CASE REPORT
JOP. J Pancreas (Online) 2010 Jan 8; 11(1):41-44.
Successful Endoscopic Transpapillary Management of Intrahepatic Pancreatic Pseudocyst
Rizwan Kibria, Salma Akram, Syed A Ali
Gastroenterology, Wright State University SOM. Dayton, OH, USA
ABSTRACT
Context Intrahepatic pancreatic pseudocyst extension is a rare but complex clinical entity requiring multimodality approach for management. There is no consensus regarding the optimal strategy for the treatment of intrahepatic pancreatic pseudocyst and the literature is limited to a few case reports. Most of the published cases were managed by surgical or percutaneous drainage. Case report We hereby report a case of intrahepatic pancreatic pseudocyst extension which failed to resolve by percutaneous drainage. Endoscopic transpapillary drainage was utilized which led to complete resolution of the intrahepatic pancreatic pseudocyst. Conclusion The excellent results obtained in our patient suggest that it should be considered as primary treatment and may obviate the need for more aggressive and potentially morbid procedures.
INTRODUCTION
Intrahepatic pancreatic pseudocyst extension is a rare but complex clinical entity requiring multimodality approach for management. There is no consensus regarding the optimal strategy for the treatment of intrahepatic pancreatic pseudocyst and the literature is limited to a few case reports. Most of the published cases were managed by surgical or percutaneous drainage.
CASE REPORT
A 57-year-old man with a one year history of alcohol-induced chronic pancreatitis presented with a 1-month history of intermittent epigastric pain. He denied any associated nausea, vomiting, diarrhea, weight loss or other gastrointestinal symptoms. His past medical history was significant for hypertension, type 2 diabetes mellitus, dyslipidemia and chronic obstructive pulmonary disease. The abdomen was soft and non-tender. The liver and spleen were not felt, and no abdominal mass was appreciated. His physical examination was otherwise unremarkable. Laboratory evaluation revealed serum amylase of 356 U/L (reference range: 30-111 U/L) and a lipase of 679 U/L (reference range: 46-218 U/L). Complete blood counts, liver chemistries, carbohydrate antigen 19-9, and alpha-feto protein levels were all normal. Pancreas protocol CT scan of the abdomen revealed a 8x5 cm cystic fluid collection in the left liver lobe, an L-shaped subcapsular fluid collection inferior to right hepatic lobe 10x9 cm in size and a 2.4 cm complex fluid accumulation that involved the head and the superior aspect of the body of pancreas (Figure 1). CT guided diagnostic aspiration of the hepatic cystic lesion drained 100 mL of straw-colored fluid which showed no organisms on gram stain and was sterile on bacterial and fungal cultures. Cytological examination of the fluid did not reveal any malignant cells. The amylase level in this fluid was greater than 51,065 U/L which confirmed the diagnosis of intrahepatic pancreatic pseudocyst extension. At the time of CT guided aspiration, the pseudocyst was treated with percutaneous drainage with the placement of an 8F pig-tail catheter. The intrahepatic pancreatic pseudocyst extension failed to resolve even after 4 weeks of the pig-tail catheter placement (Figure 2). At this point, an ERCP was performed which revealed a normal cholangiogram. Pancreatography revealed a normal-appearing main pancreatic duct to the region of the pancreatic neck, and a ductal stenosis 12 mm in length was identified beginning at the pancreatic body near the neck. The main pancreatic duct and pancreatic duct branches were dilated upstream of the stenosis to about 7 mm (Figure 3). After performing an 8 mm ventral pancreatic sphincterotomy; the stricture was dilated with a 6 mm biliary dilating balloon and a 7F, 10 cm long pancreatic stent was inserted to the tail (Figure 4). Brush cytology and intraductal biopsy specimens were obtained from the stricture and revealed fibrosis and changes of chronic pancreatitis; they were negative for malignancy. EUS examination revealed a pancreatic head cystic lesion extending into the left hepatic lobe (Figure 5ab); fluid examination revealed an amylase of 54,450 U/L and the cytology was negative for malignancy. A follow-up pancreas protocol CT of the abdomen 6 weeks later revealed complete resolution of the pancreatic head fluid accumulation and the intrahepatic pancreatic pseudocyst and decrease in size of the L-shaped subcapsular fluid collection to 2x4 cm (Figure 6). Percutaneous drainage of the remaining L-shaped subcapsular fluid collection was discussed with the patient but he refused any percutaneous or surgical drainage. A follow-up pancreatogram revealed marked improvement in the pancreatic duct stricture. He remains asymptomatic after 9 months of follow-up.

|
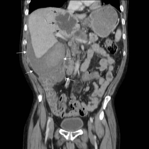
Figure 1. CT scan of abdomen showing the intrahepatic pseudocyst in the left liver lobe along with an L-shaped subcapsular fluid collection inferior to the right hepatic lobe. |
|
|

|
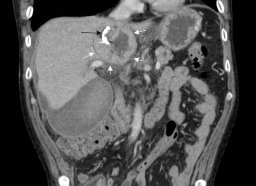
Figure 2. CT scan at 4 weeks showing the persistent intrahepatic pseudocyst with pig-tail catheter in place. |
|
|

|
Figure 3. Pancreatography showing main pancreatic duct stricture in the body with dilated branches upstream. |
|
|

|
Figure 4. ERCP showing the 7F, 10 cm long pancreatic stent traversing the main duct stricture extending to the tail. |
|
|


|
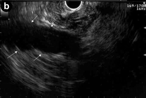
Figure 5. a. EUS showing the pancreatic head cystic lesion. b. Cystic lesion extension into the left hepatic lobe. |
|
|

|
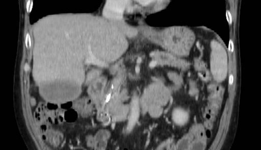
Figure 6. Repeat CT scan at 10 weeks showing complete resolution of the intrahepatic pancreatic pseudocyst with improvement of the subcapsular fluid collection. |
|
|
DISCUSSION
Pancreatic pseudocysts are a well recognized and common complication of acute and chronic pancreatitis. It is estimated that 20% of pseudocysts are extrapancreatic [1]; however, intrahepatic pancreatic pseudocyst extension is a rare occurrence with less than 30 cases reported in literature [2]. Most of the reported cases of intrahepatic pancreatic pseudocyst occurred in the left lobe of the liver, as was the case in our patient.
Several mechanisms have been proposed for the intrahepatic pancreatic pseudocyst extension. One proposed theory is the leakage of the pancreatic juice into the prerenal space from rupture of the main pancreatic duct or the side branches. Erosion through the posterior layer of parietal peritoneum can lead to fluid accumulation in the lesser sac and then follow the path along the hepatogastric ligament leading to pseudocyst formation in the left lobe of the liver [3]; as was the likely etiology in our patient. Similarly, if pancreatitis predominantly involves the pancreatic head and the enzymes exude and follow along the hepatoduodenal ligament to the porta hepatis then the pseudocyst can form in the left or right lobe of the liver [4].
Clinically, patients with intrahepatic pancreatic pseudocyst can present with continuous epigastric pain or recurrence of pain after initial resolution of acute pancreatitis [5]. On physical examination there may be a palpable abdominal mass [6] or less frequently hepatomegaly [7]. Laboratory tests usually reveal elevation of the pancreatic enzymes but with normal liver enzymes [5] as was seen in our patient. The diagnosis of intrahepatic pancreatic pseudocyst requires the demonstration of a high amylase level in the sampled cystic fluid in the absence of infection or neoplasm. An amylase level greater than 479 U/L has 73% sensitivity and 98% specificity for diagnosing pancreatic pseudocyst [8]. Pseudocysts, whether pancreatic or extrapancreatic in location, can be a manifestation of underlying malignancy. Therefore, it is of paramount importance to utilize either EUS with fine needle aspiration, pancreatic protocol CT scan or other imaging modalities to exclude underlying pancreatic neoplasm.
There is no consensus regarding the optimal strategy for treatment of intrahepatic pancreatic pseudocyst extension and the literature is limited to a few case reports. Percutaneous or surgical drainage has been the mainstay of treatment in the past [9, 10]. Percutaneous drainage is likely to be successful in patients with normal pancreatic ducts and those with strictures but no communication between the duct and the cyst compared with those with strictures and duct-cyst communication. With current advances in endoscopic techniques and devices; endoscopic intervention is becoming a viable option. There is a dual goal of transpapillary stenting in these cases: to facilitate the healing of ductal disruption by partially occluding the leaking duct and by converting the high-pressure pancreatic duct system to a low pressure system with a preferential flow through the stent and for the management of the pancreatic duct stricture [11, 12].
While most pseudocysts resolve spontaneously and require no intervention, they can get infected, form fistulas, obstruct the common bile duct or can rupture. Although radiologically assisted percutaneous drainage has been the main stay of therapy; in our case it failed to resolve the intrahepatic pancreatic pseudocyst extension even after 4 weeks because of the associated pancreatic duct stricture and the duct-cyst communication and endoscopic transpapillary drainage led to complete resolution. We believe that the remaining L-shaped subcapsular fluid accumulation did not resolve completely because it was not communicating with the main pancreatic duct. Percutaneous drainage was offered to our patient for this remaining fluid collection but as he was clinically asymptomatic; he decided for expectant management and refused any further intervention for that. Hence we conclude that endoscopic transpapillary drainage for communicating intrahepatic pancreatic pseudocyst may be a viable option and should be considered before more aggressive and potentially morbid procedures are undertaken.
Received September 13th, 2009 - Accepted October 20th, 2009
Key words Cysts /diagnosis /therapy; Endosonography; Liver Diseases /complications /therapy; Pancreatic Pseudocyst /complications /diagnosis /therapy; Pancreatitis, Chronic; Treatment Outcome
Conflict of interest Authors of this case report have no disclosures relevant to this publication
Correspondence
Rizwan
Kibria
Gastroentrology
Dayton VA Medical Center
Wright State University SOM
4100 W. Third Street
Dayton, OH 45428
USA
Phone: +1-937.268.6511/2712
Fax: +1-937.268.6511
E-mail: rekibria@gmail.com
References
1. Hamm B, Franzen N. Atypically located pancreatic pseudocysts in the liver, spleen, stomach wall and mediastinum: their CT diagnosis. Rofo 1993; 159:522-7. [PMID 8298111] (Full text)
2. Chahal P, Baron TH, Topazian MD, Levy MJ. EUS-guided diagnosis and successful endoscopic transpapillary management of an intrahepatic pancreatic pseudocyst masquerading as a metastatic pancreatic adenocarcinoma (with videos). Gastrointest Endosc 2009; 70:393-6. [PMID 19394005] (Full text)
3. Shibasaki M, Bandai Y, Ukai T. Pancreatic pseudocyst extending into the liver via the hepatoduodenal ligament: a case report. Hepatogastroenterology 2002; 49:1719-21. [PMID 12397775]
4. Okuda K, Sugita S, Tsukada E, Sakuma Y, Ohkubo K. Pancreatic pseudocyst in the left hepatic lobe: a report of two cases. Hepatology 1991; 13:359-63. [PMID 1995443] (Full text)
5. Mofredj A, Cadranel JF, Dautreaux M, Kazerouni F, Hadj-Nacer K, Deplaix P, et al. Pancreatic pseudocyst located in the liver: a case report and literature review. J Clin Gastroenterol 2000; 30:81-3. [PMID 10636217] (Full text)
6. Wang SJ, Chen JJ, Changchien CS, Chiou SS, Tai DI, Lee CM, et al. Sequential invasions of pancreatic pseudocysts in pancreatic tail, hepatic left lobe, caudate lobe, and spleen. Pancreas 1993; 8:133-6. [PMID 8419901] (Full text)
7. Aiza I, Barkin JS, Casillas VJ, Molina EG. Pancreatic pseudocysts involving both hepatic lobes. Am J Gastroenterol 1993; 88:1450-2. [PMID 8362849]
8. Ryu JK, Woo SM, Hwang JH, Jeong JB, Yoon YB, Park IA, et al. Cyst fluid analysis for the differential diagnosis of pancreatic cysts. Diagn Cytopathol 2004; 31:100-5. [PMID 15282721] (Full text)
9. Balzan S, Kianmanesh R, Farges O, Sauvanet A, O'toole D, Levy P, et al. Right intrahepatic pseudocyst following acute pancreatitis: an unusual location after acute pancreatitis. J Hepatobiliary Pancreat Surg 2005; 12:135-7. [PMID 15868077] (Full text)
10. Atia A, Kalra S, Rogers M, Murthy R, Borthwick TR, Smalligan RD. A wayward cyst. JOP. J Pancreas (Online) 2009; 10:421-4. [PMID 19581748] (Full text)
11. Varadarajulu S, Noone TC, Tutuian R, Hawes RH, Cotton PB. Predictors of outcome in pancreatic duct disruption managed by endoscopic transpapillary stent placement. Gastrointest Endosc 2005; 61:568-75. [PMID 15812410] (Full text)
12. Telford JJ, Farrell JJ, Saltzman JR, Shields SJ, Banks PA, Lichtenstein DR, et al. Pancreatic stent placement for duct disruption. Gastrointest Endosc 2002; 56:18-24. [PMID 12085030] (Full text)