ORIGINAL ARTICLE
JOP. J Pancreas (Online) 2012 Jul 10; 13(4):376-386.
Stellate Cell Activation in Tropical Calcific Pancreatitis Compared to Alcoholic Pancreatitis, Adenocarcinoma of Pancreas and Normal Pancreas
Johny Cyriac1, Pushpa Mahadevan2, Philip Augustine1, Hariharan Ramesh3, Abraham Koshy1
Departments of 1Gastroenterologyy, 2Pathology and 3Gastrointestinal Surgery, Lakeshore Hospital and Research Centre. Kochi, Kerala, India
ABSTRACT
Context Pancreatic stellate cell (PSC) is known to be the source of fibrosis in pancreatic pathology of various etiologies. However, there is no published data on activation of PSCs in tropical calcific pancreatitis. Objectives The present study was undertaken to estimate the proportion of activated stellate cells, in a semi-quantitative manner, in normal pancreas and pancreatic fibrosis due to, tropical calcific pancreatitis, alcoholic chronic pancreatitis and pancreatic adenocarcinoma. Patients Surgically resected specimen from patients with tropical calcific pancreatitis (n=22), alcoholic chronic pancreatitis (n=16), adenocarcinoma of pancreas (n=20) and normal pancreas (n=20) were included. Main outcome measures Expression of CD34, and alpha-smooth muscle actin (α-SMA) was assessed by immunohistochemistry. Morphometry was performed by a point counting procedure and CD34 positive areas were excluded from α-SMA positive areas for estimating activated PSCs. Statistics The one-way ANOVA and the Tukey multiple comparison test were used to compare the proportion of activated stellate cells among the four categories. Results In all the disease conditions studied, namely, tropical calcific pancreatitis (16.7±14.5%, mean±SD), alcoholic chronic pancreatitis (13.6±12.4%) and pancreatic adenocarcinoma (22.8±14.4%), there was highly significant (P<0.001) increased percentage of activated PSCs compared to normal pancreas (-0.9±6.4%). Proportion of activated PSCs in tropical calcific pancreatitis was similar to that in cases of alcoholic chronic pancreatitis and pancreatic adenocarcinoma. Such activation is documented for the first time in tropical calcific pancreatitis while it is known for the other causes. Conclusions The present study suggests that a final common pathway of PSC activation leads to fibrogenesis in tropical calcific pancreatitis just as in other pancreatic pathologies.
INTRODUCTION
In Western countries, 70-90% of cases of chronic pancreatitis result from alcohol abuse, while the remainder is associated with genetic disorders (for example, hereditary pancreatitis and cystic fibrosis) and idiopathic pancreatitis [1, 2]. However, in many tropical countries including India, a significant proportion are called “tropical chronic pancreatitis” [3, 4]. A survey on chronic pancreatitis in the Asia-Pacific region found that alcohol was the most common etiological factor in Australia (95%) and Japan (54%), while chronic pancreatitis of uncertain etiology, called tropical calcific pancreatitis, was the most common type in India and China, accounting for approximately 70% of all cases of chronic pancreatitis. The prevalence of chronic pancreatitis was found to be very high in southern India (114-200/100,000 population), in contrast to the low rate of 4/100,000 population in Japan [5].
Tropical calcific pancreatitis can be defined as a juvenile form of chronic calcific non-alcoholic pancreatitis prevalent in the developing countries of the tropical world. Some of its distinctive features are younger age at onset, presence of large intraductal calculi, an accelerated course of the disease leading to diabetes and/or steatorrhea, and a high susceptibility to pancreatic cancer [6]. The cardinal manifestations of tropical calcific pancreatitis are recurrent abdominal pain in childhood, followed by onset of diabetes mellitus a few years later. Prevalence of pancreatic ductal calculi in tropical calcific pancreatitis is nearly 90%, which is much higher than in alcoholic pancreatitis [7]. The differences between tropical calcific pancreatitis and alcoholic chronic pancreatitis are summarized in Table 1 [8]. Proposed hypotheses for etiopathogenesis of tropical chronic pancreatitis include malnutrition, dietary toxins, oxidant stress, trace element deficiency and genetic factors. While many studies have questioned the malnutrition theory [9] and cassava theory [10, 11], the micronutrient deficiency-induced free radical hypothesis [12, 13] remains unproven. Familial aggregation is seen in about 8% of tropical calcific pancreatitis patients [14] which suggest a genetic etiology for tropical calcific pancreatitis. An inhibitor of trypsinogen called serine protease inhibitor, Kazal type 1 (SPINK1) has been reported to be strongly associated with tropical calcific pancreatitis [15, 16]; establishing SPINK1 as a strong candidate for contributing to the pathogenesis of tropical calcific pancreatitis [17, 18]. Other potential candidate genes linked with the etiopathogenesis of tropical calcific pancreatitis include cathepsin B (CTSB) [19], chymotrypsin C (CTRC) [20] and calcium sensing receptor (CASR) [21]. In a recent review, a two-hit model for the pathogenesis of tropical calcific pancreatitis was proposed. The first hit may be loss of balance between activation and degradation of trypsin leading to presence of persistent “super-trypsin” within the acinar cell, due to mutations in one or more genes like SPINK1, CTSB, CTRC and other yet unidentified genes, resulting in inflammation. Presence of additional genetic and/or environmental factors, which constitute the second hit, may lead to one or more phenotypes such as stone formation, fibrosis, and/or diabetes mellitus [22].
|
Table 1. Differences of demographic and clinical data between tropical chronic pancreatitis and alcoholic chronic pancreatitis. |
||
|
|
Tropical chronic pancreatitis |
Alcoholic chronic pancreatitis |
|
Sex male:female ratio (%) |
70:30 |
Almost all male |
|
Age at onset |
Second and third decades |
Fourth and fifth decades |
|
Socioeconomic status |
Usually poor, may occur in others as well |
All strata of society equally affected |
|
Diabetes |
Occurs in 90% |
About 50% of cases |
|
Course of diabetes |
More aggressive and accelerated |
Slower rate of progression |
|
Pancreatic calculi |
Occurs in 90% |
About 50-60% of cases |
|
Appearance of pancreatic calculi |
Large and dense with discrete margins |
Usually small and speckled with ill defined margins |
|
Location of calculi |
Always in large ducts |
Usually in small ducts |
|
Ductal dilation |
Usually marked |
Usually mild |
|
Fibrosis of gland |
Marked |
Less severe |
|
Alcoholism |
Absent by definition |
Heavy alcohol abuse |
|
Prevalence of pancreatic cancer |
Very high |
Higher than in the general population |
Pancreatic stellate cells (PSCs) are one of several resident cells in the exocrine pancreas. They are present in the periacinar space and have long cytoplasmic processes that encircle the base of the acinus. They can also be found in perivascular and periductal regions of the pancreas [23, 24, 25, 26] and serve as key participants in the pathobiology of the major disorders of the exocrine pancreas, including chronic pancreatitis and pancreatic cancer. The course of chronic pancreatitis is characterized by recurrent episodes of acute pancreatitis with increasing amounts of fibrosis, chronic inflammation, and parenchymal cell loss with each successive episode. The series of events is termed the “necrosis-fibrosis sequence” and provides a framework for understanding chronic pancreatitis [27]. Like chronic pancreatitis, adenocarcinoma of the pancreas, which is the most common form of pancreatic cancer, has a remarkable fibrotic component [28]. In these disorders, PSCs participate in the pathogenesis after transforming from a quiescent state into an “activated” state (also known as a “myofibroblastic” state).
Activation of quiescent PSCs, which occurs when primary PSCs are cultured and, in the pancreas, as a consequence of pancreatic injury, is associated with several morphologic changes [23, 24], including nuclear enlargement and enhanced prominence of the endoplasmic reticulum network. Furthermore, in-situ hybridization and immunohistochemical studies indicate that activated PSCs express alpha-smooth muscle actin (α-SMA, also known as ACTA2) and collagen type I, marking these cells as a source of fibrosis in chronic pancreatitis and pancreatic adenocarcinoma [29, 30, 31].
α-SMA-expressing cells are abundant in areas of fibrosis in pancreatic tissue from patients with chronic pancreatitis of different etiologies [24, 30, 31, 32]. In these fibrotic areas, only α-SMA-expressing cells produce mRNA encoding procollagen α1I, indicating that activated PSCs are probably the predominant source of collagens during pancreatic fibrosis [31]. Further evidence for this conclusion comes from the observations made in multiple rodent models [33, 34, 35, 36]. Time-course studies, using several animal models of experimental pancreatitis, indicate that parenchymal necrosis and inflammation precede PSC activation [37, 38, 39]. Hence, autocrine and paracrine mediators are probably involved in PSC activation. In turn, activation facilitates PSC proliferation, migration, and extracellular matrix (ECM) deposition, which leads to fibrosis or ECM remodeling as part of a repair process.
Several tumors, and in particular pancreatic adenocarcinomas, are characterized by “tumor desmoplasia”, a remarkable increase in connective tissue that infiltrates and envelopes the neoplasm [40]. Activated PSCs in the tumor desmoplasia of human pancreatic cancers express α-SMA and colocalize with mRNA encoding procollagen α1I [29] and are probably major contributors of the ECM proteins that constitute the desmoplasia [28, 29, 41, 42, 43, 44].
As evident from the above discussion, sustained activation of PSCs has a role in the fibrosis that is associated with chronic pancreatitis and pancreatic cancer. Therefore, understanding the biology of PSCs offers potential therapeutic targets for the treatment and prevention of these diseases. However, there is no published data on the role of stellate cells in tropical calcific pancreatitis. Therefore, the present study was designed to investigate the role of PSCs in cases of tropical calcific pancreatitis.
The present study had the following objectives: 1) to estimate the proportion of activated stellate cells, in a semiquantitative manner, in normal pancreas and pancreatic fibrosis due to tropical calcific pancreatitis, alcoholic chronic pancreatitis and pancreatic adenocarcinoma; 2) to compare the volume fraction of the activated PSCs thus determined among the four categories; and 3) to draw inferences regarding the role of PSCs in pancreatic fibrosis due to tropical calcific pancreatitis.
METHODS
The study was conducted at Lakeshore Hospital and Research Centre, Cochin, India which is a major gastroenterology centre in South India. Pancreatic specimens from patients who underwent surgery for chronic pancreatitis, adenocarcinoma of pancreas or ampullary cholangiocarcinoma were studied.
Study Groups
Alcoholic Chronic Pancreatitis
History of alcohol of more than 75 g/day for at least 10 years in absence of family history of idiopathic pancreatitis was considered necessary to diagnose alcoholic pancreatitis for the purpose of the present study.
Tropical Calcific Pancreatitis
Chronic pancreatitis with onset of symptoms before 20 years of age with complete absence of history of alcohol and presence of multiple calculi in the main pancreatic duct was considered to be tropical calcific pancreatitis.
Adenocarcinoma of Pancreas
Diagnosis of adenocarcinoma was suspected clinically and radiologically and was proven histopathologically.
Normal Pancreas
Normal pancreatic tissue in the specimen from patients who underwent Whipple’s resection for ampullary carcinoma was used to study normal pancreas. In particular, the patients with ampullary carcinoma whose pancreas was taken as normal had no clinical, radiologic or histopathological evidence of chronic pancreatitis.
Patients
Twenty-two cases of tropical calcific pancreatitis, 16 cases of alcoholic chronic pancreatitis, 20 cases of adenocarcinoma of the pancreas and 20 cases of normal pancreas were included in the study. Mean age of the entire study group was 47.9 years with a range of 15 to 89 years. The age was 30.6±11.5 years in the subgroup of tropical calcific pancreatitis, 44.6±10.3 years in alcoholic chronic pancreatitis group, 57.4±12.0 years in adenocarcinoma of the pancreas group and in the normal pancreas group it was 60.0±11.4 years (P<0.001). In tropical calcific pancreatitis group 15 (68.2%) were males and 7 (31.8%) were females. All the 16 patients in alcoholic chronic pancreatitis were males (100%). In adenocarcinoma of the pancreas group 11 (55.0%) were males and 9 (45.0%) were females. In the normal pancreas group there were 9 males (45.0%) and 11 females (55.0%) (P=0.004).
Specimens
A surgically resected specimen was available for each patient from the four categories (namely, tropical calcific pancreatitis, alcoholic chronic pancreatitis, adenocarcinoma of pancreas and normal pancreas) which were defined clinically, radiologically and histopathologically.
Immunohistochemistry
Sections of formalin fixed, paraffin-embedded pancreatic tissues were cut at 4 µm, fixed on 3-aminopropyl triethoxy silane (APES, minimum 98%) coated microscopic slides and processed for immunohistochemistry. Serial sections were used for immunostaining of α-SMA and CD34 antigens and also for hematoxylin and eosin (H&E) staining. Antigen retrieval and immunohistochemical staining was done using published methods [45, 46, 47].
Primary Antibodies Used
1) Alpha-Smooth Muscle Actin (α-SMA) Antibody
Description. α-SMA antibody is the most useful marker of activated PSCs as α-SMA is not present in quiescent PSCs [48]. This antibody reacts with many types of smooth muscle cells, such as those present in vascular walls, ducts and intestinal muscularis mucosae and propria. It is also positive for myoepithelial cells of various glands [49].
Clone. 1A4.2. Ready to use mouse monoclonal antibody from ascites diluted in PBS, PH 7.6, containing 1% BSA and 0.09% sodium azide. Supplier: Biogenex (San Ramon, CA, USA); catalog number: AM128. Dilution: ready to use. Incubation time/temperature: 60 min/room temperature.
Antigen retrieval. Device: microwave (EZ Retriever System, RT- 230, V.2.1, XBiogenex, Secunderabad, India). Buffer: citric acid buffer. pH value: 6. Heat/cool temperature: 92-95°C/room temperature. Heat/cool time: 20/15 minutes.
2) CD34 Antibody
Description. The CD34 antigen is a single-chain trans-membrane glycoprotein. The CD34 antigen is mainly expressed in vascular endothelial cells [50, 51]. Monoclonal antibody QBEnd/10 was used in the present study. It is an antibody to the CD34 antigen in human endothelial and hematopoietic cells. This antibody was used to stain vascular endothelial cells and thus exclude vascular smooth muscle cells positively stained with α-SMA antibody, as previously described [52, 53].
Clone. QBEnd/10. Mouse monoclonal antibody from tissue culture supernatant diluted in PBS, PH 7.6, containing 1% BSA and 0.09% sodium azide. Supplier: Biogenex (San Ramon, CA, USA); catalog number: AM236. Dilution: ready to use. Incubation time/temperature: 60 min/room temperature.
Antigen retrieval. Method: trypsin digestion. Buffer: trypsin solution. pH value: 7.8. Temperature/time: 37ºC/20 minutes.
Detection Methods
Blocking reagent: power block (BS-1310-25, ready to use). Supplier: Biogenex (San Ramon, CA, USA). Enhanced method: super sensitive polymer-horseradish peroxidase (HRP) detection system (932-QDMAN-5X; Biogenex, San Ramon, CA, USA).
Chromogen substrate. Reagent: diaminobenzidine (DAB). Incubation time/temperature: 10 minutes/room temperature.
Counterstain. Reagent: Mayer’s hematoxylin. Staining time: 1 minute.
Controls
Positive control: duodenal wall. Negative control: processing without primary antibody.
Immunohistochemistry Protocol
Pancreatic sections fixed on APES coated slides were incubated at 60°C overnight. Tissues were deparaffinized with xylene and dehydrated with absolute alcohol. Antigen retrieval was done using the methods given above. Tissues were washed with Tris-buffered saline (TBS) at room temperature, and incubated with 1% H2O2 for 15 minutes to block endogenous peroxidase activity. After 2 more washes with TBS solution, sections were incubated for 20 minutes with power block reagent to prevent non-specific binding of antibody. Sections were then incubated with the ready to use prediluted primary antibody (monoclonal mouse α-SMA antibody; or monoclonal mouse anti-CD34 antibody) for 60 minutes at room temperature. After three washes in TBS for 3 minutes each, sections were incubated for 30 minutes at room temperature with super sensitive polymer-HRP detection system. The color was developed by incubating with liquid DAB substrate-chromogen system for 10 minutes and sections were then counterstained with Mayer’s hematoxylin for one minute. Negative control preparations included sections incubated without primary antibody and were consistently found to show no reaction. Staining of duodenal wall served as a positive control for both CD34 and α-SMA stains.
Morphometry
Morphometry was performed by the point counting procedure using a microscope (DMLE, Leica, Wetzlar, Germany) with an attached graticule (Graticule net, Leica, Wetzlar, Germany; 10x10 mm, 0.1 mm division, 26 mm diameter) as previously described for rat liver [50]. The point counting method was used as it gives an idea about the volume fraction of a particular cell type in the whole specimen. Two-hundreds corresponding points were counted on both α-SMA and CD34 stained slides from each specimen as well as on H&E stained slides. On H&E stained slides, each point was classified as overlying either acinar cell, duct and ductule, vessel, islet, stroma, inflammatory cell, fat cell, fibroblast, nerve or unidentified cell type. On α-SMA and CD34 stained slides, each point was classified as overlying either stained area (α-SMA or CD34 positive) or unstained area (α-SMA or CD34 negative). Out of the total 200 points counted on each specimen, mean proportion of α-SMA positive and CD34 positive cells were calculated for each group. The difference between the proportions of α-SMA positive and CD34 positive cells were calculated for each specimen and mean was found for each group. The difference between the proportions of α-SMA positive and CD34 positive cells were calculated for each specimen and the mean value was found for each group. This difference represented an estimate of the volume fraction of activated PSCs in each group.
ETHICS
The study was approved by our Institutional Review Committee. Prior to the initiation of the study, the Committee granted a waiver of consent. Given the retrospective design and the nature of pancreatic adenocarcinoma many of the study subjects had already passed away at the time of the study, information was strictly coded to protect confidentiality, and the risk to study subjects was minimal. The study protocol conforms to the ethical guidelines of the “World Medical Association Declaration of Helsinki - Ethical Principles for Medical Research Involving Human Subjects” adopted by the 18th WMA General Assembly, Helsinki, Finland, June 1964 and amended by the 59th WMA General Assembly, Seoul, South Korea, October 2008.
STATISTICS
Data are reported as mean ± standard deviation (SD), range and frequencies. The Pearson’s chi-squared test was used to compare the gender among the groups. The average proportion of activated PSCs in each group was expressed as percentage. The one-way ANOVA was used to compare the proportion of activated stellate cells among the four categories and the post-hoc Tukey multiple comparison test was used to investigate which of the means were different by pairwise comparison of couples of groups. A two-tailed P value less than 0.05 was taken as significant. The statistical package used was the SPSS for Windows (Version 19.0; SPSS Inc., IBM Co., Armonk, NY, USA).
RESULTS
Immunohistochemistry
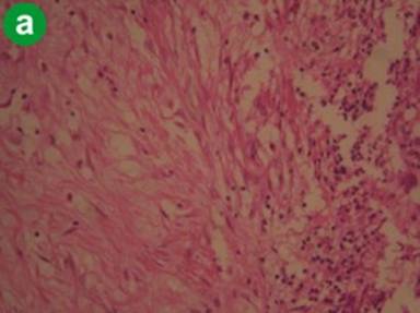
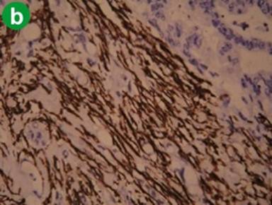
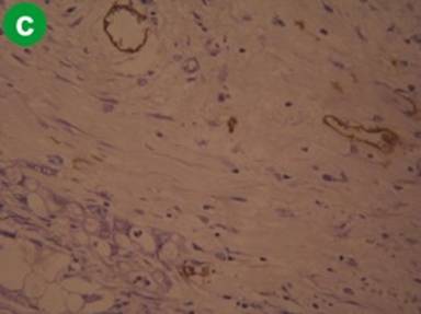
Tropical Calcific Pancreatitis
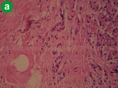
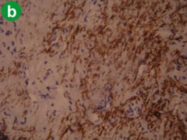
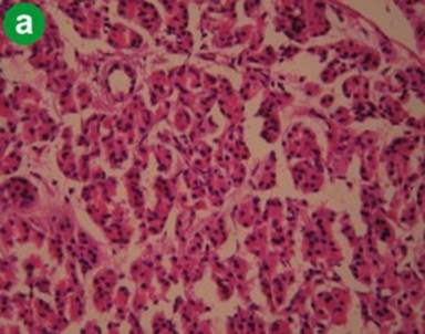
H&E staining showed atrophic acini and increased stromal component consistently in all the specimens and also prominent dilated ducts and mononuclear inflammatory cell infiltrates (Figure 1a). Immunohistochemistry with α-SMA showed dense and diffuse staining pattern in areas of fibrosis. Periacinar and periductal staining was noted. Positive staining was also present in the wall of vessels and ducts (Figure 1b). Staining with CD34 showed no or sparse positivity in the areas of fibrosis, but stained areas were observed in smooth muscle components of blood vessels and ducts (Figure 1c). These observations suggest that activated stellate cells are extensively present in the areas of fibrosis. The diffuse staining pattern represents the elongated cytoplasmic processes of PSCs extending extensively in the fibrotic areas and also into the periacinar spaces. However, the extent of staining was variable from patient to patient and only sparse staining was present in some cases.



|
Figure 1. Representative staining pattern observed in cases tropical calcific pancreatitis (a. H&E, b. α-SMA, c. CD34). |
Alcoholic Chronic Pancreatitis
H&E staining showed changes similar to tropical calcific pancreatitis; however, ducts were not as prominent as in cases of tropical calcific pancreatitis (Figure 2a). Staining characteristics on immunohistochemistry with α-SMA and CD34 also were similar to tropical calcific pancreatitis (Figure 2bc).



|
Figure 2. Representative staining pattern observed in cases alcoholic chronic pancreatitis (a. H&E, b. α-SMA, c. CD34). |
Adenocarcinoma of the Pancreas
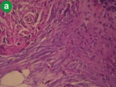
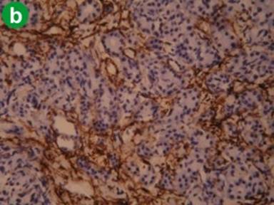
H&E staining showed poorly oriented cells infiltrating singly, to solid sheets of neoplastic cells, ductal proliferation, clusters of proliferative acini with loss of lobular architecture, invasive adenocarcinoma, nuclear pleomorphism, necrotic debris and increased stroma, in variable combinations and frequency (Figure 3a). Immunohistochemistry with α-SMA showed dense and diffuse staining pattern in areas of fibrosis, denser in visual impression compared to tropical calcific pancreatitis and alcoholic chronic pancreatitis (Figure 3b). Staining with CD34 showed no or sparse positivity in the areas of fibrosis, but staining was present in blood vessels and ducts (Figure 3c). These findings suggest that activated stellate cells are diffusely present in the areas of desmoplasia.



|
Figure 3. Representative staining pattern observed in cases of adenocarcinoma of pancreas (a. H&E, b. α-SMA, c. CD34). |
Normal Pancreas
Tissues were included for study in normal pancreas group based on normal looking pancreas in H&E stained sections (Figure 4a). Immunohistochemistry with α-SMA showed scattered and sparse staining only in vast majority of cases. However, in some cases slightly increased positivity was noted. Positive staining was mainly in the wall of vessels and ducts (Figure 4b). Staining with CD34 generally showed more positivity than with α-SMA, and stained areas tended to delineate blood vessels and ducts (Figure 4c). These observations suggest that there is no, or only negligible, amount of activated stellate cells in normal pancreas.



|
Figure 4. Representative staining pattern observed in cases of normal pancreas (a. H&E, b. α-SMA, c. CD34). |
Morphometry
Out of the 200 points in each group counted separately on α-SMA and CD34 stained slides, the proportion of antibody positive α-SMA and CD34cells were as given in Table 2a. On corresponding H&E stained slides, the proportion of different cell types was as given in Table 3.
|
Table 2a. Average proportion of α-SMA and CD34 positive cells and activated PSCs in the four groups (mean±SD). |
|||
|
Group |
α-SMA |
CD34 |
Difference |
|
Tropical calcific pancreatitis (n=22) |
27.9±14.3% |
11.2±6.6% |
16.7±14.5% |
|
Alcoholic chronic pancreatitis (n=16) |
23.5±11.3% |
9.8±5.8% |
13.6±12.4% |
|
Adenocarcinoma of the pancreas (n=20) |
35.2±13.7% |
12.5±8.4% |
22.8±14.4% |
|
Normal pancreas (n=20) |
9.2±5.1% |
10.1±6.4% |
-0.9±6.4% |
|
P value a |
<0.001 |
0.634 |
<0.001 |
a One-way ANOVA
|
Table 2b. Multiple comparisons (Tukey test) for pairwise comparison of groups (P values of the Tukey post hoc test are shown in the table). |
|||
|
Pairs |
α-SMA |
CD34 |
Difference |
|
Tropical calcific pancreatitis vs. alcoholic chronic pancreatitis |
0.668 |
0.935 |
0.877 |
|
Tropical calcific pancreatitis vs. adenocarcinoma of the pancreas |
0.188 |
0.933 |
0.391 |
|
Tropical calcific pancreatitis vs. normal pancreas |
<0.001 |
0.951 |
<0.001 |
|
Alcoholic chronic pancreatitis vs. adenocarcinoma of the pancreas |
0.020 |
0.675 |
0.133 |
|
Alcoholic chronic pancreatitis vs. normal pancreas |
0.003 |
1.000 |
0.005 |
|
Adenocarcinoma of the pancreas vs. normal pancreas |
<0.001 |
0.691 |
<0.001 |
|
Table 3. H&E stain. Relative proportion of different cell types (mean±SD). |
|||||
|
|
Tropical calcific pancreatitis (n=22) |
Alcoholic chronic pancreatitis (n=16) |
Adenocarcinoma of the pancreas (n=20) |
Normal pancreas |
P values a |
|
Stroma |
47.0±15.0% |
43.7±18.1% |
53.2±11.4% |
17.1±6.4% |
<0.001 |
|
Acini |
22.9±16.1% |
29.1±21.7% |
28.9±.15.7% |
69.8±7.4% |
<0.001 |
|
Ducts |
4.0±3.7% |
3.6±4.1% |
8.5±13.7% |
2.1±1.8% |
0.049 |
|
Vessels |
4.0±2.7% |
2.1±1.5% |
2.3±1.6% |
6.1±2.1% |
<0.001 |
|
Islets |
0.6±1.1% |
0.4±0.6% |
0.4±0.7% |
0.5±0.5% |
0.649 |
|
Inflammatory cells |
8.0±4.4% |
7.9±7.1% |
3.1±2.8% |
0.3±0.5% |
<0.001 |
|
Fat cells |
8.8±15.8% |
8.4±21.1% |
2.0±3.4% |
3.0±3.3% |
0.222 |
|
Fibroblasts |
3.7±2.9% |
2.0±2.8% |
1.3±1.9% |
0.4±0.5% |
<0.001 |
|
Nerves |
0.4±0.8% |
0.1±0.3% |
0.2±0.4% |
0.3±0.6% |
0.605 |
|
Unidentified |
0.6±1.0% |
0.7±0.8% |
0.3±0.9% |
0.6±0.6% |
0.503 |
|
a One-way ANOVA |
|||||
Percentage of PSCs in the Subgroups
The mean proportions of α-SMA positive cells and CD34 positive cells in each group and the mean difference in their proportions are given in Table 2a. This difference represents activated PSCs and is expressed as volume fraction in percentage. There was significant difference in the estimated proportion of activated PSCs among the four groups. The pairwise comparison among the four groups is given in Table 2b. The increase in percentage proportion of activated PSCs in tropical calcific pancreatitis was highly significant compared to normal pancreas (P<0.001). The difference in proportion was not statistically significant when tropical calcific pancreatitis was compared with alcoholic chronic pancreatitis (P=0.877) and with adenocarcinoma of the pancreas (P=0.391). The observed higher proportion of activated PSCs in adenocarcinoma of the pancreas compared to alcoholic chronic pancreatitis was not statistically significant (P=0.133). Compared to normal pancreas, there was a significant increase of activated PSCs in both alcoholic chronic pancreatitis (P=0.005) and adenocarcinoma of the pancreas (P<0.001) groups.
Summary of the Results
In pancreatic fibrosis associated with the disease conditions studied in the present study namely, tropical calcific pancreatitis, alcoholic chronic pancreatitis and adenocarcinoma of pancreas, there was significant increased presence of activated pancreatic stellate cells (aPSCs) compared to normal pancreas (P values less than, or equal to, 0.003). Such activation has been documented for the first time in tropical calcific pancreatitis while it is already known in other cases.
DISCUSSION
Pancreatic fibrosis is a central pathological feature of chronic pancreatitis [1, 2, 51]. Adding to the morbidity and mortality of this disorder, patients with chronic pancreatitis have a substantially increased risk of developing pancreatic cancer [52, 53]. Sustained activation of PSCs has a role in fibrosis associated with chronic pancreatitis and pancreatic cancer [52, 54]. Therefore, understanding the biology of PSCs offers potential therapeutic targets for the treatment and prevention of these diseases. However, prior to the present study, there was no published data on the role of stellate cells specifically in pancreatic fibrosis seen in tropical calcific pancreatitis.
The major findings of this study are that PSCs are activated in pancreatic fibrosis due to tropical calcific pancreatitis and that the extent of activation is comparable to that in cases of alcoholic pancreatitis and carcinoma of pancreas. We used immunohistochemical methods to demonstrate the presence of activated PSCs in the areas of fibrosis. Isolated PSCs are characterized as quiescent by the presence of desmin, glial fibrillary acidic protein (GFAP), and intracellular fat droplets, but the absence of α-SMA [23, 24]. In situ hybridization and immunohistochemical studies indicated that activated PSCs express α-SMA and collagen type I, therefore marking these cells as a source of fibrosis [29]. Thus immunohistochemically, α-SMA is the most important and most useful marker to identify activated PSCs. In the present study anti-α-SMA antibody was used for staining activated PSCs. There was diffuse staining in the areas of fibrosis in vast majority of specimens from all the three groups including tropical calcific pancreatitis. One potential problem in the identification of PSCs is that the markers used can also be expressed by other cell types, especially vascular cells [49, 55]. Hence we used CD34 as a marker to exclude vascular cells and vascular smooth muscle. The fact that individual stellate cells were not identified or counted may be cited as a shortcoming in the methodology of our study. However, the findings of the study provide, for the first time, strong evidence in support of a similar fibrogenic process in tropical calcific pancreatitis as compared to chronic alcoholic pancreatitis and adenocarcinoma.
We observed that the extent of staining, and thereby the proportion of activated PSCs, was highly variable among patients with same disease entity. An excellent experimental study has shown previously that, in culture, primary PSCs continually change from a quiescent to an activated phenotype, and during this change they pass through a series of temporal states of transformation [56]. For example, rapidly proliferating PSCs in culture can either die by apoptosis or acquire a (myo) fibroblastic differentiated state that is more resistant to apoptosis. The wide range of the proportionate presence of activated PSCs observed in the present study may indicate a dynamic state of PSCs in vivo as well, similar to that observed in culture. The combined use of cultured primary PSCs and immortalized cells, coupled with the use of coculture systems (for example, coculture of acinar cells and PSCs), is likely to provide additional mechanistic insights into the biology of PSCs.
The study of Suda et al. seems of particular interest because it was performed on humans [57]. They investigated the distribution of activated PSCs in the pancreatic specimen of 24 patients with chronic alcoholic pancreatitis. The study suggested that PSCs play an important role in pancreatic fibrogenesis. The present study showed findings that were very similar to this previous study in terms of activation of PSCs in case of alcoholic pancreatitis.
It is to be reiterated here that the present study provides for the first time the evidence, that fibrosis in tropical calcific pancreatitis is similar to chronic pancreatitis of other etiologies and that activated PSC is associated with fibrosis in tropical calcific pancreatitis as well.
Activated PSCs in the tumor desmoplasia of human pancreatic cancers have been shown to express α-SMA and colocalize with mRNA encoding procollagen α1I [58]. Many previous studies strongly indicated that, PSCs are probably major contributors of the ECM proteins that constitute the desmoplasia [59]. The present study also showed strong positivity for α-SMA in areas of stromal proliferation in cases of adenocarcinoma. In the present study, areas with cancerous cells were selected to possibly avoid fibrosis due to underlying chronic pancreatitis. The extent of activation was similar between adenocarcinoma and tropical calcific pancreatitis. Previous studies have demonstrated that chronic alcoholic pancreatitis and the desmoplasia in pancreatic adenocarcinoma contain common stromal elements and suggested similar mechanisms underlying the development of fibrosis in these two disorders [60, 61]. The present study has added tropical calcific pancreatitis to the list by demonstrating for the first time that PSC activation is similar in tropical calcific pancreatitis compared to adenocarcinoma and alcoholic pancreatitis. Evidence is emerging that there is a symbiotic relationship between pancreatic adenocarcinoma cells and PSCs that results in an overall increase in the rate of growth of the tumor. For example, culture supernatants from human pancreatic tumor cell lines stimulate PSC proliferation and production of ECM proteins [58, 60, 62, 63] and this is an interesting area for future research.
The present study found that the average proportion of activated PSCs in normal pancreas was close to 0%, while a few specimens showed positive staining pattern. In a previous study PSCs were estimated to constitute nearly 4% of the total pancreatic cells [55]. But in the present study, activated PSCs and not total PSCs were estimated in normal pancreas. The reason for positivity in some cases could be the fact that the tissues were from patients with ampullary carcinoma which could have caused mild inflammation in the pancreas.
Studies of liver fibrosis have shown that extensive ECM degradation is accompanied by apoptosis of hepatic stellate cells (HSCs) as a result of either increased proapoptotic signaling or reduced survival signals from the ECM [64], but it remains to be shown whether this is also true in the pancreas. The finding in our study showing that no activated PSCs were seen in areas of fibrosis in a few cases may suggest that PSCs can undergo apoptosis or become quiescent without ECM degradation at certain stages of fibrosis. Another explanation could be that apoptosis of PSCs need not lead to immediate resolution of fibrosis.
Presently, much remains to be learned about the biology of PSCs and their role in diseases of the pancreas. Indeed, we need a better understanding of their function during the quiescent state, their regulation in terms of activation and deactivation (that is, differentiation and transdifferentiation, respectively), their elimination (for example, through apoptosis), their cross-talk with neighboring cells, and their origin. Such understanding will promote and refine therapeutic approaches targeting PSCs for disorders such as pancreatitis and pancreatic cancers.
CONCLUSIONS
The present study shows that the PSCs are activated in tropical calcific pancreatitis as in alcoholic pancreatitis and adenocarcinoma of the pancreas.
Received November 1st, 2011 - Accepted February 11th, 2012
Key words ACTA2 protein, human; Fibrosis; Immunohistochemistry; Pancreas; Pancreatic Stellate Cells; Pancreatitis, Chronic
Abbreviations α-SMA: alpha-smooth muscle actin; CTRC: chymotrypsin C; CTSB: cathepsin B; SPINK1: serine protease inhibitor, Kazal type 1
Acknowledgements Supplier of antibodies and reagents: Biogenex, San Ramon, CA, USA. Personal assistance received: technicians did the specimen preparation for immunohistochemistry
Financial support The study was fully funded by Lakeshore Hospital and Research Centre, Kochi, Kerala, India
Conflict of interest The authors have no potential conflict of interest
Correspondence
Abraham
Koshy
Molecular Biology, Digestive Diseases Centre
Lakeshore Hospital and Research Centre
Maradu, Kochi, Kerala 682040
India
Phone: +91-484.270.1993
Fax: +91.484.270.1996
E-mail: koshyabe@yahoo.com
References
1. Draganov P, Forsmark CE. ''Idiopathic'' pancreatitis. Gastroenterology 2005; 128(3):756-763.
2. Whitcomb DC. Inflammation and Cancer V. Chronic pancreatitis and pancreatic cancer. Am J Physiol Gastrointest Liver Physiol 2004; 287(2):G315-G319.
3. Shaper AG. Chronic pancreatic disease and protein malnutrition. Lancet 1960; 1(7136):1223-1224.
4. Zuidema PJ. Cirrhosis and disseminated calcification of the pancreas in patients with malnutrition. Trop Geogr Med 1959; 11:70-74.
5. Garg PK, Tandon RK. Survey on chronic pancreatitis in the Asia-Pacific region. J Gastroenterol Hepatol 2004; 19(9):998-1004.
6. Barman KK, Premalatha G, Mohan V. Tropical chronic pancreatitis. Postgrad Med J 2003; 79(937):606-615.
7. Balakrishnan V. Chronic calcific pancreatitis in the tropics. Indian J Gastroenterol 1984; 3(2):65-67.
8. Chari ST, Mohan V, Jayanthi V, Snehalatha C, Malathi S, Viswanathan M et al. Comparative study of the clinical profiles of alcoholic chronic pancreatitis and tropical chronic pancreatitis in Tamil Nadu, south India. Pancreas 1992; 7(1):52-58.
9. Mohan V, Mohan R, Susheela L, Snehalatha C, Bharani G, Mahajan VK et al. Tropical pancreatic diabetes in South India: heterogeneity in clinical and biochemical profile. Diabetologia 1985; 28(4):229-232.
10. Teuscher T, Baillod P, Rosman JB, Teuscher A. Absence of diabetes in a rural West African population with a high carbohydrate/cassava diet. Lancet 1987; 1(8536):765-768.
11. Mathangi DC, Deepa R, Mohan V, Govindarajan M, Namasivayam A. Long-term ingestion of cassava (tapioca) does not produce diabetes or pancreatitis in the rat model. Int J Pancreatol 2000; 27(3):203-208.
12. Chaloner C, Sandle LN, Mohan V, Snehalatha C, Viswanathan M, Braganza JM. Evidence for induction of cytochrome P-450I in patients with tropical chronic pancreatitis. Int J Clin Pharmacol Ther Toxicol 1990; 28(6):235-240.
13. Braganza JM, Schofield D, Snehalatha C, Mohan V. Micronutrient antioxidant status in tropical compared with temperate-zone chronic pancreatitis. Scand J Gastroenterol 1993; 28(12):1098-1104.
14. Mohan V, Chari ST, Hitman GA, Suresh S, Madanagopalan N, Ramachandran A et al. Familial aggregation in tropical fibrocalculous pancreatic diabetes. Pancreas 1989; 4(6):690-693.
15. Rossi L, Pfutzer RH, Parvin S, Ali L, Sattar S, Kahn AK et al. SPINK1/PSTI mutations are associated with tropical pancreatitis in Bangladesh. A preliminary report. Pancreatology 2001; 1(3):242-245.
16. Schneider A, Suman A, Rossi L, Barmada MM, Beglinger C, Parvin S et al. SPINK1/PSTI mutations are associated with tropical pancreatitis and type II diabetes mellitus in Bangladesh. Gastroenterology 2002; 123(4):1026-1030.
17. Bhatia E, Choudhuri G, Sikora SS, Landt O, Kage A, Becker M et al. Tropical calcific pancreatitis: strong association with SPINK1 trypsin inhibitor mutations. Gastroenterology 2002; 123(4):1020-1025.
18. Hassan Z, Mohan V, Ali L, Allotey R, Barakat K, Faruque MO et al. SPINK1 is a susceptibility gene for fibrocalculous pancreatic diabetes in subjects from the Indian subcontinent. Am J Hum Genet 2002; 71(4):964-968.
19. Mahurkar S, Idris MM, Reddy DN, Bhaskar S, Rao GV, Thomas V et al. Association of cathepsin B gene polymorphisms with tropical calcific pancreatitis. Gut 2006; 55(9):1270-1275.
20. Rosendahl J, Witt H, Szmola R, Bhatia E, Ozsvari B, Landt O et al. Chymotrypsin C (CTRC) variants that diminish activity or secretion are associated with chronic pancreatitis. Nat Genet 2008; 40(1):78-82.
21. Murugaian EE, Premkumar RM, Radhakrishnan L, Vallath B. Novel mutations in the calcium sensing receptor gene in tropical chronic pancreatitis in India. Scand J Gastroenterol 2008; 43(1):117-121.
22. Mahurkar S, Reddy DN, Rao GV, Chandak GR. Genetic mechanisms underlying the pathogenesis of tropical calcific pancreatitis. World J Gastroenterol 2009; 15(3):264-269.
23. Apte MV, Haber PS, Applegate TL, Norton ID, McCaughan GW, Korsten MA et al. Periacinar stellate shaped cells in rat pancreas: identification, isolation, and culture. Gut 1998; 43(1):128-133.
24. Bachem MG, Schneider E, Gross H, Weidenbach H, Schmid RM, Menke A et al. Identification, culture, and characterization of pancreatic stellate cells in rats and humans. Gastroenterology 1998; 115(2):421-432.
25. Ikejiri N. The vitamin A-storing cells in the human and rat pancreas. Kurume Med J 1990; 37(2):67-81.
26. Watari N, Hotta Y, Mabuchi Y. Morphological studies on a vitamin A-storing cell and its complex with macrophage observed in mouse pancreatic tissues following excess vitamin A administration. Okajimas Folia Anat Jpn 1982; 58(4-6):837-858.
27. Comfort MW, Gambrill EE, Baggenstoss AH. Chronic relapsing pancreatitis. A study of twenty-nine cases without associated disease of the biliary or gastro-intestinal tract. Gastroenterology 1968; 54(4):Suppl-5.
28. Yen TW, Aardal NP, Bronner MP, Thorning DR, Savard CE, Lee SP et al. Myofibroblasts are responsible for the desmoplastic reaction surrounding human pancreatic carcinomas. Surgery 2002; 131(2):129-134.
29. Apte MV, Park S, Phillips PA, Santucci N, Goldstein D, Kumar RK et al. Desmoplastic reaction in pancreatic cancer: role of pancreatic stellate cells. Pancreas 2004; 29(3):179-187.
30. Casini A, Galli A, Pignalosa P, Frulloni L, Grappone C, Milani S et al. Collagen type I synthesized by pancreatic periacinar stellate cells (PSC) co-localizes with lipid peroxidation-derived aldehydes in chronic alcoholic pancreatitis. J Pathol 2000; 192(1):81-89.
31. Haber PS, Keogh GW, Apte MV, Moran CS, Stewart NL, Crawford DH et al. Activation of pancreatic stellate cells in human and experimental pancreatic fibrosis. Am J Pathol 1999; 155(4):1087-1095.
32. Kloppel G, Detlefsen S, Feyerabend B. Fibrosis of the pancreas: the initial tissue damage and the resulting pattern. Virchows Arch 2004; 445(1):1-8.
33. Gibo J, Ito T, Kawabe K, Hisano T, Inoue M, Fujimori N et al. Camostat mesilate attenuates pancreatic fibrosis via inhibition of monocytes and pancreatic stellate cells activity. Lab Invest 2005; 85(1):75-89.
34. Kuno A, Yamada T, Masuda K, Ogawa K, Sogawa M, Nakamura S et al. Angiotensin-converting enzyme inhibitor attenuates pancreatic inflammation and fibrosis in male Wistar Bonn/Kobori rats. Gastroenterology 2003; 124(4):1010-1019.
35. Nagashio Y, Asaumi H, Watanabe S, Nomiyama Y, Taguchi M, Tashiro M et al. Angiotensin II type 1 receptor interaction is an important regulator for the development of pancreatic fibrosis in mice. Am J Physiol Gastrointest Liver Physiol 2004; 287(1):G170-G177.
36. Neuschwander-Tetri BA, Bridle KR, Wells LD, Marcu M, Ramm GA. Repetitive acute pancreatic injury in the mouse induces procollagen alpha1(I) expression colocalized to pancreatic stellate cells. Lab Invest 2000; 80(2):143-150.
37. Lugea A, Nan L, French SW, Bezerra JA, Gukovskaya AS, Pandol SJ. Pancreas recovery following cerulein-induced pancreatitis is impaired in plasminogen-deficient mice. Gastroenterology 2006; 131(3):885-899.
38. Yokota T, Denham W, Murayama K, Pelham C, Joehl R, Bell RH, Jr. Pancreatic stellate cell activation and MMP production in experimental pancreatic fibrosis. J Surg Res 2002; 104(2):106-111.
39. Zimmermann A, Gloor B, Kappeler A, Uhl W, Friess H, Buchler MW. Pancreatic stellate cells contribute to regeneration early after acute necrotising pancreatitis in humans. Gut 2002; 51(4):574-578.
40. Mollenhauer J, Roether I, Kern HF. Distribution of extracellular matrix proteins in pancreatic ductal adenocarcinoma and its influence on tumor cell proliferation in vitro. Pancreas 1987; 2(1):14-24.
41. Armstrong T, Packham G, Murphy LB, Bateman AC, Conti JA, Fine DR et al. Type I collagen promotes the malignant phenotype of pancreatic ductal adenocarcinoma. Clin Cancer Res 2004; 10(21):7427-7437.
42. Bachem MG, Schunemann M, Ramadani M, Siech M, Beger H, Buck A et al. Pancreatic carcinoma cells induce fibrosis by stimulating proliferation and matrix synthesis of stellate cells. Gastroenterology 2005; 128(4):907-921.
43. Binkley CE, Zhang L, Greenson JK, Giordano TJ, Kuick R, Misek D et al. The molecular basis of pancreatic fibrosis: common stromal gene expression in chronic pancreatitis and pancreatic adenocarcinoma. Pancreas 2004; 29(4):254-263.
44. Yoshida S, Yokota T, Ujiki M, Ding XZ, Pelham C, Adrian TE et al. Pancreatic cancer stimulates pancreatic stellate cell proliferation and TIMP-1 production through the MAP kinase pathway. Biochem Biophys Res Commun 2004; 323(4):1241-1245.
45. Loyson SA, Rademakers LH, Joling P, Vroom TM, van den Tweel JG. Immunohistochemical analysis of decalcified paraffin-embedded human bone marrow biopsies with emphasis on MHC class I and CD34 expression. Histopathology 1997; 31(5):412-419.
46. Shi SR, Key ME, Kalra KL. Antigen retrieval in formalin-fixed, paraffin-embedded tissues: an enhancement method for immunohistochemical staining based on microwave oven heating of tissue sections. J Histochem Cytochem 1991; 39(6):741-748.
47. Shi SR, Cote RJ, Taylor CR. Antigen retrieval techniques: current perspectives. J Histochem Cytochem 2001; 49(8):931-937.
48. Lugea A, Nan L, French SW, Bezerra JA, Gukovskaya AS, Pandol SJ. Pancreas recovery following cerulein-induced pancreatitis is impaired in plasminogen-deficient mice. Gastroenterology 2006; 131(3):885-899.
49. Geerts A. History, heterogeneity, developmental biology, and functions of quiescent hepatic stellate cells. Semin Liver Dis 2001; 21(3):311-335.
50. Koshy A, De Gottardi A, Ledermann M, Saegesser H, Shaw SG, Zimmermann A et al. Endothelial nitric oxide synthase is not essential for the development of fibrosis and portal hypertension in bile duct ligated mice. Liver Int 2005; 25(5):1044-1052.
51. DiMagno MJ, Dimagno EP. Chronic pancreatitis. Curr Opin Gastroenterol 2006; 22(5):487-497.
52. Go VL, Gukovskaya A, Pandol SJ. Alcohol and pancreatic cancer. Alcohol 2005; 35(3):205-211.
53. Lowenfels AB, Maisonneuve P, Cavallini G, Ammann RW, Lankisch PG, Andersen JR et al. Pancreatitis and the risk of pancreatic cancer. International Pancreatitis Study Group. N Engl J Med 1993; 328(20):1433-1437.
54. Apte MV, Haber PS, Darby SJ, Rodgers SC, McCaughan GW, Korsten MA et al. Pancreatic stellate cells are activated by proinflammatory cytokines: implications for pancreatic fibrogenesis. Gut 1999; 44(4):534-541.
55. Apte MV, Haber PS, Applegate TL, Norton ID, McCaughan GW, Korsten MA et al. Periacinar stellate shaped cells in rat pancreas: identification, isolation, and culture. Gut 1998; 43(1):128-133.
56. Manapov F, Muller P, Rychly J. Translocation of p21(Cip1/WAF1) from the nucleus to the cytoplasm correlates with pancreatic myofibroblast to fibroblast cell conversion. Gut 2005; 54(6):814-822.
57. Suda K, Fukumura Y, Takase M, Kashiwagi S, Izumi M, Kumasaka T et al. Activated perilobular, not periacinar, pancreatic stellate cells contribute to fibrogenesis in chronic alcoholic pancreatitis. Pathol Int 2007; 57(1):21-25.
58. Apte MV, Park S, Phillips PA, Santucci N, Goldstein D, Kumar RK et al. Desmoplastic reaction in pancreatic cancer: role of pancreatic stellate cells. Pancreas 2004; 29(3):179-187.
59. Koninger J, Giese T, di Mola FF, Wente MN, Esposito I, Bachem MG et al. Pancreatic tumor cells influence the composition of the extracellular matrix. Biochem Biophys Res Commun 2004; 322(3):943-949.
60. Bachem MG, Schunemann M, Ramadani M, Siech M, Beger H, Buck A et al. Pancreatic carcinoma cells induce fibrosis by stimulating proliferation and matrix synthesis of stellate cells. Gastroenterology 2005; 128(4):907-921.
61. Yen TW, Aardal NP, Bronner MP, Thorning DR, Savard CE, Lee SP et al. Myofibroblasts are responsible for the desmoplastic reaction surrounding human pancreatic carcinomas. Surgery 2002; 131(2):129-134.
62. Koninger J, Giese T, Di Mola FF, Wente MN, Esposito I, Bachem MG et al. Pancreatic tumor cells influence the composition of the extracellular matrix. Biochem Biophys Res Commun 2004; 322(3):943-949.
63. Yoshida S, Yokota T, Ujiki M, Ding XZ, Pelham C, Adrian TE et al. Pancreatic cancer stimulates pancreatic stellate cell proliferation and TIMP-1 production through the MAP kinase pathway. Biochem Biophys Res Commun 2004; 323(4):1241-1245.
64. Issa R, Zhou X, Constandinou CM, Fallowfield J, Millward-Sadler H, Gaca MD et al. Spontaneous recovery from micronodular cirrhosis: evidence for incomplete resolution associated with matrix cross-linking. Gastroenterology 2004; 126(7):1795-1808.