CASE REPORT
Aggressive Surgical Management of Recurrent Lymph Node and Pancreatic Head Metastases of Resected Fibrolamellar Hepatocellular Carcinoma: A Case Report
Maciej Wojcicki1,2, Jerzy Lubikowski1, Mariola Post1, Tomasz Chmurowicz1, Anna Wiechowska-Kozlowska3, Marek Krawczyk4
1Department of Hepatobiliary Surgery and Liver Transplantation, Marie Curie Hospital; 2Liver Unit, Pomeranian Medical University; 3Department of Endoscopy, MSWiA Hospital. Szczecin, Poland. 4Department of General, Transplant and Liver Surgery, Medical University of Warsaw. Warsaw, Poland
ABSTRACT
Context Fibrolamellar hepatocellular carcinoma is a rare liver tumor with the propensity to metastasize to the lymph nodes months or years after initial surgery. However, its metastatic spread to the pancreas was previously reported only in a child. Case report We present an unusual case of a young female patient who was repeatedly treated by surgical excision of abdominal and mediastinal lymph node recurrences between 2 and 6 years after left hepatic lobectomy for fibrolamellar hepatocellular carcinoma. At 8 years following her initial surgery, the patient was diagnosed with pancreatic head metastasis and a pancreaticoduodenectomy was performed. Postoperative course was uneventful and the patient did not experience recurrence within the last 18 months. Conclusion The metastasis of fibrolamellar hepatocellular carcinoma to the pancreas is highly exceptional but possible and its excision appears warranted as well.
INTRODUCTION
Fibrolamellar hepatocellular carcinoma is an uncommon variant of hepatocellular carcinoma which was first described by Edmondson et al. in 1956 [1]. Unlike conventional hepatocellular carcinoma, which is mostly diagnosed after the age of 40 in viral hepatitis or cirrhosis, fibrolamellar hepatocellular carcinoma usually occurs in young individuals between the 2nd and 3rd decade of life with no liver disease [2, 3]. It is also diagnosed with equal frequency in men and women, as opposed to conventional hepatocellular carcinoma being found around 4 times more often in men. In addition, elevations of alpha-fetoprotein levels are uncommon with fibrolamellar hepatocellular carcinoma [2, 3, 4].
Fibrolamellar hepatocellular carcinoma is detected at a localized and resectable stage more often than conventional hepatocellular carcinoma [4] and longer disease-free intervals and prolonged survival after recurrence in patients with fibrolamellar hepatocellular carcinoma, as compared to those with non-fibrolamellar hepatocellular carcinoma, have been demonstrated [2, 3, 4]. The prognosis is also better with prolonged survival but a high relapse rate with metachronous metastasis, including lymph node recurrence observed in around 50% of cases [5, 6, 7]. We report a unique case of the young female patient who was repeatedly treated by surgical excision of abdominal and thoracic lymph node recurrences between 2 and 6 years following left hepatic lobectomy for fibrolamellar hepatocellular carcinoma. She was finally diagnosed with pancreatic head metastasis at 8 years of follow-up, for which pancreaticoduodenectomy was successfully performed. To our best knowledge, the metastatic spread of fibrolamellar hepatocellular carcinoma to the pancreas was previously reported only once in a child [8]. Herein we report the second case of an adult patient with fibrolamellar hepatocellular carcinoma metastasis to the head of the pancreas.
CASE REPORT
A 28-year-old woman underwent a left hepatic lobectomy for a large (15x9 cm) fibrolamellar hepatocellular carcinoma at the Department of General, Transplant and Liver Surgery, Medical University of Warsaw in April 2002. Prior to surgery, the patient�s biochemical liver function tests were all normal and hepatitis serology was negative including HBsAg, HBeAg, anti-HBc and anti-HCV. Alpha-fetoprotein was 3.2 IU/mL (reference range: 0-12 IU/mL). During surgery, the lymph nodes of the liver hilum, hepatic artery, celiac trunk, as well as the periaortic and pericaval nodes, were all removed. The pathological examination showed the metastases of fibrolamellar hepatocellular carcinoma in one of the six lymph nodes of the liver hilum and in a block of pericaval nodes (5x2.5 cm) as well. After surgery the patient was followed with routine check-up CT scans performed every 6 months at the Department of Radiology, Marie Curie Hospital in Szczecin, Poland.
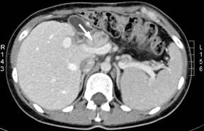
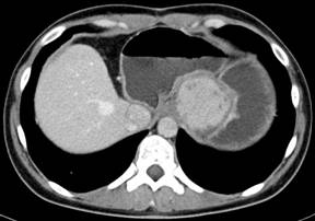
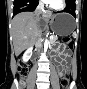
Based on this, 23 months after initial operation of the patient two recurrent metastatic fibrolamellar hepatocellular tumors were for the first time found and excised at the Department of Hepatobiliary Surgery and Liver Transplantation, Marie Curie Hospital in Szczecin, Poland where the surgical treatment was continued. The recurrences were located in the lymph nodes adjacent to the pancreatic head (6x5 cm) and in the left retroperitoneal space (7x6 cm). Eighteen months later, a tumor (3x3.5 cm) located within the hepatoduodenal ligament and compressing the portal vein was detected (Figure 1). The treatment consisted of a local tumor excision combined with a Roux-en-Y hepaticojejunostomy, as the transection of the common bile duct was necessary for complete tumor removal. The pathologic examination confirmed the diagnosis of metastatic fibrolamellar hepatocellular carcinoma. Sixteen months after the third operation, another metastatic fibrolamellar hepatocellular tumor (5x4 cm) was found (Figure 2) and excised from the space located between the lesser curvature of the stomach and the left diaphragm. This was followed by a CT scan detecting an isolated left intrathoracic nodule 13 months after the fourth operation. The tumor measured about 4 cm in diameter and was located directly above the diaphragm and very close to the caval vein (Figure 3). Resection of this nodule was done at 72 months of follow-up using a left posterior thoracotomy and the pathologic diagnosis of metastatic fibrolamellar hepatocellular carcinoma was confirmed.

|
Figure 1. Abdominal CT scan performed at 41 months of follow-up showing lymph node recurrence within the hepatoduodenal ligament (arrow) which is compressing the portal vein. |

|
Figure 2. Abdominal CT scan showing a tumor located between the lesser curvature of the stomach and the left diaphragm which was diagnosed 57 months following initial surgery. |

|
Figure 3. CT scan demonstrating an isolated intrathoracic nodule (arrow) located directly above the diaphragm and close to the caval vein at 72 months of follow-up. |
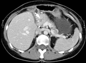
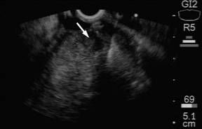
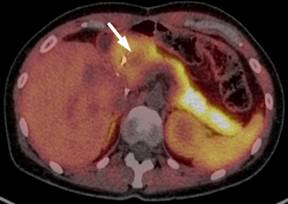
On the following abdominal CT scans performed between 90 and 95 months of follow-up, gradual enlargement of the pancreatic head with the suspicion of a tumor was noted (Figure 4). This was confirmed by both endoscopic ultrasound (Figure 5) and 11C-acetate PET/CT scan (Figure 6). Moreover, microscopic examination of the fine-needle aspirate of the pancreatic head tumor obtained during endoscopic ultrasound showed the presence of atypical hepatocytes within the tumor. In view of this, the patient was accepted for surgical treatment again and pancreaticoduodenectomy with the �uncut Roux� reconstruction was successfully performed at 97 months since the initial surgery. The pathologic examination revealed the diagnosis of a metastatic fibrolamellar hepatocellular carcinoma of the head of the pancreas. The postoperative course was uneventful and the patient did not experience recurrence within the last 18 months after pancreaticoduodenectomy. Following five laparotomies and one thoracotomy for fibrolamellar hepatocellular carcinoma and its recurrences, the patients remains well at the overall follow-up of 114 months at present.

|
Figure 4. Enlargement of the head of the pancreas (arrow) revealed by abdominal CT scan at 95 months of follow-up. |

|
Figure 5. Endoscopic ultrasound of the pancreatic head tumor (arrow). |

|
Figure 6. 11C-acetate PET/CT scan showing a decreased uptake of the tracer within the pancreatic head (arrow) as compared to the remaining pancreatic tissue suggesting the presence of a pancreatic head tumor. |
DISCUSSION
Fibrolamellar hepatocellular carcinoma is a slow-growing and rare tumor for which only surgical treatment, whenever possible, proves to be effective. This results in a 5-year survival rate of 37-76% depending mainly on the TNM staging components and its negative predictive factors, i.e. multiple tumors, vascular invasion, and positive lymph node status at the time of initial surgery [2, 9, 10]. Despite a relatively indolent tumor biology, fibrolamellar hepatocellular carcinoma commonly recurs after complete surgical resection and the sites of recurrence include the liver, regional lymph nodes, peritoneum, bones and lungs [11]. Lymph nodes remain the most frequent site of metachronous metastatic spread, which is observed in 24-57% of patients [6, 9, 10]. This is in favor of routine lymph node excision during the first procedure in order to minimize the risk of recurrence later on. Such a relapse took place in our patient repeatedly within the nodes of abdominal cavity (Figures 1 and 2) and the mediastinum as well (Figure 3). This occurred despite systematic dissection and excision of regional lymph nodes at the time of initial surgery, when the presence of synchronous metastases within the hilar and pericaval lymph nodes was also confirmed. The patient was each time accepted for surgery and the recurrent nodal tumors were repeatedly excised between the 2nd and 6th year of follow-up. The reason for high rate of lymph node metastasis in case of fibrolamellar hepatocellular carcinoma compared with the conventional hepatocellular carcinoma is unknown. Usually, it may be due to a larger tumor size of fibrolamellar hepatocellular carcinoma at presentation. The cirrhotic process itself may also inhibit lymphatic outflow and subsequent formation of lymph node metastases in case of the conventional hepatocellular carcinoma [11].
The presented case confirms that fibrolamellar hepatocellular carcinoma has a propensity to metastasize not only to abdominal but to thoracic lymph nodes as well. However, the lymph node metastases to the mediastinum in this type of hepatic malignancy are rarely reported [5, 12, 13, 14]. They result from an upward lymphatic drainage of the liver along the aorta and inferior cava vein as well. Close surveillance for recurrent abdominal and also thoracic fibrolamellar hepatocellular tumors is indicated, as recurrence may be found months or years after initial surgery in an asymptomatic patient. Once it is found, an aggressive surgical approach with resection of isolated metastases appears justified as long as radical resection of recurrence is possible.
The metastatic pattern of fibrolamellar hepatocellular carcinoma is similar to conventional hepatocellular carcinoma with spread to regional lymph nodes, peritoneum, bones, lung and spleen [2, 11, 12, 15]. However, to the best of our knowledge metastatic spread of fibrolamellar hepatocellular carcinoma to the pancreas was previously reported in one case only, as a synchronous metastasis found in a child [8]. In view of this, the presented case is the first report of fibrolamellar hepatocellular carcinoma metastasis to the pancreas in an adult patient.
CONCLUSION
The presented case confirms that fibrolamellar hepatocellular carcinoma has the propensity to metastasize to the abdominal and mediastinal lymph nodes months or years after initial surgery. Therefore, close surveillance with imaging of abdominal and thoracic cavity is indicated. Resection of recurrences should always be considered given the relatively indolent tumor biology and lack of alternative treatment options. The metastasis of fibrolamellar hepatocellular carcinoma to the pancreas is highly exceptional but possible and its excision appears warranted as well.
Received April 29th, 2012 - Accepted June 27th, 2012
Key words Fibrolamellar hepatocellular carcinoma; Lymphatic Metastasis; Neoplasm Metastasis; Pancreas
Note Drs. Wojcicki and Lubikowski equally contributed to the preparation of the manuscript
Conflict of interest The authors have no potential conflict of interest
Correspondence
Maciej Wojcicki
Department of Hepatobiliary Surgery and Liver Transplantation
Marie
Curie Hospital
Ul. Arkonska 4
71-455 Szczecin
Poland
Phone: +48-91.813.9415
Fax: +48-91.813.9410
E-mail:
drmwojcicki@wp.pl
References
2. Craig JR, Peters RL, Edmondson HA, Omata M. Fibrolamellar carcinoma of the liver: A tumor of adolescents and young adults with distinctive clinico-pathologic features. Cancer. 1980;46:372-9.
3. McLarney JK, Rucker PT, Bender GN, Goodman ZD, Kahitani N, Ros PR. Fibrolamellar carcinoma of the liver: Radiologic-pathologic correlation. Radiographics. 1999;19:453-71.
4. El Serag HB, Davila JA. Is fibrolamellar carcinoma different from hepatocellular carcinoma? A US population-based study. Hepatology. 2004;39:798-803.
5. Tsilvidis B, Huet E, Lubrano J, Lacaze L, Lestrat JP, Francois A, et al. Late supradiaphragmatic lymph node recurrence following resection of fibrolamellar hepatocarcinoma: an unusual case. Surg Radiol Anat. 2010;32:123-127.
6. Stipa F, Yoon SS, Liau KH, Fong Y, Jarnagin WR, D'Angelica M, et al. Outcome of patients with fibrolamellar hepatocellular carcinoma. Cancer. 2006;106 (6):1331-8.
7. Ichikawa T, Federle MP, Grazioli L, Marsh W. Fibrolamellar hepatocellular carcinoma: pre- and posttherapy evaluation with CT and MR imaging. Radiology. 2000;217 (1):145-51.
8. Thirabanjasak D, Sosothikul D, Mahayosnond A, Thorner PS. Fibrolamellar carcinoma presenting as a pancreatic mass: case report and review of the literature. J Pediatr Hematol Oncol. 2009;31:370-2.
9. Ringe B, Wittekind C, Weimann A, Tusch G, Pilchmayr R. Results of hepatic resection and transplantation for fibrolamellar carcinoma. Surg Gynecol Obstet. 1992;175:299-305.
10. Pinna AD, Iwatsuki S, Lee RG, Todo S, Madariaga JR, Marsh JW, et al. Treatment of fibrolamellar hepatoma with subtotal hepatectomy or transplantation. Hepatology 1997; 26 (4), 877-883.
11. Kakar S, Burgart LJ, Batts KP, Garcia J, Jain D, Ferrell LD. Clinicopathologic features and survival in fibrolamellar carcinoma: comparison with conventional hepatocellular carcinoma with and without cirrhosis. Mod Pathol. 2005;18 (11):1417-23.
12. Sarode VR, Castellani R, Post A. Fine-needle aspiration cytology and differential diagnoses of fibrolamellar hepatocellular carcinoma metastatic to the mediastinum: case report. Diagn Cytopathol. 2002;26:95-8.
13. Ichiki Y, Sugio K, Baba T, Mizukami M, Oga T, Takenoyama M, et al. Mediastinal metastasis from a fibrolamellar hepatocellular carcinoma: report of a case. Surg Today. 2010;40:360-4.
14. Crowe A, Knight CS, Jhala D, Bynon SJ, Jhala NC. Diagnosis of metastatic fibrolamellar carcinoma by endoscopic ultrasound-guided fine needle aspiration. CytoJournal. 2011; doi: 10.4103/1742-6413.76495.
15. Epstein BE, Pajak TF, Haulk TL, Herpst JM, Order SE, Abrams RA. Metastatic nonresectable fibrolamellar hepatoma: prognostic features and natural history. Am J Clin Oncol. 1999;22:22-8.