CASE REPORT
JOP. J Pancreas (Online) 2010 Jan 8; 11(1):75-77.
Medial Pancreatectomy for a Neuroendocrine Tumor Invading the Splenic Artery and Vein
Abdelmounaim Ait-Ali1, Ibrahima Sall1, Hakim El-Kaoui1, Sidi Mohammed Bouchentouf1, Abderrahmane El-Hjouji1, Fadwa Rouibaa2, Ahmed Benkirane2, Ahmed Bounaim1, Aziz Zentar1, Khalid Sair1
Departments of 1Digestive Surgery 1 and 2Gastroenterology, Mohammed V Military Hospital, Mohammed V University of Rabat. Rabat, Morocco
ABSTRACT
Context Pancreatic tumors in the midportion have traditionally been treated by an extended right or left pancreatectomy. A medial or central pancreatectomy is an alternative technique for benign or low-grade malignant neoplasms located to the left of the gastroduodenal artery and close to the splenomesenteric confluence. Case report A 38-year-old woman with no previous surgical history presented with epigastric abdominal pain. A computed tomography scan showed a 4 cm heterogeneous lesion within the pancreatic body. This tumor invaded the splenic artery and vein. There was no postoperative diabetes mellitus or exocrine insufficiency. The patient continues to be well after a 10-month follow-up without pancreatic insufficiency or local recurrence, and CT has demonstrated splenic perfusion by the collateral vessels. Conclusion We believe that a medial or central pancreatectomy may be a safe procedure where there is involvement of the large splenic vessels by a low grade malignant pancreatic tumor and that a systematic splenectomy is not justified.
INTODUCTION
Pancreatic tumors in the midportion have traditionally been treated by an extended right or left pancreatectomy. A medial or central pancreatectomy is an alternative technique for benign or low-grade malignant neoplasms located to the left of the gastroduodenal artery and close to the splenomesenteric confluence [1]. Preserving a part of the distal pancreatic parenchyma reduces the risk of post-operative exocrine and endocrine insufficiency [2]. Another challenge when performing this procedure involves splenic preservation. This case study demonstrates the safety of medial or central pancreatectomy with preservation of the spleen, even when there is involvement of the large splenic great vessels by benign or low-grade neoplasms.
CASE REPORT
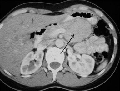
A 38-year-old woman with no previous surgical history presented with epigastric abdominal pain. Ultrasound examination and a computed tomography (CT) scan showed a 4 cm heterogeneous lesion in the pancreatic body. This tumor invaded the splenic artery and vein (Figure 1). No lymph node extension was noted. Endoscopic ultrasound-guided (Figure 2) fine-needle biopsy confirmed a neuroendocrine tumor. Biologic tests regarding the suspicion of a functional neuroendocrine tumor were normal. The patient was referred for surgical treatment.

|
Figure 1. Pancreatic tumor in the midportion of the pancreas on contrast-enhanced CT. |
|
|

|
Figure 2. Pancreatic tumor and the splenic vein (endoscopic ultrasound). |
|
|
A bilateral subcostal approach was performed. The gastrocolic ligament was divided, and the corpus of the pancreas was exposed by retracting the stomach upwards. An incision along the superior and inferior border of the organ was performed. The tumor was found to involve the entire pancreatic body. The short gastric vessels and left gastroepiploic vessels were turgescent. This was a sign of segmental portal hypertension caused by obstruction of the splenic vein. The parenchyma of the pancreatic tail and head was easily visible and appeared to be normal. The decision regarding the resection procedure was based on the preoperative imaging studies and on this visual inspection. A central pancreatic resection was attempted. The posterior side of the pancreatic body was exposed 1 cm proximal to the tumor, and the mesenteric vein and mesenteric artery were successively dissected from the posterior surface of the pancreas. Pancreatic transection was carried out above the isthmus. The splenic artery and vein involved were divided on the proximal and distal sides of the tumor. The duct was isolated and transected. The proximal duct stump was closed by a one layer suture. After completing the resection (Figure 3), a Roux-en-Y jejunal loop was approximated to the pancreas and a pancreaticojejunostomy was performed (Figure 4). A non-suction silicone drain was placed near the pancreatic remnant and removed 5 days later. Octreotide was perioperatively administered to the patient for 5 days.

|
Figure 3. Pancreatic tumor after excision. |
|
|

|
Figure 4. Proximal pancreas and jejunal Roux-en-Y pancreaticojejunostomy. |
|
|
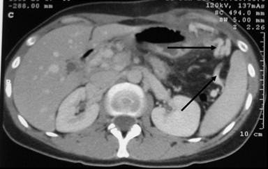
The nasogastric tube was removed on the third postoperative day. Oral intake started 5 days after surgery. The hospital stay was 12 days. Pathologic findings showed a well-differentiated neuroendocrine tumor. No postoperative diabetes mellitus or exocrine insufficiency was noticed. The patient continues to be well after a 10-month follow-up without pancreatic insufficiency or local recurrence, and CT has demonstrated real splenic perfusion by the collateral vessels on CT (Figures 5 and 6).

|
Figure 5. Perfusion of the remnant splenic artery by collateral vessels on contrast- enhanced CT. |
|
|

|
Figure 6. Perfusion of collateral splenic veins on contrast- enhanced CT. |
|
|
DISCUSSION
A medial or central pancreatectomy was first described in 1957 in a patient with chronic pancreatitis [3]. The procedure included medial division of the pancreas with anastomosis of both pancreatic remnants by an omega-shaped jejunal loop. Surgery is still the only potentially curative therapy for neuroendocrine tumors of the pancreas. Surgical treatment of neuroendocrine tumors of the pancreas usually consists of enucleation or formal pancreatectomy. Unfortunately, benign lesions of the neck and proximal body of the pancreas constitute a complex surgical problem; enucleation is not always achievable, and an extended pancreatectomy may result in impaired endocrine and exocrine function. In order to reduce the extent of the resection of the normal pancreatic parenchyma around the lesion, many authors have proposed a limited resection centered on the neck and proximal body of the pancreas with complete excision of the tumor. In 1988, Warshaw [4] described a technique of distal pancreatectomy with splenic preservation in which the splenic vessels are ligated at the splenic hilum. Others [5] have described the technique of preserving both the splenic artery and vein.
According to Iacono et al. [6], the rationale for a medial or central pancreatectomy or a central pancreatectomy alone is to remove the neoplasm, preserving the functional parenchyma and avoiding a major resection, such as a pancreaticoduodenectomy or a left splenopancreatectomy. Therefore, there is no risk of diabetes and exocrine insufficiency and the upper digestive and biliary anatomy is maintained with consequent digestive, immunologic and coagulative advantages. To perform such a technique, basic conditions are necessary [6]: tumor size between 2 and 5 cm where a simple enucleation entails a high risk of injury to the main pancreatic duct; small tumors which are deeply located in the gland and are therefore not eligible for enucleation; benign or low-grade malignant tumors (endocrine tumors, serous and mucinous cystadenomas, non-invasive intraductal mucinous producing tumors, solid pseudopapillary tumors) in which a conservative resection can be carried out with free margins; non-neoplastic cystic lesions (lymphoepithelial, dermoid and hydatid cysts) not suitable for enucleation, solitary metastases to the pancreatic neck (especially renal metastasis) and pancreatic endocrine tumors with metastases undergoing multimodal treatment; focal chronic pancreatitis with an isolated and short stenosis of Wirsung’s duct. We believe that a medial or central pancreatectomy may be a safe procedure when the large splenic vessels are involved by a low grade malignant pancreatic tumor, and a systematic splenectomy or an extended pancreatectomy is not justified. However, performing a spleen-preserving medial or central pancreatectomy requires some criteria. First, the tumor should be benign or of low grade malignancy. Second, in order to preserve the spleen, the large vessels should not be divided so that the collateral vascular system (short gastric vessels and left gastroepiploic vessel) is effective. The first criteria support the fact that a lymphadenectomy should not be a concern for middle segment pancreatectomy [7]. Because lymph node dissection is not mandatory for those tumors, limited local excision is justified. In our case, the development of segmental portal hypertension confirmed that the collateral system was effective.
A central pancreatectomy is a surgical technique which offers good results in treating benign and low-grade malignant tumors [8]. It guarantees the preservation of the functional parenchyma and avoids a potentially overwhelming post-splenectomy infection and the thrombotic complication of splenectomy, even if the large splenic vessels are involved.
Received November 30th, 2009 - Accepted December 17th, 2009
Key words Neuroendocrine Tumors; Pancreatectomy; Splenectomy
Conflicts of interest The authors declare no conflicts of interest
Correspondence
Ibrahima
Sall
Department of Digestive Surgery 1
Mohammed V Military Hospital
Hay Riad BP 10 000
Rabat
Morocco
Phone: +221-77.738.2200
Fax: +212-053.771.4419
E-mail: sall_i17@yahoo.fr
References
1. Fagniez PL, Kracht M, Rotman N. Limited conservative pancreatectomy for benign tumours: a new technical approach. Br J Surg 1988; 75:719. [PMID 3416130] (Full text)
2. Sauvanet A, Partensky C, Sastre B, Gigot JF, Fagniez PL, Tuech JJ, et al. Medial pancreatectomy: a multi-institutional retrospective study of 53 patients by the French Pancreas Club. Surgery 2002; 132:836-43. [PMID 12464868] (Full text)
3. Guillemin P, Bessot M. Chronic calcifying pancreatitis in renal tuberculosis: pancreatojejunostomy using an original technic. Mem Acad Chir (Paris) 1957; 83:869-71. [PMID 13503655]
4. Warshaw AL. Conservation of the spleen with distal pancreatectomy. Arch Surg 1988; 123:550 -3. [PMID 3358679] (Full text)
5. Kimura W, Inoue T, Futakawa N, Shinkai H, Han I, Muto T. Spleen-preserving distal pancreatectomy with conservation of the splenic artery and vein. Surgery 1996; 120:885-90. [PMID 8909526] (Full text)
6. Iacono C, Bortolasi L, Facci E, Nifosì F, Pachera S, Ruzzenente A, Guglielmi A. The Dagradi-Serio-Iacono Operation Central Pancreatectomy. J Gastrointest Surg 2007; 11:364-76. [PMID 17458612] (Full text)
7. Warshaw AL, Rattner DW, Fernández-del Castillo C, Z'graggen K. Middle segment pancreatectomy. A novel technique for conserving pancreatic tissue. Arch Surg 1998; 133: 327-31. [PMID 9517749] (Full text)
8. Iacono C, Bortolasi L, Serio G. Is there a place for central pancreatectomy in pancreatic surgery? J Gastrointest Surg 1998; 2:509-17. [PMID 10457309] (Full text)