CASE REPORT
JOP. J Pancreas (Online) 2012 Jul 10; 13(4):439-442.
Pancreatic Pseudocyst of Gastrohepatic Ligament: A Case Report and Review of Management
Sunder Goyal1, Rajesh Raju2, Sidhartha Yadav2
1Department of Surgery, Muzaffarnagar Medical College. Muzaffarnagar, UP, India. 2Department of Surgery, MM Institute of Medical Sciences and Research. Mullana, Ambala, India
ABSTRACT
Context Pancreatic pseudocyst of gastrohepatic or hepatoduodenal ligament and of liver is rare entity. Probably, pancreatic pseudocyst ascends via these ligaments to liver due to complex attachment of peritoneum. Very few cases have been reported in literature. Case report Hereby, we report a case of pancreatic pseudocyst of hepatoduodenal ligament in patient who presented with pain and lump in epigastric region. Conclusion This is an extrapancreatic extension of pancreatic pseudocyst and a high suspicion of this cyst (gastrohepatic ligament cyst) should be kept in mind as differential diagnosis of epigastric mass.
INTRODUCTION
Pancreatic pseudocysts are a well recognized and common complication of acute and chronic pancreatitis. It is estimated that 20% of pseudocysts are extrapancreatic [1]; however, intrahepatic pancreatic pseudocyst extension via hepatoduodenal or hepatogastric is a rare occurrence [2]. Most of the reported cases of intrahepatic pancreatic pseudocyst occurred in the left lobe of the liver. Pancreatic pseudocyst of gastrohepatic ligament is uncommon and very few cases have been reported in literature. We report such a case.
CASE REPORT
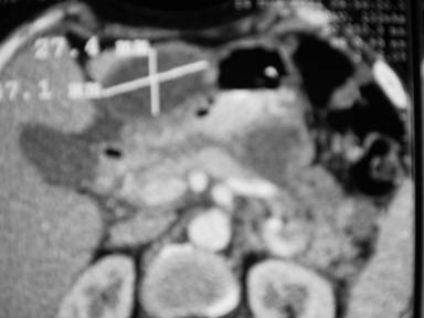
A 30-year-old male presented in surgical outpatient department with a painful swelling in the epigastrium for the last 3 months. Four month back, he had severe epigastric pain radiating to back. He was treated for that in another hospital with intravenous fluid, analgesics and antibiotics. Fifteen days after this episode he developed heaviness in epigastrium and after a month or so noticed this painful swelling. Patient is alcoholic by nature. Blood investigations were within normal limits except high serum amylase (851 IU/L; reference range: 0-90 IU/L). Ultrasound and computed tomography revealed a cystic lesion in epigastrium of 47.1x27.4 mm size between stomach and left lobe of liver (Figure 1). A clinical diagnosis of cystic was made. On exploratory laparotomy, a cyst was present in the hepatogastric ligament (Figure 2). Cyst was removed in toto (Figure 3) and sent for histopathology. Report revealed the diagnosis of pancreatic pseudocyst.

|
Figure1. Contrast enhanced computed tomography showing pancreatic pseudocyst in hepatogastric ligament. |

|
Figure 2. Preoperative cyst. |

|
Figure-3. Excised cyst. |
DISCUSSION
In acute pancreatitis, there is collection of inflammatory exudate which is surrounded by fibrous or granulation tissue and this is called as pancreatic pseudocyst. However, in chronic pancreatitis there may be duct rupture and pseudocyst is formed due to increased intraductal pressure. Pancreatic pseudocysts are typically formed and confined to the lesser omental sac [2]. About 20% of pseudocysts are extrapancreatic [1]. Pancreatic pseudocyst can ascend to liver via hepatogastric or hepatoduodenal ligament. While ascending via these ligaments, cyst can remain static in ligament also and can present as epigastric swelling with or without pain. It can also travel to spleen, stomach wall and mediastinum [1]. The gastrohepatic and hepatoduodenal ligaments are contiguous peritoneal ligaments that form the lesser omentum and are remnants of the dorsal portion of the ventral mesentery. The gastrohepatic ligament attaches the lesser curve of the stomach to the liver and contains the coronary vein and left gastric artery. The hepatoduodenal ligament attaches the duodenum to the liver and contains the portal vein, hepatic artery, common hepatic ducts, and part of the cystic duct. Until the 8th embryonic week, this part of the ventral mesentery also contains the ventral anlage of the pancreas. Hence, the hepatoduodenal ligament/hepatogastric ligament is a route of spread of pancreatic disease to the porta hepatis and liver [3].
Several mechanisms have been proposed for the intrahepatic pancreatic pseudocyst extension. One proposed theory is the leakage of the pancreatic juice into the pre-renal space from rupture of the main pancreatic duct or the side branches. Erosion through the posterior layer of parietal peritoneum can lead to fluid accumulation in the lesser sac and then follow the path along the gastrohepatic ligament leading to pseudocyst formation in these ligaments (as in our patient). Cyst can ascend to the left lobe of the liver also [4]. Similarly, if pancreatitis predominantly involves the pancreatic head and the enzymes exude and follow along the hepatoduodenal ligament to the porta hepatis then the pseudocyst can form in the right or left lobe of the liver [5]. Mediastinal pseudocyst is an uncommon entity and is a very rare complication of pancreatitis. When the pancreatic duct ruptures posteriorly into retroperitoneum, the fluid tracks into mediastinum and rarely mediastinal pseudocyst develop [6]. The pancreatic fluid may enters the mediastinum through the esophageal or aortic hiatus or foramen of Morgagni or the inferior vena cava hiatus and rarely by direct penetration of the diaphragm [2].
Pancreatic pseudocyst of gastrohepatic ligament must be differentiated from tuberculous abscess, teratomas and necrotic tumors in the gastrohepatic/hepatoduodenal ligament. Pseudocyst is a unilocular, round mass with a uniform wall, and diagnosis can be confirmed with clinical, laboratory and radiological evidence of pancreatitis. If there are gas bubbles then this suggests an abscess. CT demonstrates small calcification and fat in the teratomas located in the hepatoduodenal ligament area, and its border is round and sharp. Congenital cysts (duplication, mesenteric, omental, or choledochal) may also be localized to the hepatoduodenal ligament area [7].
Clinically, patients with intrahepatic pancreatic pseudocyst can present with continuous epigastric pain or recurrence of pain after initial resolution of acute pancreatitis [8]. On physical examination there may be a palpable abdominal mass [9] or less frequently hepatomegaly if liver is involved [10]. Blood tests are normal except high level of pancreatic enzymes [8]. An amylase level ten times greater than normal has 73% sensitivity and 98% specificity for diagnosing pancreatic pseudocyst [11]. Rarely, pseudocysts can be a sign of underlying malignancy. Therefore, it is essential to exclude underlying pancreatic neoplasm either by EUS with fine needle aspiration or by pancreatic protocol CT scan. Intra-abdominal pseudocysts can be diagnosed very accurately and rapidly with ultrasonography. However, it cannot determine the presence of mediastinal extension. Computerized tomography (CT) or magnetic resonance imaging (MRI) can confirm the location and extent of mediastinal pseudocysts. Computerized tomography shows wall of cyst as well as about the nature of fluid whether hemorrhagic or infective [12] where as MR imaging demonstrates atypical communication of pancreatic pseudocyst with other structures [13]. Diagnosis of a pseudocyst can be confirmed with newer techniques such as endoscopic ultrasound (EUS) and EUS-guided aspiration of fluid from a cyst with an elevated amylase level [14].
Pseudocysts having wall thickness greater than 1 cm, which is more than 6-week-old, having pancreatic duct abnormalities, are multiple, located in tail of pancreas and increasing in size on follow-up examination, usually does not resolve spontaneously and always require intervention [15, 16].
Management of pancreatic pseudocyst in pediatric and adolescent patient differs from that in adults because children and their pancreas, both are in healthy state. Pancreatic pseudocyst in children can be treated conservatively in the form of total parenteral nutrition or percutaneous drainage.
Pancreatic pseudocyst with intact pancreatic duct can be managed successfully with percutaneous drainage [17]. Infection of cyst, rupture of cyst and common bile duct obstruction due to cyst can not be managed with percutaneous drainage [18, 19].
Simple aspiration of pseudocyst is associated with recurrence rate of 70%, but percutaneous catheter is related with success in 90% of cases [18] but catheter can erode bowel if catheter is kept for more than four to six weeks [17]. However, percutaneous drainage in type 1 pseudocysts (intact pancreatic duct) can be as effective as surgery. Furthermore, it can be a safer approach in critically ill patient and in high surgical risk group [18]. No doubt, surgery is treatment of choice if there is complete rupture of pancreatic duct; however, Shilyansky et al. [20], Ohno and Ohgami [21], Burnweit et al. [22], Jaffe et al. [23], and Lucaya et al. [24], have reported that surgery should be done only where percutaneous drainage is not successful. Point of entry of catheter varies. It can be placed through gastro-hepatic ligament, or between the stomach and spleen, or through trans-gastric approach. Disadvantage of trans-gastric approach is that catheter can get dislodged due to respiratory movement and peristaltic movement of stomach. But if cyst is of large size trans-gastric approach is more appropriate [22]. Catheter drainage along with octreotide (somatostatin analogue) can be another recommended method of treatment as octreotide decreases the basal and stimulated pancreatic secretion [25]. Catheter drainage is contraindicated if cyst is having very thick contents or with non-drainable necrotic material or if there is suspicion of malignancy or there is lack of safe entrée or cyst is with active hemorrhage or there is presence of arterial pseudoaneurysms [16]. As there is no universal recommended scientific data, percutaneous drainage should probably be considered as a promising alternative technique and not a standard procedure for such cases [26]. Complications, like infection (8%), pneumothorax (1%), pleural effusion (1%) and hemorrhage (3%) can occur due to percutaneous drainage [8].
Another option is endoscopy. Endoscopically a diathermic puncture is made between cyst and duodenum (cystoduodenostomy) or between cyst and stomach (cystogastrostomy). Mucosa of cyst bulges into the lumen of the viscera. Nasocystic catheter drainage is inserted for better drainage. But serious arterial bleeding and pseudocyst infection can occur due to this procedure. Endoscopic drainage is not successful if there is pancreatic duct disruption and it is not possible at all if the cyst is located more than 1 cm away from the viscera (stomach or duodenum) [27, 28]. Stenting of duct is done in the presence of duct disruption. Common complications of stenting are exacerbation of pancreatitis, stent occlusion or chronic pancreatitis [29]. Endoscopic drainage of a post traumatic pancreatic pseudocyst is successful in children [30].
For endoscopic pancreatic pseudocyst drainage, wall of pseudocyst should be mature; there should be no pseudoaneurysms, portal hypertension and gastric varices; cyst should be in close contact of viscera; pancreatography should be done; first and always confirm the diagnosis of pseudocyst [31].
Surgical drainage is the main stay of treatment, either external (for cysts with immature wall) or internal (in the presence of mature wall). Surgery can be also performed laparoscopically. Laparoscopic is being used as first-line treatment of pancreatic pseudocysts in children [32]. Laparoscopic surgery has been recommended as a safe, reliable, and minimally invasive treatment for managing pancreatic pseudocyst. Laparoscopic gastropseudocystostomy and jejunopseudocystostomy achieve adequate internal drainage, facilitate concomitant debridement of necrotic tissue within acute pseudocysts, and achieve good results with minimal morbidity. Surgical operations usually consist of gastropseudocystostomy, a duodenopseudocystostomy or enucleation if possible. These operative procedures carry a 10-30% morbidity rate, a 1-5% mortality rate, and a 10-20% rate of recurrence [16].
As there are no randomized studies for the management protocols for pancreatic pseudocyst, still certain advice may be given:
1) always differentiate between acute and chronic pseudocysts for better management;
2) always consider conservative treatment as first-line of management;
3) if intervention is needed, always consider a well known procedure; the results of percutaneous or endoscopic drainage are probably more dependent on the experience of the treating doctor than the choice of process;
4) If surgery is needed, wait until an intern anastomosis can hold sutures (if possible 6 weeks).
Received April 5th, 2012 - Accepted April 16th, 2012
Key words Digestive System; Ligaments; Pancreatic Pseudocyst
Conflict of interest The authors have no potential conflict of interest
Correspondence
Sunder
Goyal
Department of Surgery
Muzaffarnagar Medical College
Opposite Begrajpur Industrial Area
Meerut Delhi Road
Muzaffarnagar, UP
India
Mobile: +91-967.513.9955
Fax: +91-139.625.2708
E-mail: drslgoyal@yahoo.in
References
1. Hamm B, Franzen N. Atypically located pancreatic pseudocysts in the liver, spleen, stomach wall and mediastinum: their CT diagnosis. Rofo 1993; 159:522-7.
2. Chahal P, Baron TH, Topazian MD, Levy MJ. EUS-guided diagnosis and successful endoscopic transpapillary management of an intrahepatic pancreatic pseudocyst masquerading as a metastatic pancreatic adenocarcinoma (with videos). Gastrointest Endosc 2009; 70:393-6.
3. Trikes T, Sandrasegaran K, Patil AA, Hollar MA, Tejada JG, Tann Mark et al. Peritoneal and Retroparitoneal Anatomy and its Relevance for Cross-Sectional Imaging. Radiographics 2012; 32: 437-451.
4. Shibasaki M, Bandai Y, Ukai T. Pancreatic pseudocyst extending into the liver via the hepatoduodenal ligament: a case report. Hepatogastroenterology 2002; 49:1719-21.
5. Okuda K, Sugita S, Tsukada E, Sakuma Y, Ohkubo K. Pancreatic pseudocyst in the left hepatic lobe: a report of two cases. Hepatology 1991; 13:359-63.
6. Panackel C, Korah AT, Krishnadas D, Vinayakumar KR. Pancreatic Pseudocyst Presenting as Dysphasia: A Case Report. Saudi J Gastroenterol. 2008 ; 14:28-30
7. Dong P, Wang B, Sun Y. Tuberculous abscess in hepatoduodenal ligament: Evaluation with contrast enhanced computed tomography W J Gastroenterol 2008; 14: 2284-2287.
8. Mofredj A, Cadranel JF, Dautreaux M, Kazerouni F, Hadj-Nacer K, Deplaix P, et al. Pancreatic pseudocyst located in the liver: a case report and literature review. J Clin Gastroenterol 2000; 30:81-3.
9. Wang SJ, Chen JJ, Changchien CS, Chiou SS, Tai DI, Lee CM, et al. Sequential invasions of pancreatic pseudocysts in pancreatic tail, hepatic left lobe, caudate lobe, and spleen. Pancreas 1993; 8:133-6.
10. Aiza I, Barkin JS, Casillas VJ, Molina EG. Pancreatic pseudocysts involving both hepatic lobes. Am J Gastroenterol 1993; 88:1450-2.
11. Ryu JK, Woo SM, Hwang JH, Jeong JB, Yoon YB, Park IA, et al. Cyst fluid analysis for the differential diagnosis of pancreatic cysts. Diagn Cytopathol 2004; 31:100-5.
12. Balzan S, Kianmanesh R, Farges O, Sauvanet A, O'toole D, Levy P, et al. Right intrahepatic pseudocyst following acute pancreatitis: an unusual location after acute pancreatitis. J Hepatobiliary Pancreat Surg 2005; 12:135-7.
13. Atia A, Kalra S, Rogers M, Murthy R, Borthwick TR, Smalligan RD. A wayward cyst. JOP. J Pancreas (Online) 2009; 10:421-4.
14. 14.Varadarajulu S, Noone TC, Tutuian R, Hawes RH, Cotton PB. Predictors of outcome in pancreatic duct disruption managed by endoscopic transpapillary stent placement. Gastrointest Endosc 2005; 61:568-75
15. Musharaf H AEI, Auriefi M AAI. Traumatic pancreatic pseudocyst. S J Gastroenterology 1996; 2: 160-163
16. Andren-Sandberg A, Ansorge C, Eiriksson K, Glomsaker T, Malickas A, Treatment of pacreatic pseudocysts. Scand J Surg 2005; 94: 165-75
17. D'Egidio A, Schein M. Pancreatic Pseudocyst: A proposed classification and its management implications. Br J Surg1991; 78: 981-84.
18. Grace PA, Williamson RCN. Modem management of pancreatic pseudocysts. Br J Surg1993; 80: 573-81.
19. Yeo JC, Bastidas JA, Lynch Nyhan A, Fishman KE, Zinner MJ, Cameron JL. The natural history of pancreatic pseudocyst documented by computed tomography. Surg GynecolObstet1990:170:411-16.
20. Shilyansky J, Sena LM, Kreller M, Chait P, Babyn PS, Filler RM et al. Nonoperative management of pancreatic injuries in children. J Pediatr Surg.1998; 33: 343-49.
21. Ohno Y, Ohgami H, Nagasaki A, Hirose R. Complete disruption of the main pancreatic duct: a case successfully managed by percutaneous drainage. J Pediatr Surg 1995; 30:1741-42.
22. Burnweit C, Wesson D, Stringer D, Filler R. Percutaneous drainage of traumatic pancreatic cyst in children. J Trauma 1990; 30: 1273-77.
23. Jaffe RB, Arata JA, Matlak ME. Percutaneous drainage of traumatic pancreatic pseudocyst in children. AJR 1989; 152: 591-95.
24. Lucaya J, Vazquez E, Caballero F, Chait PG, Daneman A, Wesson D. Non-operative management of traumatic pancreatic pseudocyst associated with pancreatic duct laceration in children. Pediatr Radiol 1998; 28: 5-8.
25. Morali GA, Braverman DZ, Semesh D, Abanoritz Z, Jacobsohn WZ. Successful treatment of Pancreatic Pseudocyst with a somatostatin analogue and catheter drainage. Am J Gastroenterol 1991; 86:515-18
26. Martinez-Ramos D, Cifrian-Perez M, Gracia-Vila JH, Salvador-Sanchis JL, Hoashi JS. Percutaneous drainage treatment of traumatic pancreatic rupture with pancreatic transection. Gastroenterol Hepatol 2010; 33: 102-05
27. Cremer M, Deviere J, Engelholm L. Endoscopic Management of Cysts and Pseudocysts in Chronic Pancreatitis: Long-term follow-up after seven years of experience.GastrointestEndosc1989; 35:1-9.
28. Donnelly PK, Lavelle P, Carr-Locke D. Massive Hemorrhage following Endoscopic Transgastric Drainage of Pancreatic Pseudocyst. Br J Surg 1990; 77:758-59
29. Kozarek RA, Ball TJ, Patterson DJ, Freeny PC, Ryan JA, Traverso WL. Endoscopic Transpapillory Therapy for disrupted Pancreatic Duct and Peripancreatic Fluid collection.Gastroenterology1991;100: 1362-70.
30. Kamble RM, Cohen R, Williams S. Successful endoscopic drainage of a posttraumatic pseudopancreatic cyst in a child. Journal of pediatric Surgery 1999; 34: 1518-1520.
31. Chak A: Endo sonographic-guided therapy of pancreatic pseudocysts. Gastrointest Endosc 2000; 52: 23–27.
32. Yoder SM, Rothenberg S, Tsao K, Wulkan NL, Ponsky TA, St-Peter SD et al. Laparoscopic Treatment of Pancreatic Pseudocyst in Children. J Laparoendosc Adv 33. Bhattacharya D, Ammori BJ: Minimally invasive approaches to the management of pancreatic pseudocysts: review of the literature. Surg Laparosc Endosc Percutan Tech 2003; 13: 141–148.