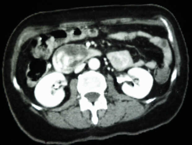
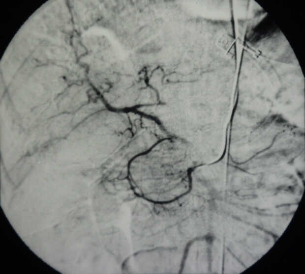
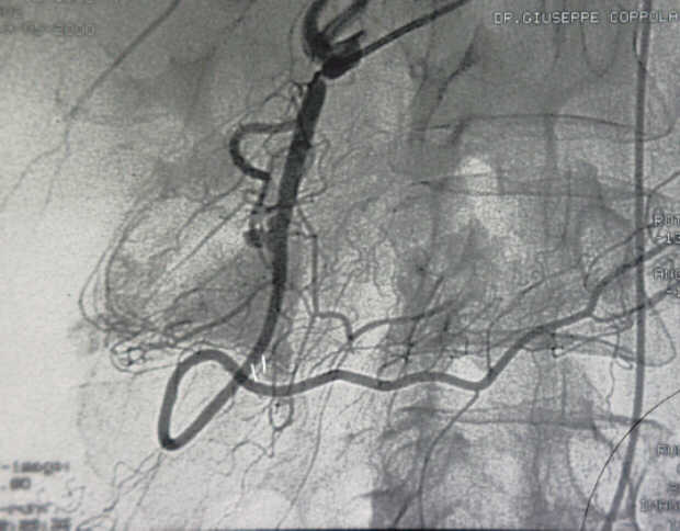
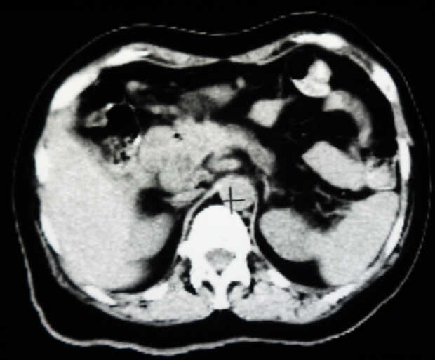
Pancreatic Head Mass: What Can Be Done?
Diagnosis: Angiography

Giuseppe Morelli Coppola, Raffaella Niola, Franco Maglione

Unità Operativa di Radiologia Vascolare ed Interventistica, Azienda Ospedaliera "A. Cardarelli". Napoli, Italy