11st
Department of Surgery and 2Department of Radiology, Medical Faculty
of Semmelweis University. Budapest, Hungary



Sometimes the differentiation is easy:
Hypodense well demarcated lesions in the pancreatic body
in native scan: Insular tumour.
Enlarged,
non-homogeneous pancreatic head, peripancreatic fluid
collection: Acute pancreatitis.



Generally the differentiation is problematic:
Cystic
lesions in the uncinate process: Pancreatic pseudocyst.
Enlarged
pancreatic head with intraparechymal conglomerate of
cysts, well demarcated with hypervascularised septas: Macrocystic adenoma.


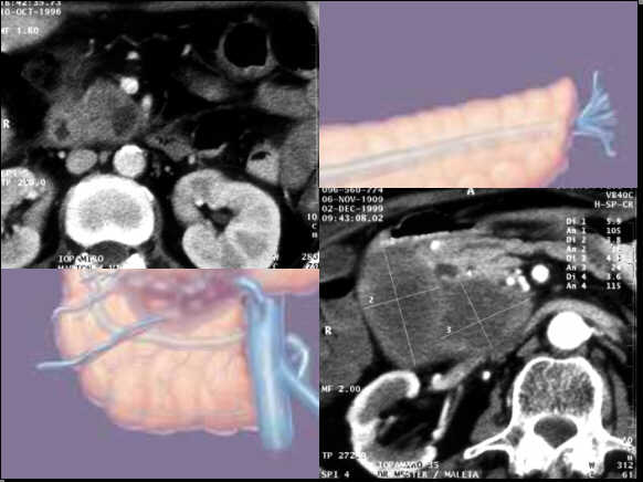
Generally the differentiation is problematic:
Enlarged,
pancreatic head with inhomogeneous parenchyma. Small hypodense
- cystic - lesion in the head: Chronic pancreatitis with pancreatic pseudocyst.


Generally the differentiation is problematic:
Celiac
trunk.

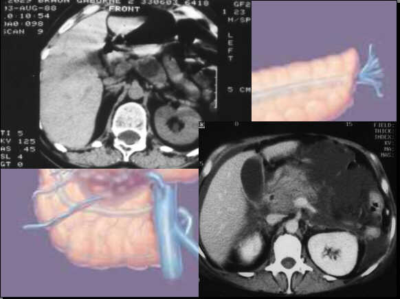
Generally the differentiation is problematic:
Enlarged
pancreatic head with hypodense lesion. Indistinct
border between the pancreas and the retroperitoneal space: Ductal
adenocarcinoma.
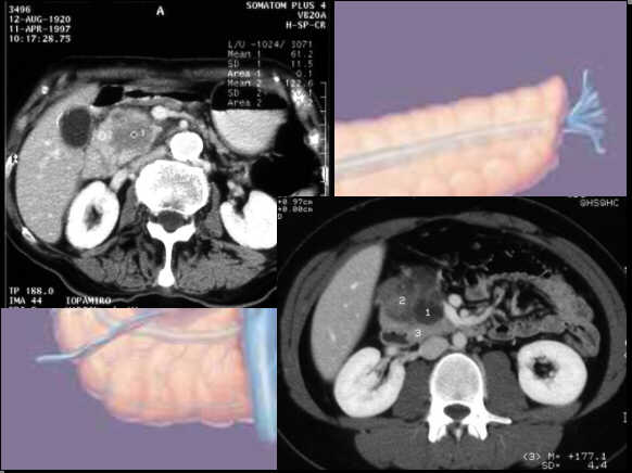
Enlarged
pancreatic head with hypodense and cystic lesions.
Involvement of mesenteric artery: Ductal adenocarcinoma.

