Department
of Internal Medicine, Azienda USL di Forlì. Forlì, Italy


Transverse
scan of a normal pancreas obtained in 1974 by means of a 'bistable'
equipment. Transabdominal ultrasonography was
introduced in pancreatic diagnostics in the early '70s and it was the first
method which allowed a direct visualization of the gland.






Transverse
supine scans. On the left, the head and the body of the pancreas (p) are well
visualized while the tail is obscured by gas in the stomach (gas). On the right
the stomach is fluid-filled (a) after drinking water. The pancreatic tail (p)
is well seen through the distended stomach.



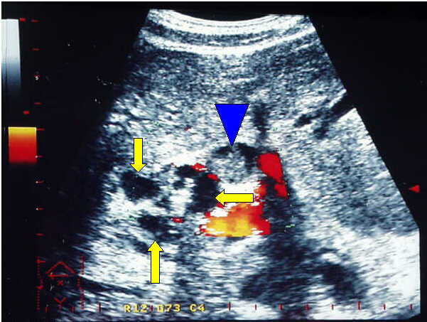
Transverse
Power Doppler scan in a patient with cystic dystrophy of the duodenal wall.
Normal blood flow in the enlarged pancreatic head and severe dilatation (9 mm)
of the main pancreatic duct (arrows).

Transverse
Power Doppler scan in a patient with cystic dystrophy of the duodenal wall.
Remarkable thickening of the duodenal wall with presence of little cysts
(yellow arrows); dilated common bile duct with sludge (blue arrow head).




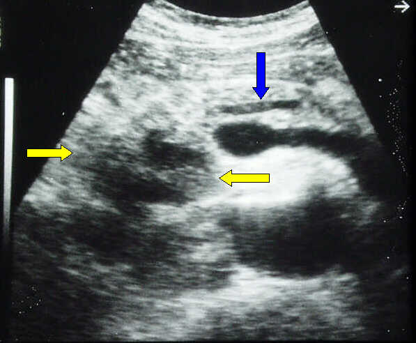
Oblique
subcostal scan with the patient in left lateral decubitus.
Dilated
(8 mm) common bile duct (between markers) in chronic pancreatitis with
enlarged, hypoechoic pancreatic head, with dilated Wirsung duct (arrow).


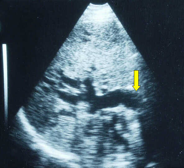
Transverse
scan. Acute exacerbation of chronic pancreatitis with enlarged, hypoechoic pancreatic head (yellow arrows), dilated Wirsung duct and calcifications in the body-tail of the
gland.


Tables
2 and 4 from the paper of K. Koito et al.
Note:
Contrast ES = contrast-enhanced sonography; DSA = digital subtraction
angiography.
a P<0.01;
b not significant.




Table 3 from the paper of
A. Nakaizumi et al.

Transverse
scan. Small (12 mm), rather homogeneous, poorly reflecting cancer of the
pancreatic head (yellow arrows) causing evident dilatation of the main pancreatic
duct (blue arrow).

Transverse scan. Large, echo-poor, inhomogeneous pancreatic head cancer (yellow arrows), with irregular, lobulated margins and necrotic areas. The main pancreatic duct is slightly dilated (blue arrow).

Transverse
scan in a patient with a little cancer in the pancreatic head. The tumor is not
detectable but the dilated Wirsung duct is well
visualized.

Right
intercostal scan in a patient with pancreatic head cancer not demonstrated by
ultrasound. The marked dilatation of the common bile duct (yellow arrow) and of
the intrahepatic biliary tree is well shown.








