ORIGINAL ARTICLE
JOP. J Pancreas (Online) 2013 May 10; 14(3):228-236.
Effects of Fungal Pancreatic Enzymes on the Function of Islet Cells in Syrian Golden Hamsters
Fumiaki Nozawa1,2, Mehmet Yalniz1, Murat Saruc1,3, Jens Standop1,4, Hiroshi Egami2, Parviz M Pour1,5
1Eppley Institute for Research in Cancer and Allied Diseases. Omaha, NE, USA. 2Department of Gastroenterological Surgery, Graduate School of Medical Science, Kumamoto University. Kumamoto, Japan. 3Division of Pancreaticobiliary Diseases, Department of Gastroenterology and Hepatology, Acibadem Hospital, Harvard Medical International. Bakirkoy, Istanbul, Turkey. 4Department of Surgery, Rheinsche Friedrichi-Wilhelms-University. Bonn, Germany. 5Department of Pathology and Microbiology, University of Nebraska Medical School. Omaha, NE, USA
ABSTRACT
Context Our previous studies showed that porcine pancreatic enzymes in Syrian golden hamsters with peripheral insulin resistance normalizes the plasma insulin level, reduces the size of enlarged islets and inhibits the increased DNA synthesis in the beta-cell of islets. Objective In order to exclude the possibility that these effects was attributed to some contaminants of this crude material, we tested the effect of purified fungal pancreatic enzyme (FPE) that contains primarily amylase and lipase without (FPE) and with addition of chymotrypsin (FPE+chy). Material and methods In a pilot study we tested the effect of different doses of FPE given in drinking water on insulin level, islet size and DNA synthesis of islet cells in hamsters with induced peripheral insulin resistance by a high fat diet. The most effective dose of FPE on these parameters was used in a long-term experiment with FPE and FPE+chy in hamsters fed a high-fat diet for 36 or 40 weeks. Results In the pilot study a dose of 2 g/kg body weight was found to be optimal for controlling the body weight, normalizing plasma insulin level, the size of islets, the DNA synthesis and the number of insulin cells in the islets. These data were produced in the long-term study, where steatorrhea was also inhibited. Addition of chymotrypsin had no effects on these parameters. Conclusion Pancreatic lipase and amylase appear to be responsible for the observed effects and offer a safe and effective natural product for the treatment of pancreatic diseases, including acute pancreatitis, chronic pancreatic, cystic fibrosis and any conditions associated with peripheral insulin resistance, including obesity and type 2 diabetes. The possible mechanism of the action is discussed.
INTRODUCTION
Our previous studies have shown that the crude porcine pancreatic enzymes given in drinking water to Syrian golden hamsters with peripheral insulin resistance normalized plasma insulin level, reduced the level of plasma pancreatic enzymes, inhibited steatorrhea in high fat-fed animals, as well as normalized the size of islets and the number of insulin cells [1, 2] independent of the amount of food consumed. The results suggested that porcine pancreatic enzymes have potential beneficiary effects on conditions associated with peripheral insulin resistance, including obesity and pancreatic cancer. Moreover, the inhibitory action of porcine pancreatic enzymes on peripheral pancreatic enzyme levels could be suitable for the treatment of acute pancreatitis and their potential of digestive enzymes could certainly be useful in any condition associated with pancreatic enzyme deficiency, including chronic pancreatitis and pancreatic cystic disease. However, the crude nature of the material presents a problem as it may contain some ingredients that were responsible to its biological effects. Therefore, in the present study we used purified fungal pancreatic enzyme (FPE) preparation that contains a greater proportion of amylase and lipase than proteolytic enzymes. We also tested the effects of the FPE supplemented with fungal chymotrypsin for comparison.
MATERIAL AND METHODS
Animals
Eight-week-old out bred Syrian golden hamsters of the Eppley colony were used. They were housed in the centralized Comparative Medicine Animal Facilities, an Association for Assessment and Accreditation of Laboratory Animal Care (AAALAC) international accredited animal facility, in plastic cages on corncob bedding (Bed-O-Cobs, The Anderson Cob Co., Maumee, OH, USA) under standard laboratory conditions (temperature: 21±2°C; humidity: 40±5%; light/dark cycle: 12 h/12 h; 10x air changes/h). They were fed a commercial diet (Wayne Lab Blox, Allied Mills, Chicago, IL, USA) and had free access to tap water.
The palatability problem of the enzymes given in drinking water was resolved by training the newborn hamsters as reported [1]. In this way, the amount of water containing FPE consumed by these hamsters did not differ from litters drinking pure tap water.
Fungal Pancreatic Enzyme (FPE)
Hydrolytic enzymes derived from microbial and plant sources have a long history of safe use within the food industry. The enzymes, obtainable over-the-counter, used as processing aids in food, and they were all present in the food supply prior to October 15, 1994, a requirement for their use in dietary supplements without submission to FDA for permission. The FPE was the courtesy of the National Enzyme Company (Forsyth, MO, USA). After grinding the FPE, which was delivered in flake form in tissue tearor at low speed, one gram of the grounded FPE could then be dissolved in water at 1:10 mL in 4°C water. The fresh batch, which was kept at 4°C immediately after delivery, was replaced every three months. Food and water (and enzyme) consumption was recorded every two weeks and the concentration of the FPE was adjusted according to the body weight.
Diet
It is known that the dietary components of the commercial chow diet vary considerably from batch to batch. Also, it may contain various amounts of toxic products including fungicide, pesticide, herbicide, etc. In order to avoid the possible interference of some components in commercial food, which may inactivate the enzymes, we used the semi-synthetic normal and high-fat diet as previously reported [3, 4], prepared freshly and stored in the cool-room for no longer than two weeks.
Insulin Assay
Blood samples were taken before the treatment and two weeks after porcine pancreatic enzyme feeding and the animals were sacrificed after 21 days. Animals were fasted overnight before blood samples were taken. Blood was collected in standard Eppendorf tubes containing 45 pL aprotenin (Sigma Chemical Co, St Louis, MO, USA; l μg/mL) per mL of blood and 7.5 pg of EDTA. The tubes were centrifuged within 15 minutes and the plasma was separated and frozen at -80°C until assayed by a method described previously [5]. The assay detected changes between adjacent samples of 2 fmol insulin/tube with 95% confidence and shows no cross-reaction with the insulin-like growth factors.
Determination of the Size of Pancreatic Islets
In the H&E stained slides the diameter of approximately 200 randomly selected islets/pancreas were measured by a micro-scale using a Zeiss Axiomat® microscope (Zeiss, Jena, Germany). The average value was considered to be the size of the islets expressed μm2 and computed according to the following formula: area = π x (length a / 2) x (length b / 2).
Determination the Number of Beta-Cells and Alpha-Cells in Islets
An immunohistochemical examination was carried out using the avidin-biotin-peroxidase complex (ABC) method [6]. Mouse anti-insulin monoclonal antibody and rabbit anti-glucagon polyclonal antibody (Zymed Laboratories Inc., South San Francisco, CA, USA) were utilized in the staining process. Double immunostaining (for insulin and glucagon) was performed as reported [7]. The number of beta-cells and alpha-cells in the approximately 200 islets was then counted randomly. The average size of the islets and the number of insulin and glucagon cells were considered as representative values for each pancreas.
Determination of DNA Synthesis in Pancreatic Cells
Using anti-bromodeoxyuridine (BRDU) antibody (Sigma Chemical Co, St Louis, MO, USA), the labeling of acinar, ductal and islet cells was determined as reported [8]. Before the application of the antibody (Becton Dickinson, Columbus, NE, USA) in 1:100 dilution, the sections was incubated in 2N HCl for 30 minutes at 37°C. The slides were counterstained with eosin. For the determination of the labeling index (LI) at least 100 islets, 10,000 acinar cells, ductular cells and as many ductal cells as possible (in hamsters large ducts are seen only occasionally) was counted. Only the nuclei of islet cells with a typical circular shape and at least five grains per nucleus were considered as labeled.
Fecal Fat Analysis
Feces was collected and stained for fat according to the methods of Drummey [9] and Fine and Ogunji [10] with minor modifications. Briefly, a small amount of stool was placed on a glass slide and two drops of 36% acetic acid was added. Another glass slide was placed on top and the content was homogenized by grinding between the two glass slides, after which two drops of 1% Sudan III® (Rowley Biochemical Inc., Danvers, MA, USA) was added. The slides were held, by hand, over a hot plate until bubbles appeared. Then, the slides were quickly removed and reheated two additional times and examined microscopically. Fat droplets appeared as red material.
STUDY PROTOCOL
A. Pilot Study
Dose Range Finding
To identify the maximum tolerated dose, different concentrations of FPE were prepared. The palatability and toxicity of these enzymes were examined in a group of 40 female Syrian golden hamsters.
The solubility of FPE was examined by its dilution in 40 mL of tap water. This amount corresponds to the volume that is consumed daily by hamsters. The highest concentration of FPE that could be completely resolved in tap water was calculated in grams (g) and given per kilogram (kg) of the body weight (BW). This calculation was important as we wish to feed the FPE on the basis of body weight, which changes over time. Hence, it would allow us to increase the amount of FPE as the animals gain weight. It was found that 2 g/kg was the maximum amount of FPE soluble in water.
Thirty female hamsters were divided into three treatment groups with 10 animals each. One group received the FPE in tap water in a maximum concentration (High dose: 2 g/kg BW); the second group received one-half the dose (Medium dose: 1 g/kg BW) and the third group, one-quarter of the dose (Low dose: 0.5 g/kg BW). Ten hamsters served as controls and received only tap water. The daily water and food intake, body weight and physical activities of all animals were recorded for 21 days.
After 21 days, all animals were euthanized and their heart, liver, kidney and pancreas were weighed and their blood was assayed for insulin. Four hours prior to autopsy BRDU was injected to all hamsters twice at a dose of 5 mg/kg BW for the examination of DNA synthesis (labeling index) in islet cells.
B. Effect of Long-Term Treatment of Fungal Pancreatic Enzymes (FPE)
To examine the long-term effect of FPE we used two different FPE preparations: FPE alone, and FPE plus chymotrypsin (FPE+chy) to examine whether the effect differs between the types of enzyme combinations.
Experimental Design
Sixty female Syrian hamsters were fed a high fat (HF) diet for life beginning when they were six weeks old. Four weeks after the initiation of the HF diet, when peripheral insulin resistance develops with certainty, hamsters were divided into three groups of 20 animals each. One group was treated with FPE in tap water in a concentration of 2 g/kg BW (HF+FPE Group). The second group received the same concentration of FPE containing chymotrypsin (HF+FPE+chy Group; the amount of chymotrypsin was not specified by the company) and the third group received water only (Control: HF Group) (Figure 1). Five hamsters from each group were sacrificed at week 36 (Study 1) and the remaining 15 hamsters at week 40 (Study 2). Before sacrifice, BRDU was injected in to all hamsters twice at a dose of 5 mg/kg BW for the examination of DNA synthesis (labeling index) in islet cells. The concentration of FPE was adjusted according to body weight, which was monitored weekly along with the amount of water and food consumption.

|
Figure 1. Experimental design (Study 1: 5 hamsters from each group; Study 2: 15 hamsters from each group) BrdU: bromodeoxyuridine; chy: chymotrypsin addition; FPE: fungal pancreatic enzyme treatment
|
Body weight, the amount of water and food intake, plasma insulin levels, islet size and the number of individual islet cells, as well as the labeling index of islet cells were determined. The grade of fat content in stool, which was collected once a week, was graded by using a subjective semiquantitative scale as -, +, ++, and +++. For plasma insulin level and islet size our archival data on commercially fed hamsters (NP Group) were also used.
STATISTICS
Data are shown as mean and standard deviation (SD). Statistical analysis for body weight, food consumption, and water intake were performed using ANOVA. If any significant differences appeared, we performed the Tukey-Kramer test. The number of parameters examined (i.e., islet) rather then the number of animals was considered as sample size in all calculations. For example, for islet size, 200 islet/pancreas was the sample size. MATLAB (version 7.10.0, The MathWorks Inc., Natick, MA, 2010) was used as statistical package. Two tailed P values less than 0.05 were considered statistically significant.
ETHICS
The maintenance and humane treatment of the animals involved in this proposed study followed the guidelines of the Institutional Animal Care and Use Committee (IACUC) of the University of Nebrasca Medical Center (UNMC) and any discomfort and injury to these animals were limited to that which is unavoidable in the conduct of scientifically valuable research. The method of euthanasia was consistent with the recommendation of American Veterinary Medical Association (AVMA) Guidelines on Euthanasia. Hamsters showing signs of pain were sacrificed by CO2.
RESULTS
A. Pilot Study
Body and Organ Weights
The body weight evaluated at the end of the experiment in the Medium dose group (121.6±11.5 g) was significantly lower (P=0.014) than that of Control group (138.6±17.1 g), while no significant differences with the Control group were found as far as the High dose (152.0±45.0 g, P=0.052) and Low dose (138.2±8.0 g, P=0.056) groups were concerned. In addition, the body weight of the Medium dose group was also significantly lower than that of the Low dose group (P=0.051).
The average weight of the pancreas was significantly less in the High dose group (0.770±0.268 g) than in the other groups (Medium dose: 1.146±0.268 g, P=0.023; Low dose: 1.356±0.268 g, P<0.001; Controls: 1.189±0.307 g, P=0.009). No significant differences were found by comparing Medium and Low dose groups with the Control group (P=0.986 and P=0.543, respectively) as well as between Medium and Low dose groups (P=0.345).
No significant differences were found in the weight of the heart, liver, and kidney among the 4 groups (data not shown).
Size of Islets
The size of islets was significantly smaller in the High dose group (137.9±73.1 µm2; P<0.001) and in the Medium dose group (155.0±99.4 µm2; P=0.016) than in the Control group (169.1±96.1 µm2). Although the size of islets in the Low dose group (171.7±96.9 µm2) was larger than in the Control group, the difference was not statistically significant (P=0.542; Figure 2).

|
Figure 2. The size of islets in Syrian golden hamsters fed different concentrations of fungal pancreatic enzyme (FPE). Data are shown as mean±SD. P values versus Control group. |
DNA Synthesis of Acinar and Islet Cells
Although the FPE affected the size of islets in the High dose group, the rate of DNA synthesis did not provide meaningful data because of the remarkable wide individual variations in the number of the LI. We have observed these variations in our previous studies, especially in acinar cells, which also vary considerably within the same pancreas. The same is true for the plasma level of insulin. Although the LI and the insulin level were lower in the High dose group, the difference did not reach a statistical significance. Therefore, such studies require a much larger number of animals for gathering more reliable data.
Labeling Index of Acinar Cells
In all groups but the High dose group, the LI of acinar cells was significantly higher than in the Control group (0.950±1.184) (i.e., Medium dose: 1.910±3.854, P=0.018; Low dose: 1.680±2.399, P=0.007). Although the LI was higher in the High dose group (1.000±1.318) than in the Control group the difference was not significant (P=0.869; Figure 3).

|
Figure 3. Labeling index of acinar cells in Syrian golden hamsters fed different concentrations of fungal pancreatic enzyme (FPE). Data are shown as mean±SD. P values versus Control group. |
Labeling Index of Islet Cells
In all groups, the LI of islet cells was lower than in the Control group. However, the differences were not significant (High dose: P=0.649; Medium dose: P=0.410; Low dose: P=0.542; vs. Control group) (Figure 4 and Table 1).

|
Figure 4. Labeling index of islet cells in Syrian golden hamsters fed different concentrations of fungal pancreatic enzyme (FPE). Data are shown as mean±SD. P values versus Control group. |
|
Table 1. Labeling index (LI) of islet cells in hamsters treated with fungal pancreatic enzymes (FPE). Data are shown as mean±SD. |
|||
|
Group (FPE dose) |
No. of islets counted |
No. of cells labeled |
LI±SD |
|
Control |
319 |
41 |
0.127±0.071 |
|
High dose (2 g/kg BW) |
195 |
22 |
0.105±0.076 |
|
Medium dose (1 g/kg BW) |
248 |
26 |
0.088±0.070 |
|
Low dose (0.5 g/kg BW) |
260 |
28 |
0.103±0.044 |
|
BW: body weight |
|||
Insulin Level
No significant differences were found between plasma insulin levels of the treated groups and the level of the Control group (1.255±0.857 ng/mL). In particular, in the High dose group the plasma insulin level was lower (0.948±0.270 ng/mL, P=0.318); in the Medium dose group it was higher (1.507±1.078 ng/mL, P=0.613) and in the Low dose group it was lower (0.720±0.250 ng/mL, P=0.167) than in the Control group (Figure 5).

|
Figure 5. Plasma insulin level in Syrian golden hamsters fed different concentrations of fungal pancreatic enzyme (FPE). Data are shown as mean±SD. P values versus Control group. |
B. Effect of Long-Term Treatment of Fungal Pancreatic Enzymes (FPE)
Water and Food Intake
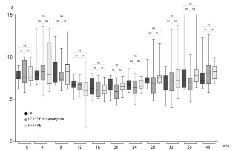
HF+FPE+chy-fed hamsters consumed less water at time 0 and after 24 and 28 weeks, as well as, HF+FPE-fed hamsters consumed less water at time 0 and after 12 weeks when compared with HF-fed hamsters. The amount of water consumed by the HF+FPE+chy group was significantly higher than the HF+FPE group after 32 and 36 weeks (Figure 6).
All hamsters consumed the same amount of food (Figure 7).

|
Figure 6. Daily water intake in Syrian golden hamsters fed a high fat (HF) diet and treated with fungal pancreatic enzyme (FPE), with and without the addition of chymotrypsin. The line in the box indicates the median (50th percentile) and the bottom and the top of the box indicate the 25th and 75 percentiles of the distribution, respectively (interquartile range). The whiskers extend to the maximum and minimum observed value. * Significant difference (P<0.05); ns: not significant |

|
Figure 7. Daily food intake in Syrian golden hamsters fed a high fat (HF) diet and treated with fungal pancreatic enzyme (FPE), with and without the addition of chymotrypsin. The line in the box indicates the median (50th percentile) and the bottom and the top of the box indicate the 25th and 75 percentiles of the distribution, respectively (interquartile range).The whiskers extend to the maximum and minimum observed value. * Significant difference (P<0.05); ns: not significant |
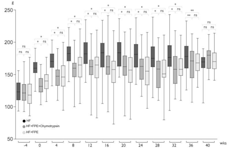
Body Weight
Both FPE groups (HF+FPE and HF+FPE+chy) gained significantly less weight than the control group (HF). The difference in the weight was significant in all points of examination but the first and the last ones (-4 and 40 weeks) (Figure 8).

|
Figure 8. Body weight (g) in Syrian golden hamsters fed a high fat (HF) diet and treated with fungal pancreatic enzyme (FPE), with and without the addition of chymotrypsin. The line in the box indicates the median (50th percentile) and the bottom and the top of the box indicate the 25th and 75 percentiles of the distribution, respectively (interquartile range).The whiskers extend to the maximum and minimum observed value. |
Fecal Fat Content
Only a few FPE-treated hamsters (HF+FPE and HF+FPE+chy) had a minor amount of fat in their feces, whereas almost all control hamsters (HF) showed a large amount of fecal fat (Figure 9).

|
Figure 9. Distribution of fecal fat content in Syrian golden hamsters fed a high fat (HF) diet and treated with fungal pancreatic enzyme (FPE), with and without the addition of chymotrypsin (chy). |
Islet Size
From each group, including the untreated control (NP), between 199 and 267 islets were examined. The size of the islets in both FPE-treated groups (HF+FPE and HF+FPE+chy) was significantly smaller than in control hamsters (Table 2; Figure 10).
|
Table 2. Islet size in Syrian golden hamsters fed high fat (HF) diet and treated with fungal pancreatic enzyme (FPE), with and without the addition of chymotrypsin (chy). |
|||
|
Group |
No. of islet counted |
Size (µm) |
|
|
Mean±SD |
Range |
||
|
Normal pancreas (NP) |
205 |
107±56 |
20-300 |
|
HF |
199 |
124.5±55.5 |
40-400 |
|
HF+FPE+chy |
242 |
115.7±52.9 a |
20-250 |
|
HF+FPE |
267 |
115.2±56.5 a |
20-250 |
|
NP group: archival data of hamsters fed a commercial diet a P<0.05 compared to HF-fed group |
|||

|
Figure 10. Islet size evaluation in Syrian golden hamsters fed high fat (HF) diet and treated with fungal pancreatic enzyme (FPE). In the picture we demonstrated the smallest and largest islets to emphasize the size differences. |
Islet Cell Numbers
The number of individual islet, glucagon (alpha), insulin (beta), somatostatin (delta) and pancreatic polypeptide (PP) cells in each group are summarized in Figure 11 and the immunohistochemical findings are shown in Figure 12. In the HF group, the number of the beta cells was significantly higher, but that of alpha- and delta-cells were lower, in the HF group than in the other 3 groups: HF+FPE, HF+FPE+chy and control group (NP: normal pancreas of hamsters fed a commercial diet). There were no significant differences in the number of PP cells among the groups. The greater number of the alpha cells in both FPE groups was readily obvious in immunohistochemical staining (Figure 12).

|
Figure 11. Distribution of islet cells in Syrian golden hamsters fed a high fat (HF) diet and treated with fungal pancreatic enzyme (FPE), with and without the addition of chymotrypsin (chy). Data are shown as mean±SD. NP, normal pancreas of hamsters fed a commercial diet Significant differences: * P<0.001 and ** P<0.01 compared to the HF-fed hamsters. |

|
Figure 12. Spatial distribution of islet cells. a. High fat (HF) diet group. Double staining showed that 19% of the cells react with anti-glucagon (blue) and 7% with anti-somatostatin antibody (red) (avidin-biotin-peroxidase complex (ABC), x50). b. In the fungal pancreatic enzyme (HF+FPE)-treated group, 25% of the cells react with anti-glucagon (blue) and 10% with anti-somatostatin antibody (brown). Note that the number of both glucagon and somatostatin cells is higher in FPE-treated hamster (b.) compared to the islets in the HF group (a.) (ABC, x50). |
DNA Synthesis in Islet Cells
In the HF group a significantly larger number of islet insulin cells were labeled than in the HF+FPE+chy-treated groups (Table 3, Figure 13). The data correlate precisely with the number of islet cells in each group, a convincing indication that FPE inhibits overt cellular DNA synthesis caused by the HF diet. The number of tissues stained with multilabeling (n=5) did not allow us to perform a reliable statistical analysis.
|
Table 3. DNA synthesis in islet cells in Syrian golden hamsters fed a high fat (HF) diet and treated with fungal pancreatic enzymes (FPE) with and without chymotrypsin (chy) addition. Data are shown as mean±SD. |
|||||||||
|
Diet |
No. of islets counted |
|
Beta cells |
|
Alpha cells |
||||
|
No of cells labeled |
LI±SD |
P vs. HF |
No of cells labeled |
LI±SD |
P vs. HF |
||||
|
HF |
92 |
47 |
0.55±0.86 |
- |
4 |
0.04±0.21 |
- |
||
|
HF+FPE+chy |
70 |
13 |
0.21±0.56 |
0.019 |
6 |
0.09±0.28 |
0.019 |
||
|
HF+FPE |
73 |
|
11 |
0.33±0.71 |
0.648 |
|
16 |
0.22±0.48 |
0.006 |
|
LI: labeling index |
|||||||||

|
Figure 13. Labeling index of islet cells. a. High fat (HF) diet group (blue: insulin; brown: BRDU). b. Fungal pancreatic enzyme (HF+FPE)-treated group (red: glucagon; brown: BRDU). c. HF+FPE-treated group (red: glucagon; brown: BRDU). Large arrows: BrdU labeled delta-cell. Small arrow: BrdU labeled alpha-cell. d. HF+FPE-treated group (red: glucagon; brown: BRDU). Large arrow: labeled delta-cell. Small arrow: labeled alpha-cell.
|
Plasma Insulin Level
The plasma insulin level in the HF-fed hamsters was significantly higher than in the FPE-treated groups, which showed a normal plasma value of untreated hamsters fed a commercial diet. This finding again indicates that FPE normalizes the level of insulin that is increased in hamsters with peripheral insulin resistance caused by a HF diet (Table 4).
|
Table 4. Plasma insulin level in Syrian golden hamsters fed high fat (HF) diet and treated with fungal pancreatic enzymes (FPE) with and without chymotrypsin (chy) addition. Data are shown as mean±SD. |
||
|
Diet |
Plasma insulin level (ng/mL) |
P vs. HF |
|
Normal pancreas (NP) |
1.17±0.30 |
- |
|
HF |
2.98±1.10 |
- |
|
HF+FPE+chy |
1.18±0.39 |
0.010 |
|
HF+FPE |
0.79±0.30 |
0.001 |
|
NP group: archival data of hamsters fed a commercial diet |
||
DISCUSSION
Our previous study have shown that crude porcine pancreatic enzymes prevent the development of peripheral insulin resistance in obese hamsters, normalized the peripheral insulin level and the size of the islets, which enlarge significantly in obese hamsters [1, 2]. However, because the enzymes used were crude extract, it was not clear whether the observed effects were contributed to the actual enzymes or due to other yet unknown ingredient in the enzyme preparation. To answer this important question, we used purified fungal pancreatic enzymes (FPE), which primarily contained amylase and lipase with minor amount of proteolytic enzymes. To make it comparable with the natural pancreatic enzymes, we also used a preparation of FPE to which chymotrypsin was added.
FPE showed a stronger effects than of the porcine pancreatic enzymes on body weight gain, steatorrhea, plasma insulin level, the size, and DNA synthesis in the islet. It was remarkable that despite consumption of calorie-rich high fat diet, the body weight of hamsters fed FPE remained significantly below the values in the high fat-fed group. Although the mechanism of the biological action of FPE is presently obscure, all of its observed effects could well be related to its action on digestion.
Although insulin is considered the major regulator of blood glucose concentration, recent studies emphasize the additional importance of fatty acids as regulators of insulin secretion [11, 12, 13, 14, 15]. Numerous studies have also shown that lipids are heavily implicated in the development of peripheral insulin resistance and type 2 diabetes [11, 12, 13, 14, 15]. Under normal physiological conditions, pancreatic enzymes digest fats to triglycerides and fatty acids of variable chain lengths. Proper digestion of a high fat diet requires an optimum amount of pancreatic enzymes. Overwhelming the maximum capacity of pancreatic enzyme production and secretion by excess fat results in undigested fat (steatorrhea) and/or partial digestion with the production of primarily long chain fatty acids. Although the rate of short and long chain fatty acids in humans on diets with various fat contents is unknown, experimental studies have shown that a high fat diet produces about 85% of the long chain and only 15% of the medium chain length fatty acids [16]. It appears that this amount of long chain fatty acids secrete in the form of lymphatic fat that enters the blood circulation, i.e., there are significantly more long chain than short chain fatty acids in plasma [16]. The significance of this process is that long chain fatty acids are major components that affect the secretion of insulin from the beta-cells by activating the GPR40 receptor and that GPR40 mRNA is expressed abundantly in the beta-cells [17, 18]. Exogenous pancreatic enzymes not only increase the rate of fat digestion, but it probably produces considerably more fatty acids with shorter chains that are not the substrates for GPR40 receptors. It is also possible that exogenous pancreatic enzymes additionally reduce the secretion or synthesis of insulin by reducing the expression of the receptor protein in islet cells. Whether or not FPE targets the function of islet cells by other or additional pathways is not clear. Nevertheless, from our studies one can assume that the FPE action on islet cells is triggered mainly by amylase and lipase, as additional of chymotrypsin did not alter the effects.
The overall results suggest that FPE is a more effective natural product than porcine pancreatic enzymes for the treatment of diseases associated with peripheral insulin resistance, steatorrhea and weight gain. It might provide a useful natural drug for obesity and prevention of diabetes in obese individuals. Moreover, as porcine pancreatic enzymes, FPE seems to be suitable for the treatment of acute pancreatitis and any conditions that is associated with pancreatic exocrine atrophy, including chronic pancreatitis and cystic fibrosis.
Received June 4th, 2012 – Accepted January 30th, 2013
Key words Digestion; Diet, High-Fat; DNA; Insulin; Insulin Resistance; Islets of Langerhans; Pancreatin
Abbreviations ABC: avidin-biotin-peroxidase complex; BRDU: bromodeoxyuridine; chy, chymotrypsin; FPE: fungal pancreatic enzyme; HF: high fat; LI: labeling index
Conflict of interest The authors have no potential conflict of interest
Correspondence
Parviz
M Pour
The Eppley Institute for Research in Cancer and Allied Diseases
University of Nebraska Medical Center
986805 Nebraska Medical Center
Omaha, NE 68198-6805
USA
Phone: +1-402.559.4495
Fax: +1-402.559.4651
E-mail: ppour@unmc.edu
References
4. Birt DF, Julius AD, White LT, Pour PM: Enhancement of pancreatic carcinogenesis in hamsters fed a high-fat diet ad libitum and at a controlled calorie intake. Cancer Res 1989;49:5848-5851.
5. Ding XZ, Fehsenfeld DM, Murphy LO, Permert J, Adrian TE. Physiological concentrations of insulin augment pancreatic cancer cell proliferation and glucose utilization by activating MAP kinase, PI3 kinase and enhancing GLUT-1 expression. Pancreas 2000;21(3):310-20.
6. Hsu SM, Raine L, Fanger H: Use of avidin-biotin-peroxidase complex (ABC) in immunoperoxidase techniques: a comparison between ABC and unlabeled antibody (PAP) procedures. J Histochem Cytochem 1981;29:577-580.
7. Pour PM, Kazakoff K, Dulany K: A new technique for simultaneous demonstration of 4 tumor-associated antigens in pancreatic cancer cells. Zentralbl Pathol 1994;140:397-401.
8. Pour PM, Duckworth W, Carlson K, Kazakoff K. Insulin therapy prevents spontaneous recovery from streptozotocin-induced diabetes in Syrian hamsters. An autoradiographic and immunohistochemical study. Virchows Arch A Pathol Anat Histopathol 1990;417(4):333-41.
9. Drummey, G.D., J.A.J. Benson, and J. C.M., Microscopical examination of the stool for steatorrhea. N Engl J Med, 1961. 264: p. 823-835.
10. Fine, K.D. and F. Ogunji, A new method of quantitative fecal fat microscopy and its correlation with chemically measured fecal fat output. Am J Clin Pathol, 2000. 113(4): p. 528-34.
11. Gravene C, Mathias PC, Ashcroft SJ. Acute effects of fatty acids on insulin secretion from rat and human islets of Langerhans. J Endocrinol 2002; 173:73-80.
12. Kiens B. Skeletal muscle lipid metabolism in excersise and insulin resistance. Physiol Rev. 2006; 86:205-243.
13. Warnotte C, Gilon P, Nenquin M, Henquin JC Mechanisms of the stimulation of insulin release by saturated fatty acids. A study of palmitate effects in mouse beta-cells. Diabetes 1994,43, 703-711.
14. Bogden G. Role of fatty acids in pathogenesis of insulin resistance and NIDDM. Diabetes 1997; 46:3-10.
15. Kraegen EW, Cooney GJ, Ye JM et al. The role of lipids in the pathogenesis of muscle insulin resistance and beta cell failure in type II diabetes and obesity. Exp Clin Endocrinol Diabetes 2001;109:Suppl 2:S189-201.
16. Frost SC, Clark WA, Wells MA. Studies on fat digestion, absorption, and transport in the suckling rat. IV. In vivo rates of triacylglycerol secretion by intestine and liver. J Lipid Res, 1983, 24:899-903.
17. Jesper Gromada The Free Fatty Acid Receptor GPR40 Generates Excitement in Pancreatic ß-Cells Endocrinology 2006: 47:672-673.
18. Itoh Y, Kawamata Y, Harada M et al. Free fatty acids regulate insulin secretion from pancreatic b cells through GPR40. Nature 2003; 422:173-176.