CASE REPORT
JOP. J Pancreas (Online) 2012 Jul 10; 13(4):446-450.
Autoimmune Pancreatitis Accompanied with Recurrence of Bladder Cancer: Difficulty in Diagnosis and Management of Systemic Lesions in a Case with Autoimmune Pancreatitis
Hiroyuki Matsubayashi1, Hirokazu Kimura1, Kenichi Tobisu2, Yoshifumi Onishi5, Michihisa Moriguchi3, Keiko Sasaki4, Hiroyuki Ono1
Divisions of 1Endoscopy, 2Urology, 3Diagnostic Radiology, and 4Pathology, Shizuoka Cancer Center. Nagaizumi, Suntogun, Shizuoka, Japan. 5Division of Gastroenterology, Shizuoka Medical Center. Shimizucho, Suntogun, Shizuoka, Japan
ABSTRACT
Context A case of autoimmune pancreatitis develops a hepatic metastasis of bladder cancer resected over 5 years before, mimicking a pseudotumor of the liver. Case report A 71-year-old man with a surgical history of bladder cancer (pT4, G2>3, N (+)) later developed autoimmune pancreatitis. Diagnosis of autoimmune pancreatitis was not problematic; however, a variety of systemic disorders appeared after the onset of autoimmune pancreatitis, possibly associated with autoimmune disorder or steroid therapy. These included pancreatic stone attack, septic shock due to ureteral stenosis, and bloody phlegm due to a lung aspergilloma. These events were not easily controlled but were managed with clinical efforts. In the following course, pelvic lymph nodes gradually enlarged and a hepatic mass occurred at 5 years and 6 months after total cystectomy. Several candidates were considered for the hepatic lesion including inflammatory pseudotumor, cholangiocellular carcinoma, and hepatic adenoma. However, percutaneous biopsy confirmed metastasis of the bladder cancer. In general, recurrence after 5 years following cystectomy is extremely rare in cases of pT4 bladder cancer with lymph node metastasis. Conclusions Patients of autoimmune pancreatitis display various problematic scenarios in diagnosis and long-term management, not only for their pancreatic lesions but also for systemic lesions.
INTRODUCTION
Autoimmune pancreatitis is often accompanied by diabetes, asthma, and a variety of visible systemic lesions [1, 2, 3], including swelling of lymph nodes and glands, sclerosing lesions [2, 4] and nodular lesions [3, 5]. However, to date, association with autoimmune disorder is still unclear in some candidate lesions [3]. Continuous administration of corticosteroids may also cause new lesions or unfavorable events [6]. Most importantly, these findings change rapidly in relation to disease activity [7] and/or steroid amount. Hence, in case of autoimmune pancreatitis, not only the pancreatic lesion [8, 9, 10], but also extrapancreatic lesions [1, 2] have to be managed appropriately. We report a case of autoimmune pancreatitis associated with a recurrence of bladder cancer and changes in the patient’s physical condition due to repetitive and unexpected events.
CASE REPORT
A 71-year-old Japanese man was referred to our division in August 2006 due to swelling of the pancreatic body. The patient had been diagnosed with bladder cancer and he had undergone total cystectomy and ileal conduit, at 69 years old at the division of Urology, Shizuoka Cancer Center, Shizuoka, Japan. The pathological diagnosis was urothelial carcinoma of the bladder, pT4, G2>G3, N (+). After surgery, the patient was screened by computed tomography (CT) every 6 months.
At consultation to our division, serum tests indicated increased level of amylase (160 IU/L; reference range: 43-116 IU/L) and HbA1c (12.0%; reference range: 4.3-5.8%). Serum IgG and IgG4 were elevated to 1,920 mg/dL (reference range: 870-1,700 mg/dL) and 123 mg/dL (reference range: 4.8-105 mg/dL), respectively. The titer of serum antinuclear antibody (ANA) was also high (positive at x80 dilution). At first, the patient hesitated to undergo endoscopic examinations, because of his faint abdominal symptoms and warfarin treatment for his post-myocardial infarction status. However, in May 2007, abdominal CT revealed that the pancreatic lesion had expanded toward the head region (Figure 1a), and was accompanied by a faintly enlarged lymph node (less than 10 mm) in the pelvis, so the patient agreed to further examinations. Endoscopic retrograde cholangiopancreatography (ERCP) revealed a stenosis of the distal bile duct, and diffuse, irregular narrowing of the main pancreatic duct (Figure 1b). 18F-fluorodeoxy glucose positron emission tomography (FDG-PET) showed a faint accumulation of FDG at the pancreas (SUV max: 3.1), multiple mediastinum lymph nodes, and right-upper gingiva (gingivitis). Endoscopic ultrasound-guided fine-needle aspiration biopsy (EUS-FNAB) from the pancreatic head revealed no malignancy. These findings led to diagnosis of autoimmune pancreatitis with sclerosing cholangitis, based on the Japanese criteria [3]. Oral intake of prednisolone was initiated at a dose of 40 mg/day and then tapered off at the recommended pitch. Pancreatic enlargement was resolved and glucose tolerance was improved (HbA1c: 7.4%) over the next three months.

|
Figure 1. Image findings at the initial diagnosis of autoimmune pancreatitis. a. Computed tomography showed slightly low-dense and enlarged pancreatic head (arrow). b. Endoscopic retrograde pancreatography demonstrated a diffuse, irregular narrowing of the main pancreatic duct. |
Six months after starting steroid treatment, a right hydronephrosis appeared on the CT image. This urinary dilation disappeared two months later; however, bilateral hydronephrosis re-emerged in another two months. The dilation included the entire ureter, from the ileal junction to the renal pelvis, without ureteral stones. In the subsequent treatment course, the patient suddenly developed septic shock. Because of the existing hydronephrotic findings, urinary infection was suspected. The causative bacterium detected in the blood was Proteus mirabilis, which was also positive in the urine culture, and a suitable antibiotic was administered. Retrograde ureteropyelography using duodenoscope showed a severe stricture at the upper portion of ureteroileal junction, 8 mm in length (Figure 2a). A double-J stent (7F) was inserted and a similar attack never reoccurred, although the spontaneous remission and recurrence of the bilateral hydronephrosis was repeated.



|
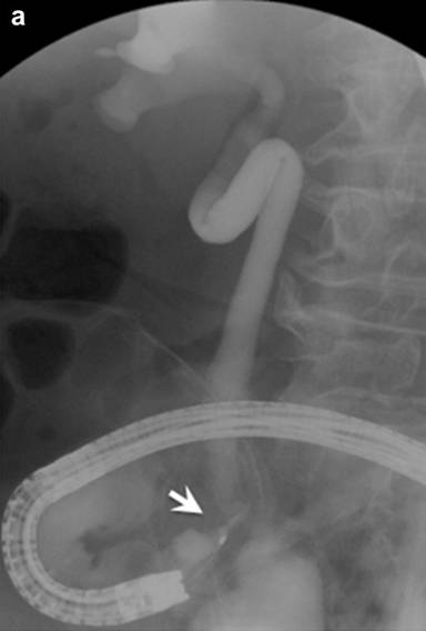
Figure 2. Images of systemic lesions after starting steroid therapy. a. Endoscopic retrograde ureterography showed a stricture at the lower portion of right ureter, 8 mm in length (arrow). b. Following computed tomography demonstrated a large stone (7x10 mm) stuck in the main pancreatic duct at pancreatic head (arrow) and many small stones distributed within the pancreatic body and tail. c. Following endoscopic retrograde pancreatography demonstrated a stone stuck in the dilated main pancreatic duct at pancreatic head (arrow) and floating stones in the upstream (small arrows). |
One month after recovery from sepsis, the patient complained of bloody sputum. On CT image, a nodular lesion was identified in the upper lobe of left lung, which needed bronchoscopic examination. Biopsy of the bronchial lesion did not show malignant cells or lymphoplasmacytic aggregates, and brushing cytology confirmed aspergillosis. As malignancy was not detected, no therapy was added for this lesion. Dry skin, lumbago, and muscle weakness, possibly associated with administration or withdrawal of the steroid, developed in the following course.
Nine months after starting steroid therapy with a maintenance dose of prednisolone (5 mg/day), the serum levels of IgG (1,896 mg/dL), ANA (positive at x160 dilution), and HbA1c (9.8%) were elevated, and we increased the steroid amount to 15 mg/day. At that time, CT demonstrated a pancreatic stone, 7x10 mm in size, settled in the main pancreatic duct at the pancreatic head, and scattered small stones within the atrophic pancreatic body and tail (Figure 2b). As the stones became larger, the patient began to complain of epigastria. ERP revealed a stone at the right edge of the dilated main pancreatic duct at the pancreatic head (Figure 2c). The patient was treated with extracorporeal shock wave lithotripsy (ESWL) followed by endoscopic pancreatic stent insertion. This therapy was effective, but the stone could not be completely eliminated, and the procedure was repeated four times during the following two years. Occasionally, the main pancreatic duct was severely narrowed and even insertion of the guide wire was difficult.
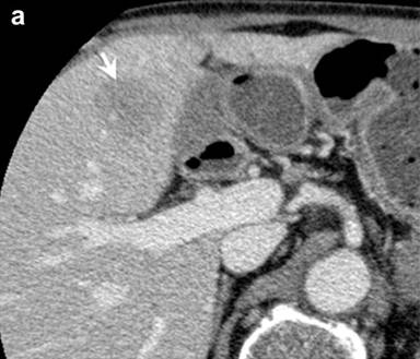
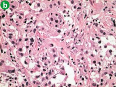
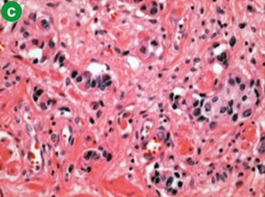
Following the diagnosis of autoimmune pancreatitis, screening CT images demonstrated pelvic lymph nodes that gradually increased in size (about 1.5 cm) and number. In June 2009, following CT detected an ill-enhanced hepatic tumor (Figure 3a). Endoscopic examinations denied upper and lower gastrointestinal tumors that could be the origin of hepatic tumor. Various candidates were considered, such as pseudotumor, cholangiocarcinoma, hepatocellular carcinoma, hepatic adenoma and metastasis of past bladder cancer. Percutaneous needle biopsy was performed to reach a final diagnosis. Histology of the biopsy tissue was urothelial carcinoma (Figure 3b), the same as in the bladder resected 5 years and 6 months previously (Figure 3c). The patient refused a second operation. Chemotherapy with gemcitabine was initially effective, but failed in one year, and metastasis developed in the adrenal gland, paranasal sinuses, and cervical vertebrae. Second line therapy by paclitaxel was not effective and the patient succumbed in January 2011.



|
Figure 3. Hepatic metastasis of the bladder cancer. a. CT showed an ill-enhanced, round-margined, tumor in the right lobe of the liver (arrow). b. Histology of percutaneous hepatic biopsy showed urothelial carcinoma, the same as that of urinary bladder resected 5 years and 6 months before (c.) (H&E, x100). |
DISCUSSION
Although several papers have reported on the long-term outcome of autoimmune pancreatitis, not much information is available regarding pancreatic stones that develop in autoimmune pancreatitis. Maruyama et al. reported that 47% of 60 cases of autoimmune pancreatitis with over 3 years of follow-up demonstrated the development of, or an increase in, pancreatic stones and that 30% of stones were located in the main pancreatic duct [11]. Interestingly, as in our case, stones were more likely to develop in autoimmune pancreatitis with pancreatic head involvement and/or with relapse [11].
In ordinary chronic pancreatitis, ESWL and stenting were effective as a treatment for the pancreatic stones [12, 13] and to prevent recurrence [14]. Pancreatic stones were fragmented by ESWL in 85-100% of cases and cleared in 50-80% of cases, and pain also disappeared in 17-79% [12]. Endoscopic stenting relieved pancreatic pain in 81% of cases for short intervals and in 61% of cases with average of 30 months of follow-up [12]. Nevertheless, in autoimmune pancreatitis, narrowing of the main pancreatic duct readily occurs due to the lack of corticosteroid, which stagnates the pancreatic juices and leads to stone formation. In the present case, the time course was very short (6-8 months) for active autoimmune pancreatitis to transform into so-called “chronic pancreatitis” with multiple stones, even with the 10-13 mg/day steroid treatment. Regarding endocrine function, an endoscopic stent improved temporary glucose tolerance (10%) but was not effective for long periods [13]; hence, diabetes alone is not an indication for endoscopic treatment [12]. Hirano et al. reported the importance of earlier steroid induction to preserve pancreatic endocrine function, based on the findings of short-term improvement of C-peptide response (DCPR: 82%) and long-term improvement of glucose tolerance (13%) [15]. In our patient, if steroid therapy had been started in earlier days, the exocrine and endocrine functions of the pancreas may have been maintained in better condition.
In autoimmune pancreatitis, various extrapancreatic lesions occur in correlation with the disease activity [7], especially in cases with high serum IgG4 [16]. However, at present, the association with autoimmune condition has not yet been clarified in many systemic lesions [3]. In the present case, an association of the stenosis at the ureteroileal junction (Figure 2a) was not determined for the autoimmune condition. In general, postoperative urinary dilation or anastomotic stricture develops with a frequency ranging from 3% [17] to 10% [18] after cystectomy. Retroperitoneal fibrosis, a causative lesion of hydronephrosis in cases of autoimmune pancreatitis, was also not evident in our case. Hence, simple coincidence cannot be discounted; however, we rather suspect an association of the urinary stricture with autoimmunity because of its spontaneous remission and recurrence in bilateral ureters.
Although many kinds of cancers have been reported during long-term follow-up of autoimmune pancreatitis, the recurrence of bladder cancer was an unexpected event because of its extremely low likelihood. The median time to recurrence of invasive bladder cancer was 12 months, based on analysis of 1,054 cases treated by radical cystectomy [19], while that of pT4 bladder cancer was 4 months (range: 1-37 months) [20]. In the outcome of radical cystectomy done on 40 cases of pT3 or pT4 bladder cancer with lymph node metastasis (more than 10 years of follow-up), recurrence was not evident 4 years after operation [21]. The possibility of IgG4-related pseudotumor, which could be accompanied by autoimmune pancreatitis, perplexed our diagnosis of this hepatic lesion [2, 3, 5]. However, the gradual enlargement of the pelvic lymph nodes was atypical for autoimmune pancreatitis. Therefore, histology was determined by needle biopsy.
Basic research has confirmed that corticosteroid inhibits apoptosis of cancer cells [22] and increases metastasis in many human cancers [22, 23]. In contrast, corticosteroid induces apoptosis of immune cells, especially lymphocytes that reject dormant disseminated tumor cells [22], leading to repressed cancer-immune status. In the current case, the size and number of the lymph nodes increased gradually from the start of steroid therapy. This possibly suggested that remnant cancer cells were activated by steroid and promoted to spread [22, 23]. In addition to the liver lesion, a small pulmonary lesion also complicated the diagnosis of whether this was cancer, infection, or an IgG4-related inflammatory lesion [5]. Various types of lesions are seen systemically in cases with autoimmune pancreatitis and therapeutic strategy varies by their quality. The clinician must grasp the whole nature of this disease, follow patients with caution with respect to disease activity and side effects caused by steroids, and manage patients appropriately.
Received April 13th, 2012 - Accepted April 23rd, 2012
Key words Autoimmunity; Diagnosis, Differential; Pancreatitis; Steroids; Urinary Bladder Neoplasms
IRB approval Institutional Review Board of Shizuoka Cancer Center approved this study (institutional code No.23-J28-23-1-3)
Disclosure None of the authors have any potential conflicts (financial, professional or personal).
Correspondence
Hiroyuki
Matsubayashi
Pancreatobiliary Endoscopy, Division of Endoscopy
Shizuoka Cancer Center
1007 Shimonagakubo
Nagaizumi, Suntogun
Shizuoka, 411-8777
Japan
Phone: +81-55.989.5222
Fax: +81-55.989.5692
E-mail: h.matsubayashi@scchr.jp
References
2. Matsubayashi H, Furukawa H, Uesaka K, Sasaki K, Ono H, Hruban RH. Autoimmune pancreatitis accompanied by cholecystitis, periaortitis and pseudotumors of the liver. Case Rep Gastroenterol 2008;2:155-61.
3. Okazaki K, Uchida K, Koyabu M, Miyoshi H, Takaoka M. Recent advances in the concept and diagnosis of autoimmune pancreatitis and IgG4-related disease. J Gastroenterol 2011;46:277-88.
4. Hamano H, Kawa S, Ochi Y, Unno H, Shiba N, Wajiki M, et al. Hydronephrosis associated with retroperitoneal fibrosis and sclerosing pancreatitis. Lancet 2002;359:1403-4.
5. Zen Y, Nakanuma Y. IgG4-related disease: a cross-sectional study of 114 cases. Am J Surg Pathol 2010;34:1812-9.
6. Hoes JN, Jacobs JW, Verstappen SM, Bijlsma JW, Van der Heijden GJ. Adverse events of low- to medium-dose oral glucocorticoids in inflammatory diseases: a meta-analysis. Ann Rheum Dis 2009;68:1833-8.
7. Matsubayashi H, Uesaka K, Kanemoto H, Kakushima N, Kimura H, Ono H. Soluble IL-2 receptor, a new marker of autoimmune pancreatitis. Pancreas 2012;41:493-6.
8. Matsubayashi H, Hasuike N, Onozawa Y, Kanemoto H, Ono H, Hruban RH. Autoimmune pancreatitis with response to chemoradiation therapy. JGLD 2011;20:315-9.
9. Matsubayashi H, Tomita H, Sugiura T, Sasaki K, Inui T, Takizawa K, et al. Autoimmune pancreatitis without a response to steroid therapy: a case which met criteria after withdrawal of steroid. Intern Med 2009;48:2087-91.
10. Matsubayashi H, Imai K, Kusumoto K, Ono H. Suspected autoimmune pancreatitis--an indication for steroid treatment? Dig Liv Dis 2010;42:525-6.
11. Maruyama M, Arakura N, Ozaki Y, Watanabe T, Ito T, Yoneda S, et al. Risk factors for pancreatic stone formation in autoimmune pancreatitis over a long-term course. J Gastroenterol 2011 [Epub ahead of print].
12. Heyries L, Sahel J. Endoscopic treatment of chronic pancreatitis. WJG 2007;13:6127-33.
13. Delhaye M, Vandermeeren A, Baize M, Cremer M. Extracorporeal shock-wave lithotripsy of pancreatic calculi. Gastroenterology 1992;102:610-20.
14. Sasahira N, Tada M, Isayama H, Hirano K, Nakai Y, Yamamoto N, et al. Outcomes after clearance of pancreatic stones with or without pancreatic stenting. J Gastroenterol 2007;42:63-9.
15. Hirano K, Isogawa A, Tada M, Isayama H, Takahara N, Miyabayashi K, et al. Long-Term Prognosis of Autoimmune Pancreatitis in Terms of Glucose Tolerance. Pancreas 2012 [Epub ahead of print].
16. Matsubayashi H, Sawai H, Kimura H, Yamaguchi Y, Tanaka M, Kakushima N, et al. Characteristics of autoimmune pancreatitis based on serum IgG4 level. Dig Liv Dis 2011;43:731-5.
17. Yao K, Hou GL, Liu ZW, Yu SL, Li YH, Zhou FJ. Upper urinary tract dilation due to conglutination of intraluminal distal ureters after orthotopic neobladder with split-cuff nipple ureteral reimplants: early results of 8 cases. Urologic Oncol 2009;27:611-6.
18. Hassan AA, Elgamal SA, Sabaa MA, Salem KA, Elmateet MS. Evaluation of direct versus non-refluxing technique and functional results in orthotopic Y-ileal neobladder after 12 years of follow up. Intern J Urol 2007;14:300-4.
19. Stein JP, Lieskovsky G, Cote R, Groshen S, Feng AC, Boyd S, et al. Radical cystectomy in the treatment of invasive bladder cancer: long-term results in 1,054 patients. J Clin Oncol 2001;19:666-75.
20. Shinagare AB, Ramaiya NH, Jagannathan JP, Fennessy FM, Taplin ME, Van den Abbeele AD. Metastatic pattern of bladder cancer: correlation with the characteristics of the primary tumor. AJR. 2011;196:117-22.
21. Steven K, Poulsen AL. Radical cystectomy and extended pelvic lymphadenectomy: survival of patients with lymph node metastasis above the bifurcation of the common iliac vessels treated with surgery only. J Urol 2007;178:1218-23; discussion 1223-4.
22. Herr I, Pfitzenmaier J. Glucocorticoid use in prostate cancer and other solid tumours: implications for effectiveness of cytotoxic treatment and metastases. Lancet Oncol 2006;7:425-30.
23. Mattern J, Buchler MW, Herr I. Cell cycle arrest by glucocorticoids may protect normal tissue and solid tumors from cancer therapy. Can Biol Ther 2007;6:1345-54.