4th Joint Meeting
of Italian-Hungarian Pancreatologists
Capri (Italy). September 30th, 2000
JOP. J Pancreas (Online) 2000; 1(3 Suppl.):100-107.
Department of Radiology, Cardarelli Hospital. Napoli, Italy
Introduction
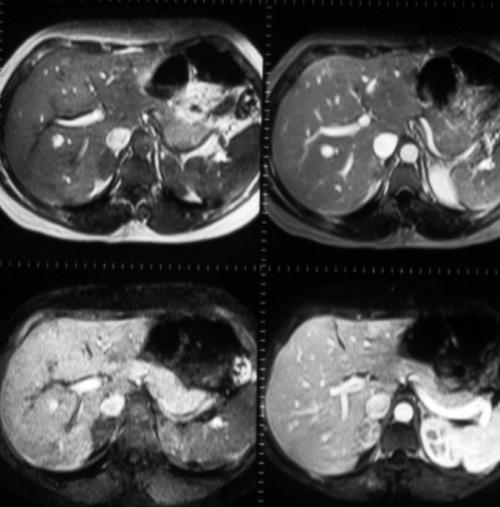
Until recently, conventional magnetic resonance (MR) imaging of the pancreas was limited by motion artifacts (respiratory, vascular, and bowel peristaltic) and poor spatial resolution. Recent technique innovations in MR imaging hardware and software (fast imaging) have allowed these problems to be overcome with acquisition images similar to those obtained with spiral computed tomography (CT) (Figure 1).

|
Figure 1. MR study of the pancreas: normal anatomy. T1 RF fast breath-hold images before and after intravenous administration of gadolinium-DTPA (up) T1 RF fast fat suppressed breath-hold images before and after intravenous administration of gadolinium-DTPA (down) show normal enhancement of the pancreatic parenchyma.
|
MR standard examinations of the pancreas require fat suppressed breath-hold T1- and non-breath-hold T2-weighted images; contrast agent is used especially in the fast imaging studies with acquisition of dynamic study.
As a complement to baseline sequences, MR cholangiopancreatography (MRCP) provides additional information on bilio-pancreatic ductal abnormalities [1]. Moreover, contrast-enhanced MR angiography adds further information for the vascular assessment of pancreatic cancer. Thus, MR can be considered a one stop shopping imaging modality because a comprehensive evaluation of the abdomen can be made by using this imaging technique alone.
Furthermore, based on its capabilities, MR is to be considered a valuable alternative to CT which has until now been the established imaging technique in most hospitals.
In patients with known or suspected pancreatic mass, the aim of MR studies is to identify, classify, differentiate and stage the challenging lesions on the basis of the different imaging sequences, adding further information to diagnosis and appropriate management.
Solid Pancreatic Head Neoplasms
Although a pathological comparison between the spectrum of pancreatic neoplasms and MR imaging features is often impossible, a macroscopic correlation between solid and cystic tumors and MR images can be made. In this chapter, the key MR features with correlative main macroscopic solid tumors located within the head will be discussed with reference to the WHO classification [2].
Exocrine tumors
Ductal adenocarcinoma
Ductal adenocarcinoma of the pancreas is an epithelial neoplasm which accounts for the overwhelming majority of all malignant pancreatic tumors (85-95%); in up to 70% of cases, it is located in the head [2]. At the time of clinical presentation, 2/3 of the patients have a locally advanced tumor stage, with metastatic disease in 85%: thus, although 10-15% of patients are judged resectable, only 20% of them are really eligible for surgery with curative intent.
The typical MR appearance of pancreatic ductal carcinomas is a mass of 3 cm showing reduced signal intensity as compared to the normal parenchyma in T1 and T1 fat-saturated images. In our experience, fat suppressed breath-hold T1-weighted sequences without intravenous contrast medium administration are able to highlight both small pancreatic solid and infiltrative neoplasms not depicted on spiral CT scans. The poor vascularization and the histological character of the neoplasm (scirrhus) are responsible for its low signal intensity and indeterminate contours. In T2-weighted images, the neoplasm may show a slight hypointense or isointense signal in cases of accompanying inflammatory parenchymal changes [3]. In gadolinium-enhanced T1 fat-saturated images, neoplasms remain hypointense in the arterial and portal images, showing progressive and gradual enhancement in the late phases: this behavior may be partially related to the accumulated contrast medium in the extracellular spaces as well as the tumoral venous abnormalities [4].
Fat suppressed breath-hold T1-weighted images and intravenous administration of Gd-DTPA are usually helpful in tumor detection since they produce an optimal contrast gradient between the neoplastic and normal parenchyma (Figure 2): according to the biphasic dynamic MR technique [5], scans performed 15 and 45 seconds (or later) after a rapid bolus injection allow optimal pancreatic enhancement.

|
Figure 2. Contrast enhanced MR imaging of head pancreatic neoplasm. Fat suppressed breath-hold T1-weighted MR images before and after intravenous administration of gadolinium-DTPA depict less enhancement of the tumor than that of normal pancreatic parenchyma.
|
Although association with pancreatitis is not rare, desmoplastic reaction of the ductal adenocarcinoma is usually responsible for a fuzzy appearance of this tumor, mimicking pancreatitis. The differentiation between the two entities is not easy. In some cases T2-weighted sequences are helpful in the differential diagnosis since inflammatory peripancreatic changes have a higher signal intensity.
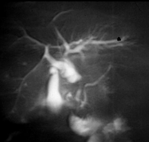
In symptomatic patients or when neoplasms are located within the pancreatic head, bilio-pancreatic duct abnormalities are frequently found. Bilio-pancreatic duct impairment is best depicted by MRCP. This technique does not require intravenous contrast agent administration and provides information similar to endoscopic retrograde cholangiopancreatography (ERCP) including stenosis, occlusion, and duct dilatation, with a high accuracy reported [6]. MRCP clearly identifies the site, extent and degree of the stenosis, and depicts segmental and/or diffuse bilio-pancreatic tree abnormalities related to the size and location of pancreatic neoplasms (Figure 3). Typical ductal changes secondary to pancreatic head neoplasms include: the double duct sign and the mouse tail sign. The former refers to dilatation of both the biliary and pancreatic ducts, the latter is due to the reduction of the bile duct caliber as a result of sudden obstruction at pancreatic head. Moreover, subtle ductal changes provided by MRCP often suggest the diagnosis of small, not well depicted pancreatic tumors and prove to be helpful in the differential diagnosis of chronic pancreatitis in which dilated side branches are seen within, rather than adjacent to, an inflammatory mass [7, 8]. Finally, MRCP, by demonstrating the level of biliary tract obstruction, provides an optimal biliary map useful for appropriate drainage approach (percutaneous cholangiography or ERCP).


|
Figure 3. a) MRCP shows distal obstruction of the common bile duct and pancreatic duct with upstream dilatation due to head pancreatic neoplasm. b) MRCP shows stenosis of the common bile duct with upstream dilatation due to an infiltrating pancreatic head neoplasm. The main pancreatic duct is slightly dilatated.
|
Accurate preoperative imaging evaluation of the degree of local tumor extension and peripancreatic vascular involvement are among the most important factors for predicting the likelihood of success from surgical resection and the prognosis in patients with a malignant pancreatic neoplasm. The accepted criteria for surgical resectability include [9]: tumors (<2 cm) with intact margins and without vascular involvement or metastasis. In this context, despite the fact that CT and MR show a high positive predictive value (88%), they both have a low negative predictive value (23%) [10]: in other words, if CT and MR easily determine unresectability, a large number of neoplasms judged potentially resectable on the basis of imaging findings prove not to be surgically resectable in the operating room. The limits of imaging can be summarized as follows: 1) poor sensibility to detect small metastases in the liver (<2 cm); 2) poor detection of metastasis localized on the hepatic surface; 3) poor detection of peritoneal implants and 4) low sensibility in the detection of vascular involvement particularly when neoplasms are fixed or partially encircle adjacent vessels. Since laparoscopy is the gold standard for detecting small metastases and peritoneal implants, the goal of imaging techniques is to improve the accuracy of vascular involvement. By using a biphasic dynamic MR technique, optimal peripancreatic vascular enhancement can be obtained [5] (Figure 4); in this setting, angio 3D studies do not provide further information when compared to conventional imaging.

|
Figure 4. Contrast-enhanced RF fast T1-weighted MR images (same case) show pancreatic neoplasm infiltrating the hepatic and splenic arteries at the origin (upper) and the splenic vein (lower). Slight dilatation of the main pancreatic duct is also visible (upper).
|
Finally, other important information necessary for surgical planning is the assessment of the lymph node metastasis involvement. Based only on dimensional criteria, the negative predictive value of MR is too low (57%) to influence surgical resectable judgement: the role of MR imaging is not so much to identify peripancreatic lymph nodes as to detect those lymphonodal stations (mesenteric, hepatic, etc.) that may exclude patients from being judged surgically resectable [3].
Mucinous (noncystic) neoplasm
Identified and classified only recently, these neoplasms originate in the ductal epithelium at any level within the pancreatic ductal system. They show a papillomatous growth pattern which results in progressive ductal dilatation or cystic formation [11].
According to Solcia [12] they are classified as:
1. Peripheral type, located in the tail;
2. Branch type, masses located in the uncinate process with macrocystic and microcystic pattern;
3. Main duct type, characterized by diffuse or segmental dilatation of the main pancreatic duct.
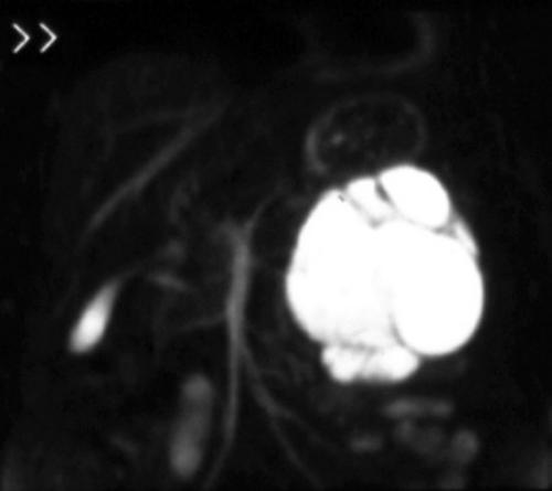
Peripheral type Typically located in the tail (85%); the macroscopic appearance of these malignant or potentially malignant neoplasms is a large unilocular or multilocular mass with cystic components usually greater than 2 cm (Figure 5). Even without the administration of contrast material, the high contrast resolution of MR may reflect varying cystic components.

|
Figure 5. Coronal FSE/SPIR of mucinous pancreatic neoplasm (peripheral type). MR image shows lobulated, macrocystic pancreatic mass with cystic components located in the tail.
|
Branch type They usually appear as masses typically located in the uncinate process with macrocystic (more frequent) and microcystic patterns. In the early stages, they appear as small, rounded masses with a normal or slightly dilated main pancreatic duct. In the later stages, the masses may involve the main duct resulting in duct dilatation; moreover, branch dilatation, bulging of the papilla into the duodenum and obstruction of the common bile duct, may be observed. The macrocystic pattern refers to unilocular or multilocular masses separated by sparse septa. Differentiation of these cystic neoplasms from cystoadenoma is possible when demonstration of a communication with the main duct is demonstrated. The microcystic pattern is characterized by fluid-filled lacunae separated by multiple thin septa. The diagnosis can be made by ERCP, and less frequently MRCP or CT, by demonstrating the communication between masses and main pancreatic duct which is frequently dilated [13].
Main duct type These neoplasms can involve a segment or the full length of the main pancreatic duct with variable thickness of the peripheral wall; in both cases, the differential diagnosis of obstructive chronic pancreatitis may be difficult and the findings of ERCP are often more characteristic and conclusive. Occasionally, segmental duct dilatation may result in a cystic appearance surrounded by normal pancreatic parenchyma if tumors are localized in the body, or conversely, upstream dilatation of the main duct may be present if neoplasms are located in the pancreatic head. When neoplasms affect the full length of the main duct without cystic dilatation, differentiation from chronic pancreatitis may be impossible. Nevertheless, some signs must be considered: dilatation of the branch ducts located at the level of the pancreatic head and tail in association with diffuse dilatation of the main duct. Other important findings are the detection of mural nodules or mucin globs (Figure 6) as well as dilatation of the major papilla, minor papilla or both with bulging into the duodenum. Finally, in the late stages, these neoplasms cause mass effect in the pancreatic head.

|
Figure 6. MRCP of mucinous pancreatic neoplasm (main duct type). MRCP images shows dilatation of the main and branch pancreatic ducts at the level of the body. Mural globs in the main and branch ducts are also evident.
|
Actually, ERCP represents the gold standard for diagnosing mucin neoplasms, especially in the early stages of neoplasms [14]. Communication between cystically dilated ductal segments or branch ducts and the main pancreatic duct is easily demonstrated and leads to the correct diagnosis. In the late stages, reflux of contrast material due to an excess of mucin or a patent papillary orifice hinders the filling of the ductal tree. MRCP adequately demonstrates the segmental dilatation of the main pancreatic duct, but rarely shows communication between the main duct and the masses [1, 15, 16, 17, 18]. In this setting, secretin-enhanced MRCP opens future perspectives for improving the detectability of this crucial pathologic anatomic feature.
Cystic Pancreatic Head Neoplasms
Benign neoplasms
Serous microcystic neoplasm
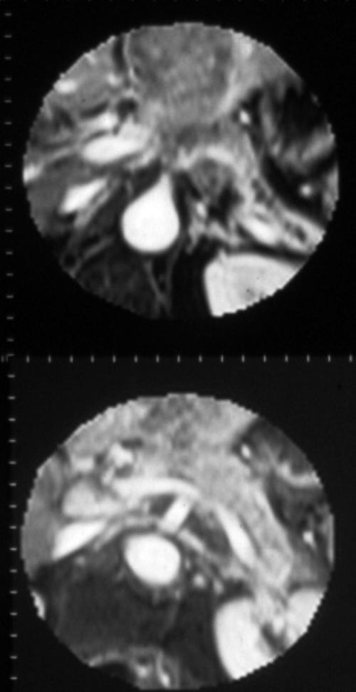
This neoplasm is, for the most part, a wide, lobulated, well-demarcated benign tumor containing central, calcified scar (33%) and multiple thin cysts (<2 cm). Although most commonly located in the head, the serous microcystic neoplasms occur almost anywhere in the pancreas; an association with von Hippel-Lindau disease (predisposing factor) is described [19, 20].
On T1-weighted MR images, the tumor appears as a non-homogeneous hypointense mass with hyperintense spots related to possible hemorrhagic events (Figure 6), while on T2-weighted images, the neoplasm shows a hyperintense pattern with some low intensity central areas due to scar formation. Contrast-enhanced scans usually show enhancement of septa and the peripheral part of the tumor. As usual, central calcifications are not depicted on MR scans.
Some features should be considered in the differential diagnosis of mucinous neoplasms:
- Large number of cysts;
- Small size of the cysts (<2 cm);
- Rich arterial blood supply.
Macrocystic serous cystadenoma
It is a macrocystic variant of serous cystadenoma and presents histological features similar to microcystic neoplasms.
The mass consists of cysts measuring up to 8 cm; in the typical configuration, the neoplasm shows one large dominant cyst surrounded by smaller daughter cysts.
As to MR appearance, this extremely rare benign neoplasm is not distinguishable from mucinous cystic tumors.
Endocrine Tumors (Islet Cell Tumors)
Insulinoma and gastrinoma
Insulinoma and gastrinoma are the most common endocrine tumors: the former is found in all parts of the pancreas, the latter is predominantly located at the junction between the head and the body of the pancreas.
Depending on their typical hypervascularity, insulinomas and gastrinomas characteristically show a ring-like enhancement pattern both on the primary neoplastic pancreatic tissues and on the metastatic lesions (liver), particularly after intravenous gadolinium-DTPA. On MR, they appear as hypointense lesions on T1-weighted images and hyperintense lesions on T2-weighted images. Fat suppressed breath-hold T1-weighted imaging usually increases the signal intensity difference between tumor and normal pancreatic tissue.
Non-Neoplastic Masses and Diseases Simulating Pancreatic Head Masses
Congenital and inflammatory cysts
MR is a valuable imaging technique for the evaluation of congenital and inflammatory cystic masses. On the basis of conventional MR sequences, congenital cysts show a homogeneous hypointense and hyperintense signal pattern on T1- and T2- weighted images respectively. Depending on the cystic content, the MR signal intensity pattern of the inflammatory cystic masses may vary on T1- and T2- weighted images; the fibrous walls appear hypointense on T1-weighted images and hyperintense on T2-weighted images.
Chronic pancreatitis
Characteristic MR signal changes occur with the advanced chronic pancreatitis. On T1-weighted spin echo imaging, reduction of normal signal parenchymal intensity may be observed according to atrophy, fibrosis and loss of aqueous proteins in the glandular acini. The parenchymal hypointensity is better seen on fat-suppressed images. On T2-weighted images, the parenchymal signal intensity may vary (normal, variably increased or decreased) according to the different pathological stages of fibrosis and atrophy. Probably for the same reason, parenchymal enhancement with gadolinium-DTPA is both less intense and more gradual than in the normal pancreas.
The association between chronic pancreatitis and carcinoma is not rare and it is probably due to the obstruction of the main pancreatic duct. The areas of atrophy and focal enlargement of the gland are sometimes difficult to differentiate from carcinoma on the basis of imaging and clinical findings alone [21]. When localized in the head of the pancreas, both lesions may cause rapid onset of dilated ducts, iso- (small carcinomas) hypo-intense areas on T1-weighted MR sequences, and atrophy of the tail. The analysis of T2-weighted MR images may provide additional information for the differential diagnosis showing a different signal intensity pattern of the inflammatory and neoplastic tissue. The presence of foci of calcification within the mass, which almost never occurs in duct adenocarcinoma, is not well depicted on MR imaging.
Although not pathognomonic, the typical cholangiographic pattern on MRCP sequences may be helpful in the differential diagnosis between pancreatitis and head neoplastic lesions. Typical cholangiographic patterns secondary to pancreatic cancer are the double duct sign and the mouse tail sign (see ‘Exocrine tumors’ section). Conversely, in chronic pancreatitis, the biliary tract stenosis has a tapered or irregular aspect at MR with alternation of dilated and stenotic biliary segments.
Nevertheless, in many cases the final diagnosis comes from fine needle aspiration biopsy or open biopsy during surgical intervention for biliary derivation [22].
Pancreas divisum and annular pancreas
Pancreas divisum and annular pancreas are the most common congenital pancreatic abnormalities.
MRCP is the best noninvasive method for establishing the diagnosis of pancreas divisum - accuracy ranging from 67-100% [23, 24] - showing caliber, morphology of the pancreatic ducts, and their spatial relationship with the papilla and duodenum.
Conclusion
Although the pancreatic masses are found frequently at imaging, differential diagnosis among the pancreatic lesions remains difficult and requires a deep knowledge of a wide spectrum of pathological entities having a different clinical significance and prognosis.
The knowledge of the patient's history and clinical setting is of critical importance especially in those cases in which a specific diagnosis is not possible on the basis of imaging criteria alone.
Regarding the imaging approach to the pancreatic masses, even though findings in several studies have suggested that MR imaging is much more sensible and specific than CT in pancreatic lesion detection and preoperative staging, to date the superiority of MR imaging on CT cannot be assessed. Nevertheless, the development in MR technology allows this imaging modality to be considered as a valuable alternative to CT.
To date, MR main specific indications can be identified as follows:
1. patients with known iodine contrast medium allergy;
2. patients with renal failure;
3. patients with highly suspected pancreatic neoplasms and normal or equivocal CT;
4. detection of small neoplasms which do not modify the morphology of the pancreatic gland or its contours;
5. when details on the bilio-pancreatic abnormalities are requested;
6. to assess the features of a cystic mass (differential diagnosis, analysis of the number, the walls and the cystic content).
Key words Cholangiopancreatography, Endoscopic Retrograde; Diagnostic Imaging; Nuclear Magnetic Resonance; Pancreatic Neoplasms
Abbreviations CT: computed tomography; ERCP: endoscopic retrograde cholangiopancreatography; MR: magnetic resonance; MRCP: magnetic resonance cholangiopancreatography
Correspondence
Mariano Scaglione
Via G. Merliani 31
I-80127 Naples
Italy
Phone: +39-81-558.4821
Fax: +39-81-747.2976
E-mail address: mscaglione@tiscalinet.it
References
1. Usuki N, Okabe Y, Miyamoto T. Intraductal mucin-producing tumor of the pancreas: diagnosis by MR cholangiopancreatography. J Comput Assist Tomogr 1998; 22:875-9.
2. Helmberger TK, Ros LH, Baretton G. Solid pancreatic lesions. Eur Radiol 1999: 9(suppl. 2):197-207.
3. Ichikawa T, Haradome H, Hachiya J, Nitatori T, Ohtomo K, Kinoshita T, Araki T. Pancreatic ductal adenocarcinoma: preoperative assessment with helical CT versus dynamic MR imaging. Radiology 1997; 202:655-62.
4. Johnson PT, Outwater ER. Pancreatic carcinoma versus chronic pancreatic: dynamic MR imaging. Radiology 1999; 212:213-8.
5. Kanematsu M, Shiratori Y, Hoshi H, Kondo H, Matsuo M, Moriwaki H. Pancreas and peripancreatic vessels: effect of imaging delay on gadolinium enhancement at dynamic gradient-recalled-echo MR imaging. Radiology 2000; 215:95-102.
6. Passariello R, Pavone P, Laghi A. MR cholangiopancreatography. Abdominal Radiology (sillabus). International Congress of Radiology. Milano: Bracco, 1998: 75-82.
7. Matos C, Metens T, Deviere J, Nicaise N, Braude P, Van Yperen G, et al. Pancreatic duct: morphologic and functional evaluation with dynamic MR pancreatography after secretin stimulation. Radiology 1997; 203: 435-41.
8. Takehara Y. MR pancreatography: technique and applications. Top Magn Reson Imaging 1996; 8:290-301.
9. Van Hoe L, Baert AL. Pancreatic carcinoma: applications for Helical Computed Tomography. Endoscopy 1997; 29:539-60.
10. Hommeyer S, Freeny PC, Crabo LG. Carcinoma of the head of the pancreas: evaluation of pancreaticoduodenal veins with dynamic CT - potential for improvement accuracy in staging. Radiology 1995; 196:233-8.
11. Procacci C, Megibow AJ, Carbognin G, Guarise A, Spoto E, Biasiutti C, Pistolesi GF. Intraducatal papillary mucinous tumor of the pancreas: a pictorial essay. Radiographics 1999; 19:1447-63.
12. Solcia E, Capella C, Kloppel G. Tumors of the pancreas. In: Atlas of Tumor Pathology, 20(3). Washington: Armed Forces Institute of Pathology, 1997: 53-64.
13. Fukukura Y, Fujiyoshi F, Sasaki M, Ichinari N, Inoue H, Kajiya Y, Nakajo M. HASTE MR cholangiopancreatography in the evaluation of intraductal papillary-mucinous tumors of the pancreas. J Comput Assist Tomogr 1999; 23:301-5.
14. Ferrucci JT. Frontiers in pancreatic-biliary imaging: ERCP, MRCP, CT, CP and beyond. In Gastroenterology and Epatology at the Millennium and Beyond. San Diego, California: Brownstein Syllabus, 2000: 153-8.
15. Irie H, Honda H, Aibe H, Kuroiwa T, Yoshimitsu K, Shinozaki K, et al. MR choloangiopancreatographic differentiation of benign and malignant intraductal mucin-producing tumors of the pancreas. AJR Am J Roentgenol 2000; 174:1403-8.
16. Koito K, Namieno T, Ichimura T, Yama N, Hareyama M, Morita K, Nishi M. Mucin-producing pancreatic tumors: comparison of MR cholangiopancreatography with endoscopic retrograde cholangiopancreatography. Radiology 1998; 208:231-8.
17. Onaya H, Itai Y, Niitsu M, Chiba T, Michishita N, Saida Y. Ductectatic mucinous cystic neoplasms of the pancreas: evaluation with MR cholangiopancreatography. AJR Am J Roentgenol 1998; 171:171-8.
18. Sugiyama M, Atomi Y, Hachiya J. Intraductal papillary tumors of the pancreas: evaluation with magnetic resonance cholangiopancreatography. Am J Gastroenterol 1998; 93:156-9.
19. Buck JL, Hayes WS. Microcystic adenoma of the pancreas. Radiographics 1990; 10:313-22.
20. Friedman AC, Lichtenstein JE, Dachman AH. Cystic neoplasms of the pancreas. Radiology 1983; 149:45-50.
21. Gabata T, Matsui O, Kadoya M, Yoshikawa J, Miyayama S, Takashima T, et al. Small pancreatic adenocarcinomas: efficacy of MR imaging with fat suppression and gadolinium enhancement. Radiology 1994; 193:683-8.
22. Balthazar EJ, Freeny PC, Van Sonnenberg E. Imaging and intervention in acute pancreatitis. Radiology 1994; 193:297-306.
23. Bret PM, Reinhold C, Taourel P, Guibaud L, Atri M, Barkun AN. Pancreas divisum: evaluation with MR cholangiopancreatography. Radiology 1996; 199:99-103.
24. Soto JA, Barish MA, Yucel EK, Clarke P, Siegenberg D, Chuttani R, Ferrucci JT. Pancreatic duct: MR cholangiopancreatography with a three-dimensional fast spin-echo technique. Radiology 1995; 196:459-64.