Pancreatic
Head Mass, What Can Be Done?
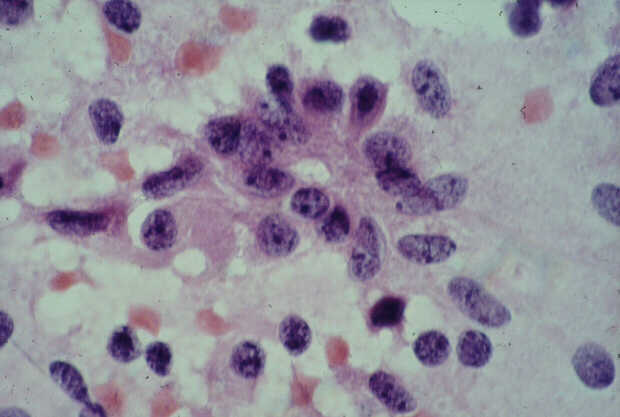
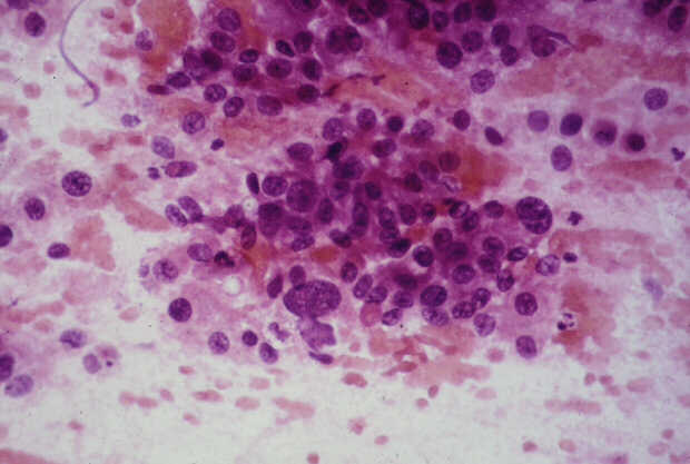
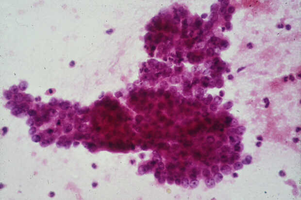
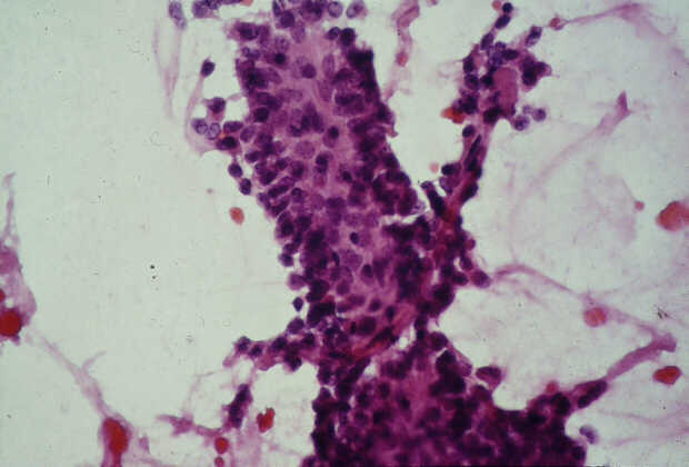
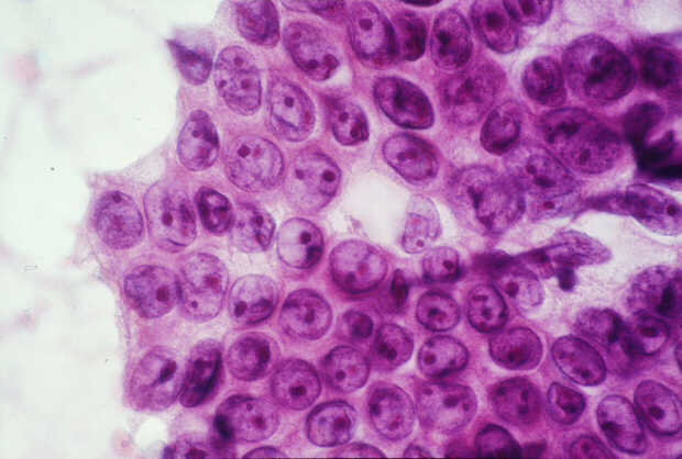
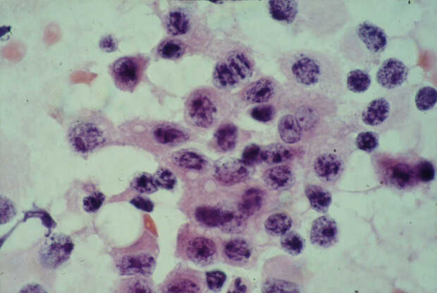
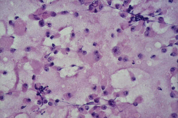
Diagnosis: Cytology
Balazs Járay1, Eszter Székely1, Tamas
Winternitz2, Zsolt Tarján3,
Tibor F. Tihanyi2
12nd
Department of Pathology, 21st Department of Surgery, 3Department
of Radiology, Semmelweis University. Budapest, Hungary



























































