admission, she had no complaints, and physical examinations and laboratory data revealed no noticeable abnormalities. Serum levels of CA 19-9 and s-pancreas-1 (pancreatic associated) antigen were within the normal range. Magnetic resonance imaging (MRI) revealed a mass, 3 cm in diameter, in the body of the pancreas, showing hypointensity on T1-weighted images, marked enhancement after gadolinium diethylenetriaminepenta acetic acid (Gd-DTPA) administration, and mixed hypo- and hyperintense patterns on T2-weighted images (Figure 1abc). Magnetic resonance cholangiopancreatography (MRCP) and endoscopic retrograde cholangiopancreatography (ERCP) showed no abnormal findings. The results of bacterial cultures of the pancreas juice were negative. Computed tomography (CT) revealed a 3 cm solid and cystic tumor within the body of the pancreas, with high resorption CT levels of the cystic components (Figure 1d). Contrast-enhanced CT showed partial enhancement of the solid components, and the main pancreatic duct was not involved in the tumor. Ultrasonography (US) and endoscopic ultrasonography (EUS) revealed a 3 cm solid and cystic tumor with low echoic margins in the body of the pancreas (Figure 2a). Contrast-enhanced US with Levovist® (Bayer Schering, Berlin, Germany) showed partial enhancement of the solid components (Figure 2b). Angiography showed no abnormal findings. From these imaging findings, mucinous cystic neoplasms or acinar cell tumors were considered.




|
Figure 1a. A T1-weighted MRI indicating a hypointense tumor in the body of the pancreas. b. On T1-weighted images, Gd-DTPA administration showing marked tumor enhancement. c. A T2-weighted MRI indicating a mixed pattern with hypointensity and hyperintensity. d. Plain CT revealing a solid and cystic tumor within the body of the pancreas, with high resorption CT levels of cystic components. |
|
|


|
Figure 2. a. US reveals a solid and cystic tumor with low echoic margin in the body of the pancreas. b. Contrast-enhanced US with Levovist® (Bayer Schering, Berlin, Germany) shows partial enhancement at the solid component. |
|
|
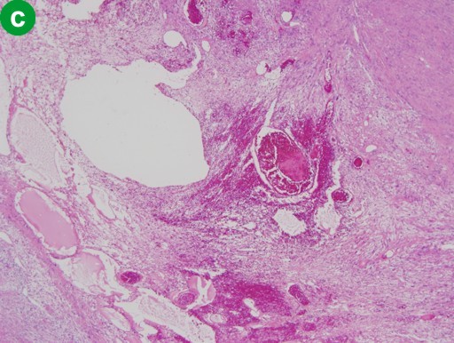
A distal pancreatectomy together with a splenectomy and lymph node dissection were performed. The cut surface of the resected pancreas showed a well-demarcated, pale yellow, solid tumor within the pancreas parenchyma. The tumor was 3x3x3 cm in size, and composed of a mixture of solid areas and myxomatous and/or hemorrhagic areas (Figure 3a). Histopathological examination of the tumor revealed proliferation of the spindle cells showing interlacing and palisading patterns (Figure 3b). Focal hypocellular areas showing edematous and myxomatous degeneration, hemorrhage and hemosiderin deposition, and dilated hyalinized vessels were also noted (Figure 3c). The proliferating cells showed minimal pleomorphic nuclei, but no mitotic figures were found. Immunohistochemically, the spindle cells were positive for S-100 protein and vimentin, and negative for alpha-smooth muscle actin, CD34 and cytokeratin. Based on these findings, the tumor was diagnosed as a pancreatic schwannoma of mixed Antoni A and Antoni B types. No remarkable findings were noted in the spleen and the dissected lymph nodes. At a 24-month follow-up after surgery, the patient is doing well without any recurrent disease.



|
Figure 3. a. The cut surface of the resected tumor is composed of a mixture of solid areas and myxomatous and/or hemorrhagic areas. b. Histopathology of the resected specimen shows proliferation of the spindle cells in interlacing and palisading patterns (Antoni A) (H&E, original magnification x100). c. Edematous degeneration areas with hemorrhage, hemosiderin deposition and hyalinization of the dilated vascular walls (Antoni B) (H&E, original magnification x100). |
|
|
DISCUSSION
In 1910, Verocay reported a schwannoma as a true neoplasm which originated from Schwann cells, and which did not contain neuroganglion cells [7, 8]. Since then, schwannomas have been described in almost every location of the body [9, 10]. However, the pancreas is an extremely unusual site of origin for these tumors. In a PubMed search of English publications from 1982 to 2008, only 34 cases of pancreatic schwannoma were found [1, 2, 4, 5, 6, 9, 10, 11, 12, 13, 14, 15, 16, 17, 18, 19, 20, 21, 22, 23, 24, 25, 26, 27, 28, 29, 30].
These 34 cases together with our case were studied. There were 16 (45.7%) men and 19 (54.3%) women, ranging in age from 40 to 87 years (mean 59.8 years). The locations in the pancreas included 14 cases in the head (40.0%), 8 in the body (22.9%), 4 in the body and tail (11.4%), 3 in the head and body (8.6%), 2 in the tail (5.7%), and 4 with unspecified locations (11.4%). The average size of these tumors was 6.7 cm in diameter (range: 1-17.5 cm). Gross appearances of these cases included 15 cases of a cystic mass (42.9%), 9 of a solid mass (25.7%), 7 of a cystic and solid mass (20.0%), 2 solid with a necrotic center (5.7%) and 2 unspecified (5.7%). A pancreatic schwannoma with von Recklinghausen’s disease was confirmed in 2 (8.0%) out of 25 cases.
Microscopically, schwannomas generally consist of two alternating components: an organized cellular component consisting of long bipolar cells which often form a palisading arrangement and/or Verocay bodies (Antoni A area) and a loose hypocellular, degenerative component (Antoni B area) [31]. Most of the pancreatic schwannomas reported also had Antoni A and Antoni B areas in various proportions as was the case in the present tumor. The degenerative changes gave rise grossly to a frequent cystic component.
The imaging features of the pancreatic schwannomas reported and the present tumor are summarized in Table 1. The most characteristic feature on CT was the presence of a low density and/or cystic image in various degrees within the tumor. The low density and/or cystic images would reflect the Antoni B component or the degenerative cystic areas of the schwannoma. Contrast-enhanced CT showed the difference between the Antoni A and the Antoni B areas based on their vascularity, i.e., well-enhanced areas corresponding to Antoni A, and unenhanced areas corresponding to Antoni B. Therefore, the CT findings of these tumors correlated quite well with the pathological features [1, 14].
|
Table 1. Imaging features among 35 cases of the pancreatic schwannoma. This Table summarizes the findings of 35 cases including 34 cases of the literature review and the present case. |
|
|
CT |
|
|
MRI |
|
|
US |
|
|
Angiography |
|
The MRI findings usually showed hypointensity on T1-weighted images and hyperintensity on T2- weighted images [6, 9], and most tumors were gradually enhanced on T1-weighted images after Gd-DTPA administration. However, the present case was unusual, showing a mixed hypointensity and hyperintensity pattern on T2-weighted images. This can be attributed to the fact that the present tumor included a fair amount of both Antoni A and Antoni B areas, conceivably with the hypointense areas corresponding to the Antoni B areas, and the hyperintense areas to the Antoni A areas.
The solid and cystic pattern observed on CT was also seen with US, in which hypoechoic and/or cystic findings were noted in a high percentage of cases. However, the details of the solid components were revealed more clearly by US as compared to CT or MRI. Moreover, in the present case, contrast-enhanced US with Levovist® (Bayer Schering, Berlin, Germany) showed partial enhancement at the solid component.
On angiography, pancreatic schwannomas were reported to be either hypervascular or hypovascular, but this was not found in the present case. We feel that angiography, since it lacked enhancement, was unable to recognize minute vascularity when compared to the other imaging modalities. The usefulness of angiography in imaging diagnosis appears to be limited.
Consequently, CT and US can detect pancreatic schwannomas as solid and cystic masses, and MRI shows relatively characteristic features. However, other pancreatic tumors, such as a non-functioning endocrine neoplasm, solid pseudopapillary neoplasm or mucinous cystic neoplasm, often share those imaging features, and differential diagnoses should always be considered.
The treatment of choice for pancreatic schwannomas is surgical resection. This tumor was reported to be malignant in 4 (11.4%) of the 35 cases reviewed in the literature [16, 17, 18, 19], but malignant potential does not appear to be high with regard to lymph node and distant metastases. All the reported cases of pancreatic schwannoma were treated by surgical resection. Radical surgical resections, such as a pylorus-preserving pancreaticoduodenectomy and a distal pancreatectomy, were performed in 62.9% of cases, and limited surgical resections, such as enucleation and excision were performed in 25.7%. The high frequency of radical surgical resections might reflect the difficulty in making a differential diagnosis between pancreatic schwannomas and other pancreatic neoplasms which require radical surgical resections.
In conclusion, imaging procedures, such as CT, MRI, and US, are able to differentiate a pancreatic tumor as a pancreatic schwannoma.
Received July 13th, 2009 - Accepted August 3rd, 2009
Key words Diagnostic Imaging; Neurilemmoma; Pancreas
Abbreviations Gd-DTPA: gadolinium diethylenetriaminepenta acetic acid
Conflict of interest The authors have no potential conflicts of interest
Correspondence
Shuji
Suzuki
Hachioji Digestive Disease Hospital
177-3 Yorozu-cho
Hachioji City, Tokyo 192-0904
Japan
Phone: +81-42.626.5111
Fax: +81-42.620.5735
E-mail: dr802@nifty.com
References
1. Ferrozzi F, Bova D, Garlaschi G. Pancreatic schwannoma: report of three cases. Clin Radiol 1995; 50:492-5. [PMID 7614798] (Full text)
2. Paranjape C, Johnson SR, Khwaja K, Goldman H, Kruskal JB, Hanto DW. Clinical characteristics, treatment, and outcome of pancreatic schwannoma. J Gastrointest Surg 2004; 8:706-12. [PMID 15358332] (Full text)
3. Kim SH, Choi BI, Han MC, Kim YI. Retroperitoneal neurilemoma: CT and MRI findings. AJR Am J Roentgenol 1992; 159:1023-6. [PMID 1414767] (Full text)
4. Feldman L, Philpotts LE, Reinhold C, Duguid WP, Rosenberg L. Pancreatic schwannoma: report of two cases and review of the literature. Pancreas 1997; 15:99-105. [PMID 9211499] (Full text)
5. Soumaoro LT, Teramoto K, Kawamura T, Nakamura N, Sanada T, Sugihara K, Arii S. Benign schwannoma of the pancreas. J Gastrointest Surg 2005; 9:288-90. [PMID 15694826] (Full text)
6. Okuma T, Hirota M, Nitta H, Saito S, Yagi T, Ida S, et al. Pancreatic schwannoma: Report of a case. Surg Today 2008; 38:266-70. [PMID 18307004] (Full text)
7. Verocay J. Zur Kenntnis der "Neurofibrome". Beitr Pathol Anat Allg Pathol 1910; 48:1-69.
8. Tomozawa S, Masaki T, Matsuda K, Yokoyama T, Ishida T, Muto T. A schwannoma of the cecum: case report and review of Japanese schwannomas in the large intestine. J Gastroenterol 1998; 33:872-5. [PMID 9853563] (Full text)
9. Morita S, Okuda J, Sumiyoshi K, Taketani M, Moriguchi A, Katsu K, Tanigawa N. Pancreatic schwannoma: report of a case. Surg Today 1999; 29:1093-7. [PMID 10554337] (Full text)
10. Hsaio WC, Lin PW, Chang KC. Benign retroperitoneal Schwannoma mimicking a pancreatic cystic tumor: case report and literature review. Hepatogastroenterology 1998; 45:2418-20. [PMID 9951935]
11. Novellas S, Chevallier P, Saint Paul MC, Gugenheim J, Bruneton JN. MRI features of a pancreatic schwannoma. Clin Imaging 2005; 29:434-6. [PMID 16274826] (Full text)
12. Wu YL, Yan HC, Chen LR, Chen J, Gao SL, Li JT. Pancreatic benign schwannoma treated by simple enucleation: case report and review of literature. Pancreas 2005; 31:286-8. [PMID 16163062] (Full text)
13. Bui TD, Nguyen T, Huerta S, Gu M, Hsiang D. Pancreatic schwannoma: a case report and review of the literature. JOP. J Pancreas (Online) 2004; 5:520-6. [PMID 15536295] (Full text)
14. Yu Rs, Sun JZ. Pancreatic schwannoma: CT findings. Abdom Imaging 2006; 31:103-5. [PMID 16132429] (Full text)
15. Tan G, Vitellas K, Morrison C, Frankel WL. Cystic schwannoma of the pancreas. Ann Diagn Pathol 2003; 7:285-91. [PMID 14571430] (Full text)
16. Coombs RJ. Case of the season. Malignant neurogenic tumor of duodenum and pancreas. Semin Roentgenol 1990; 25:127-9. [PMID 2112269] (Full text)
17. Walsh MM, Brandspigel K. Gastrointestinal bleeding due to pancreatic schwannoma complicating von Recklinghausen's disease. Gastroenterology 1989; 97:1550-1. [PMID 2511055] (Full text)
18. Eggermont A, Vuzevski V, Huisman M, De Jong K, Jeekel J. Solitary malignant schwannoma of the pancreas: report of a case and ultrastructural examination. J Surg Oncol 1987; 36:21-5. [PMID 3626558] (Full text)
19. Moller Pedersen V, Hede A, Graem N. A solitary malignant schwannoma mimicking a pancreatic pseudocyst. A case report. Acta Chir Scand 1982; 148:697-8. [PMID 7170905]
20. Lee JS, Kim HS, Jung JJ, Han SW, Kim YB. Ancient schwannoma of the pancreas mimicking a cystic tumor. Virchows Arch 2001; 439:697-9. [PMID 11764392] (Full text)
21. Almo KM, Traverso LW. Pancreatic schwannoma: an uncommon but important entity. J Gastrointest Surg 2001; 5:359-63. [PMID 11985975] (Full text)
22. Brown SZ, Owen DA, O'Connell JX, Scudamore CH. Schwannoma of the pancreas: a report of two cases and a review of the literature. Mod Pathol 1998; 11:1178-82. [PMID 9872648]
23. Todd KE, Lewis MP, Gloor B, Kusske AM, Ashley SW, Reber HA. Management decisions for unusual periampullary tumors. Am Surg 1997; 63:927-32. [PMID 9322675]
24. Sugiyama M, Kimura W, Kuroda A, Muto T. Schwannoma arising from peripancreatic nerve plexus. AJR Am J Roentgenol 1995; 165:232. [PMID 7785620] (Full text)
25. Steven K, Burcharth F, Holm N, Pedersen IK. Single stage pancreaticoduodenectomy (Whipple's procedure), radical cystectomy and bladder substitution with the urethral Kock reservoir. Case report. Scand J Urol Nephrol 1994; 28:199-200. [PMID 7939474]
26. Melato M, Bucconi S, Marus W, Spivach A, Perulli A, Mucelli RP. The schwannoma: an uncommon type of cystic lesion of the pancreas. Ital J Gastroenterol 1993; 25:385-7. [PMID 8280901]
27. David S, Barkin JS. Pancreatic schwannoma. Pancreas 1993; 8:274-6. [PMID 8460103] (Full text)
28. Urban BA, Fishman EK, Hruban RH, Cameron JL. CT findings in cystic schwannoma of the pancreas. J Comput Assist Tomogr 1992; 16:492-3. [PMID 1592939] (Full text)
29. Liessi G, Barbazza R, Sartori F, Sabbadin P, Scapinello A. CT and MR imaging of melanocytic schwannomas; report of three cases. Eur J Radiol 1990; 11:138-42. [PMID 2253635] (Full text)
30. Hirabayashi K, Yasuda M, Uemura S, Itoh H, Itoh J, Yazawa N, et al. Cytological features of the cystic fluid of pancreatic schwannoma with cystic degeneration. A case report. JOP. J Pancreas (Online) 2008; 9:203-8. [PMID 18326930] (Full text)
31. Enzinger FM, Weiss SW. Benign tumors of the peripheral nerves. In: Enzinger FM ed. Soft Tissue Tumors, 3rd ed. St Louis:Mosby, 1995:821-8.