CASE REPORT
JOP. J Pancreas (Online) 2010 Jan 8; 11(1):55-57.
Can an Intraductal Papillary Mucinous Tumor be a Potential Indicator of Concurrent Adenocarcinoma of the Pancreas?
Julien Jarry1, Genevieve Belleannee2, Alexandre Rault3, Antonio Sa Cunha3, Denis Collet3
Departments of 1Surgery, 2Pathology, and 3Surgery, Haut Leveque Hospital. Bordeaux, France
ABSTRACT
Context Despite the recent progress of diagnostic and therapeutic modalities, survival rates of pancreatic adenocarcinoma remain poor, mainly due to late diagnosis. Case report We report the case of a 56-year-old man who was diagnosed with a symptomatic intraductal papillary mucinous tumor of the pancreas located in the uncus. This tumor was associated with a concurrent stenosis of the isthmic pancreatic duct which resulted in a distal dilation. A Whipple procedure was performed. During the procedure, a concomitant adenocarcinoma was diagnosed 2 cm from the primary intraductal papillary mucinous tumor, causing the isthmic stenosis. A second resection was then performed to the left of the pancreatic isthmus, and adjuvant chemotherapy was performed. The patient is well and without any sign of recurrence 7 months after surgery. Conclusion We discuss the possibility that intraductal papillary mucinous tumors may be a "red flag" enabling earlier diagnosis of a concurrent pancreatic adenocarcinoma arising in another area of the pancreas.
INTRODUCTION
An increasingly large number of intraductal papillary-mucinous tumors (IPMTs) of the pancreas are being detected thanks to the growing awareness of this disease by clinicians and the progress of diagnostic imaging. According to the histological classification of pancreatic exocrine tumors published by the World Health Organization (WHO), this lesion is composed of papillary proliferation of mucin secreted by the pancreatic ductal system epithelium. Lesions of IPMT cause abdominal pain or symptoms of pancreatitis as a result of ductal obstruction by mucin production or papillary growth. The IPMT is believed to be an important precursor of invasive pancreatic adenocarcinoma and may progress through a hyperplasia-adenoma-carcinoma sequence. However, in this report, we present a very rare case of a primary IPMT associated with a concurrent adenocarcinoma located in another area of the pancreas.
CASE REPORT
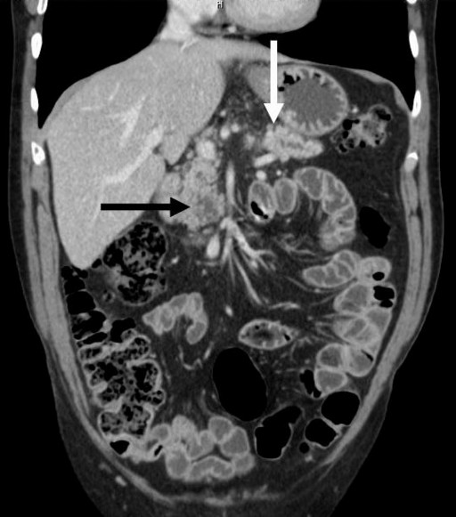
A 56-year-old man was admitted to our hospital for recurrent pancreatitis. Noteworthy aspects of his medical history included alcohol and tobacco consumption, an ischemic stroke related to right carotid aneurysmal rupture and hypertension. Following the stroke, he suffered from left hemiplegia and epilepsy. Although he no longer consumed alcohol, he had been treated for two episodes of acute pancreatitis during the previous year. He complained of epigastric pain at the time of the consultation (his medical treatment included 40 mg of morphine orally per day) and, upon physical examination, he was found to have left hemiplegia without jaundice, fever or weight loss. Abdominal palpation did not detect any abnormal mass and laboratory examination revealed no hyper-leucocytosis or anemia. Hepatic and pancreatic enzymes were slightly increased (ALT: 52 IU/L, reference range: 0-41 IU/L; AST: 43 IU/L; reference range: 0-38 IU/L; lipase: 264 IU/L, reference range: 114-286 IU/L; amylase: 100 IU/L; reference range: 25-115 IU/L), but there was no biological cholestasis. An abdominal CT scan showed a polycystic lesion, 26 mm in diameter, located in the uncus. This lesion was associated with a concurrent stenosis of the isthmic pancreatic duct which resulted in a distal dilation (Figure 1). Following an endoscopic ultrasound and MRI, the cystic lesion was characterized as a typical branch-type IPMT and the ductal dilation was attributed to chronic pancreatitis (Figure 2). The final diagnosis was, therefore, of chronic pancreatitis related to an IPMT of the uncus. A surgical resection of this IPMT was carried out. A Whipple procedure was then performed with extemporaneous histological analysis of the pancreatic cut edge, revealing the presence of malignant cells. In view of these histological findings, the pancreatic incision was shifted 3 cm to the left of the pancreatic isthmus, revealing no malignant cells upon extemporaneous histological analysis. Definitive histological analysis confirmed the diagnosis of an IPMT in the uncinate process (Figure 3) as well as a concurrent adenocarcinoma, 1 cm in diameter, located 2 cm from the primary IPMT, in the isthmus (Figure 4). The patient had an uneventful postoperative course and was discharged from the hospital 15 days following surgery. The patient subsequently underwent adjuvant chemotherapy. He is alive without recurrence 7 months following the surgery. Upon postoperative review of the original CT scan, we noted that the stenosis which was initially attributed to chronic pancreatitis was, instead, due to a lesion that we had not originally identified and which corresponded to the concomitant adenocarcinoma.

|
Figure 1. Abdominal CT scan: polycystic lesion in the uncus (black arrow) concomitant with a concurrent stenosis-dilation of the pancreatic duct. A detailed review of the original pancreatic CT scan revealed that the stenosis was caused by a lesion, previously unidentified, corresponding to an independent adenocarcinoma (white arrow). |
|
|

|
Figure 2. Cholangio-magnetic resonance image: 26 mm branch type IPMT located in the uncus (white arrow) concomitant with a Wirsung dilation of the pancreatic body. |
|
|

|
Figure 3. Histological findings: pancreatic ducts lined by tall, columnar, mucin-containing epithelium with papillary projections representing an IPMT (x10). |
|
|

|
Figure 4. Histological findings: carcinomatous infiltrative structures representing an adenocarcinoma (x200). |
|
|
DISCUSSION
Intraductal papillary mucinous tumors are well-characterized groups of mucin-producing cystic neoplasms found in the pancreas. They have been reported with increasing frequency over the last decade [1]. In 1996, the World Health Organization (WHO) established criteria to classify IPMTs and to distinguish them from other pancreatic mucin-producing cystic tumors, such as mucinous cystadenomas and cystadenocarcinomas [2]. The WHO defines IPMTs as intraductal mucin-producing tumors with tall, columnar, mucin-containing epithelium with or without papillary projections. By definition, IPMTs lack the ovarian stroma characteristic of mucinous cystic neoplasms. IPMTs are most commonly located in the head of the pancreas in elderly males. They are classified as either main duct or branch type IPMTs, depending on their location. Colorectal cancer [3] and pancreatic ductal adenocarcinoma (pancreatic intraepithelial neoplasia to invasive ductal carcinoma) followed a well-defined adenoma-carcinoma sequence [4]; IPMTs seem to follow a similar pattern progressing from IPMT adenoma, to borderline IPMT with dysplasia, to IPMT with carcinoma in situ, and eventually to invasive carcinoma. Malignant IPMTs are commonly of the main-duct type while the branch types tend to be benign [5]. The clinical course of invasive adenocarcinoma derived from an IPMT is comparable to ductal adenocarcinoma [6]. Although many cases of IPMTs which evolve into adenocarcinoma have been reported, very few cases of IPMT associated with a concurrent pancreatic adenocarcinoma arising in other areas of the pancreas have been published [7, 8]. The greatest number of reported cases was by Yamaguchi et al. who reported 7 cases out of a total of 76 patients operated on for an IPMT [7]. All 7 IPMTs were of the branch type with a mean diameter of 3 cm. Compared with 70 other patients having pancreatic adenocarcinoma alone, the mean diameter of the 7 adenocarcinoma cases with a concomitant IPMT was smaller, the stages of the adenocarcinomas were earlier, and the survival curve was significantly better. Although the association between IPMTs and a concurrent adenocarcinoma, located in another area of the pancreas, may only be incidental, we suggest that IPMTs should be considered as an indicative factor of pancreatic adenocarcinoma. Nonetheless, further epidemiological examination of the relationship between IPMTs and concurrent adenocarcinoma is needed before fully drawing this conclusion.
In summary, clinicians need to pay particular attention to the possibility that the incidence of concurrent adenocarcinoma arising in other areas of the pancreas may be higher in patients with branch type IPMTs. Indeed, an IPMT may be a "red flag" for the diagnosis of concurrent adenocarcinoma at an early stage. A detailed radiologic examination of the pancreas is therefore recommended for patients with an IPMT, especially when an operation has been scheduled.
Received October 20th, 2009 - Accepted November 9th, 2009
Key words Adenocarcinoma; Neoplasms; Pancreas
Acknowledgment The authors thank Ms Antonia Giraud for her editorial assistance
Conflict of interest The authors have no potential conflicts of interest and they received no sources of financial support for this work
Correspondence
Julien
Jarry
Department of Surgery
Haut Leveque Hospital
Avenue Magellan
33000 Bordeaux
France
Phone: +33-066.435.2995
Fax: +33-055.684.7405
E-mail: julienjarry@hotmail.com
References
1. Sohn TA, Yeo CJ, Cameron JL, Iacobuzio-Donahue CA, Hruban RH, Lillemoe KD. Intraductal papillary mucinous neoplasms of the pancreas: an increasingly recognized clinicopathologic entity. Ann Surg 2001; 234:313-22. [PMID 11524584] (FULL TEXT: (Full text)
2. Kloppel G, Solcia E, Longnecker D, Capella C, Sobin LH, editors. Histological typing of tumours of the exocrine pancreas. WHO International Histological Classification of Tumours. 2nd ed. Berlin: Springer; 1996.
3. Cho KR, Vogelstein B. Genetic alterations in the adenoma-carcinoma sequence. Cancer 1992; 70:1727-31. [PMID 1516027] (FULL TEXT: (Full text)
4. Wilentz RE, Hruban RH. Pathology of cancer of the pancreas. Surg Oncol Clin North Am 1998; 7:43-65. [PMID 9443986]
5. Terris B, Ponsot P, Paye F, Hammel P, Sauvanet A, Molas G, et al. Intraductal papillary mucinous tumors of the pancreas confined to secondary ducts show less aggressive pathologic features as compared with those involving the main pancreatic duct. Am J Surg Pathol 2000; 24:1372-7. [PMID 11023098] (FULL TEXT: (Full text)
6. Fukushima N, Mukai K, Sakamoto M, Hasebe T, Shimada K, Kosuge T, et al. Invasive carcinoma derived from intraductal papillary-mucinous carcinoma of the pancreas: clinicopathologic and immunohistochemical study of eight cases. Virchows Arch 2001; 439:6-13. [PMID 11499841] (FULL TEXT: (Full text)
7. Yamaguchi K, Ohuchida J, Ohtsuka T, Nakano K, Tanaka M. Intraductal papillary-mucinous tumor of the pancreas concomitant with ductal carcinoma of the pancreas. Pancreatology 2002; 211:484-90. [PMID 12378117] (FULL TEXT: (Full text)
8. Kuroki T, Tajima Y, Tsuneoka N, Adachi T, Kanematsu T. Combined pancreatic resection and pancreatic duct-navigation surgery for multiple lesions of the pancreas: intraductal papillary mucinous neoplasm of the pancreas concomitant with ductal carcinoma of the pancreas. Hepatogastroenterology 2008; 55:1830-3. [PMID 19102402]