CASE REPORT
JOP. J Pancreas (Online) 2010 Jan 8; 11(1):36-40.
Remnant Pancreatectomy for Recurrent or Metachronous Pancreatic Carcinoma Detected by FDG-PET: Two Case Reports
Masaru Koizumi, Naohiro Sata, Naoya Kasahara, Kazue Morishima, Hideki Sasanuma, Yasunaru Sakuma, Atsushi Shimizu, Masanobu Hyodo, Yoshikazu Yasuda
Department of Surgery, Jichi Medical University School of Medicine. Shimotsuke, Tochigi, Japan
ABSTRACT
Context Although surgical resection is the only curative therapeutic option for recurrent or metachronous pancreatic carcinomas, most such cancers are beyond surgical curability. We herein report on two rare cases of remnant pancreatectomy used to treat recurrent or metachronous pancreatic carcinomas. Case reports Case#1 A 65-year-old male developed weight loss and diabetes mellitus 83 months after a pylorus-preserving pancreaticoduodenectomy followed by two years of adjuvant chemotherapy (5-fluorouracil plus leucovorin plus mitomycin C) for a pancreatic carcinoma in the head of the pancreas (stage IA). An abdominal CT scan revealed a 3 cm tumor in the remnant pancreas which appeared as a ‘hot’ nodule on FDG-PET. A remnant distal pancreatectomy was performed and a pancreatic carcinoma similar in profile to the primary lesion (stage IIB) was confirmed pathologically. Case#2 A 67-year-old male showed increased CA 19-9 levels 25 months after a distal pancreatectomy for a pancreatic carcinoma in the body of the pancreas (stage IA). An abdominal CT scan revealed a cystic lesion in the cut end of the pancreas which appeared as a ‘hot’ nodule on FDG-PET. A remnant proximal pancreatectomy with duodenectomy was performed and a metachronous pancreatic carcinoma (stage III) was confirmed pathologically. Conclusion Remnant pancreatectomy can be considered a treatment option for recurrent or metachronous pancreatic carcinomas. FDG-PET can play a key role in detecting remnant pancreatic carcinomas.
INTRODUCTION
Invasive ductal carcinomas of the pancreas often develop extra-pancreatic growths to the pancreatic bed, major vessels, neural plexus and adjacent organs, and can also develop distant metastases. Unless treated during the early stages, most pancreatic carcinomas eventually become intractable. Long-term survival is rare in pancreatic carcinoma patients, and high recurrence rates are observed even in R0 cases. Although surgical resection is the only curative therapeutic option for recurrent or metachronous pancreatic carcinomas, most such cancers are beyond surgical curability. Remnant or repeated pancreatectomy for recurrent or metachronous pancreatic carcinomas is extremely rare, with only a few cases having been reported in the literature [1, 2, 3, 4, 5]. A second resection for recurrent or metachronous pancreatic carcinoma remains under consideration.
The present report describes two cases in which remnant pancreatectomy was used to treat recurrent or metachronous pancreatic carcinoma. The use of FDG-PET was a key factor in the detection of the lesions. Both patients were alive at least 8 months after surgery.
CASE REPORTS
Case#1
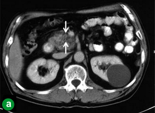
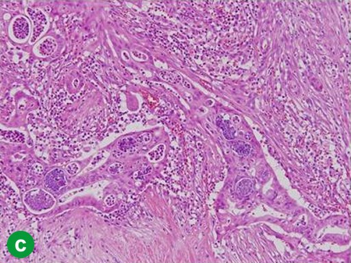
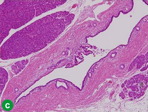
A 65-year-old man showed a dilatation of the main pancreatic duct on abdominal US at an annual medical checkup. An abdominal CT scan showed a 1 cm tumor in the head of the pancreas (Figure 1a), and dilatation of the main pancreatic duct in the distal part of the pancreas was demonstrated by MRCP (Figure 1b). A pylorus-preserving pancreaticoduodenectomy (PPPD) was performed in December 2000. The tumor was confirmed histopathologically to be a well-differentiated adenocarcinoma without lymph node metastasis (T1N0M0; R0; pathological stage: IA) (Figure 1c). Although the surgical margins were negative, pancreatic intraepithelial neoplasia was present in the resected pancreas. Adjuvant chemotherapy (4 cycles of 5-fluorouracil, leucovorin and mitomycin C given intravenously) was administered for 4 months. Periodic check-ups were performed thereafter.



|
Figure 1. Case#1: initial operation. a. A tumor approximately 1 cm in diameter was detected in the pancreatic head on abdominal CT (arrow). b. The main pancreatic duct was disrupted, and the main pancreatic duct of the distal pancreas was dilated on MRCP. c. Well-differentiated tubular carcinoma. Marked fibrosis and acinus atrophy were observed. Mild atypical cells with a slightly swollen nucleus formed an irregular ductal structure and invaded the parenchyma. (H&E stain, x100). |
|
|
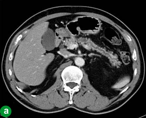
In January 2008, the patient complained of hydrodipsia and polyuria, and was diagnosed with diabetes mellitus. An abdominal CT scan revealed a 3 cm tumor in the tail of the pancreas (Figure 2a). Tumor marker (CEA and carbohydrate antigen (CA) 19-9) levels were within the reference limits, and had been throughout previous monitoring. Recurrence was confirmed using FDG-PET at 84 months after the initial operation. The FDG-PET hot spot corresponded with the tumor location shown by the CT scan (Figure 2b). The patient underwent surgery in June 2008. An intra-operative pathological examination indicated an adenocarcinoma of the remnant pancreas. A remnant distal pancreatectomy with a splenectomy was performed. The histopathological findings for the second neoplasm were similar to those of the initial lesion (Figure 2c). Carcinoma cells had invaded vessels, lymph ducts and neurons, and there were lymph node metastases (T3N1M0; R0; pathological stage: IIB). The patient was alive at 10 months after the second operation without any recurrence.



|
Figure 2. Case#1: second operation. a. A tumor approximately 3 cm in diameter was detected in the pancreatic tail on abdominal CT. b. A hot spot in FDG-PET corresponded to the tumor site on CT. c. A well- or moderately-differentiated tubular adenocarcinoma similar to the initial pancreatic cancer was detected. Mild atypical cells with a slightly swollen nucleus formed an irregular ductal structure and invaded the parenchyma. (H&E stain, x100). |
|
|
Case#2
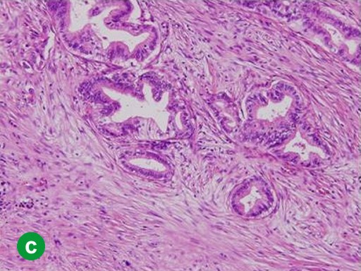
A 67-year-old man showed a pancreatic tumor on abdominal US at an annual medical checkup. An abdominal CT scan detected a 1 cm tumor in the body of the pancreas and main pancreatic duct dilatation of the distal pancreas (Figure 3a). A distal pancreatectomy with splenectomy was performed in February 2006. Histopathological examination confirmed a well-differentiated adenocarcinoma with no vessel or lymph duct invasion and no lymph node metastasis (Figure 3b). Mild atypical epithelia were observed at the cut edge of the main pancreatic duct (T1N0M0; R0; pathological stage: IA) (Figure 3c). Periodic checkups without adjuvant chemotherapy were carried out for 2 years, and there were no abnormal findings in abdominal CT scans or tumor marker assays.



|
Figure 3. Case#2: initial operation. a. A tumor approximately 1 cm in diameter and main pancreatic duct dilatation of the distal pancreas was detected in the pancreatic body on abdominal CT. b. Adenocarcinoma of the pancreas. Atypical cells with a swollen nucleus formed a papillary projection. c. Mild atypical epithelia projected from the cut edge of the main pancreatic duct. (H&E stain, x100). |
|
|
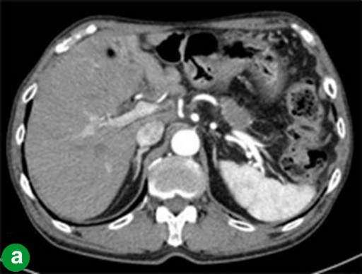
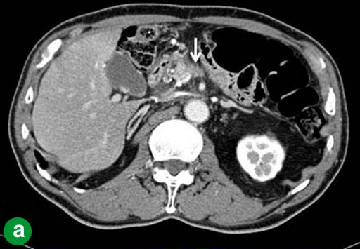
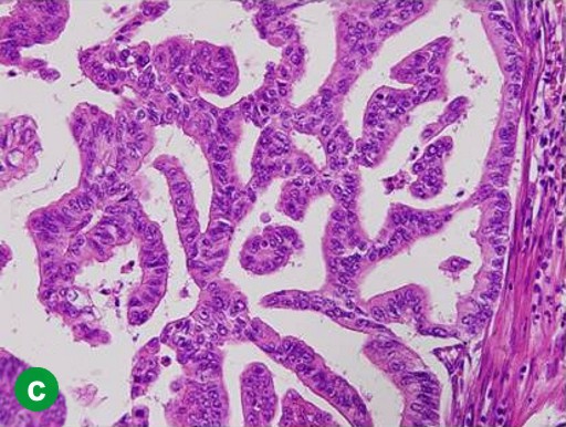
In March 2008 (28 months after the initial operation), the CA 19-9 level increased to 44 U/mL (reference range: 0-36 U/mL). An abdominal CT scan revealed a low density lesion at the cut end of the pancreas (Figure 4a), and this region appeared as a hot spot on FDG-PET (Figure 4b). A remnant proximal pancreatectomy with duodenectomy was performed in August 2008. Histopathological examination of the second neoplasm confirmed a moderately- to poorly- differentiated adenocarcinoma which were different than the findings in the initial neoplasm (Figure 4c). The second findings led to a diagnosis of a metachronous pancreatic carcinoma with vessel, lymph duct and neuron invasion accompanied by lymph node metastases (T3N1M0; R0; pathological stage: IIB). The patient showed multiple liver metastases 8 months after the second operation.



|
Figure 4. Case#2: second operation. a. Abdominal CT revealed a low-density lesion at the cut end of the pancreatic head. b. FDG-PET showed a hot spot at the same pancreas head location as the tumor appeared on CT. c. Moderately differentiated tubular adenocarcinoma. The cancer cells invaded as a tubular and/or papillary structure. (H&E stain, x100). |
|
|
DISCUSSION
Invasive ductal carcinoma of the pancreas is one of the most intractable carcinomas. Although various treatments, such as chemotherapy and/or radiation, have been developed, surgical resection provides the only chance of cure and long-term survival. According to the Pancreatic Cancer Registry Report 2007 of the Japan Pancreas Society (JPS), the 5-year survival rate for invasive ductal carcinoma of the pancreas is 6.9-11.6% in all cases and 11.2-20% in cases which undergo surgical resection [6, 7]. Recurrences are found within 2 years in more than half of surgical resection cases [8, 9, 10]. The most common forms of recurrence are local recurrence, liver metastases and peritoneal disseminations [11, 12], and these are generally beyond surgical resection or indications for chemotherapy and/or radiation therapy. Few recurrent or metachronous pancreatic carcinomas are resectable.
In the present paper, we describe two patients who underwent a repeat pancreatectomy for pancreatic carcinoma. The pathogenesis of secondary carcinoma, whether recurrent or metachronous de novo, is usually hard to determine. In Case#1, the secondary carcinoma was diagnosed as being an ectopic recurrence, due to its histopathological similarity to the primary carcinoma, although the presence of a pancreatic intraepithelial neoplasia suggested a metachronous de novo carcinoma. In Case#2, the relatively slow growth of the secondary carcinoma suggested that it arose via multicentric de novo carcinogenesis.
Although there has been an increase in the number of reports of remnant pancreatectomy for IPMNs, common bile duct carcinoma or carcinoma of papilla of Vater, we found very few reports of remnant pancreatectomy for recurrent or metachronous pancreatic carcinoma [1, 2, 3, 4, 5]. Ten cases, including the present cases, have been reported in the literature (Table 1) [1, 2, 3, 4, 5]. These cases include five male and five female patients, with an average patient age of 62.9 years (range: 52-72 years). The average time interval between the initial primary carcinoma operation and the diagnosis of a remnant pancreatic carcinoma was 35.6 months (range: 12-88 months). All cases underwent a remnant pancreatectomy, with one case also undergoing a lateral segmentectomy of the liver. The average survival time after the second operation was 15.6 months (range:, 4-44 months). Five patients were alive at the time of writing, and one patient has been alive for 44 months after surgery.
|
Table 1. Reported cases of resected remnant pancreatic cancer. |
||||||||
|
No. |
Author |
Year |
Age |
Sex |
Interval a (months) |
Initial operation |
Second operation |
Outcome |
|
1 |
Koizumi K et al. [5] |
1988 |
70 |
Female |
16 |
DP |
Proximal remnant pancreatectomy |
NA |
|
2 |
Uchimura M et al. [5] |
1998 |
58 |
Male |
24 |
PPPD |
Distal pancreaticoduodenectomy |
NA |
|
3 |
Eriguchi N et al. [5] |
2000 |
67 |
Female |
88 |
DP |
Proximal remnant pancreatectomy |
Alive after 8 months |
|
4 |
Wada K et al. [4] |
2001 |
52 |
Female |
12 |
PPPD |
Distal pancreaticoduodenectomy |
NA |
|
5 |
Takamatsu S et al. [2] |
2005 |
63 |
Male |
43 |
PPPD |
Distal pancreaticoduodenectomy |
Alive after 10 months |
|
6 |
Dalla Valle R et al. [1] |
2006 |
63 |
Male |
12 |
PPPD |
Distal pancreaticoduodenectomy |
Alive after 24 months |
|
7 |
Miura F et al. [3] |
2007 |
72 |
Female |
29 |
PPPD |
Distal pancreaticoduodenectomy plus lateral segmentectomy |
Dead after 5 months |
|
8 |
Miura F et al. [3] |
2007 |
52 |
Female |
22 |
PPPD |
Distal pancreaticoduodenectomy |
Dead after 44 months |
|
9 |
Present case 1 |
2010 |
65 |
Male |
85 |
PPPD |
Distal pancreaticoduodenectomy |
Alive after 10 months |
|
10 |
Present case 2 |
2010 |
67 |
Male |
25 |
DP |
Proximal remnant pancreatectomy |
Alive after 8 months |
|
a Interval between operations for
primary carcinoma and diagnosis of remnant pancreas carcinoma |
||||||||
In the present cases, FDG-PET provided valuable information for the diagnosis of remnant pancreatic carcinoma. FDG-PET is useful for diagnosing pancreatic tumors [13, 14] and can also play a key role in the diagnosis of remnant pancreatic carcinoma. In Case#1, FDG-PET was carried out after an abdominal CT indicated a tumor lesion in the remnant pancreas. In Case#2, FDG-PET was carried out when CA 19-9 levels increased without obvious tumor detection on abdominal CT. These cases indicate that FDG-PET can be a key modality in the differential diagnosis of remnant pancreatic lesions. Considering the high cost of FDG-PET, it should be performed after other, less costly modalities.
Recent progress in chemotherapy has improved outcomes in pancreatic carcinoma patients. Randomized control trials, such as the Charité Onkologie (CONKO-001) [15] and the European Study Group for Pancreatic Cancer (ESPAC-1) [16], have demonstrated that adjuvant chemotherapy improved overall survival and disease free survival after pancreatic resection. Improved pancreatic carcinoma outcomes provide more opportunity for remnant pancreatectomies and the possibility of cure in selected cases.
In summary, remnant pancreatectomy should be considered as a treatment option for recurrent or metachronous pancreatic carcinoma. An appropriate follow-up and preoperative assessment including FDG-PET is essential for selecting the cases which could be candidates for a remnant pancreatectomy.
Received August 28th, 2009 - Accepted September 16th, 2009
Key words Carcinoma; Neoplasms, Second Primary; Pancreas; Pancreatectomy; Recurrence
Abbreviations CA: carbohydrate antigen; JPS: Japan Pancreas Society; PPPD: pylorus-preserving pancreaticoduodenectomy
Conflict of interest The authors have no potential conflicts of interest
Grants and financial support None
Correspondence
Masaru
Koizumi
Department of Surgery
Jichi Medical University, School of Medicine
3311-1, Yakushiji
Shimotsuke, Tochigi
Japan 329-0498
Phone: +81-285.587.371
Fax: +81-285.443.234
E-mail: mkoizumi@jichi.ac.jp
References
1. Dalla Valle R, Mancini C, Crafa P, Passalacqua R. Pancreatic carcinoma recurrence in the remnant pancreas after a pancreaticoduodenectomy. JOP. J Pancreas (Online) 2006; 7:473-7. [PMID 16998244] (Full text)
2. Takamatsu S, Ban D, Irie T, Noguchi N, Kudoh A, Nakamura N, et al. Resection of a cancer developing in the remnant pancreas after a pancreaticoduodenectomy for pancreas head cancer. J Gastrointest Surg 2005; 9:263-9. [PMID 15694823] (Full text)
3. Miura F, Takada T, Amano H, Yoshida M, Isaka T, Toyota N, et al. Repeated pancreatectomy after pancreatoduodenectomy. J Gastrointest Surg 2007; 11:179-86. [PMID 17390170] (Full text)
4. Wada K, Takada T, Yasuda H, Amano H, Yoshida M. A repeated pancreatectomy in the remnant pancreas 22 months after pylorus-preserving pancreatoduodenectomy for pancreatic adenocarcinoma. J Hepatobiliary Pancreat Surg 2001; 8:174-8. [PMID 11455476] (Full text)
5. Eriguchi N, Aoyagi S, Imayama H, Okuda K, Hara M, Fukuda S, et al. Resectable carcinoma of the pancreatic head developing 7 years and 4 months after distal pancreatectomy for carcinoma of the pancreatic tail. J Hepatobiliary Pancreat Surg 2000; 7:316-20. [PMID 10982633] (Full text )
6. Japan Pancreas Society. Pancreatic Cancer Registry Report 2007. Suizo 2007; 22:e1-425. [ISSN 1881-2805] (Full text)
7. Yeo CJ, Cameron JL, Lillemoe KD, Sitzmann JV, Hruban RH, Goodman SN, et al. Pancreaticoduodenectomy for cancer of the head of the pancreas. 201 patients. Ann Surg 1995; 221:721-31. [PMID 7794076] (Full text)
8. Ishikawa O, Wada H, Ohigashi H, Doki Y, Yokoyama S, Noura S, et al. Postoperative cytology for drained fluid from the pancreatic bed after "curative" resection of pancreatic cancers: Does it predict both the patient's prognosis and the site of cancer recurrence? Ann Surg 2003; 238:103-10. [PMID 12832972] (Full text)
9. Sperti C, Pasquali C, Piccoli A, Pedrazzoli S. Recurrence after resection for ductal adenocarcinoma of the pancreas. World J Surg 1997; 21:195-200. [PMID 8995078] (Full text)
10. Kayahara M, Nagakawa T, Ueno K, Ohta T, Takeda T, Miyazaki I. An evaluation of radical resection for pancreatic cancer based on the mode of recurrence as determined by autopsy and diagnostic imaging. Cancer 1993; 72:2118-23. [PMID 8104092] (Full text)
11. Westerdahl J, Andren-Sandberg A, Ihse I. Recurrence of exocrine pancreatic cancer-Local or hepatic? Hepatogastroenterology 1993; 40:384-7. [PMID 8406311]
12. Griffin JF, Smalley SR, Jewell W, Paradelo JC, Reymond RD, Hassanein RE, Evans RG. Patterns of failure after curative resection of pancreatic carcinoma. Cancer 1990; 66:56-61. [PMID 2354408] (Full text)
13. Koyama K, Okamura T, Kawabe J, Nakata B, Chung KH, Ochi H, et al. Diagnostic usefulness of FDG PET for pancreatic mass lesions. Ann Nucl Med 2001; 15:217-24. [PMID 11545191] (Full text)
14. Rose DM, Delbeke D, Beauchamp RD, Chapman WC, Sandler MP, Sharp KW, et al. 18Fluorodeoxyglucose-positron emission tomography in the management of patients with suspected pancreatic cancer. Ann Surg 1999; 229:729-37. [PMID 10235532] (Full text)
15. Oettle H, Post S, Neuhaus P, Gellert K, Langrehr J, Ridwelski K, et al. Adjuvant chemotherapy with gemcitabine vs. observation in patients undergoing curative-intent resection of pancreatic cancer: a randomized controlled trial. JAMA 2007; 297:267-77. [PMID 17227978] (Full text)
16. Neoptolemos JP, Stocken DD, Friess H, Bassi C, Dunn JA, Hickey H, et al. A randomized trial of chemoradiotherapy and chemotherapy after resection of pancreatic cancer. N Engl J Med 2004; 350:1200-10. [PMID 15028824] (Full text)