4th Joint Meeting
of Italian-Hungarian Pancreatologists
Capri (Italy). September 30th, 2000
JOP. J Pancreas (Online) 2000; 1(3 Suppl.):95-99.
11st Department of Surgery and 2Department of Radiology, Medical Faculty of Semmelweis University. Budapest, Hungary
Abstract
The diagnosis of different pancreatic diseases has recently become a recurrent problem. In cases with pancreatic head mass the main question is the differentiation between malignant and benign lesions. When a neoplasm is suspected, the main task is to judge operability. The usefulness of computed tomography imaging in the evaluation of pancreatic carcinoma has been well established. In this article the authors discuss the possibilities of computed tomography (CT) in diagnostic work-up.
Introduction
Patients presenting inflammatory and malignant pancreatic diseases are common in daily practice. For the most part, anamnestic data, clinical examination and laboratory findings are used to evidence the presence and type of pancreatic disease. The imaging modalities must identify and characterize pancreatic lesions. Patients suspected of having cancer of the pancreas frequently undergo extensive testing to confirm malignancy and determine tumor resectability. Accurate preoperative assessment of resectability and staging of pancreatic carcinoma is essential.
Transabdominal ultrasonography of the pancreas is limited by different patient dependent restrictions (obesity, meteorism, etc.). Endoscopic retrograde cholangiopancreatography (ERCP) is highly accurate, but relatively more dangerous than CT. Nowadays, CT is the most important, and sometimes, the initial imaging modality of the pancreas.
Technique
Incremental bolus dynamic CT is the optimal technique for evaluation of the pancreas. The first phase (general examination of the pancreas) is performed using automatic table incrementation, 8-10 mm collimated scans, and a scan speed of fewer than 2 seconds. A second phase (fine imaging of the pancreas) is performed 30 seconds after contrast injection (iv. bolus of 80-150 mL of 60% iodinated contrast agent) with thirty-five 3 mm continuous slices. A third acquisition (study of veins) is performed 50-80 seconds after the injection with 8-10 mm continuous slices. This results in an excellent contrast enhancement of the major peripancreatic blood vessels and the normal pancreatic and hepatic parenchyma [1, 2].
We can elevate the tumor detection rate and reliable assessment of resectability with the use special examination techniques such as spiral hydro-CT. The latter is a combination of pharmacological intestinal paralysis and water distension of the stomach and duodenum with specific reference to the tumor detection rate, differentiation of malignant versus benign tumors and assessment of tumor resectability [3].
Pancreatic tumours
The main question in cases with pancreatic head mass is the verification or the exclusion of malignancy which is often difficult. It is only of little help that some types of pathologies, e.g. acute pancreatitis and functioning endocrine tumors, can be ruled out with anamnestic data and laboratory findings. The question of the operability is somewhat easier, but nonetheless exasperating. Unfortunately, the majority of pancreatic neoplasms are unresectable at the time of the initial clinical presentation due to the extension of the tumor beyond the pancreas with invasion of adjacent structures. Thus, accurate nonoperative staging of pancreatic carcinoma is desirable to avoid the morbidity and mortality of unnecessary major surgery.
A circumscribed mass is the primary, but not necessarily an early sign of ductal pancreatic adenocarcinoma. An increase in diameter and roughness of the contour of the pancreas are unreliable signs of malignancy. The masses contained a central zone of diminished attenuation in about 80% of the cases [4]. On unenhanced CT most tumors have the same density as normal pancreatic tissue and can easily be missed if the tumor is small and the contour of the gland is not deformed. With spiral CT and bolus contrast administration, the tumor-pancreas contrast is best seen during the early phase of pancreatic perfusion. The tumor as a hypodense lesion can be distinguished from the opacified pancreatic parenchyma. A cystic central portion can demonstrate necrosis or the hemorrhage in the tumor. The border between the pancreas and the retroperitoneal space and the surrounding organs is often indistinct [5].
The pancreatic duct and/or common bile dilatation is critically indicative of malignancy. After intravenous contrast enhancement, dilatation of the biliary tract becomes clearly visible and the contour of the pancreatic duct can be better evaluated [6, 7].
Reaction surrounding the tumor occasionally creates a fuzzy appearance of the tumor region mimicking pancreatitis. The high contrast of peripancreatic vessels on contrast-enhanced CT allows assessment of vascular encasement. Staging of pancreatic carcinoma with conventional CT involves only the major peripancreatic arteries and veins. Helical CT can sufficiently show enough small arteries (gastroduodenal artery, anterior and posterior superior pancreaticoduodenal arteries and the right gastroepiploic artery) to allow evaluation in the preoperative staging of pancreatic tumors [8]. CT findings of dilatation or obstruction of the superior peripancreatic veins (pancreaticoduodenal veins and gastrocolic trunk) suggest tumor extension to the peripancreatic tissues. The small veins are difficult to detect on conventional CT, but helical CT enables a more precise identification of the inferior peripancreatic veins [9, 10, 11].
The secondary signs, such as enlarged lymph nodes, regional metastases, hepatic metastases, ascites confirm the diagnosis of malignancy.
Ancillary CT findings of pancreatic carcinoma include vascular involvement in addition to local tumor extension, contiguous organ invasion, distant metastasis, ascites, and obstructive pseudocysts. The presence of one or more of these findings is used as a criteria for indicating the unresectability of the tumor [12].
According to different authors, correct diagnosis of pancreatic carcinoma was made in 69 to 94% of patients using spiral CT. The overall accuracy of spiral CT for assessing resectability varied from 70 to 95% in the literature [7, 13, 14].
In contrast to adenocarcinoma, the mass of anaplastic carcinoma show marked enhancement after contrast administration.
Acinar cell carcinomas usually present as well demarcated tumors of low attenuation and minor or no enhancement after contrast administration.
Noncystic mucinous neoplasms have a central cystic mass, which is sometimes can be the only finding at CT examination.
Papillary-cystic tumors on CT appear as large non-homogeneous masses with a well-differentiated thick contour. This thick solid wall is enhanced after contrast administration. In the inner margin of the capsule, papillary nodules may be present. Calcification at the periphery of the lesion can be seen [15, 16].
Endocrine tumors are generally small, hypervascularized lesions on dynamic contrast-enhanced CT.
Microcystic adenomas may display, according to the tissue composition, a conglomerate of small cysts. Macrocystic adenomas appear on plain scans as large multilocular cysts or conglomerates of cysts. The cysts are larger than 2 cm. After the administration of contrast material to both types of cystic adenomas, hypervascularized septas can be seen.
Inflammatory diseases
Pancreatic swelling of the entire gland with calcification is the typical picture of chronic pancreatitis. Occasionally, an isolated mass of the pancreatic head can be found. The dilatation of the pancreatic duct is a typical finding and can be better demonstrated after administration of contrast material. The contours of the pancreatic duct are more irregular than in tumor related obstructions. Contrast enhancement of the parenchyma is non-homogeneous due to fibrosis.
The typical CT appearance of pancreatic pseudocysts are a hypodense lesion with a well demarcated, sometimes thick, wall [17].
Summary
It has been well-established that dynamic CT is useful and is probably the single best modality for the diagnosis and staging of pancreatic adenocarcinoma, although it is not fully sufficient in many cases, especially in those involving small tumors. On the other hand, a patient with pancreatic head mass without unambiguous sign of carcinoma (metastases, local expansion or spreading of tumor) requires further evaluation.

|
Figure 1. A 56 year old male with epigastric pain and loss of weight. CT after contrast medium administration shows a non-homogeneous hypodense nodule in the dorsal part head of the pancreas. Ductal adenocarcinoma
|

|
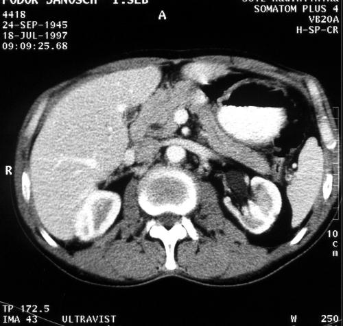
Figure 2. A 52 year old male with icterus. Spiral CT after contrast medium administration shows a hypodense 3 cm diametered lesion in the processus uncinatus. Ductal adenocarcinoma
|

|
Figure 3. A 36 year old female with moderate epigastric pain. CT after contrast medium administration shows multiple cystic lesions in the head of the pancreas. Cystadenoma of the pancreas
|

|
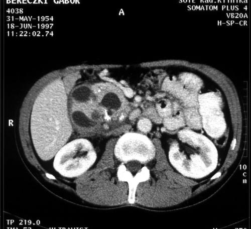
Figure 4. A 45 year old male alcoholic with epigastric pain. CT of the pancreas shows an enlarged pancreatic head, with multiple cystic degeneration and calcification. Chronic pancreatitis
|
Key words Carcinoma; Diagnosis, Differential; Diagnostic Techniques and Procedures; Neoplasm Staging; Pancreatic Diseases; Pancreatic Neoplasms; Pancreatic Pseudocyst; Tomography, X-Ray Computed
Abbreviations CT: computed tomography
Correspondence
Tamás Winternitz
1st Department of Surgery
Medical Faculty of Semmelweis University
Üllõi út 78
1082 Budapest
Hungary
Phone: 36-1-210.0330
Fax: 36-1-210.0794
E-mail address: wt@seb1.sote.hu
References
1. Baum U, Lell M, Nomayr A, Wolf H, Brunner T, Greess H, Bautz W. Mehrzeilen-Spiral-CT in der Diagnostik von Pankreastumoren. Radiologe 1999; 39:958-64.
2. Kim T, Murakami T, Takahashi S, Okada A, Hori M, Narumi Y, Nakamura H. Pancreatic CT imaging: effects of different injection rates and doses of contrast material. Radiology 1999; 212:219-25.
3. Richter GM, Wunsch C, Schneider B, Dux M, Klar E, Seelos R, Kauffmann GW. Hydro-CT in detection and staging of pancreatic carcinoma. Radiologe 1998; 38:279-86.
4. Freeny PC, Traverso LW, Ryan JA. Diagnosis and staging of pancreatic adenocarcinoma with dynamic computed tomography. Am J Surg 1993; 165:600-6.
5. Tabuchi T, Itoh K, Ohshio G, Kojima N, Maetani Y, Shibata T, Konishi J. Tumor staging of pancreatic adenocarcinoma using early- and late-phase helical CT. AJR Am J Roentgenol 1999; 173:375-80.
6. Barkin JS, Goldstein JA. Diagnostic approach to pancreatic cancer. Gastroenterol Clin North Am 1999; 28:709-22.
7. Bluemke DA, Cameron JL, Hruban RH, Pitt HA, Siegelman SS, Soyer P, Fishman EK. Potentially resectable pancreatic adenocarcinoma: spiral CT assessment with surgical and pathologic correlation. Radiology 1995; 197:381-5.
8. Sim JS, Choi BI, Han JK, Chung MJ, Chung JW, Park JH, Han MC. Helical CT anatomy of pancreatic arteries. Abdom Imaging 1996; 21:517-21.
9. O'Malley ME, Boland GW, Wood BJ, Fernandez-del Castillo C, Warshaw AL, Mueller PR. Adenocarcinoma of the head of the pancreas: determination of surgical unresectability with thin-section pancreatic-phase helical CT. AJR Am J Roentgenol 1999; 173:1513-8.
10. Yamada Y, Mori H, Kiyosue H, Matsumoto S, Hori Y, Maeda T. CT assessment of the inferior peripancreatic veins: clinical significance. AJR Am J Roentgenol 2000; 174:677-84.
11. Vedantham S, Lu D, Reber HA, Kadell B. Small peripancreatic veins: improved assessment in pancreatic cancer patients using thin-section pancreatic phase helical CT. AJR Am J Roentgenol 1998;170:377-83.
12. Irie H, Honda H, Kaneko K, Kuroiwa T, Yoshimitsu K, Masuda K. Comparison of helical CT and MR imaging in detecting and staging small pancreatic adenocarcinoma. Abdom Imaging 1997; 22:429-33.
13. Gorelick AB, Scheiman JM, Fendrick AM. Identification of patients with resectable pancreatic cancer: at what stage are we? Am J Gastroenterol 1998; 93:1995-6.
14. Hough TJ, Raptopoulos V, Siewert B, Matthews JB. Teardrop superior mesenteric vein: CT sign for unresectable carcinoma of the pancreas. AJR Am J Roentgenol 1999; 173:1509-12.
15. Ferrozzi F, Bova D, Campodonico F, De Chiara F, Passari A, Bassi P. Pancreatic metastases: CT assessment. Eur Radiol 1997; 7:241-5.
16. Ferrucci JT. Biliopancreatic malignancy current diagnostic possibilities: an overview. Ann Oncol 1999;10 (Suppl. 4):143-4.
17. Manes G, Kahl S, Glasbrenner B, Malfertheiner P. Chronic pancreatitis: diagnosis and staging. Ann Ital Chir 2000; 71:23-32.