CASE REPORT
JOP. J Pancreas (Online) 2012 Jul 10; 13(4):454-457.
Sarcoidosis and Sarcoid-Like Reaction Associated with Pancreatic Malignancy: Are You Able to Read a Riddle?
Marianna Mastroroberto1, Sonia Berardi1, Lucilla Fraticelli1, Paolo Pianta1, Giorgio Ercolani2, Alessandra Cancellieri3, Claudia Sama1
1Unit of Liver Transplantation, Department of Digestive Diseases and Internal Medicine, and 2Department of Emergency/Urgency, General Surgery and Transplantation, Sant’Orsola-Malpighi Hospital, Alma Mater Studiorum - University of Bologna; 3Anatomy, Histology and Cytodiagnostics, Maggiore Hospital. Bologna, Italy
ABSTRACT
Context The sarcoidosis is an idiopathic multisystem inflammatory disease characterized by the presence of non-caseating granulomas in the affected organs. The clinical picture includes non-specific systemic symptoms and organ-specific symptoms, but it is frequently asymptomatic. Although not fully understood, a clear association between sarcoidosis and malignancies has been reported. In neoplastic patient, beside classical sarcoidosis, cases of sarcoid-like reaction have been extensively described, a condition characterized by the presence of non-caseating granulomas in the lymph nodes draining the tumor or, less commonly, in the distant lymph nodes; this is considered a benign non progressive condition, potentially regressive following neoplasm eradication. Case report We report the first case of sarcoidosis/sarcoid-like reaction associated with neuroendocrine tumors of the pancreas. Conclusion This clinical case highlights the difficulty and importance of differential diagnosis of lymphadenopathy in the management of neoplastic disease, and in view of the evolving clinical picture, if a distinction between sarcoidosis and sarcoid-like reaction is a clinical reality or if they is just represent different stage of the same disease. Therefore, we believe that a follow-up is necessary even in case of sarcoid-like reaction, since no data are reported in the literature on the long-term of this condition once treated the associated tumor.
INTRODUCTION
Sarcoidosis is an idiopathic multisystem inflammatory disease that predominantly affects the intrathoracic lymph nodes, the lungs, the skin and the eyes, characterized by the presence of non-caseating granulomas in the affected organ tissue. The clinical picture include systemic and organ-specific symptoms; however, in the majority of cases it is diagnosed in asymptomatic patients, based on the finding of hilar adenopathy on chest radiography performed for other reasons.
Sarcoidosis has been reported to be associated with acute or chronic pancreatitis. In addition, the association with pancreatic neoplasms has never been reported. In fact, in a previous study authors found an incorrect diagnosis of pancreatic neuroendocrine tumor in a patient having sarcoidosis. Thus, we believe worthy to report the first case of association of sarcoidosis and neuroendocrine tumor.
CASE REPORT
In December 2009 a 52-year-old man, whose past history was uneventful, was admitted to our department because of right femoral-popliteal thrombosis. He was not drinker or smoker.
The chest angio-computed tomography (CT) showed a filling thromboembolic defect in the pulmonary artery and an important hilar and mediastinal lymphadenopathy, both predominant on the right side. There were no observed active parenchymal lesions. An anticoagulant therapy was started.
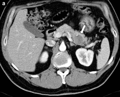
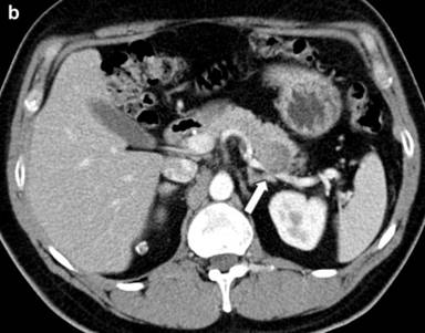
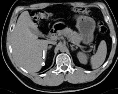
Further etiological investigations were performed, including an abdominal CT which showed a solid mass of 40 mm of diameter with small parietal eccentric calcification located in the body-tail of the pancreas (Figure 1a), encompassing the splenic artery (Figure 1b). Lymph nodes along the small gastric curve, in the inter-aortic and left para-aortic cable, and a calcified lymph node in the lower edge of the liver were also present (Figure 2). No alterations of the other parenchymal organs were detected. A suspicion of pancreatic cancer was pose, although the CA 19-9 was negative (1.6 U/mL; reference range: 0-37 U/mL).


|
Figure 1. CT shows a solid mass of 40 mm of diameter with small parietal eccentric calcification located in the body-tail of the pancreas (a.) and encompassing the splenic artery (b.) |

|
Figure 2. Calcified lymph node in the lower edge of the liver. |
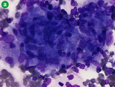
The patient also underwent a fine needle aspiration biopsy of the paratracheal subcarinal and hilar lymph nodes, which resulted negative for neoplastic cells, showing the presence of epithelioid granulomas suggestive of nodular sarcoidosis (Figure 3). A work-up for sarcoidosis was then carried out in order to make a differential diagnosis between pancreatic cancer associated with an atypical sarcoid-like reaction, or the presence of a pancreatic granuloma in the context of a systemic sarcoidosis. No ophthalmic or skin involvements at specific examinations were seen and angiotensin converting enzyme was within the reference range of our laboratory (10 µg/L; reference range: 6.1-21.1 µg/L).


|
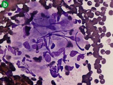
Figure 3. Transbronchial needle aspiration was performed on mediastinal lymph nodes. The cytological picture consists of granulomas on a background of small, mature lymphocytes. Granulomas appear as small aggregates of epithelioid histiocytes, with relatively sharp borders. The background is clean with no appreciable necrosis. May-Grundwald Giemsa, (a. original magnification 600x); and the same appearance is observed in Diff Quik® (Diff-Quick Staining Protocol. Prepared by Roy Ellis: IMVS Division of Pathology, The Queen Elizabeth Hospital; Woodville, South Australia, Australia) stain for rapid-on-site-examination. A small, well defined granuloma is visible on a clear background (b. original magnification 600x). |
Thus, in February 2010 the patient underwent surgery and a distal pancreatectomy associated with splenectomy was performed. Histological examinations revealed a well-differentiated endocrine tumor of the pancreas infiltrating the adjacent parenchyma and the peripancreatic tissue. A perivisceral lymph node revealed aspects of carcinomatous lymphangitis; 11 out 12 lymph nodes histologically examined were reactive.
No postoperative complications were seen, and the patient was discharged 10 days after surgery.
One month later, the follow-up CT revealed a post surgical collection in the pancreatic body, a significant improvement of the pulmonary artery thromboembolic picture and a moderate reduction of the mediastinal lymphadenopathy; no lung involvement was present. The positron emission tomography with 68Ga-DOTANOC revealed the presence of mediastinal lymph nodes compatible with the diagnosis of sarcoidosis.
The follow-up CT performed in October 2010 showed the appearance of a ground-glass area in the lung parenchyma in correspondence of the medium lobe with micronodular interstitial thickening, referred to sarcoidosis stage II. At the last follow-up CT in December 2011, the radiological picture was unchanged. The patients remained asymptomatic and had no need of any treatment except the troleandomycin for thrombotic disease.
DISCUSSION
Although the etiologic mechanisms are still not completely explained, the correlation between malignant tumors and sarcoidosis/sarcoid-like reaction is clearly established. Hematological malignancies are the most frequently neoplasms associated with sarcoidosis. The relationship between sarcoidosis and solid tumors is less frequent; the strongest association is described with adenocarcinoma of the lung, although other cancers have also been reported. In about 76% of cases, the diagnosis of sarcoidosis preceded the detection of neoplasm, leading to the hypothesis that the immune system dysfunction and the tissue chronic inflammation characterizing sarcoidosis can promote cancer development. However, it has been also reported cases in which diagnosis of cancer precedes the development of sarcoidosis, as well as cases of concomitant diagnosis. Sarcoid-like reaction occurs more frequently in regional lymph nodes (“typical sarcoid-like reaction”), and is believed to represent a T cell-mediated immune response to soluble antigenic factors shed by the tumoral cells. However, cases of sarcoid-like reaction in distant lymph nodes have been observed (“atypical sarcoid-like reaction”).
The association between sarcoidosis/sarcoid-like reaction and cancer raises two types of problems.
First of all, lymph nodes involved by sarcoidosis can be misdiagnosed as metastatic lymphadenopathy, leading to a conservative cancer management when surgery could be curative.
Once confirmed the presence of non-caseating granulomas in the involved lymph nodes, a differential diagnosis between sarcoidosis and sarcoid-like reaction might be useful, as the first condition may progress and may necessitate of specific therapy, while the latter is generally considered a non progressing condition and regressive with the treatment of cancer. Differential diagnosis in both situations can be difficult. In fact, sarcoidosis is frequently asymptomatic, and even if present systemic symptoms may be similar to the ones related to malignancy. For the same reason, systemic symptoms could be not helpful in distinguish between sarcoidosis and sarcoid-like reaction cancer related. The imaging examinations are not likewise useful for differential diagnosis between granulomatous and metastatic lymphadenopathy, as the conditions are radiologically and morphologically indistinguishable. A histological confirmation should be therefore obtained. Once the diagnosis of sarcoid granulomas has been done, searching for involvement of the eye, skin or lung parenchyma would lean toward the diagnosis of sarcoidosis rather than sarcoid-like reaction.
Herein we report the case of a man with a neuroendocrine pancreas cancer associated with non-caseating granulomas in mediastinal lymph-nodes. To our knowledge, this is the first case in literature reporting the association between sarcoidosis and this type of cancer. In our case, all the problems of differential diagnosis listed above occurred. During investigations for a right femoral-popliteal thrombosis, a pancreatic mass and mediastinal lymphadenopathy have been observed, in absence of other symptoms. A metastatic cancer was initially suspected, subsequently excluded from the result of the lymph nodes biopsy showing the non-caseating granulomas in the absence of neoplastic cells. Because of the absence of systemic symptoms and extranodal sited involvement, a diagnosis of concomitant atypical sarcoid-like reaction rather than sarcoidosis was made. This hypothesis seemed confirmed by the initially lymph node diameter reduction after successful surgical resection of the tumor. However, at the subsequent follow-up TC in the lung parenchyma a ground-glass area with micronodular interstitial thickening appeared, indicative of stage II sarcoidosis.
In conclusion, this is the first case of sarcoidosis/sarcoid-like reaction associated with a neuroendocrine tumor of the pancreas, and to our knowledge is the first case of a sarcoid-like reaction evolved to sarcoidosis, suggesting that probably these two conditions represent the two opposite of a continuum spectrum, and that patients diagnosed with sarcoid-like reaction should be monitorized also for this evolutive risk, regardless of the healing of the tumor.
Received May 16th, 2012 - Accepted May 17th, 2012
Key words Granulomatous Disease, Chronic; Neuroendocrine Tumors; Pancreatic Neoplasms, Sarcoidosis
Conflict of interest There are no potential conflicts against any of the authors
Correspondence
Marianna
Mastroroberto
Dipartimento di
Malattie dell’Apparato Digerente e Medicina Interna
U.O. S.S.D. Trapianto di Fegato
Alma Mater Studiorum - Università di Bologna
Via Albertoni, 15
40139 Bologna
Italy
Phone: +39-051.636.2229
Fax: +39-051.636.4121
E-mail: marianna.mastroroberto@gmail.com
References
1. Gottlieb JE, Israel HL, Steiner RM, Triolo J, Patrick H. Outcome in sarcoidosis. The relationship of relapse to corticosteroid therapy. Chest. 1997;111(3):623-31. [PMID: 9118698]
2. Gupta D, Agarwal R, Singh A, Joshi K. A “respiratory” cause of abdominal pain. The European respiratory journal : official journal of the European Society for Clinical Respiratory Physiology. 2006;27(2):430-3. [PMID: 16452602]
3. Cronin CC, Dinneen SF, Mitchell TH, Shanahan FL. Sarcoidosis, the pancreas, and diabetes mellitus. The American journal of gastroenterology. 1995;90(11):2068. [PMID: 7485034]
4. Boruchowicz A, Wallaert B, Cortot A, et al. Idiopathic acute pancreatitis and sarcoidosis. Gastroentérologie clinique et biologique. 1995;19(4):439-41. [PMID: 7672529]
5. Peters MJ, Jones MG, Moulton J, Breslin AB. Sarcoidosis presenting as recurrent alcohol-induced pancreatitis. The Medical journal of Australia. 1990;153(2):104-5. [PMID: 2366688]
6. McCormick PA, O’Donnell M, McGeeney K, et al. Sarcoidosis and the pancreas. Irish journal of medical science. 1988;157(6):181-3. [PMID: 2460419]
7. Adsay NV, Basturk O, Klimstra DS, Klöppel G. Pancreatic pseudotumors: non-neoplastic solid lesions of the pancreas that clinically mimic pancreas cancer. Seminars in diagnostic pathology. 2004;21(4):260-7. [PMID: 16273945]
8. Peyré CG, Wakim M, Mateo R, et al. Unusual cases of jaundice secondary to non-neoplastic bile duct obstruction. The American surgeon. 2004;70(7):620-4. [PMID: 15279187]
9. Boruchowicz A, Hachulla E, Cortot A, Paris JC, Colombel JF. Chronic pancreatitis: a complication of sarcoidosis? European journal of gastroenterology & hepatology. 1996;8(11):1125-7. [PMID: 8944378]
10. Koopmans PP, Bodeutsch C, de Wilde PC, Boerbooms AM. Primary Sjögren’s syndrome presenting as a case of sarcoidosis and a suspected pancreatic tumour. Annals of the rheumatic diseases. 1990;49(6):407-9. [PMID: 2383067]
11. Stürmer J, Becker V. Granulomatous pancreatitis--granulomas in chronic pancreatitis. Virchows Archiv. A, Pathological anatomy and histopathology. 1987;410(4):327-38. [PMID: 3101282]
12. Romboli E, Campana D, Piscitelli L, et al. Pancreatic involvement in systemic sarcoidosis. A case report. Digestive and liver disease : official journal of the Italian Society of Gastroenterology and the Italian Association for the Study of the Liver. 2004;36(3):222-7. [PMID: 15046194]
13. Bajetta E, Catena L, Ducceschi M, et al. Pitfalls in the diagnosis of neuroendocrine tumors: atypical clinical and radiological findings as cause of medical mistakes. Tumori. 95(4):501-7. [PMID: 19856664]
14. Noone PG, O’Briain DS, Luke D, Clancy L. Adenocarcinoma of the lung in association with chronic sarcoidosis. Irish medical journal. 1993;86(1):27-8. [PMID: 8444590]
15. Alexandrescu DT, Kauffman CL, Ichim TE, et al. Cutaneous sarcoidosis and malignancy: An association between sarcoidosis with skin manifestations and systemic neoplasia. Dermatology online journal. 2011;17(1):2. [PMID: 21272493]
16. Kurata A, Terado Y, Schulz A, Fujioka Y, Franke FE. Inflammatory cells in the formation of tumor-related sarcoid reactions. Human pathology. 2005;36(5):546-54. [PMID: 15948122]
17. Pandha HS, Griffiths H, Waxman J. Sarcoidosis and cancer. Clinical oncology (Royal College of Radiologists (Great Britain)). 1995;7(5):277-8. [PMID: 8580051]
18. Brincker H. Sarcoid reactions in malignant tumours. Cancer treatment reviews. 1986;13(3):147-56. [PMID: 3536088]
19. Robert C, Schoenlaub P, Avril MF, et al. Malignant melanoma and granulomatosis. The British journal of dermatology. 1997;137(5):787-92. [PMID: 9415243]