REVIEW
Large Cell Neuroendocrine Carcinoma of the Ampulla of Vater
Rachel E Beggs1, Michael E Kelly1, Omer Eltayeb1, Paul Crotty2, Ray McDermott3, Paul F Ridgway1
Departments of 1Surgery, 2Pathology, and 3Medical Oncology, The Adelaide and Meath Hospital, Dublin Incorporating the National Children’s Hospital. Dublin, Ireland
ABSTRACT
Context Large cell neuroendocrine carcinomas of the ampulla of Vater are rare and confer a very poor prognosis despite aggressive therapy. There are few case reports of large cell neuroendocrine carcinomas of the ampulla of Vater in the literature and to date no studies have been done to establish optimal management. We describe a pooled case series from published reports of neuroendocrine carcinomas of the ampulla of Vater including a case which presented to our institution. Methods A narrative review was undertaken including all published English case reports of large cell neuroendocrine carcinomas of the ampulla of Vater. Our primary outcome was to determine overall survival. Results Twenty cases of large cell neuroendocrine carcinomas of the ampulla of Vater were identified. Seventy-six percent of patients were reported to have died of disease with mean survival of 11.8 months. Twenty percent of the tumours were associated with an adenoma. The approximate median survivals were 15 months for those with an associated adenoma and 11 months without. Conclusions This pooled analysis demonstrates both the rarity and poor prognosis of large cell neuroendocrine carcinomas of the ampulla of Vater. Although surgical resection is the mainstay of treatment, we review common adjuvant chemotherapy regimes. Prognosis may be improved when these tumours are associated with adenomas, however, more studies are needed.
INTRODUCTION
Neuroendocrine carcinomas of the ampulla of Vater are rare, accounting for less than 2% of all ampullary tumours [1]. They constitute a wide spectrum of neoplastic activity, both from the clinical and pathological perspective [2]. Given the clinicopathological diversity, bespoke classification systems have been fraught to date.
Large cell neuroendocrine carcinomas (LCNECs) are highly aggressive [3] with a tendency for distant metastases and thus a poor prognosis [4]. Currently, there are numerous classification systems for LCNECs including the 2010 WHO classification [5], European Neuroendocrine Tumour Society (ENETS) grading system (2006) and the American Joint Committee on Cancer/Union for International Cancer Control (AJCC-UICC) system (2010) [6]. A recent study [7] has identified discrepancies between the aforementioned classification systems; however, regardless of the staging system employed LCNECs are aggressive tumours conferring extremely poor prognosis [8]. As reported by Nassar et al. [9], LCNECs are often associated with adenomas, although whether this has any clinical relevance remains unknown.
As LCNECs rarely occur in sites outside the tracheobronchial tree [10], there is a relative paucity of case reports in the literature of LCNECs of the ampulla of Vater. Due to this rarity there is unlikely to be randomised data or large case series to clearly establish optimal adjuvant treatment, thus evidence will always be low level [11]. It is difficult to know whether these ampullary located LCNECs should be treated differently to LCNECs on the whole, similar to the outcome differences seen in ampullary versus ductal adenocarcinoma of the pancreas. We describe a pooled case series from published reports of LCNECs of the ampulla of Vater, with the addition of a case which presented to our institution (AMNCH: Adelaide and Meath National Children’s Hospital) (Table 1, Figure 1).
|
Table 1. Summary of cases of large cell neuroendocrine carcinomas reported in the literature. |
||||||||
|
Reference |
Age |
Sex |
No. of positive lymph nodes |
Metastasis |
Associated |
Ki-67 index |
Follow up |
Adjuvant therapy |
|
AMNCH Case |
52 |
Male |
1 |
Liver |
Villous adenoma |
70% |
Alive with disease at 20 months |
Chemotherapy (cisplatin, etoposide, mannitol) |
|
Cavazza et al. (2003) [3] |
74 |
Female |
Absent |
Liver, L2-L3 vertebrae |
Absent |
NA |
Died at 8 months |
No chemotherapy (patient declined), palliative radiation |
|
Cheng et al. (2004) [29] |
55 |
Female |
2 |
Liver, peritoneal seeding |
Well-differentiated adenocarcinoma |
60% |
Died at 6 months |
No adjuvant
therapy |
|
Hartel et al. (2004) [19] |
44 |
Female |
2 |
Absent |
Absent |
NA |
NA |
No adjuvant therapy |
|
Nassar et al. (2005) [9] |
61 |
Male |
1 |
NA |
Adenoma |
NA |
Died at 15 months |
NA |
|
Huang et al. (2006) [30] |
59 |
Male |
5 |
Liver, peritoneal seeding |
NA |
|
Died at 10 months |
Chemotherapy (cisplatin, cyclophosphamide) |
|
Selvakumar et al. (2006) [1] |
48 |
Male |
2 |
Liver |
NA |
NA |
NA |
No documented adjuvant therapy |
|
Liu et al. (2008) [16] |
70 |
Female |
Absent |
Absent |
Ductal adenocarcimona |
90% |
No disease at 1 month |
No documented adjuvant therapy |
|
Shu et al. (2006) [4] |
76 |
Female |
4 |
Liver, peritoneal seeding |
Tubulovillous adenoma |
NA |
Died at 4 months |
No adjuvant
therapy |
|
Selvakumar et al. (2008) [8] |
47 |
Female |
NA |
NA |
NA |
NA |
Died at 11 months |
Chemotherapy |
|
|
45 |
Male |
NA |
NA |
NA |
NA |
Died at 7 months |
Chemotherapy |
|
Stojsic et al. (2010) [10] |
60 |
Male |
NA |
Liver |
NA |
41% |
NA |
Chemotherapy |
|
Sunrose et al. (2011) [15] |
73 |
Female |
2 |
Liver, bone |
Adenocarcinoma + squamous cell carcinoma |
NA |
Died at 13 months |
Chemotherapy |
|
NA: information not available AMNCH: Adelaide and Meath National Children’s Hospital |
||||||||

|
Figure 1. Macroscopically, a 1.5x1.5 cm circumferential fleshy ulcerated tumour is present surrounding the ampulla. |
METHODS
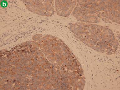
An inclusive narrative review methodology was undertaken. In addition, we briefly review the diagnostic modalities used and the treatment decisions made in the case which presented to our institution. Electronic literature searches were conducted using MEDLINE (PubMed) from 1 January 2000 to 31 August 2011. All English case reports of LCNECs of the ampulla of Vater were selected. The selected search terms and related MESH headings were: “large”, “neuroendocrine” and “ampulla”. In each of the cases selected, the diagnostic criteria for LCNEC of the lung proposed by Travis et al. [12] were satisfied. According to these criteria, tumours are described as having cells at least three times larger than cells of a small cell carcinoma, neuroendocrine morphology (organoid growth pattern, cellular palisading, rosette formation) and an irregular chromatin pattern with brisk mitotic activity [13] (Figure 2a). These criteria were updated in the 1999 WHO classification [14], which added additional criteria including a high mitotic rate of greater than 11 mitoses (when 10 high-power fields of 2 mm2 were examined), extensive necrosis and immunohistochemical evidence of neuroendocrine differentiation. The selected cases also fulfill these additional criteria with all LCNECs in our series immunostaining positive for neuroendocrine markers (Figure 2b). The primary outcome of interest was to determine the overall survival in this rare patient group. The secondary outcome was to determine if having an adenoma in association with a LCNEC improves prognosis.




|
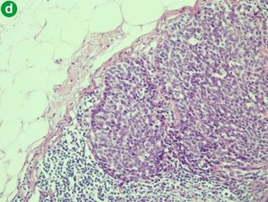
Figure 2. a. On high power magnification, the neoplastic cells are arranged in well defined solid nest and rosettes with oval vesicular nuclei containing occasional prominent nucleoli. Areas of necrosis are present. b. Tumour cells show strong immunohistochemical detection for synaptophysin. c. Large cell neuroendocrine carcinoma of the ampulla of Vater (top left of field), which is adjacent to a residual villous adenoma of the ampulla with low grade dysplasia (bottom of field). d. Regional lymph node metastasis. Magnifications: 200x, 200x, 20x, and 200x for a., b., c., and d., respectively). |
A database was constructed including: patient demographics; number of lymph nodes positive for metastases; sites of metastases; presence of a concomitant adenoma or other invasive component and the Ki-67 index of the tumour. We assessed patient status as no evidence of disease, alive with disease, and all cause mortality. The follow-up was recorded in months. The authors of the papers were contacted where data relevant to our study was not provided in the publication.
STATISTICS
A Kaplan-Meier curve was constructed to compare those ampullary LCNECs with and without associated adenomata. Log rank was used in the comparison with specific attention to the limited numbers available. The statistical analysis was made by means of the IBM SPSS (Armonk, NY, USA; version 18).
RESULTS
A total of 20 cases of LCNEC of the ampulla of Vater, including one case (AMNCH case) that presented to our institution, were identified.
Our incident case presented with obstructive jaundice. Hepatobiliary ultrasonography (US), magnetic resonance cholangiopancreatography (MRCP) and contrast computerised tomography of the abdomen (CT) showed intra- and extra-hepatic bile duct dilatation, with a possible obstructing lesion at the ampulla of Vater. Endoscopic retrograde cholangiopancreatography (ERCP) showed an ulcerated irregular ampulla of Vater. Biopsy was positive for poorly differentiated adenocarcinoma, favouring ductal type. The patient underwent a pancreaticoduodenectomy. Histological examination of the surgical specimen confirmed a high-grade large cell neuroendocrine carcinoma of the ampulla of Vater, arising in association with an ampullary adenomatous polyp. He subsequently underwent four cycles of adjuvant chemotherapy (cisplatin, etoposide, mannitol). Sixteen months post-chemotherapy he was diagnosed with liver metastases. He is currently being considered for liver resection of the neuroendocrine tumour metastases on a supra-selected basis.
Table 1 provides a summary of the main clinical and pathological findings. The patients included 11 men and 9 women, ranging in age from 44 to 84 years (mean age 63 years). Four patients (20.0%) presented below the age of 50 years. All patients received surgical intervention with a pancreaticoduodenectomy. Six of the 20 patients (30.0%) received adjuvant chemotherapy. Four of the 6 patients (66.7%) who received adjuvant chemotherapy died of disease with a mean survival of 10.3 months. One patient received palliative radiation.
Overall, 13 of 17 (76.5%) patients with available follow up (range of follow up: 4-30 months) died of disease with a mean survival of 11.8 months despite complete surgical resection with pancreaticoduodenectomy. Three patients were alive with no evidence of disease at 1, 10 and 17 months, respectively. The patient who presented at our institution is alive with liver metastases at 20 months.
The patient presenting at our institution (Table 1; AMNCH case) had a villous adenoma associated with the LCNEC (Figure 2c). An associated adenoma was also found in 4 of the reported cases in the literature. The median survivals approximate 15 months for those with associated adenoma and 11 months without. This is not a statistically significant difference (Figure 3; Log rank P=0.420).

|
Figure 3. Overall survival (death for all causes) with and without documented associated adenoma. Given the low overall number the survival curve is a crude indicator only (n=17; Log rank, P=0.420). |
Apart from adenomata, some other tumours had carcinoma associations. The LCNEC described by Liu et al. [1] was associated with an adenocarcinoma. Sunrose et al. [15] described a patient who had an adenocarcinoma with a squamous cell component associated with a LCNEC.
Lymph nodes were positive for metastases in 15 out of 17 cases (88.2%; Figure 2d), with a mean number of 2.2 nodes involved. The Ki-67 index was recorded in 4 cases, ranging from 41 to 90%. The commonest site of distant metastasis was the liver, with 8 out of 10 cases (80.0%) with recorded metastatic status being positive for liver metastasis. Other documented sites of metastasis were the peritoneum and bone.
DISCUSSION
Large cell neuroendocrine carcinomas of the ampulla of Vater are uncommon [2] and confer a poorer prognosis than both carcinoids and adenocarcinomas [16]. In a USA population-based study by Albores-Saavedra et al. [2], 6,081 cases of malignant neoplasms of the ampulla of Vater were reported between 1973 and 2006. Of these, 57 were high-grade neuroendocrine carcinomas (HGNECs), including only 6 LCNECs which were not discussed separately (hence unable to be included in our analysis). This leads to a very limited data set upon which to extrapolate adjuvant strategies for LCNECs.
In our pooled analysis, 76% of patients died with a mean survival of less than 12 months with the majority of patients developing metastases. Most patients had lymph nodes positive for metastases, further supporting that these tumours behave in an aggressive fashion. These results confirm the extremely poor prognosis associated with these tumours. Surgical resection was performed in all cases and, despite complete surgical resection, survival data in our pooled series is dismal.
The correct diagnosis and treatment of neuroendocrine tumours remains a challenge [17]. Biopsies obtained by ERCP may only achieve an accurate pre-operative diagnosis in approximately 14% of cases [18]. Often, these tumours are submucosal and therefore are undetectable in biopsy specimens [19]. In the case that presented to our institution, the pre-operative diagnosis, made by ERCP, was of poorly differentiated adenocarcinoma. After immunohistochemical analysis of the surgical specimen, the diagnosis was confirmed as LCNEC. Thus, this emphasises that the correct diagnosis is usually made after examination of the surgical specimen using histological and immunohistochemical techniques [1]. In a series of HGNECs of the ampulla of Vater by Nassar et al. [9], adenomas were associated with half of the cases. Nassar et al. [9] reported 14 cases of HGNECs, of which 8 were LCNECs. Three of these cases of LCNECs were associated with concomitant adenomas. It has been proposed that this may indicate a common pathological origin for HGNECs and adenocarcinomas of the ampulla of Vater [4]. Due to the small number of reported cases of LCNECs associated with adenomas it is difficult to ascertain if there is an increase in survival in a patient with a LCNEC and a concomitant adenoma. As shown in the pooled series, 5 of the 14 cases with available data were associated with a concomitant adenoma. The median survivals approximate 15 months for those with associated adenoma and 11 months without. This is not a statistically significant difference and therefore difficult to draw any robust conclusion.
Surgical resection is the mainstay of treatment of neuroendocrine carcinomas and is currently the only treatment modality offering a potential cure [20]. All the patients in Table 1, including our incident case, underwent a pancreaticoduodenectomy. As LCNECs of the ampulla of Vater are so rare, there are no specific treatment strategies and all therapy must be individually tailored to the patient. Traditionally, first-line systemic adjuvant chemotherapy for high-grade, poorly differentiated neuroendocrine tumours is with cisplatin and etoposide [21]. In a study using these chemotherapeutic agents, a response rate of 67% was observed with a 19-month median survival [22]. Six of the 20 patients in Table 1 received adjuvant chemotherapy. Four patients who received adjuvant chemotherapy died of disease with a 10.3-month mean survival. The patient who presented to our institution received adjuvant chemotherapy and is alive with disease at 20-month follow up. Given this dismal data, there is an urgent need for more effective post-surgical adjuvant chemotherapy.
To date no studies have been done to establish optimal treatments for LCNECs of the ampulla of Vater, so currently we can only extrapolate data for other neuroendocrine carcinomas and apply it to patients presenting with LCNECs of the ampulla of Vater. As with LCNEC of the ampulla of Vater, LCNEC of the lung also carries a very poor prognosis [23]. Similarly, the optimal treatment for LCNEC of the lung has not yet been determined [24]. This said, it is known that surgical intervention alone is insufficient to treat pulmonary LCNECs [25] and it is necessary that patients receive adjuvant therapy [26].
Forty-six to 93% of patients with neuroendocrine tumours will have liver metastases at the time of diagnosis [27]. Patients who undergo a surgical liver resection usually have a more favourable outcome as compared with other therapies. Unfortunately only a small number of patients with metastatic neuroendocrine tumours are suitable surgical candidates [28].
In conclusion, the pooled case series of primary large cell neuroendocrine carcinomas of the ampulla of Vater confirms the rarity and poor prognosis associated with this disease. This limited data set provides no support that LCNECs of the ampulla of Vater behave in a more indolent way than non-ampullary LCNECs. There may be marginally improved prognosis if the LCNECs are associated with an adenoma but data sets are too small to confirm at present. More data and therapies, especially effective adjuvant chemotherapies, are urgently needed to help improve the survival rates of patients with LCNECs, a rare but aggressive tumour.
Received April 19th, 2012 – Accepted August 19th, 2012
Key words Ampulla of Vater; Carcinoma, Large Cell
Abbreviations AMNCH: Adelaide and Meath National Children’s Hospital; HGNEC: high grade neuroendocrine carcinoma; LCNEC: large cell neuroendocrine carcinoma
Conflict of interest None
Correspondence
Paul F Ridgway
Department of Surgery
Adelaide and Meath Hospital Incorporating National Children’s Hospital
Tallaght, Dublin 24
Ireland
Phone: +353-1.414.2000
Fax: +353-1.313.2212
E-mail:
ridgwayp@tcd.ie
References
1. Selvakumar E, Vimalraj V, Rajendran S, Balachandar TG, Kannon DG, Jeswanth S, et al. Large cell neuroendocrine carcinoma of the ampulla of Vater. Hepatobiliary Pancreat Dis Int 2006; 5:465-7. [PMID 16911952].
2. Albores-Saavedra J, Hart A, Chable-Montero F, Henson DE. Carcinoids and high-grade neuroendocrine carcinomas of the ampulla of Vater: a comparative analysis of 139 cases from the surveillance, epidemiology and end results program – a population based study. Arch Pathol Lab Med 2010; 134:1692-6. [PMID 21043824].
3. Cavazza A, Gallo M, Valcavi R, De Marco L, Gardini G: Large cell neuroendocrine carcinoma of the ampulla of Vater. Arch Pathol Lab Med 2003; 127:221-3. [PMID 12562240].
4. Shu TW, Lin CW, Lin SP, Lin CH, Wei CK, Yin WY et al. High-grade large cell neuroendocrine carcinoma concomitant with tubulovillous adenoma of the ampulla of Vater – a case report. Tzu Chi Med J 2006; 18:315-318.
5. Rindi G, Wiedenmann B. Neuroendocrine neoplasms of the gut and pancreas: new insights. Nat Rev Endocrinol 2011; 8: 54-64. [PMID 21808296].
6. Rindi G. The ENETS guidelines: the new TNM classification system. Tumori, 2010; 96:806-9. [PMID 21302636].
7. Liszka L, Pajak J, Mrowiec S, Zielinska-Pajak E, Golka D, Lampe P. Discrepancies between two alternative staging systems (European Neuroendocrine Tumor Society 2006 and American Joint Committee on Cancer/Union for International Cancer Control 2010) of neuroendocrine neoplasms of the pancreas. A study of 50 cases. Pathol Res Pract 2011; 207:220-4. [PMID 21354717].
8. Selvakumar E, Rajendran S, Balachandar TG, Kannan DG, Jeswanth S, Ravichandran P, et al. Neuroendocrine carcinoma of the ampulla of Vater: a clinicopathologic evaluation. Hepatobiliary Pancreat Dis Int 2008; 7: 422-425. [PMID 18693180].
9. Nassar H, Albores-Saavedra J, Klimstra DS. High-grade neuroendocrine carcinoma of the ampulla of Vater: a clinicopathological and immunohistochemical analysis of 14 cases. Am J Surg Pathol 2005; 29: 588-94. [PMID 15832081].
10. Stojsic Z, Brasanac D, Bilanovic D, Mitrovic O, Stevanovic R, Boricic I. Large-cell neuroendocrine carcinoma of ampulla of Vater. Med Oncol 2010; 27:1144-8. [PMID 19898974].
11. Phillips B, Ball C, Sackett D, Badenoch D, Straus S, Haynes B, et al. Centre for Evidence Based Medicine: Levels of Evidence. Available from www.cebm.net. March 2009.
12. Travis WD, Linnoila RI, Tsokos MG, Hitchcock CL, Cutler GB Jr, Niemen L, et al. Neuroendocrine tumours of the lung with proposed criteria for large-cell neuroendocrine carcinoma. An ultrastructural, immunohistochemical, and flow cytometric study of 35 cases. Am J Surg Pathol 1991; 15:529-553. [PMID 1709558].
13. Travis WD, Rush W, Flieder DB, Falk R, Fleming MV, Gal AA, et al. Survival analysis of 200 pulmonary neuroendocrine tumors with clarification of criteria for atypical carcinoid and it's separation from typical carcinoid. Am J Surg Pathol 1998; 22:934-44. [PMID 9706973].
14. World Health Organisation Histological Typing of Lung and Pleural Tumours. 3rd edit. 1999 Springer Germany.
15. Sunrose Y, Ogawa T, Itoh H, Andoh T, Tomizawa N, Tanaka T, et al. Large cell neuroendocrine carcinoma of the ampulla of Vater with adenocarcinoma and squamous cell carcinoma components. Jpn J Clin Oncol 2011; 41: 434-9. [PMID 20947928].
16. Liu SH, Tsay SH. Coexistance of large cell neuroendocrine carcinoma and adenocarcinoma of the ampulla of Vater. J Chin Med Assoc 2008; 71:536-540. [PMID 18955190].
17. Gornals J, Varas M, Catala I, Maisterra S, Pons C, Bargallo D, et al. Definitive diagnosis of neuroendocrine tumours using fine-needle aspiration-puncture guided by endoscopic ultrasonography. Rev Esp Enferm Dig 2001; 103:123-8. [PMID 21434714].
18. Hatzitheoklitos E, Buchler MW, Friess H, Poch B, Ebert M, Mohr W, et al. Carcinoid of the ampulla of Vater. Clinical characteristics and morphological features. Cancer 1994; 73:1580-88. [PMID 8156484].
19. Hartel M, Wente MN, Bergmann F, Schmidt J, Buchler MW, Friess H. Large cell neuroendocrine carcinoma of the major duodenal papilla: case report. Gastrointest Endosc 2004; 60:838-41. [PMID 15557973].
20. Kang SP, Saif MW. Ampullary and Periampullary Tumors: Translational Efforts to Meet a Challenge in Diagnosis and Treatment. JOP. J Pancreas (Online) 2011; 12:123-125. [PMID 21386636].
21. Strosberg JR, Coppola D, Klimstra DS, Phan AT, Kulke MH, Wiseman GA et al. The NANETS Consensus Guidelines for the Diagnosis and Management of Poorly Differentiated (High-Grade) Extrapulmonary Neuroendocrine Carcinomas. Pancreas 2010; 39:799-800. [PMID 20664477].
22. Moertel CG, Kvols LK, O’Connell MJ et al. Treatment of neuroendocrine carcinomas with combined etposide and cisplatin. Evidence of major therapeutic activity in the anaplastic variants of these neoplasms. Cancer 1991; 68:227-232. [PMID 1712661].
23. Iyoda A, Hiroshima K, Nakatani Y, Fujisawa T. Pulmonary Large Cell Neuroendocrine Carcinoma: Its Place in the Spectrum of Pulmonary Carcinoma. Ann Thorac Surg 2007; 84:702-7. [PMID 17643676].
24. Hage R, Seldenrijk K, de Bruin P, van Swieten H, van den Bosch J. Pulmonary large-cell neuroendocrine carcinoma (LCNEC). Eur J Cardiothorac Surg 2003; 23:457-60. [PMID 12694759].
25. Cooper WA, Thourani VH, Gal AA, Lee RB, Mansour KA, Miller JI. The surgical spectrum of pulmonary neuroendocrine neoplasms. Chest 2001; 119:14-8. [PMID 11157578].
26. Kozuki T, Fujimoto N, Ueoka H, et al. Complexity in the treatment of pulmonary large cell neuroendocrine carcinoma. J Cancer Res Clin Oncol 2005; 131:147-51. [PMID 15538626].
27. Frilling A, Sotiropoulos GC, Li J, Kornasiewicz O, Plockinger U. Multimodal management of neuroendocrine liver metastases. HPB 2010; 12:361-379. [PMID 20662787].
28. Harring TR, Nguyen TN, Goss JA, O’Mahony CA. Treatment of liver metastases in patients with neuroendocrine tumors: A comprehensive review. Int J Hepatol 2011. [PMID 22013537].
29. Cheng SP, Yang TL, Chang KM, Liu CL. Large cell neuroendocrine carcinoma of the ampulla of Vater with glandular differentiation. J Clinical Pathol 2004; 57:1098-100. [PMID 15452169].
30. Huang SS, Jan YJ, Cheng SB, Yeh DC, Wu CC, Liu TJ, P’eng FK. Large cell neuroendocrine carcinoma of the ampulla of Vater: Report of a case. Surg Today 2006; 36:1032-5. [PMID 17072731].