4th Joint Meeting
of Italian-Hungarian Pancreatologists
Capri (Italy). September 30th, 2000
JOP. J Pancreas (Online) 2000; 1(3 Suppl.):77-84.
1Department of Pathology, University of Verona. Verona, Italy. 2Department of Pathology, University of Kiel. Kiel, Germany
Introduction
Ductal adenocarcinoma of the pancreas comprises between 80 and 90% of all tumors of the exocrine pancreas, although ductal cells account for only 10-30% of the normal pancreatic parenchyma [1, 2]. Histologically, adenocarcinoma of the pancreas is composed of mucin-producing glands resembling pancreatic ducts and embedded in dense connective tissue. Ductal adenocarcinomas must be differentiated from other benign, borderline or malignant exocrine tumors, such as serous cystadenomas [3], mucinous cystic tumors [4], intraductal papillary mucinous tumors [5], solid-pseudopapillary tumor [6], and acinar cell carcinoma [7].
Pancreatic adenocarcinoma is one of the most aggressive of human malignancies. Because of its silent course, late clinical manifestation and rapid growth, it has been considered the 'silent killer' [8]. It is the fifth leading cause of cancer death in the United States [9]. The overall 5-year survival rate is less than 5% [9, 10, 11]. Despite the introduction of sophisticated imaging techniques and fine needle aspiration biopsy which provide the possibility of obtaining preoperative morphological evidence, the detection of resectable carcinomas is only possible in 10-20% of the patients. The rate of local and distant recurrence of resected pancreatic cancer is still high [12]. Retroperitoneal tissue infiltration, including neural and lymphatic invasion, is considered one of the major causes of recurrence [13]. To improve the prognosis, surgical intervention has become more aggressive, involving a more or less radical lymphadenectomy [14, 15]. The goals of extended pancreaticoduodenectomy are mainly to better stage the disease, reduce the rate of local and regional recurrences and ultimately to improve survival [15, 16, 17]. However, other authors have failed to show a convincing improvement in overall survival [18, 19, 20]. In general, it is difficult to compare the results of the different studies. The most important factors are the different stage classification systems, Japanese versus UICC, [21, 22], and the different pathologic evaluation of morphology-related factors.
Accurate assessment of the pancreaticoduodenectomy specimen is time consuming, but the prognosis after curative resection of pancreatic cancer is largely determined by pathological factors. Many pathological parameters are prognostically important, but the pathologist must concentrate on those with independent prognostic significance. For example, a number of studies have demonstrated that involvement of the retroperitoneal resection margin together with vessel involvement are important predictors of local recurrence and patient survival [2, 13, 20, 23] and might help to identify patients who would benefit from adjuvant therapy. Accurate pathological evaluation of resected specimens is better achieved if there is a close working relationship between surgeon, pathologist, radiologist and oncologist. Thus, in the case of pancreatic cancer, pathologists play a vital role in the team of specialists. To paraphrase the title of a chapter on the role of pathologists in colorectal cancer [24], we can say: "the pathologist, the surgeon and pancreatic cancer - get it right because it matters".
This chapter will deal with the pathological assessment of the pancreaticoduodenectomy resected specimens of ductal adenocarcinoma and the influence of pathological features on prognosis, stressing the importance of standardized pathologic staging [23, 25, 26].
Macroscopic Examination
It is mandatory that duodenopancreatectomy specimens be examined in the fresh, unfixed state (this is less important for distal pancreatectomy). The bile duct and the main pancreatic duct should be probed, and the whole specimen cut horizontally along the probes. The site of origin of the carcinoma must be exactly identified to be sure that it is the pancreas and to exclude periampullary or ampullary carcinomas, because the latter have a significantly better prognosis [27, 28]. The site of the tumor should therefore be recorded in relation to the ampulla and the duct systems, both the pancreatic ducts and the common bile duct, and the distance from each should be specified. Local tumor extension, especially towards the mesenteric vessels and the aorta, and invasion of adjacent structures should be recorded, and the tumor size should be measured in at least two dimensions. The macroscopic appearance should be noted. Such features as cyst formation, papillary (intraductal) tumor components or ectatic, mucin filled duct segments, should be recorded, since they are diagnostic of special types of pancreatic tumors with a generally better prognosis, such as mucinous cystic tumors [4, 29, 30, 31], or intraductal papillary tumor [5, 32, 33]. Samples from different areas of the tumor and from the tumor-free parenchyma should be submitted for histological evaluation.
Resection margins of duodenectomy specimens
Resection margins include the common bile duct and the pancreatic transection margin, both of which are to be evaluated intraoperatively on frozen sections (en face) with the option of resection. In case of a pylorus-preserving operation, the oral duodenal segment should also be cut as a resection margin [26]. It has, however, been demonstrated how little data can be gained from the assessment of these resection margins [23]. Pathologists should instead concentrate on assessing involvement of the retroperitoneal resection margin and vascular structures (the portal vein and/or mesenteric vessels), because this provides much more useful information for prognosis and management. However, the retroperitoneal resection margin is difficult to investigate, and it is difficult to be certain whether it is involved [23, 25, 26]. It is defined as the peripancreatic adipose tissue behind the head of the pancreas that is located dorsally and laterally to the superior mesenteric artery. The outer surface should be inked with India ink (Figure 1). The tissue should be sectioned perpendicularly and 4-5 successive and numbered specimens should be submitted for histological examination (Figure 2). In case of suspected tumor adherence to the portal vein or superior mesenteric artery, requiring vessel resection, each segment should be separated from the specimen, serially sectioned and submitted in entirety so that tumor invasion can be ascertained histologically. Both ends and the dorsal perivascular tissue have to be considered as additional resection margins of high prognostic significance [23].

|
Figure 1. Pancreaticoduodenectomy specimen. Sectioning of the margins: retroperitoneal resection margin: black inked; anterior margin red inked; pancreatic transection margin: not inked.
|

|
Figure 2. Retroperitoneal margin: histological section of two samples taken at the posterior margin: in one section the carcinoma reaches the resection margin (A: asterisk), whereas the other one is tumor-free (B) (H&E).
|
Lymph node groups
The lymph nodes which have been removed should be classified and numbered according to the Japanese rules [21]. Although this classification is a complex system, it should be applied to be sure that the individual nodes are precisely defined. Nevertheless, for daily routine we highly recommend the parallel use of a classification system that reflects the anatomical site of larger node groups in relation to the pancreas and that also takes the surgical procedure into account, since most nodes are already dissected by the surgeon and submitted separately. In this classification, groups I and II include the nodes that are dissected with a radical pancreaticoduodenectomy and, in addition, group III those removed in extended radical pancreaticoduodenectomy.
All nodes should be submitted separately for histological examination, and nodes with a diameter greater than 1 cm should be semisectioned. If lymph nodes cannot be identified on macroscopy the fibrofatty tissue should be investigated in order to detect neural tissue and lymphatics.
Microscopic Examination
All tissues should be embedded in paraffin, sectioned and stained with H&E. A section of the tumor specimen should be additionally stained with PAS.
Histological tumor typing
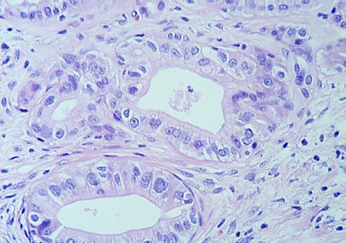
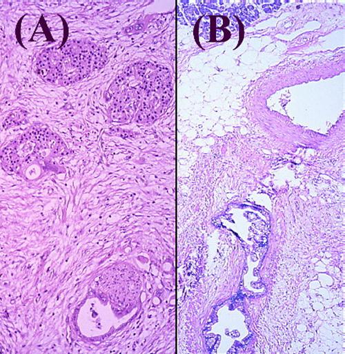
Histological tumor typing should be performed according to the generally accepted principles of the WHO [2, 34]. The great majority of carcinomas is ductal in type and strongly resembles the appearance of normal pancreatic and bile duct structures. Characteristically, the neoplastic epithelial component is embedded in a fibrous stroma, which gives a macroscopic scirrhous appearance. The neoplastic tubules or glands are lined with cuboidal or cylindrical cells, frequently with large and irregular nuclei, and clear cytoplasm containing a variable amount of mucin (Figure 3). The carcinomatous extension into the peripancreatic adipose tissue with perineural and/or vascular invasion is found very frequently (Figure 4).

|
Figure 3. Ductal adenocarcinoma: neoplastic glands lined with cuboidal cells, embedded in a fibrous stroma.
|

|
Figure 4. Ductal adenocarcinoma: perineural (A) and vascular (B) invasion by neoplastic glands. Ductal adenocarcinomas must be differentiated from other malignancies such as acinar or endocrine carcinomas. It is especially essential to identify mucinous-cystic tumors and intraductal-papillary tumors because of their far better prognosis [4, 5, 29, 31, 32, 33].
|
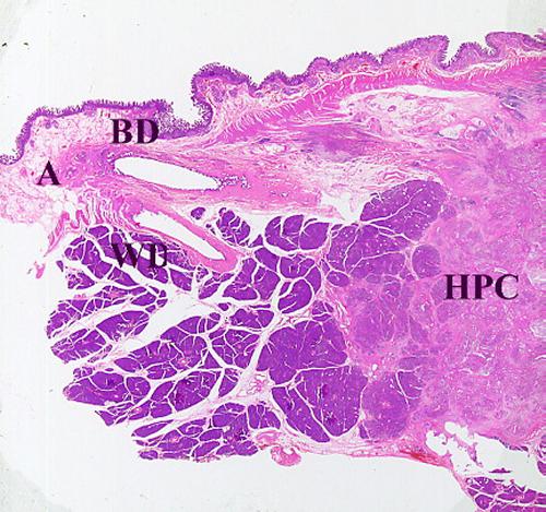
The most important differential diagnosis of ductal carcinoma of the pancreatic head (Figure 5) involves differentiating it from ampullary and periampullary carcinomas.

|
Figure 5. Head pancreatic cancer (HPC): whole mount macrosection of pancreaticoduodenectomy showing a solid carcinomatous area involving the pancreas head, without infiltrating the bile duct (BD), the wirsung duct (WD) and the ampulla (A).
|
Ampullary carcinoma, which represents 5% of all gastrointestinal tumors, but accounts for up to 36% of the surgically operable pancreaticoduodenal tumors [28], is a tumor centered in the region of the ampulla of Vater. The ampulla of Vater is formed by three anatomical components: the ampulla (common channel), the intraduodenal portion of the bile duct and the intraduodenal portion of the pancreatic duct. Thus, it may show intestinal or pancreatobiliary morphology. Establishing ampullary origin unequivocally is possible in small lesions by applying strict topographical criteria during the gross and histological examinations. The presence of 'preinvasive' (adenomas or areas of dysplasia) modification in the anatomical structures of the ampulla [35] and the intestinal type of the carcinoma can help in the distinction [27].
Periampullary carcinoma is a term widely used to define a heterogeneous group of neoplasms arising from the head of the pancreas, the terminal common bile duct and the duodenum.
The clinical importance of differentiating ampullary cancer from cancer arising from periampullary structures lies in the significant differences in their resectability and prognosis. Up to 50% of patients with ampullary carcinoma have a chance to be cured by surgery alone [27, 28]. Several reasons have been hypothesized for the improved prognosis of ampullary versus pancreatic carcinoma, including: a) the earlier diagnosis due to precocious onset of jaundice; b) the frequent expansive, fungating growth; c) the presence of a pre-existing adenomatous phase; d) lesser lymphatic drainage. Unfortunately the advanced stage at which most cases are diagnosed prevents a precise definition of the structures of origin. This means that some ampullary carcinomas in advanced stages might be erroneously considered pancreatic tumors. This bias may reflect the marked heterogeneity of statistical, epidemiological and molecular data.
Variants of ductal adenocarcinoma
Mucinous noncbetweenystic carcinoma: a carcinoma composed of well differentiated glands floating in abundant (>50%) extracellular mucin [2]. Synonyms: colloid carcinoma, gelatinous carcinoma. Its incidence is 1-3% of all pancreatic cancers; sex and age are similar to ductal carcinoma. Macroscopically, the tumor is usually well-demarcated. Microscopically, it is characterized by the presence of excessive amounts of mucous in which it is possible to find epithelial components in at least some areas. The latter usually is characterized by well differentiated cells, whereas signet ring cells are infrequently found. The differential diagnosis between mucinous-cystic tumors and intraductal-papillary tumors lies in the detection of 'ovarian type' stroma and a connection with the pancreatic duct system, respectively [5, 29, 31, 32]. The behavior is considered better than ‘conventional’ adenocarcinoma [36].
Adenosquamous carcinoma: a carcinoma composed of a mixture (>30%) of two neoplastic components, a glandular and a squamous cell component. Synonyms: mucoepidermoid carcinoma. Its incidence is 3-4%; sex and age are similar to ductal carcinoma. Microscopically, the adenocarcinomatous component usually predominates over the squamous cell carcinoma component. It shows a high metastatic potential and the prognosis is worse than that of ‘conventional’ adenocarcinoma [37, 38].
The existence of a 'pure' squamous carcinoma of the pancreas remains questionable. This diagnosis should be made only after extensive sampling of the tumor to exclude the presence of a malignant glandular component. The differential diagnosis versus metastatic squamous carcinoma is essentially based on clinical information. Its prognosis is worse than both ductal carcinoma and adenosquamous carcinoma, with a 0% survival rate at 3 years [39].
Undifferentiated (anaplastic) carcinoma: a carcinoma composed of pleomorphic large cells, giant cells and/or spindle cells [2]. Synonyms: pleomorphic, giant cell, and spindle cell carcinoma. Its incidence is 5-7% of all pancreatic tumors; it is more common in men than in women and has an age peak in the seventh-ninth decades of life. Microscopically, the tumor may reveal several subtypes. The frequency of a glandular component increases with the number of tissue samples. It should be differentiated from sarcomas and metastatic undifferentiated carcinoma (i.e. large cell lung carcinoma). The behavior is poorer than ‘conventional’ adenocarcinoma [40].
Osteoclast-like giant cell carcinoma: a carcinoma composed of malignant undifferentiated epithelial cells with round or spindle-shaped cells associated with non-neoplastic osteoclast-like giant cells. The tumor, which morphologically mimics a giant cell bone tumor, may show osteoid or osseous formation. It is rare and comprises less than 1% of pancreatic cancers, with a prevalence in the 6th or 7th decade of life. The epithelial nature of the neoplastic component is supported by the reactivity with cytokeratin, whereas the reactive giant cells show an osteoclastic profile (leukocyte common antigen, MB1, CD68) [41, 42]. The ductal derivation of the neoplastic component is further supported by the frequent association with ductal adenocarcinoma and mucinous cystic tumor of the pancreas. The clinical course is extremely aggressive with most patients dying within 1 year [41].
Grading
For ductal adenocarcinomas, the grade is an essential and independent prognostic factor [43] and should be recorded as well-differentiated, moderately-differentiated and poorly-differentiated carcinomas, according to the criteria of the WHO [34].
Invasion
While invasiveness is always present in ductal adenocarcinoma and only needs to be described in relation to its growth (expanding or infiltrating), in other tumors, such as mucinous cystic tumors and intraductal-papillary tumors, it is frequently absent or may be detected only focally. Particular care should be taken to sample the tumor extensively, so as not to miss the invasive component. For carcinomas, lymphatic, blood vessel and perineural invasion should be also recorded as well as the extension into the peripancreatic adipose tissue or into adjacent organs.
Lymph nodes
The total number of nodes should be counted, with the number of metastatic nodes and any perinodal invasion.
Associated pancreatic lesions
Ductal carcinoma is frequently associated with microscopic changes in pancreatic ducts. These are usually in the vicinity of the carcinoma and include metaplasia (pseudopyloric, mucinous), hyperplasia (flat or papillary) and dysplasia (low/high grade). High grade dysplasia is characterized by the presence of papillae lined by atypical cells [44]. It is still unclear whether these lesions represent a hyperplastic or a neoplastic process. The presence and type of pancreatitis should also be reported.
Key words Carcinoma; Carcinoma, Infiltrating Duct; Pancreas; Diagnosis, Differential; Diagnostic Techniques and Procedures; Lymph Node Excision; Metaplasia; Pancreatic Neoplasms (classification, genetics); Pancreaticoduodenectomy; Pathology
Acknowledgements This investigation was supported in part by grants from Consorzio per gli Studi Universitari and Banca Popolare di Verona, Associazione Italiana Ricerca sul Cancro, Milano, and Ministero Università e Ricerca Scientifica e Tecnologica, Roma, Italy.
Correspondence
Giuseppe Zamboni
Istituto di Anatomia Patologica
Università di Verona
Strada Le Grazie
I-37134 Verona
Italy
Phone: +39-045-8074.815
Fax: +39-045-8098.136
E-mail address: giuseppe.zamboni@sacrocuore.it
References
1. Bolender RP. Stereological analysis of guinea pig pancreas. I. Analytical model and quantitative description of non-stimulated pancreatic exocrine cells. J Cell Biol 1974; 61:269-87.
2. Solcia E, Capella C, Klöppel G. Tumors of the pancreas. In: AFIP Atlas of Tumor Pathology. 3rd ed. Vol. 20. Washington, DC: Armed Forces Institute of Pathology, 1997. 64.
3. Compagno J, Oertel J. Microcystic adenomas of the pancreas (glycogen-rich cystadenomas): a clinicopathological study of 34 cases. Am J Clin Pathol 1978; 69:289-98.
4. Compagno J, Oertel J. Mucinous cystic neoplasms of the pancreas with overt and latent malignancy (cystadenocarcinoma and cystadenoma): a clinicopathologic study of 41 cases. Am J Clin Pathol 1978, 69:573-80.
5. Rickaert F, Cremer M, Deviére J, Tavares L, Lambilliotte JP, Schröder S, et al. Intraductal mucin-hypersecreting neoplasms of the pancreas. A clinicopathologic study of eight patients. Gastroenterology 1991; 101:512-9.
6. Klöppel G, Morohoshi T, John HD, Oehmichen W, Opitz K, Angelkort A, et al. Solid and cystic acinar cell tumour of the pancreas. A tumour in young women with favourable prognosis. Virchows Arch 1981; 392:171-83.
7. Klimstra DS, Heffes CS, Oertl J, Rosai J. Acinar cell carcinoma of the pancreas. A clinicopathologic study of 28 cases. Am J Surg Pathol 1992; 16:815-37.
8. Pour PM. The silent killer. Int J Pancreatol 1991; 10:103-4.
9. Warshaw A, Castillo CF. Pancreatic carcinoma. New Engl J Med 1992; 326:455-65.
10. Moeller Jensen O, Estève J, Moeller H, Renard H. Cancer in the European Community and its member states. Eur J Cancer 1990; 26:1167-256.
11. Connolly MM, Dawson PJ, Michelassi F, Moossa AR, Lowenstein, F. Survival in 1001 patients with carcinoma of the pancreas. Ann Surg 1987; 206:366-71.
12. Westerdahl J, Andren-Sandberg A, Ihse I. Recurrence of exocrine pancreatic cancer-local or hepatic? Hepato-Gastroenterol 1993; 40:384-7.
13. Kayahara M Nagakawa T, Ueno K, Ohta T, Takeda T, Miyazaki I. An evaluation of radical resection for pancreatic cancer based on the mode of recurrence as determined by autopsy and diagnostic imaging. Cancer 1993; 72:2118-23.
14. Ishikawa O, Ohigashi H, Imaoka S, Furukawa H, Sasaki Y, Fujita M, et al. Preoperative indications for extended pancreatectomy for locally advanced pancreas cancer involving the portal vein. Ann Surg 1992; 215:231-6.
15. Iacono C, Bortolasi L, Facci E, Falezza G, Prati G, Mangiante G, Serio G. Does extended pancreaticoduodenectomy increase operative morbidity and mortality vs. standard pancreaticoduodenectomy? J Gastroint Surg 1997; 1:446-53.
16. Nagakawa T, Nagamori M, Futakami F, Tsukioka Y, Kayahara M, Ohta T, et al. Results of extensive surgery for pancreatic carcinoma. Cancer 1996; 77:640-5.
17. Iacono C, Facci E, Bortolasi L, Zamboni G, Scarpa A, Talamini G, et al. Intermediate results of extended pancreaticoduodenectomy. Verona experience. J Hepatobiliary Pancreas Surg 1999; 6:74-8.
18. Sperti C, Pasquali C, Piccoli A, Pedrazzoli S. Recurrence after resection for ductal adenocarcinoma of the pancreas. World J Surg 1997; 21:195-200.
19. Trede M, Schwall G, Saeger HD. Survival after pancreatoduodenectomy. 118 consecutive resections without an operative mortality. Ann Surg 1990; 211:447-58.
20. Willett CG, Lewandrowski K, Warshaw AL, Efird J, Compton CC. Resection margins in carcinoma of the head of the pancreas. Implications for radiation therapy. Ann Surg 1993; 217:144-8.
21. Japan Pancreas Society. Classification of Pancreatic Carcinoma. 1st English edition. Tokyo: Kanehara & Co, Ltd, 1996.
22. International Union Against Cancer (UICC). TNM. Classification of Malignant Tumours. 5th ed. New York, Chichester, Weinheim, Brisbane, Singapore, Toronto: Wiley-Liss, 1997.
23. Lüttges J, Vogel I, Menke M , Henne-Bruns D, Kremer B, Klöppel G. The retroperitoneal resection margin and vessel involvement are important factors determining survival after pancreaticoduodenectomy for ductal adenocarcinoma of the head of the pancreas. Virchows Arch 1998; 433:237-42.
24. Quirke P. The pathologist, the surgeon and colorectal cancer - get it rigth because it matters. In: Kirkhan NRL, ed. Progress in Pathology. Edinburgh, London, New York: Churchill Livingstone, 1998: 201-13.
25. Compton CC, Henson DE. Protocol for the examination of specimens removed from patients with carcinoma of the exocrine pancreas. Arch Pathol Lab Med 1997; 121:1129-36.
26. Staley CA, Cleary KR, Abbruzzese JL, Lee JE, Ames FC, Fenoglio CJ, Evans DB. The need for standardized pathologic staging of pancreaticoduodenectomy specimens. Pancreas 1996; 12:373-80.
27. Talbot IC, Neoptolemos JP, Shaw DE, Carr-Locke D. The histopathology and staging of carcinoma of the ampulla of Vater. Histopathology 1988; 12:155-65.
28. Yamaguchi K, Enjoji M. Carcinoma of the ampulla of Vater. A clinicopathologic study and pathologic staging of 109 cases of carcinoma and 5 cases of adenomas. Cancer 1987; 59:506-15.
29. Zamboni G, Scarpa A, Bogina G, Iacono C, Bassi C, Talamini G, et al. Mucinous cystic tumors of the pancreas: clinicopathological features, prognosis and relationship to other mucinous tumors. Am J Surg Pathol 1999; 23:410-22.
30. Zamboni G, Scarpa A, Franzin G, Capelli P, Bogina G, Iannucci A, et al. Pathology of cystic tumors of the pancreas. In: Pederzoli P, Bassi C, Cavallini G, Falconi M, eds. Facing the Pancreatic Dilemma. Berlin: Springer Verlag, 1994: 368-97.
31. Thompson LDR, Becker RC, Przygodzki RM, Adair CF, Heffess CS. Mucinous cystic neoplasm (mucinous cystadenocarcinoma of low-grade malignant potential) of the pancreas. A clinicopathologic study of 130 cases. Am J Surg Pathol 1999; 23:1-16.
32. Sessa F, Capella C, Bonato M, Scarpa A, Zamboni G, Pellegata NS, et al. Intraductal papillary-mucinous pancreatic tumors are phenotypically, genetically and behaviorally distinct growths. An analysis of tumor cell phenotype, K-ras and p53 genes' mutations. Virchows Arch 1994; 425:357-67.
33. Morohoshi T, Kanda M, Asanuma K, Klöppel G. Intraductal papillary neoplasms of the pancreas. A clinicopathologic study of six patients. Cancer 1989; 64:1329-35.
34. Klöppel G, Solcia E, Longnecker DS, Capella C, Sobin LH. Histological typing of tumours of the exocrine pancreas. In: Organization WH, ed. International Histological Classification of Tumours. 2nd ed. Berlin: Springer-Verlag, 1996.
35. Scarpa A, Capelli P, Zamboni G, Oda T, Mukai K, Bonetti F, et al. Neoplasia of the ampulla of Vater: Ki-ras and p53 mutations. Am J Pathol 1993; 142:1163-72.
36. Adsay V, Pierson C, Sarkar F, Klimstra DS. Invasive mucinous colloid-type carcinoma of the pancreas: a distinct clinicopathologic entity. Mod Pathol 1999, 12:159A.
37. Ishikawa O, Matzui Y, Aoki I, Iwanaga T, Terasawa T, Wada A. Adenosquamous carcinoma of the pancreas: a clinicopathologic study and report of three cases. Cancer 1980; 46:1192-96.
38. Yamaguchi K, Enjoji M. Adenosquamous carcinoma of the pancreas: a clinicopathologic study. J Surg Oncol 1991; 47:109-16.
39. Matzuya S, Pour PM. Squamous cell carcinoma. In: Pour P, Konisci Y, Köppel G, Longenecker D, eds. Atlas of Exocrine Pancreatic Tumors. An International Guide for Classification. Tokyo: Springer Verlag, 1994: 86-8.
40. Morohoshi T, Held G, Klöppel G. Exocrine pancreatic tumours and their histological classification. A study based on 167 autopsy and 97 surgical cases. Histopathology 1983; 7:645-61.
41. Molberg KH, Heffess CS, Delgado R, Albores-Saavedra J. Undifferentiated carcinoma with osteoclast-like giant cells of the pancreas and periampullary region. Cancer 1998; 82:1279-87.
42. Zamboni G, Bonetti F, Castelli P, Balercia G, Pea M, Martignoni G, et al. Mucinous cystic tumor of the pancreas recurring after 11 years as cystadenocarcinoma with foci of choriocarcinoma and osteoclast-like giant cell tumor. Surg Pathol 1994, 5:253-62.
43. Klöppel G, Lingenthal G, von Bülow M, Kern HF. Histological and fine structural features of pancreatic ductal adenocarcinomas in relation to growth and prognosis. Histopathology 1985; 9:841-56.
44. Klöppel G, Bommer G, Rückert K, Seifert G. Intraductal proliferation in the pancreas and its relationship to human and experimental carcinogenesis. Virchows Arch A Pathol Anat Histol 1980; 387:221-33.