CASE REPORT
JOP. J Pancreas (Online) 2010 Jan 8; 11(1):69-71.
Laparoscopy Assisted Transjejunal ERCP for Treatment of Pancreaticopleural Fistula
Atif Saleem1, Mark D Sawyer2, Todd H Baron1
1Division of GI and Hepatology and 2Department of Surgery, Mayo Clinic. Rochester, MN, USA
ABSTRACT
Context Pancreaticopleural fistula is a rare complication estimated to occur in 0.5% of the patients with pancreatitis and even extremely rare in surgically altered anatomy (e.g. Roux-en-Y anastomosis) patients. The conventional ERCP is difficult to treat pancreaticopleural fistula in a patient with complex upper GI anatomy because of long anatomical route. Case report We represent a case of a 47-year-old female with remote subtotal gastrectomy with Roux-en-Y gastrojejunostomy admitted with recurrent left pleural effusion due to pancreaticopleural fistula. After failed ERCP through the anatomical route, pancreaticopleural fistula was treated successfully with laparoscopy-assisted transjejunal ERCP. Conclusion Laparoscopy-assisted ERCP is a useful modality in patients with surgically altered anatomy.
INTRODUCTION
ERCP is challenging in patients with surgically altered anatomy [1, 2], this is because of the distance needed to be traversed, looping, and lack of side-viewing capability. Although a percutaneous approach allows access to the biliary tract it is generally not useful for accessing the pancreatic ductal system. We describe laparoscopy-assisted transjejunal ERCP to allow successful treatment of a pancreaticopleural fistula.
CASE REPORT
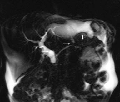
A 47-year-old female with a history of chronic alcoholic pancreatitis and remote subtotal gastrectomy with Roux-en-Y gastrojejunostomy was referred to for management of a pancreaticopleural fistula. The patient presented with worsening dyspnea. Thoracentesis of a large left pleural effusion was done showing a markedly elevated amylase (138.000 IU/L). MRI revealed a pancreatic pseudocyst with a pancreaticopleural fistula (Figure 1). The patient required daily therapeutic thoracentesis because of a shortness of breath.

|
Figure 1. MRI showing a leak from the main pancreatic duct (narrow arrow) into fluid tracking superiorly toward the left pleural space (wide arrow). |
|
|
Initial ERCP was attempted using a standard pediatric colonoscope (PCF-Q180AL, Olympus Corporation, Center Valley, PA, USA). The jejunojejunostomy was reached. Subsequently, the major papilla was identified. Unfortunately, because an en face view of the major papilla could not be achieved pancreatography was unsuccessful. The following day the patient underwent laparoscopic assisted ERCP.
In the operating room under general endotracheal anesthesia, a total of three trocars were placed. A Hasson trocar was placed in the infraumbilical position with moderate difficulty due to adhesions but there were no complications or bowel injury.
An additional two ports were placed in the right side; a 10/12-mm port in the subcostal position and a 5-mm port approximately 8 cm inferior to this. Since it was difficult to determine which limb was the afferent limb, a pediatric colonoscope was inserted transorally while observing intra-abdominally. The biliopancreatic limb was then identified. Following this, the bowel was easily drawn up to the abdominal wall through the right subcostal laparoscopic port. A longitudinal enterotomy was performed and tacked to the skin in the right subcostal area using four 3-0 silk sutures. A therapeutic-channel video duodenoscope (TJF-160VF, Olympus Corporation, Center Valley, PA, USA) was introduced into the enterotomy and advanced to the level of the major papilla, which was only approximately 20 cm from the enterotomy. Using portable C-arm fluoroscopy the pancreatic duct was easily cannulated and pancreatography was performed. The main duct was without obvious stricture. Extravasation of contrast was seen at the mid pancreatic duct (Figure 2). A hydrophilic guidewire was advanced beyond the leak to the tail of the pancreas. A 7-French, 12-cm pancreatic duct stent was placed across the leak (Figure 3). A pancreatic sphincterotomy was performed using a needle knife over the pancreatic duct stent. The bowel was then freed from the skin and the enterotomy was closed.

|
Figure 2. Radiographic image showing endoscope in position passed retrograde. A pancreatic leak is identified and is identical to the MRI. |
|
|

|
Figure 3. Radiographic image following placement of a 7Fr transpapillary stent across the pancreatic leak. |
|
|
Post-operatively, the patient did not require additional thoracentesis and discharged home 5 days later. She continued to improve and a follow-up chest X-ray one month later showed near complete resolution of the pleural effusion. The pancreatic stent was removed using the pediatric colonoscope in the ERCP suite with moderate sedation. A pancreatogram was not performed, again because the papilla could not be seen en face. Then patient continues to do well 2 months later.
DISCUSSION
To our knowledge this is the first case report of laparoscopic assisted transjejunal ERCP.
In patients with complex upper GI tract anatomy per oral ERCP is challenging because of the long-length anatomy, endoscopic stability and lack of side-viewing endoscopes.
Intraoperative ERCP is usually performed in patients with Roux-en-Y gastric bypass in which the papilla is usually not accessible endoscopically [3]. The excluded stomach is accessed to allow anterograde endoscope passage to the papilla. In our case the only intraoperative option was a transjejunal approach. Intraoperative transjejunal ERCP using an open approach with a small incision was first reported by Mergener et al. [4]. In that case successful biliary intervention was performed in a patient with a Roux-en-Y hepaticojejunostomy. It is important to note that in this case the papilla could be reached in order to retrieve the stent without need for a second laparoscopic procedure. If this was not the case, another option would have been to place a nasopancreatic tube at the time of laparoscopically-assisted ERCP. The nasopancreatic tube could have been withdrawn non-endoscopically when the leak was confirmed to be closed by contrast injection through the tube. This case confirms the feasibility of laparoscopic transjejunal ERCP and is useful in selected cases when pancreatic intervention is required. Since these procedures require expertise in laparoscopic surgery and ERCP, they are likely to be useful for a limited number of patients and probably best performed in a tertiary center.
Received November 18th, 2009 - Accepted December 3rd, 2009
Key words Anastomosis, Roux-en-Y; Cholangiopancreatography, Endoscopic Retrograde; Hydrothorax; Pancreatic Fistula /therapy
Conflict of interest The authors have no potential conflicts of interest
Correspondence
Todd
H Baron
Division of GI and Hepatology
Mayo Clinic
200 First Street, SW, Charlton 8A
Rochester, MN 55905
USA
Phone: +1-507.266.6931
Fax: +1507.266.3939
E-mail: baron.todd@mayo.edu
References
1. Feitoza AB, Baron TH. Endoscopy and ERCP in the setting of previous upper GI tract surgery. Part II: postsurgical anatomy with alteration of the pancreaticobiliary tree. Gastrointest Endosc 2002; 55:75-9. [PMID 11756919] (Full text)
2. Feitoza AB, Baron TH. Endoscopy and ERCP in the setting of previous upper GI tract surgery. Part I: reconstruction without alteration of pancreaticobiliary anatomy. Gastrointest Endosc 2001; 54:743-9. [PMID 11726851] (Full text)
3. Dapri G, Himpens J, Buset M, Vasilikostas G, Ntounda R, Cadière GB. Laparoscopic transgastric access to the common bile duct after Roux-en-Y gastric bypass. Surg Endosc 2009; 23:1646-8. [PMID 19343441] (Full text)
4. Mergener K, Kozarek RA, Traverso LW. Intraoperative transjejunal ERCP: case reports. Gastrointest Endosc 2003; 58:461-3. [PMID 14528232] (Full text)