4th Joint Meeting
of Italian-Hungarian Pancreatologists
Capri (Italy). September 30th, 2000
JOP. J Pancreas (Online) 2000; 1(3):119-122.
12nd Department of Pathology, 21st Department of Surgery, 3Department of Radiology, Semmelweis University. Budapest, Hungary
The 1st Clinic of Surgery of Semmelweis University of Medicine is one of the Centers of Hungarian pancreatic surgery; therefore we see a large number of patients with suspected pancreatic tumors, and tumor-like lesions.
The differential diagnosis of chronic pancreatitis and pancreatic carcinoma or other tumors can be difficult - clinically, surgically and even histologically. The specificity of preoperative imaging methods is relatively low, especially in the evaluation of the extent of circumscribed, space-occupying lesions.
The specificity of the ultrasonography is 50-70%, that of computed tomography scan is 70-85%, and that of magnetic resonance imaging is 80-90% [1].
If the above-mentioned imaging techniques are combined with some type of micro-morphological methods, for example fine needle aspiration biopsy or core biopsy, a higher specificity can be reached, namely 90-95%. Taking tissue for biopsy is associated with significant complications in 5 to 20% of cases such as hemorrhage, fistula formation, pancreatitis and even death [2, 3].
In our institutions we rarely use the traditional coarse or core needle biopsy in the case of circumscribed lesions; instead, we generally use fine-needle aspiration biopsy because coarse needle biopsy may involve the risk of complications of which hemorrhage is undoubtedly the most serious occasionally having a fatal outcome. The results of these two methods are almost equal and sometimes fine-needle aspiration biopsy is slightly better. Since the less traumatic fine-needle aspiration biopsy necessitates fewer precautions and has other advantages, the coarse needle biopsy should be restricted to the few cases in which the former does not yield sufficient information. Fine-needle aspiration biopsy has essentially replaced tissue biopsy or frozen section examination of the pancreas; unfortunately however, a significant number of cancers may still be overlooked, so a negative biopsy result does not exclude malignancy [4].
Our aims with fine-needle aspiration biopsy are the following: to decrease the iatrogenic morbidity, give the most precise preoperative or intraoperative diagnosis possible and to save time and money.
It is important to decide if the lesion is benign or malignant, primary or secondary, whether or not surgery is necessary inasmuch as surgical procedures involving the pancreas could have more serious outcomes than those involving superficial organs, such as the breast or the thyroid gland, therefore the responsibility of the diagnostic team is greater [1, 5].
If the operation is unavoidable it can be planned in advance and in the case of inoperable tumors, chemo- and/or radio-therapy may be started immediately.
Fine needle aspiration biopsy is also suitable for tumor staging.
Our opinion is that intraoperative fine-needle aspiration biopsy is indicated in every space-occupying lesion of the pancreas when the other non-invasive diagnostic methods produced doubtful results. However, preoperative fine-needle aspiration biopsy should be performed only in those cases, in which surgery is unnecessary or avoidable, as for example in inoperative cases, where cytological confirmation of malignancy is needed before beginning chemotherapy.
Multiple cytologic biopsies can be performed with considerably less risk than tissue biopsies. Intraoperative fine-needle aspiration biopsy is more sensitive than percutaneous preoperative fine-needle aspiration biopsy because it allows sampling under direct visualisation or palpation of the tumor [2, 3, 4].
Naturally, the percutaneous fine-needle aspiration biopsy has its contraindications, but they are nearly always only relative contraindications. They are as follows: increased risk of bleeding, a large amount of ascites, acute pancreatitis, non-cooperating patients and small lesions dangerous locations [1].
Most of the percutaneous biopsies are guided by ultrasound, and we use a 22 G thick Chiba needle, which has an external diameter of only 0.75 mm, therefore it is quite thin.
The advantages of fine-needle aspiration biopsy vs. coarse needle biopsy or surgical biopsy are as follows: rapidity, it takes only a few minutes, so it is suitable as an intraoperative method, low cost which means that in Hungary it costs only 5-6 thousand forints, about $20 USD, an accurate diagnosis, well tolerated by the patients, minimal or no morbidity and the smears are suitable for similar ancillary studies such as histological preparations, for example special stains, immunocytochemistry, electron microscopy [1].
The method is therapeutic when cysts or abscesses are found.
Of course, fine-needle aspiration biopsy has a few disadvantages. It is not suitable for investigating some non-neoplastic conditions, considerable training and experience are required and it may produce complications which are, however, far less then those of conventional biopsy, only 1-2‰.
Generally, the complications are minor hematomas, infections, bile peritonitis, pancreatitis and seeding of tumor cells into the needle tract; its significance is questionable [1, 6].
A very important question is who should perform the procedure. The first question is who should do the guided needle biopsy? If possible, it should be done by those physicians who perform guided fine-needle aspiration biopsy at least once a week and, if necessary, the aid of a cytologist should be used.
The second question is who should examine the smears? Only experienced cytopathologists are recommended in order to avoid elevated false results. It must be emphasized that pathologists with routine histological experience are not necessarily suitable for this examination.
In summary, close teamwork involving the radiologist, cytopathologist, surgeon and oncologist is essential.
During the last six years 1,677 fine-needle aspiration biopsies were performed on the pancreas in our institutes: 84% of them were done intraoperatively, 15% were percutaneous guided biopsy and 1% were done with endoscopic-ultrasound guidance using a Vilman needle.
The percutaneous biopsies are usually performed with ultrasound guidance using 22 G needles and without the use of a needle guide, the so called free hand technique. Since 1993, pathologists have usually been present at the procedures. They perform the aspirations, and smear seeding, and sometimes even do the puncture by themselves. With this teamwork, the rate of unsatisfactory smears has decreased, and the cytopathologist might get more information as a result of the close contact with the patient and this might be very helpful in the evaluation of the different cytological findings on the smears [1, 4, 5].
In this paper, we do not describe all the details of the procedure. Even though the method seems to be quite simple, there are numerous possible pitfalls to be avoided, to obtain an ideal, representative smear of the lesion for diagnosis.
In the 2nd Department of Pathology, the smears are wet fixed, and stained by Haematoxylin and Eosin, but different staining methods may also be used. We like H&E staining of our smears because of their easy comparison with the histological slides. It is worth noting that the same immunohistochemical reactions may be performed on smears, like those widely used on histological slides, and sufficient material may be obtained even for electron microscopy examinations.
Using several points of view, we analyzed the results of the 1,677 biopsies performed. According to the diagnoses, we created different groups: benign lesions, malignant lesions, and lesions suspicious for malignancy. In the malignant group there are the malignant primary lesions including ductal adenocarcinoma, mucinous cystadenocarcinoma, solid and cystic papillary tumors, malignant endocrine tumors, and metastasis.
Cysts, pseudocysts, abscesses, chronic pancreatitis and benign tumors such as serous and mucinous cystadenomas and benign endocrine tumors were all grouped together in the benign category (Figures 1-3).

|
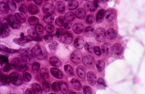
Figure 1. Honeycomb appearance of the ductal cells from a case of chronic pancreatitis. Papanicolaou staining, 1000x.
|

|
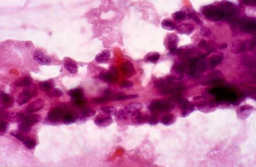
Figure 2. Well differentiated ductal cancer of the pancreas. Note the enlargement of the nuclei and the nucleoli. H.E. 1000x.
|

|
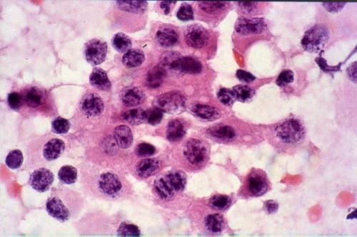
Figure 3. Tumor cells from a solid and cystic papillary tumor of the pancreas. Note the fibrovascular core among the tumor cells. H.E. 1000x.
|
Smears which fell into the suspicious-for-malignancy group, were the ones in which the cells showed alterations which were possibly malignant. However, clear-cut malignancy could not be diagnosed because of low cellularity.
Ten percent of the biopsies were not sufficient to reach a diagnosis. This relatively high number is partly due to the rather strict criteria we used. In cases with high discrepancies between clinical suspicion and cytological results, new biopsies were performed.
Twenty-one percent of all the cases proved to be malignant, 61% benign or normal and 8 % were suspicious for malignancy.
We could confirm our cytological diagnoses by histological examination or clinical follow up in 435 cases, and, on the basis of this number, the sensitivity was 89% and the specificity was 100%.
The most problematic differential diagnoses involved distinguishing dysplastic epithelial cells coming from chronic pancreatitis from a highly differentiated adenocarcinoma and determining the biological behavior of the endocrine tumors which, in many cases, is impossible with fine-needle aspiration biopsy [3, 7, 8] (Figure 4).

|
Figure 4. Characteristic cytological picture of an endocrine tumor. This tumor proved to be a benign insulinoma upon histological examination. H.E. 400x.
|
After analyzing the 10% false negative cases, we found that the main causes of mistakes were sampling errors, when the physician could not get material from the tumor, but only from the surrounding reactive tissue and the improper processing techniques.
Mistakes are made when the tumor is cystic, fibrotic, necrotic or highly differentiated and, of course, inexperienced cytopathologists are less accurate than more experienced ones.
Finally, it should be emphasized again, that good results can only be achieved with close teamwork. If there is no co-operation between the clinician, the radiologist and the cytopathologist, false or unequivocal results may occur, even in the hands of extremely competent specialists.
Key words Aspiration Biopsy; Biopsy, Needle; Cytology; Diagnosis, Differential; Pancreas; Pancreatic Neoplasms; Pancreatitis
Correspondence
Balazs Járay
2nd Department of Pathology
Semmelweis University Budapest
Ulloi ut 93
H-1091 Budapest
Hungary
Phone: +36-1-215.7300 / +36-1-215.3400
Fax: +36-1-215.6921
E-mail address:jb@korb2.sote.hu
References
1. DeMay RM. The Art and Science of Cytopathology. Chigaco: ASCP Press. 1995.
2. Blandamura S, Costantin G, Nitti D, Boccato P. Intraoperative cytology of pancreatic masses. A 10-year experience. Acta Cytol 1995; 39:23-7.
3. Robins DB, Katz RL, Evans DB, Atkinson EN, Green L. Fine needle aspiration of the pancreas. In quest of accuracy. Acta Cytol 1995; 39:1-10.
4. Frias-Hidvegi D. Liver and Pancreas. Guides to Clinical Aspiration Biopsy. New York, Tokyo: Igaku-Shoin. 1988.
5. Lerma E, Musulen E, Cuatrecasas M, Martinez A, Montserrat E, Prat J. Fine needle aspiration cytology in pancreatic pathology. Acta Cytol 1996; 40:683-6.
6. Saez A, Catala I, Brossa R, Funes A, Jaurrieta E, Ferrer JE. Intraoperative fine needle aspiration cytology of pancreatic lesions. A study of 90 cases. Acta Cytol 1995;39:485-8.
7. Naresh KN, Borges AM, Chinoy RF, Soman CS, Krishnamurthy SC. Solid and papillary epithelial neoplasm of the pancreas. Diagnosis by fine needle aspiration cytology in four cases. Acta Cytol 1995; 39:489-93.
8. Saleh H, Masood S, Khatib G. Percuteneous and intraoperative aspiration biopsy cytology of pancreatic neuroendocrine tumors. Acta Cytol 1995; 40:182-90.