MULTIMEDIA ARTICLE - Clinical Imaging
JOP. J Pancreas (Online) 2010 Jan 8; 11(1):78-84.
Endoscopic Ultrasonography Findings in Autoimmune Pancreatitis: Be Aware of the Ambiguous Features and Look for the Pivotal Ones
Stefania De Lisi1, Elisabetta Buscarini2, Paolo Giorgio Arcidiacono3, Mara Petrone3, Fernanda Menozzi2, Pier Alberto Testoni3, Alessandro Zambelli2
1Chair and Unit of Gastroenterology, Di.Bi.M.I.S., University of Palermo. Palermo, Italy. 2Department of Gastroenterology, ‘Maggiore’ Hospital. Crema (CR), Italy. 3Department of Gastroenterology, I.R.C.C.S ‘San Raffaele’, ‘Vita e Salute San Raffaele’ University. Milan, Italy
Summary
Autoimmune pancreatitis is a form of chronic pancreatitis caused by an autoimmune process. The classical appearance of autoimmune pancreatitis in abdominal imaging is diffuse pancreatic enlargement, but the focal form appears as a mass and often involves the pancreatic head; this scenario represents a challenging diagnostic problem because these features also resemble pancreatic cancer. We present the endoscopic ultrasound findings of seven patients with autoimmune pancreatitis in order to highlight the ambiguous features and the features pivotal for the diagnosis.
Introduction
Autoimmune pancreatitis is a rare type of chronic pancreatitis with clinical, serological and histological features suggestive of an autoimmune process [1].
Autoimmune pancreatitis predominantly affects elderly men, and the more common symptoms and signs are painless jaundice, weight loss, abdominal pain and diabetes which can improve either spontaneously or with steroid therapy [2]. Typical biochemical findings reveal biliary obstruction, high blood glucose and elevated carbohydrate-associated antigen 19-9 (CA 19-9). IgG4 is a serologic marker of autoimmunity and it is detectable histopathologically in the dense pancreatic lymphoplasmacytic infiltrate.
Autoimmune pancreatitis can be associated with other autoimmune diseases and involves extrapancreatic organs, most commonly the biliary tree.
The Japanese Pancreas Society has proposed three diagnostic criteria for autoimmune pancreatitis [3, 4]:
i) diffuse or segmental narrowing of the main pancreatic duct with an irregular wall and enlargement of the pancreas detected by imaging studies;
ii) elevated levels of serum gamma globulin and/or IgG4 or the presence of autoantibodies;
iii) fibrotic changes with lymphocyte and plasma cell infiltrate.
To make a diagnosis, the first imaging criterion is necessary, together with a second criterion, either ii or iii.
There is no unanimous consensus on diagnostic criteria; the Italian criteria proposed by Frulloni et al. [5] are:
· in patients who have undergone surgery: pathology in surgical specimens;
· in patients who have not undergone surgery: 3 of the 4 following criteria:
i) consistent histology or cytology which should exclude pancreatic cancer and may reveal the presence of granulocyte epithelial lesions;
ii) suggestive radiological findings;
iii) association with autoimmune diseases or the presence of extrapancreatic involvement;
iv) response to steroid therapy.
However, as demographic, clinical, biochemical and imaging features of autoimmune pancreatitis can be similar to those of pancreatic carcinoma, the diagnosis of autoimmune pancreatitis can be difficult. On the other hand, a diagnostic definition clarifies the benign nature of this condition and allows the correct therapeutic approach, using steroids to improve the symptoms whereas surgery is unnecessary and should be avoided; spontaneous remission is also described [6].
The aim of the present report was to highlight the endoscopic ultrasonographic (EUS) features of autoimmune pancreatitis, both the ambiguous features or those which can be pivotal for diagnosis.
Case Series
We present seven patients who were admitted to our Gastroenterology Departments between 2005 and 2008. A diagnosis of autoimmune pancreatitis was histologically proven in all cases.
Patient#1: Diffuse form of autoimmune pancreatitis.
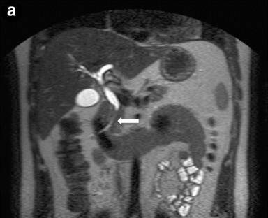
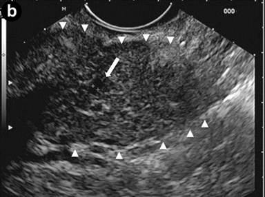
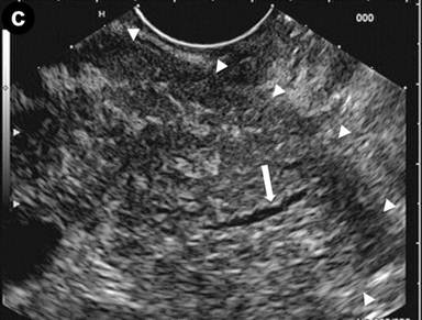
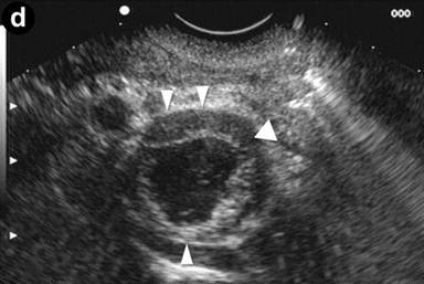
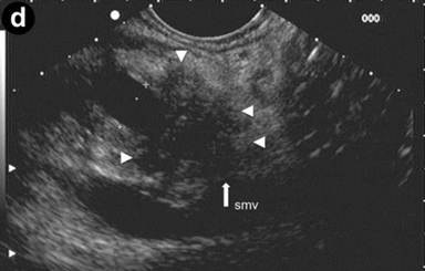
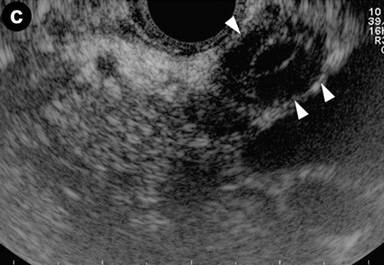
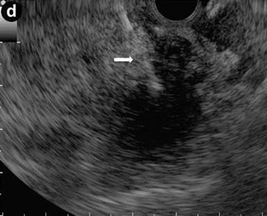
A 24-year-old man presenting with jaundice and elevated levels of IgG4 (366 mg/dL; reference range: 8-140 mg/dL). Magnetic resonance cholangiopancreatography (MRCP) was requested; the T2-weighted coronal scan (Image 1a) showed dilated intra- and extra-hepatic bile ducts with an abrupt stricture (arrow) of the intrapancreatic common bile duct; the pancreatic duct was narrowed throughout its course. Subsequent EUS (Image 1bc) revealed a diffusely and substantially enlarged pancreatic gland (arrowheads) with echopoor echotexture and a normal main pancreatic duct having a diameter of 1.3 mm (Image 1b, arrow), measured with calipers (Image 1c, arrow). Hyperechoic septa were well visible in the enlarged gland. Stenosis of the distal bile duct was due to a diffuse thickening of the wall with an intermediate echopoor layer, and echorich outer and inner layers ("sandwich-pattern") (Image 1d, arrowheads).




|
Image 1 |
|
|
Patient#2: Diffuse form of autoimmune pancreatitis.
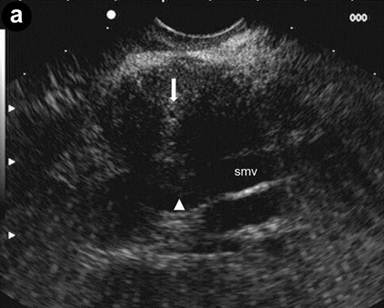
A 36-year-old man with jaundice and mild abdominal pain. Computed tomography (CT) showed dilated intra- and extra-hepatic bile ducts with diffuse pancreatic swelling. EUS linear scanning (Image 2a) showed an enlarged pancreatic head with an irregular hypoechoic lesion, loss of interface (arrowhead) with the superior mesenteric vein (smv), and a normal main pancreatic duct (arrow). The remaining pancreas (Image 2b) was also diffusely enlarged with hypoechoic echotexture and hyperechoic septa. The patient responded to steroid therapy.


|
Image 2 |
|
|
Patient#3: Focal form of autoimmune pancreatitis.
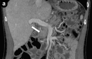
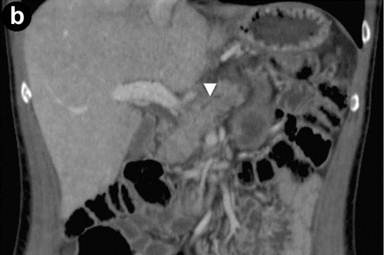
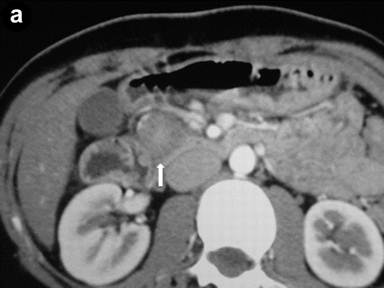
A 43-year-old man referred to us for abdominal pain and weight loss. IgG4 levels were elevated (298 mg/dL). Coronal scans with contrast enhanced CT (Image 3ab) showed the pancreatic head was enlarged with hypodense areas (2.7 cm, arrow) without vascular involvement of the mesenteric vessels. The pancreatic duct was dilated in both the body and the tail regions (arrowhead); the biliary tree was normal. The CT scan findings suggested pancreatic cancer. EUS and EUS-FNB were requested. Linear scanning (Image 3c) showed an enlarged pancreatic head with a focal hypoechoic mass (22 mm measured with calipers) with irregular margins (arrowheads). Upstream dilatation of the main pancreatic duct (8 mm, measured with calipers) in the body-tail regions was associated with the echopoor focal lesion (arrowheads); the lesion had close contact with the superior mesenteric vein (Image 3d). On EUS Doppler study (Image 3e), the echopoor lesion of the pancreatic head (arrowheads) appeared hypovascular; the superior mesenteric artery (arrow) and vein were patent.





|
Image 3 |
|
|
Patient#4: Focal form of autoimmune pancreatitis.
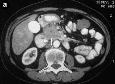
A 21-year-old woman presented with abdominal pain and a sonographic finding of a dilated main pancreatic duct in both the body and the tail sections. Axial images of the contrast-enhanced CT scan (arterial phase) (Image 4a) showed an enlarged pancreatic head with a hypodense lesion (arrow). Radial scanning EUS (Image 4b) confirmed a hypoechoic focal lesion of the pancreatic head (arrows) with an upstream dilatation of the common bile duct; the choledochal wall showed thickening with a "sandwich-pattern" (arrowheads). IgG4 levels were elevated.


|
Image 4 |
|
|
Patient#5: Focal form of autoimmune pancreatitis.
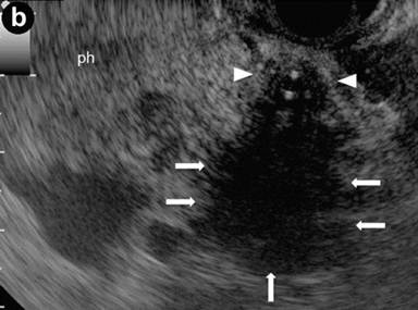
A 64-year-old woman presented with painless jaundice, itching and a recent diagnosis of diabetes mellitus. Serum IgG4 levels were elevated (310 mg/dL). Contrast-enhanced axial CT (portal phase) revealed that the pancreatic head was substantially enlarged, with an ill-defined hypodense area (arrow) (Image 5a). Linear EUS (Image 5b) showed a focal roundish echopoor lesion of 23 mm (arrows) in the pancreatic head (ph), and the common bile duct (arrowheads) had a diffusely thickened wall, with a "sandwich-pattern" (Image 5c). The EUS-FNB (arrow points to the needle) of the echo-poor lesion is shown in Image 5d.




|
Image 5 |
|
|
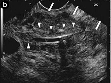
Patient#6: Diffuse form of autoimmune pancreatitis.
A 25-year-old man presented with jaundice, dilated bile ducts and an enlarged pancreatic gland at sonography; IgG4 levels were elevated (802 mg/dL). Endoscopic retrograde cholangiography (ERC) (Image 6a) showed stenosis of the distal common bile duct (arrows), and a stent was positioned. EUS linear scans (Image 6b) confirmed a substantially and diffusely enlarged pancreas, (arrows: pancreatic head), with echopoor echotexture and hyperechoic septa; the common bile duct, containing the stent, showed a three-layered, "sandwich-pattern" and thickening of the wall (arrowheads).


|
Image 6 |
|
|
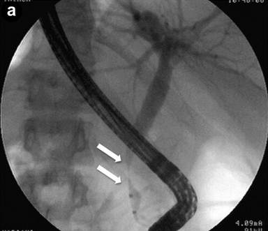
Patient#7: Focal form of autoimmune pancreatitis, with common bile duct involvement.
A 43-year-old woman with recurrent abdominal pain, jaundice and elevated levels of IgG4 (264 mg/dL). Transabdominal US and CT showed an enlarged pancreatic head, slightly dilated intra-hepatic bile ducts with a stricture of the intra-pancreatic common bile duct, and a distal focal stricture of the main pancreatic duct. Intraductal sonography performed during ERC revealed that the common bile duct stenosis was due to bile duct wall thickening (arrows) (Image 7), with a "sandwich-pattern".

|
Image 7 |
|
|
Discussion
EUS is superior to other imaging modalities in detecting pancreatic cancer or masses, and it has evolved as a useful diagnostic tool in autoimmune pancreatitis.
Even if several clinical and imaging features of autoimmune pancreatitis overlap with pancreatic cancer, the appropriate interpretation of combined parenchymal, ductal, vascular and nodal EUS data, together with guided tissue sampling, can be pivotal in the diagnosis of this complex pancreatic disorder.
In the diffuse form of autoimmune pancreatitis, EUS displays a diffusely enlarged pancreas, with a hypoechoic echotexture in which septa are still hyperechoic and well identified, sometimes with scattered echogenic spots [7, 8].
In the focal form of autoimmune pancreatitis, EUS shows a hypoechoic mass, generally involving the head and/or the uncinate process of the pancreas. The main pancreatic duct can be focally or diffusely compressed by the enlarged parenchyma in the diffuse form of autoimmune pancreatitis. On the contrary, upstream dilatation of the main pancreatic duct is possible in the focal form [7, 8].
Hoki et al. [9] recently described EUS findings in patients with autoimmune pancreatitis using the conventional parenchymal and ductal EUS criteria for chronic pancreatitis. They showed that few features of chronic pancreatitis can be seen in autoimmune pancreatitis.
In the focal form, it can be difficult to differentiate autoimmune pancreatitis from pancreatic cancer, and misdiagnoses are easy to make; in such cases it is important to look for associated findings, particularly the appearance of the common bile duct.
Koyama et al. [10] described ultrasonographic bile duct findings in 37 patients with autoimmune pancreatitis and suggested two types of bile duct wall thickening: 1) 3-layer type: marked wall thickening apparent on ultrasonography as high-low-high echo of the bile duct wall and 2) parenchymal-echo type: thickened wall which occupies the entire lumen of the bile duct with the presence of a parenchymal echo in the bile duct.
Typical EUS findings include dilatation of the common bile duct and thickening of the duct wall up to 5 mm [11].
In our series, EUS examination of the bile duct showed a homogeneous, regular thickening with an echopoor intermediate layer and hyperechoic outer and inner layers similar to the ultrasonographic 3-layer type of Koyama et al., for which we propose the definition of a "sandwich-pattern".
A recent study [9] comparing EUS features between autoimmune pancreatitis and pancreatic cancer showed EUS to be superior to ultrasonography and CT in detecting bile duct wall thickening; therefore, this EUS finding was significantly more frequent in autoimmune pancreatitis than in pancreatic cancer (53% versus 6%).
EUS-guided biopsies are effective in obtaining bile duct samples for cytological and histological examinations; intraductal sonography can help in characterizing biliary stenosis. In this setting, intraductal sonography shows concentric bile duct wall thickening with a smooth configuration of the outermost layer, similar to that seen on EUS imaging [11]. This inflammatory thickening represents the biliary involvement of autoimmune pancreatitis; it is the cause of bile duct stenosis detected by CT, ERCP, MRCP and it responds to steroid therapy [11].
The "sandwich-pattern" of the common bile duct wall can be a pivotal EUS feature for diagnosing autoimmune pancreatitis. On the other hand, the biliary involvement of biliary or pancreatic carcinoma is characterized by EUS as the presence of an echopoor, transmural lesion with irregular borders involving the duct wall.
EUS can also display extrapancreatic features of autoimmune pancreatitis; the apparent involvement of the portal and/or the superior mesenteric vein has been observed with EUS and the diagnosis of autoimmune pancreatitis should not be ruled out because the inflammatory infiltrate can transmurally involve the vessel wall, explaining EUS images resembling invasion [8].
Single or multiple enlarged peripancreatic and celiac lymph nodes (greater than 1 cm in diameter) can be detected with EUS [7]. Peripancreatic fluid collections can be present, even if they are infrequent and not of diagnostic value.
These EUS features are often mistaken for a malignancy but, in fact, they reflect the inflammatory process which can involve extra-pancreatic organs.
EUS-FNB of the pancreatic lesion, lymph nodes or common bile duct wall can reveal fibrosis and lymphoplasmacytic infiltrate, with a good correlation between EUS-FNB findings and a surgical pathologic diagnosis [8].
Even if EUS-FNB is sensitive and specific for the diagnosis of pancreatic malignancy, the cytopathological diagnosis of autoimmune pancreatitis is not standardized. It has been proposed that a cytological smear with stromal fragments rich in inflammatory cells and epithelial cells lacking atypia is diagnostic of autoimmune pancreatitis [12], but this cytological pattern should not exclude pancreatic carcinoma.
In suspected autoimmune pancreatitis, EUS-guided trucut biopsy can provide histological confirmation and prevent unnecessary surgery [13, 14].
In conclusion, EUS can play a considerable role in diagnosing autoimmune pancreatitis diagnosis, allowing for an accurate examination of parenchymal and ductal changes; bile duct wall features can assist in the differential diagnosis with biliary involvement from pancreatic cancer, and information provided by EUS-FNB can contribute to a final diagnosis avoiding surgery.
Received July 16th, 2009 - Accepted November 12th, 2009
Key words Autoimmunity; Endosonography; Pancreatitis
Conflict of interest The authors have no potential conflicts of interest
Correspondence
Elisabetta
Buscarini
Department of Gastroenterology
Maggiore Hospital
Largo Dossena 2
26013 Crema (CR)
Italy
Phone: +39-0373.280.278
Fax: +39-0373.280.654
E-mail: ebuscarini@rim.it
References
1. Yoshida K, Toki F, Takeuchi T, Watanabe S, Shiratori K, Hayashi N. Chronic pancreatitis caused by an autoimmune abnormality. Proposal of the concept of autoimmune pancreatitis. Dig Dis Sci 1995; 40:1561-68. [PMID 7628283] (FULL TEXT: Full text)
2. Wakabayashi T, Kawaura Y, Satomura Y, Watanabe H, Motoo Y, Sawabu N. Long-term prognosis of duct-narrowing chronic pancreatitis strategy for steroid treatment. Pancreas 2005; 30:31-9. [PMID 15632697] (FULL TEXT: Full text)
3. Japan Pancreas Society. Diagnostic criteria for autoimmune pancreatitis. J Jpn Pancreas Soc 2002; 17:585-7.
4. Okazaki K, Kawa S, Kamisawa T, Naruse S, Tanaka S, Nishimori I, et al. Clinical diagnostic criteria of autoimmune pancreatitis: revised proposal. J Gastroenterol 2006; 41:626-31. [PMID 16932998] (FULL TEXT: Full text)
5. Frulloni L, Gabbrielli A, Pezzilli R, Zerbi A, Cavestro GM, Marotta F, et al. Chronic pancreatitis: report from a multicenter Italian survey (PanCroInfAISP) on 893 patients. Dig Liver Dis 2009; 41:311-7. [PMID 19097829] (FULL TEXT: Full text)
6. Uchida K, Okazaki K, Konishi Y, Ohana M, Takakuwa H, Hajiro K, Chiba T. Clinical analysis of autoimmune-related pancreatitis. Am J Gastroenterol 2000; 95:2788-94. [PMID 11051349] (FULL TEXT: Full text)
7. Sahani DV, Kalva SP, Farrell J, Maher MM, Saini S, Mueller PR, et al. Autoimmune pancreatitis: imaging features. Radiology 2004; 233:345-52. [PMID 15459324] (FULL TEXT: Full text)
8. Farrell JJ, Garber J, Sahani D, Brugge WR. EUS findings in patients with autoimmune pancreatitis. Gastrointest Endosc 2004; 60:927-36. [PMID 15605008] (FULL TEXT: Full text)
9. Hoki N, Mizuno N, Sawaki A, Tajika M, Takayama R, Shimizu Y, et al. Diagnosis of autoimmune pancreatitis using endoscopic ultrasonography. J Gastroenterol 2009; 44:154-9. [PMID 19214678] (FULL TEXT: Full text)
10. Koyama R, Imamura T, Okuda C, Sakamoto N, Honjo H, Takeuchi K. Ultrasonographic imaging of bile duct lesions in autoimmune pancreatitis. Pancreas 2008; 37:259-64. [PMID 18815546] (FULL TEXT: Full text)
11. Hyodo N, Hyodo T. Ultrasonographic evaluation in patients with autoimmune-related pancreatitis. J Gastroenterol 2003; 38:1155-61. [PMID 14714253] (FULL TEXT: Full text)
12. Deshpande V, Mino-Kenudson M, Brugge WR, Pitman MB, Fernandez-del Castillo C, Warshaw AL, Lauwers GY. Endoscopic ultrasound guided fine needle aspiration biopsy of autoimmune pancreatitis: diagnostic criteria and pitfalls. Am J Surg Pathol 2005; 29:1464-71. [PMID 16224213] (FULL TEXT: Full text)
13. Levy MJ, Reddy RP, Wiersema MJ, Smyrk TC, Clain JE, Harewood GC, et al. EUS-guided trucut biopsy in establishing autoimmune pancreatitis as the cause of obstructive jaundice. Gastrointest Endosc 2005; 61:467-72. [PMID 15758926] (FULL TEXT: Full text)
14. Mizuno N, Bhatia V, Hosoda W, Sawaki A, Hoki N, Hara K, et al. Histological diagnosis of autoimmune pancreatitis using EUS-guided trucut biopsy: a comparison study with EUS-FNA. J Gastroenterol 2009; 44:742-50. [PMID 19434362] (FULL TEXT: Full text)