CASE REPORT
JOP. J Pancreas (Online) 2010 Jan 8; 11(1):58-60.
A Case of Advanced-Stage Sclerosing Cholangitis with Autoimmune Pancreatitis not Responsive to Steroid Therapy
Takahiro Nakazawa1, Itaru Naitoh1, Tomoaki Ando1, Kazuki Hayashi1, Fumihiro Okumura1, Katsuyuki Miyabe1, Michihiro Yoshida1, Hirotaka Ohara2, Takashi Joh1
Departments of 1Gastroenterology and Metabolism and 2Community-Based Medical Education, Nagoya City University Graduate School of Medical Sciences. Nagoya, Japan
ABSTRACT
Context Autoimmune pancreatitis and sclerosing cholangitis associated with autoimmune pancreatitis respond well to steroid therapy. Some criteria used for the differential diagnosis of autoimmune pancreatitis and sclerosing cholangitis with autoimmune pancreatitis include the response to a steroid trial. Case report A 68-year-old woman was diagnosed as having type 3 sclerosing cholangitis with autoimmune pancreatitis four years after clinical onset. Seven years after clinical onset, imaging findings revealed multiple pancreatic stones in an atrophic pancreas, stenosis of the main pancreatic duct in the head of the pancreas and upstream dilatation and a longer stretch of stenosis in the hilar hepatic region. We tried steroid therapy in an attempt to ameliorate stenosis of both the bile duct and the pancreatic duct and prevent further progression. Neither lesion responded to steroid therapy. Conclusion Advanced-stage sclerosing cholangitis with autoimmune pancreatitis may sometimes be unresponsive to steroid therapy, and this should be borne in mind when attempting a steroid trial for the diagnosis of sclerosing cholangitis with autoimmune pancreatitis. Early administration of steroid is important for the prevention of disease progression.
INTRODUCTION
Autoimmune pancreatitis is often associated with sclerosing cholangitis. Sclerosing cholangitis with autoimmune pancreatitis and primary sclerosing cholangitis are two different clinical entities [1, 2]. Although sclerosing cholangitis with autoimmune pancreatitis shows a similar cholangiographic appearance to primary sclerosing cholangitis, several characteristic cholangiographic features allow discrimination between the two entities [2, 3]. The most obvious difference between them is the effectiveness of steroid therapy since only sclerosing cholangitis with autoimmune pancreatitis responds well [1]. Some criteria used for the differential diagnosis of autoimmune pancreatitis [4, 5] and sclerosing cholangitis with autoimmune pancreatitis [6] include the response to a steroid trial. We herein report a case of sclerosing cholangitis with autoimmune pancreatitis which was challenging when considering the difficult problem of a steroid trial and the timing of steroid therapy for advanced-stage sclerosing cholangitis with autoimmune pancreatitis.
CASE REPORT
The patient was a 68-year-old woman who was admitted to our hospital due to liver function test abnormalities [7]. Endoscopic retrograde cholangiopancreatography (ERCP) revealed diffuse irregular narrowing in the head and body of the main pancreatic duct (Figure 1) and strictures of the hilar hepatic region and intrapancreatic bile duct. Abdominal computed tomography (CT) demonstrated diffuse enlargement of the pancreas. Four years after clinical onset, ERCP revealed longer strictures of the hilar hepatic region and intrapancreatic bile duct. In addition, the right lobe of the liver was atrophic. CT angiography revealed stenosis of the right branch of the portal vein. Laboratory tests showed elevation of the IgG4 level to 146 mg/dL (reference range: 4.8-105 mg/dL) and a positivity for antinuclear antibody with a titer of 1:320. The patient was diagnosed as having type 3 sclerosing cholangitis with autoimmune pancreatitis on the basis of our classification [2] and the Japanese diagnostic criteria for autoimmune pancreatitis [8]. However, steroid therapy was not initiated at the patient’s request [7].

|
Figure 1. Endoscopic retrograde cholangiopancreatography showing diffuse irregular narrowing in the head and body of the main pancreatic duct. |
|
|
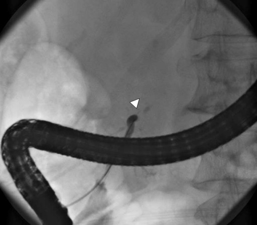
Seven years after clinical onset, abdominal CT revealed multiple pancreatic stones in an atrophic pancreas (Figure 2). ERCP (Figure 3) and magnetic resonance cholangiopancreatography (MRCP) (Figure 3) revealed stenosis of the main pancreatic duct in the head of the pancreas and upstream dilatation. MRCP (Figure 4) and ERC (Figure 5) revealed a longer stretch of stenosis in the hilar hepatic region. We tried steroid therapy in an attempt to ameliorate the stenosis of both the bile duct and the pancreatic duct, and prevent further progression. The initial dose of prednisolone was 30 mg, and this was gradually reduced. Two weeks, 7 weeks, and 11 weeks after the start of prednisolone administration, MRCP revealed no improvement of either the bile duct stenosis or the diffuse irregularity of the main pancreatic duct. The atrophic pancreas showed no change in size. The serum IgG and IgG4 levels decreased from 1,463 to 756 mg/dL (reference range: 870-1,700 mg/dL), and from 127 to 32.9 mg/dL, respectively. The steroid therapy was therefore stopped because of its ineffectiveness and the worsening of diabetes mellitus.

|
Figure 2. Abdominal CT showing multiple pancreatic stones in an atrophic pancreas. |
|
|

|
Figure 3. Endoscopic retrograde cholangiopancreatography showing obstruction of the main pancreatic duct in the head of the pancreas (arrowhead). |
|
|

|
Figure 4. Magnetic resonance cholangiopancreatography showing long strictures in the hilar hepatic region (arrows), stenosis of the main pancreatic duct in the the head of the pancreas (arrowhead) and upstream dilatation. |
|
|

|
Figure 5. Endoscopic retrograde cholangiography by using a balloon catheter showing a longer stretch of stenosis in the hilar hepatic region (arrows). |
|
|
DISCUSSION
This case of advanced-stage sclerosing cholangitis with autoimmune pancreatitis did not respond to steroid therapy. Sclerosing cholangitis with autoimmune pancreatitis usually shows a good response to steroid therapy, and the effectiveness of this steroid is one of the most important features for distinguishing sclerosing cholangitis with autoimmune pancreatitis from primary sclerosing cholangitis and pancreatic cancer. If we had not known the clinical course of this case, it would have been diagnosed as primary sclerosing cholangitis with ordinary chronic pancreatitis based solely on the ineffectiveness of the steroid therapy. Some cases of primary sclerosing cholangitis show elevated levels of serum IgG4. Mendes et al. [9] reported that 12 (9%) out of 127 primary sclerosing cholangitis patients had elevated serum IgG4 levels. Some cases of sclerosing cholangitis with/without autoimmune pancreatitis at the advanced stage might therefore be included into the category of primary sclerosing cholangitis.
In the present case, we did not administer steroids at the time of clinical onset, and during the clinical course, the right lobe of the liver and the pancreas became atrophic, and pancreatic stones developed. However, it is possible that, if steroids had been administered at an early stage, this case might have shown a response. Ghazale et al. reported that four patients (7%) out of 58 patients with IgG4-associated cholangitis developed portal hypertension and cirrhosis in their comparatively large sample [6].
Autoimmune pancreatitis responds to steroid therapy; some autoimmune pancreatitis patients improve spontaneously and some improve only after biliary drainage. Pancreatic enlargement and irregular narrowing of the main pancreatic duct usually improves in almost all patients, but marked atrophy of the pancreas develops in some patients [10]. Although autoimmune pancreatitis is rarely associated with pancreatic stones, stones are formed in some relapsing autoimmune pancreatitis patients [11]. The long-term prognosis for autoimmune pancreatitis is unknown.
Autoimmune pancreatitis and sclerosing cholangitis with autoimmune pancreatitis have a predominantly inflammatory nature early in their evolution, followed by relatively less inflammation but marked fibrous scarring later in the disease process. We considered that this was the reason this case did not respond to steroid therapy.
In summary, advanced-stage sclerosing cholangitis with autoimmune pancreatitis may sometimes be unresponsive to steroid therapy, and this should be borne in mind when attempting a steroid trial for the diagnosis of sclerosing cholangitis with autoimmune pancreatitis. The early administration of steroids is important for prevention of disease progression.
Received October 27th, 2009 - Accepted November 11th, 2009
Key words Autoimmune Diseases; Cholangitis, Sclerosing; Pancreatitis; Steroids
Conflict of interest The authors have no potential conflicts of interest
Correspondence
Takahiro
Nakazawa
Department of Gastroenterology and Metabolism
Nagoya City University
Graduate School of Medical Sciences
1 Kawasumi, Mizuho-cho, Mizuho-ku
Nagoya 467-8601
Japan
Phone: +81-52.853.8211
Fax: +81-52.852.0952
E-mail: tnakazaw@med.nagoya-cu.ac.jp
References
1. Nakazawa T, Ohara H, Sano H, Ando T, Aoki S, Kobayashi S, et al. Clinical differences between primary sclerosing cholangitis and sclerosing cholangitis with autoimmune pancreatitis. Pancreas 2005; 30:20-5. [PMID 15632695] (Full text)
2. Nakazawa T, Ohara H, Sano H, Ando T, Joh T. Schematic classification of sclerosing cholangitis with autoimmune pancreatitis by cholangiography. Pancreas 2006; 32:229. [PMID 16552350] (Full text)
3. Nakazawa T, Ohara H, Sano H, Aoki S, Kobayashi S, Okamoto T, et al. Cholangiography can discriminate sclerosing cholangitis with autoimmune pancreatitis from primary sclerosing cholangitis. Gastrointest Endosc 2004; 60:937-44. [PMID 15605009] (Full text)
4. Kim KP, Kim MH, Kim JC, Lee SS, Seo DW, Lee SK. Diagnostic criteria for autoimmune chronic pancreatitis revisited. World J Gastroenterol 2006; 12:2487-96. [PMID 16688792] (Full text)
5. Chari ST, Smyrk TC, Levy MJ, Topazian MD, Takahashi N, Zhang L, et al. Diagnosis of autoimmune pancreatitis: the Mayo Clinic experience. Clin Gastroenterol Hepatol 2006; 4:1010-6. [PMID 16843735] (Full text)
6. Ghazale A, Chari ST, Zhang L, Smyrk TC, Takahashi N, Levy MJ, et al. Immunoglobulin G4-associated cholangitis: clinical profile and response to therapy. Gastroenterology 2008; 134:706-15. [PMID 18222442] (Full text)
7. Hirano A, Nakazawa T, Ohara H, Ando T, Hayashi K, Tanaka H, et al. Liver atrophy and portal stenosis in two cases of sclerosing cholangitis associated with autoimmune pancreatitis. Intern Med 2008; 47:1689-94. [PMID 18827417] (Full text)
8. Okazaki K, Kawa S, Kamisawa T, Naruse S, Tanaka S, Nishimori I, et al. Clinical diagnostic criteria of autoimmune pancreatitis: revised proposal. J Gastroenterol 2006; 41:626-31. [PMID 16932998] (Full text)
9. Mendes FD, Jorgensen R, Keach J, Katzmann JA, Smyrk T, Donlinger J, et al. Elevated serum IgG4 concentration in patients with primary sclerosing cholangitis. Am J Gastroenterol 2006; 101:2070-5. [PMID 16879434] (Full text)
10. Kamisawa T, Okamoto A. Prognosis of autoimmune pancreatitis. J Gastroenterol 2007; 42 Suppl 18:59-62. [PMID 17520225] (Full text)
11. Takayama M, Hamano H, Ochi Y, Saegusa H, Komatsu K, Muraki T, et al. Recurrent attacks of autoimmune pancreatitis result in pancreatic stone formation. Am J Gastroenterol 2004; 99:932-7. [PMID 15128363] (Full text)