CASE REPORT
JOP. J Pancreas (Online) 2012 Jul 10; 13(4):443-445.
Perineurioma of the Pancreas: A Rare Case
Sudipta Saha1, Ashesh Jha2, Nidhi Mangal3, Naveen Sharma2, Sanjay Gupta2, Sarla Agarwal3
1Department of Surgery, Lady Hardinge Medical College; Departments of 2Surgery and 3Pathology, University College of Medical Sciences and GTB Hospital. Delhi, India
Context Mesenchymal tumors of pancreas are rare. Case report We describe a case of perineurioma involving the body and tail of pancreas presenting as a slow growing abdominal lump. Conclusion Though perineurioma may arise from variety of anatomical sites including gastrointestinal tract, there is no previous report of perineurioma arising from the pancreas.
Mesenchymal pancreatic tumors are rare and it includes 1-2 percent of all pancreatic neoplasm [1]. These tumors can arise from the connective, lymphatic, vascular and neuronal tissues of pancreas [1]. Perineuriomas are rare type of mesenchymal tumors arising from peripheral nerve sheath and shows perineural cell differentiation. Perineuriomas may be intraneural or extraneural in soft tissue with no apparent relation with a nerve. These lesions occur primarily in adults and may arise in different anatomical sites [2]. We herein describe a rare case of perineurioma of pancreas, involving the body and tail in an adult female.
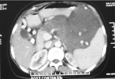
A 35-year-old female presented with dull aching pain and lump in central abdomen gradually increasing in size for last two years. Patient had no history of vomiting, fever, jaundice, anorexia and weight loss. There was no history suggestive of previous episode of acute pancreatitis. On abdominal examination, a 13x16 cm nontender, firm, retroperitoneal lump was palpable in the epigastrium, left hypochondrium and umbilical region along with splenomegaly. CECT of the abdomen demonstrated well defined 15x15 cm solid mass arising from body and tail of pancreas with splenomegaly (Figure 1). Splenic vessels were encased by the mass. The head of the pancreas was normal. The mass was free from stomach and it was not involving the superior mesenteric vessels. There was no lymphadenopathy or free fluid. With a suspicion of benign tumor of the pancreas patient was planned for distal pancreatectomy with splenectomy. Intra-operatively there was a 15x15 cm firm mass was found to be arising from the body and tail of the pancreas (Figure 2). The mass was completely resected by performing distal pancreatectomy and splenectomy. Postoperative period of the patient was uneventful and she was discharged on postoperative day nine.

|
Figure 1. CECT abdomen showing solid mass arising from body and tail of pancreas. |

|
Figure 2. Intra-operative picture of pancreatic mass. |
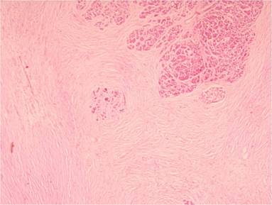
Hematoxylin-eosin stained sections of the specimen showed a highly cellular waving spindle cell proliferation embedded within abundant collagenous and focal myxoid stroma (Figure 3). The spindle cells were running in parallel bundles. Spindle cells were also seen surrounding the acinar cells of the pancreas and proliferating them. The tumor cells showed mild to moderate nuclear pleomorphism with mitotic activity of less than 1 per 10 HPF. No evidence of hemorrhage or necrosis was noted. The tumor was encapsulated and the centre of the tumor also showed pancreatic acinar cells. Immunohistochemical studies showed membranous positivity for epithelial membrane antigen (Figure 4). Stains for CD34 and S-100 protein were negative. In view of the morphology and immunohistochemistry, the diagnosis of perineurioma was made.

|
Figure 3. H&E staining showing waving spindle cell proliferation embedded within the collagenous and focal myxoid stroma. |

|
Figure 4. Positivity of spindle cells for epithelial membrane antigen |
Solid tumors of the body and tail of pancreas represent a relatively uncommon entity [3]. These tumors carry wide spectrum of potential pathology and prognosis. The most likely diagnosis of these tumors remains ductal adenocarcinoma [3]. Benign pancreatic neoplasm accounts for less than ten percent of all pancreatic tumors [4]. They have varying degree of propensity to become malignant. Mesenchymal tumors of pancreas are rare and they are classified according to their main histological component.
Perineurioma is a rare benign tumor derived from perineural cells of nerve sheath. This tumor was first described in 1978 by Lazarus and Trombetta based on ultrastructural features of perineural cells in the calf of a 45-years-old male [5]. According to revised WHO classification of tumors of nervous system, perineuriomas have been defined as benign tumors of peripheral nerve, which are derive from perineural cell proliferation, showing immunoreactivity for epithelial membrane antigen and may be associated with abnormalities on chromosome 22 [6, 7]. Perineuriomas accounts for approximately one percent of all soft tissue neoplasm. Perineuriomas are subdivided into soft tissue, intraneural, sclerosing and reticular subtypes of which soft tissue variant is most common. Most of the patients present with painless mass and local recurrences of these tumors are extremely uncommon. It often arises in middle aged adults and females are more frequently involved. These tumors occur over a wide range of anatomical sites; however, the involvement of the gastrointestinal tract is rare [2]. Perineuriomas may arise in the intestine, most often as intramucosal lesions detected as colorectal polyps [8].
Differential diagnosis of retroperitoneal soft-tissue perineurioma includes schwannoma, neurofibroma, and solitary fibrous tumor. Schwannoma and neurofibroma are the most common nerve sheath tumors. Schwannoma shows typical Antoni A and Antoni B areas; the nuclear palisading of neoplastic cells, the formation of Verocay’s bodies and S-100 positivity characterizes schwannoma. Neurofibroma is positive for S-100, CD34 and EMA. Solitary fibrous tumor is positive for CD34 and negative for S-100 and EMA [9]. Our case was positive for EMA and negative for CD34 and S-100.
Schwannoma of the pancreas is described but perineurioma involving the pancreas has not been reported previously [10]. This case highlights its clinical behavior in that it is slow growing, may attain huge size and tends not to infiltrate.
In conclusion histological and immunohistochemical examination are necessary to make the definitive diagnosis of perineurioma and it should be included in the complete differential diagnosis of solids tumor of pancreas.
Received April 17th, 2012 - Accepted April 21st, 2012
Key words Nerve Sheath Neoplasms; Pancreas; Soft Tissue Neoplasms
Grants and financial support None
Conflict of interest None
Correspondence
Sudipta
Saha
Department of Surgery
Lady Hardinge Medical College
Shaheed Bhagat Singh Road
Delhi 110001
India
Phone: +91-995.890.7732
Fax: +91-11.2334.0566
E-mail: sudipta2067@gmail.com
References
2. Hornick JL, Fletcher CD. Soft tissue perineurioma: clinicopathologic analysis of 81 cases including those with atypical histologic features. Am J Surg Pathol. 2005;29:845-58.
3. Morgan KA, Adams DB. Solid tumors of the body and tail of the pancreas. Surg Clin North Am. 2010;90:287-307.
4. Nealon W. Unusual Pancreatic tumors. In: Cameron JL, editor. Current Surgical Therapy. 8th Edition. Philadelphia: Elsevier Mosby; 2004. 510-516.
5. Lazarus SS, Trombetta LD. Ultrastructural identification of a benign perineurial cell tumor. Cancer. 1978;41:1823-9.
6. Kleihues P, Louis DN, Scheithauer BW, Rorke LB, Reifenberger G, Burger PC, Cavenee WK. The WHO classification of tumors of the nervous system. J Neuropathol Exp Neurol. 2002;61:215-25.
7. Giannini C, Scheithauer BW, Jenkins RB, Erlandson RA, Perry A, Borell TJ, Hoda RS, Woodruff JM. Soft-tissue perineurioma. Evidence for an abnormality of chromosome 22, criteria for diagnosis, and review of the literature. Am J Surg Pathol. 1997;21:164-73.
8. Hornick JL, Fletcher CD. Intestinal perineuriomas: clinicopathologic definition of a new anatomic subset in a series of 10cases. Am J Surg Pathol. 2005 Jul;29:859-65.
9. Rha SE, Byun JY, Jung SE, Chun HJ, Lee HG, Lee JM. Neurogenic tumors in the abdomen: tumor types and imaging characteristics. Radiographics 2003 , 23:29-43.