CASE REPORT
JOP. J Pancreas (Online) 2010 Jan 8; 11(1):72-74.
Obstructive Jaundice Due to a Pancreatic Mass: A Rare Presentation of Acute Lymphoblastic Leukaemia in an Adult
Sudin Varghese Daniel1, Deven Harshad Vani2, Andrew Melvin Smith1, Quentin Antony Hill1, Krishna Viswanath Menon1
1St James’s University Hospital. Leeds, United Kingdom. 2Pinderfields General Hospital. Wakefield, United Kingdom
ABSTRACT
Context To highlight a rare presentation of acute lymphoblastic leukaemia. Case report A 39-year-old man presented with a 4 month history of weight loss and a 6 week history of upper abdominal pain radiating to the back with nausea and vomiting. Liver function tests showed an obstructive picture, full blood count was normal and on computerised tomography there was diffuse enlargement of the pancreas, with dilatation of the common bile duct and intra hepatic biliary radicles. Four weeks after presenting, the white cell count became elevated with blasts on the blood film and bone marrow biopsy revealed a precursor B cell acute lymphoblastic leukaemia. After induction chemotherapy his jaundice resolved, the pancreatic mass reduced in size and he is now in a complete remission. Conclusion Acute lymphoblastic leukaemia may mimic common causes of a pancreatic mass such as adenocarcinoma and should be considered as part of the differential diagnosis when atypical features are present.
INTRODUCTION
Cholestatic jaundice is an unusual presentation of acute lymphoblastic leukaemia. It is even rarer to be caused by involvement of the pancreas resulting in obstructive jaundice. We report a case of B cell acute lymphoblastic leukaemia presenting as a pancreatic mass and obstructive jaundice.
CASE REPORT
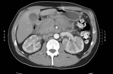
A 39-year-old man presented with a 4-month history of 6 kg weight loss and a 6-week history of upper abdominal pain radiating to the back with nausea and vomiting. He had no significant past medical history and apart from jaundice and tenderness in the upper abdomen, examination was normal. Laboratory investigations showed a haemoglobin concentration of 13.5 g/dL (reference range: 11.5-16.5 g/dL), total white cell count of 5.0x109/L (reference range: 4-11x109/L) with a normal differential white cell count, bilirubin of 6 µmol/L (reference range: 3-21 µmol/L) , alanine transaminase of 43 IU/L (reference range: 10-60 IU/L), and alkaline phosphatase of 175 IU/L (reference range: 25-125 IU/L). Computerised tomography (CT) showed a diffusely enlarged pancreas with dilatation of the common bile duct and intrahepatic biliary tree. The pancreatic mass measured 4 cm at the head of pancreas and 4.5 cm at the body. A single left para-aortic node of 1.7 cm was also found (Figure 1) but there were no other abnormalities. Radiologically, the differential diagnosis included autoimmune pancreatitis or primary pancreatic lymphoma, however, IgG4 levels, pancreatic autoantibodies and CA 19-9 measurements were unremarkable. Four weeks after the initial blood tests, bilirubin and alanine transaminase were stable but alkaline phosphatase had increased to 1,699 IU/L and the white cell count increased to 44x109/L. The blood film showed blast cells (33% of total white cell count) and subsequent bone marrow aspirate and trephine revealed a diagnosis of precursor B cell lymphoblastic leukaemia (Figure 2). Cytogenetics identified a t(4;11) chromosomal translocation with a mixed lineage leukaemia gene rearrangement.

|
Figure1. CT scan of the pancreatic mass at presentation. |
|
|

|
Figure 2. Bone marrow trephine at presentation (x40). Cellular marrow with heavy infiltration by leukaemic blast cells indicated by the white arrows. |
|
|
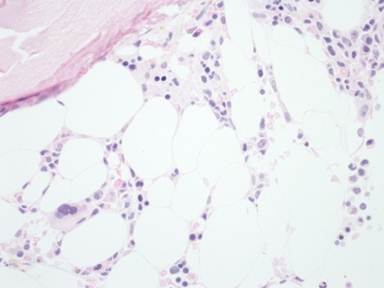
He was commenced on chemotherapy according to the UK acute lymphoblastic leukaemia protocol (UK ALL XII trial). Induction phase 1 consists of intravenous daunorubicin 60 mg/m2 and vincristine 1.4 mg/m2 at days 1, 8, 15 and 22. Also oral prednisolone 60 mg/m2 days 1-28, intramuscular asparaginase 5,000 IU/m2 at days 17, 19, 21, 23, 25, 27, 29 and intrathecal methotrexate 12.5 mg on day 24. Bone marrow reassessment is conducted on recovery of counts, at or after day 28 to establish remission status. Subsequent treatment involves a second induction phase, intensification with high dose methotrexate and if in study (patient not in trial), a randomisation to either transplantation or further chemotherapy. The latter involves cranio-spinal irradiation followed by 4 cycles of consolidation and then 1 year of maintenance chemotherapy. During this time he developed diabetes mellitus due to pancreatic dysfunction, possibly secondary to leukaemic infiltration or as a consequence of corticosteroids and chemotherapy. A significant drop in bilirubin, alkaline phosphatase and white cell count was noticed within a week, and after 25 days of treatment his jaundice completely resolved. Follow-up CT showed a reduction of the mass from 4 cm to 1.7 cm in the pancreatic head and from 4.5 cm to 1.6 cm in the body of the pancreas. The left para-aortic node decreased in size from 1.7 cm to 1.1 cm (Figure 3) and no new sites of disease were identified. After initial induction chemotherapy, a repeat bone marrow assessment showed complete remission with no residual disease by flow cytometry (Figure 4). However, because of the adverse cytogenetics, he has been referred for allogeneic bone marrow transplantation in first remission.

|
Figure3. CT scan showing resolution of the pancreatic mass after chemotherapy. |
|
|

|
Figure 4. Bone marrow trephine following induction chemotherapy (x40). Hypoplastic appearance due to chemotherapy but normal tri-lineage haematopoiesis is present. Remission was confirmed by flow cytometry. |
|
|
DISCUSSION
Pancreatic involvement in acute lymphoblastic leukaemia is rare [1, 2, 3] and obstructive jaundice secondary to a pancreatic mass as a primary presentation of acute lymphoblastic leukaemia has not been reported in the surgical literature. Acute lymphoblastic leukaemia typically presents with symptoms of bone marrow failure such as fatigue, lethargy, infections, bruising or bleeding. Approximately half the patients will have lymphadenopathy, splenomegaly or hepatomegaly at presentation. Full blood count may reveal cytopenias or (as in this case) a raised white cell count due to circulating blast cells. Although long term survival in adults is less good than children, acute lymphoblastic leukaemia is an important diagnosis to make because it is highly chemo-sensitive, with 91% of adults achieving complete remission following induction therapy in the recent UK ALL XII trial [4]. If suspected, a haematological referral is required since the diagnostic procedure of choice is a bone marrow aspirate and trephine.
Acute lymphoblastic leukaemia has also been reported to present as cholestatic jaundice through diffuse infiltration of liver sinusoids by leukaemic blasts [5]. Another rare manifestation of leukaemia is obstructive jaundice as a presenting feature of granulocytic sarcoma of the common bile duct in acute myeloid leukaemia [6]. Lymphomas are a more common haematological cause of pancreatic involvement however, especially in the advanced stages of non-Hodgkin’s lymphoma [7].
In conclusion, acute lymphoblastic leukaemia is a rare cause of obstructive jaundice secondary to a pancreatic mass. As such, it may mimic more common conditions such as adenocarcinoma of the pancreas or pancreatic lymphoma. It should be considered if there are full blood count abnormalities, organomegaly or atypical radiological features to the pancreatic mass. Treatment of the underlying leukaemia achieves resolution of the pancreatic mass and attendant cholestasis.
Received November 13th, 2009 - Accepted December 9th, 2009
Key words Exocrine Pancreatic Insufficiency; Jaundice, Obstructive; Leukemia
Conflict of interests None
Financial interests/obligations None
Correspondence
Sudin
V Daniel
Department of HPB and Transplant
Ground Floor, Lincoln Wing
St James’s University Hospital
Leeds
United Kingdom LS97TF
Phone: +44-788.699.3551
Fax: +44-535.653.137
E-mail: sudinvd@hotmail.com
Mailing address
26 Styveton way
Keighley, West Yorkshire
United Kingdom BD206TP
References
1. Devictor D, Tahiri C, Fagre M, Meilot F, Dussaix E. Early pre-B acute leukaemia presenting as fulminant liver failure. J Paediatric Gastroenterol Nutr 1996; 22:103-6. [PMID 8788296] (Full text)
2. Patel KJ, Latif SU, de Calaca WM. An unusual presentation of precursor T cell lymphoblastic leukaemia/lymphoma with cholestatic jaundice: case report. J Hematol Oncol 2009; 2-12. [PMID 19284608] (Full text)
3. Malbora B, Avci Z, Alioglu B, tutar NU, Ozbek N. A case with mature B-cell acute lymphoblastic leukemia and pancreatic involvement at the time of diagnosis. J Pediatric Hematol Oncol 2008; 30:87-9. [PMID 18176191] (Full text)
4. Rowe JM, Buck G, Burnett AK, Chopra R, Wiernik PH, Richards SM, et al. Induction therapy for adults with acute lymphoblastic leukemia: results of more than 1500 patients from the international ALL trial: MRC UKALL XII/ECOG E2993. Blood 2005; 106:3760-7. [PMID 16105981] (Full text)
5. Takamatsu T. Preferential infiltration of live sinusoids in acute lymphoblastic leukaemia. Rinsho Ketsueki 2001; 42:1181-6. [PMID 11828721] (Full text)
6. Mano Y, Yokoyama K, Chen CK, Tsukada Y, Ikeda Y, Okamoto S. Acute myeloid leukemia presenting with obstructive jaundice and granulocytic sarcoma of the common bile duct. Rinsho Ketsueki 2004; 45:1039-43. [PMID 15510832] (Full text)
7. Paissan A, Wachs A, Arias M, Abeidano A, Frider B. Obstructive jaundice associated Burkitt's lymphoma mimicking pancreatic carcinoma. Acta Gastroenterol Latinoam 2007; 37:246-9. [PMID 18254263]