CASE REPORT
EUS-FNA Diagnosis of a Pancreatic Lymphoepithelial Cyst: Three-Year Imaging Follow-up
Kieran G Foley1, Adam Christian2, S Ashley Roberts1
Departments of 1Radiology and 2Histopathology, University Hospital of Wales. Cardiff, Wales, United Kingdom
ABSTRACT
Context Lymphoepithelial cyst of the pancreas is a rare benign lesion that should be managed conservatively. Similarity has been described between lymphoepithelial cyst and a branchial cyst of the neck. Case report We report a 58-year-old man presenting with left sided abdominal pain initially thought to be renal colic. CT of the abdomen revealed a 3.5 cm lesion in the pancreatic tail. A laparoscopic distal pancreatectomy was initially planned for definitive treatment; however, endoscopic ultrasound guided fine needle aspiration (EUS-FNA) was performed prior to surgery as he had multiple co-morbidities. This confirmed the diagnosis of lymphoepithelial cyst, a benign lesion. Unnecessary high-risk surgery was therefore avoided. Three year follow-up has shown no adverse effects and the lymphoepithelial cyst is unchanged in size and appearance. Conclusion EUS-FNA is a reliable method to confidently diagnose lymphoepithelial cyst and therefore should be used to exclude malignancy, thus avoiding unnecessary surgery with potential complications.
INTRODUCTION
Lymphoepithelial cyst of the pancreas is a rare, benign, cystic lesion. Although the number of reported cases in the literature is increasing, clinicians remain cautious of diagnosing lymphoepithelial cyst with endoscopic ultrasound guided fine needle aspiration (EUS-FNA). We present a case highlighting EUS as a reliable method for diagnosing lymphoepithelial cyst thus avoiding unnecessary surgery for these patients.
CASE REPORT
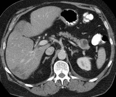
A 58-year-old man initially presented to the Urology team in 2008 with left sided abdominal pain presumed to be renal colic. A CT of his abdomen excluded renal calculi but revealed an incidental 3.5 cm complex cyst in the tail of his pancreas (Figure 1).

|
Figure 1. Initial CT image of the an incidental 3.5 cm complex cyst in the pancreatic tail proven to be lymphoepithelial cyst in 2008. |
Past medical history included poorly controlled insulin-dependent diabetes, cardiovascular disease requiring angioplasty and stent insertion on two occasions, severe rheumatoid arthritis, a previous duodenal ulcer and cholecystectomy. Loss of peripheral vision in his left eye prompted a carotid Doppler test which showed more than 90% stenosis of his left internal carotid artery, with mild disease on the right. He continued to smoke 20 cigarettes per day and remained symptomatic from angina despite medical therapy.
Due to his co-morbidities, any surgical intervention had to be considered carefully; however, it was initially felt that any potential benefits would outweigh the risks involved. Whilst laparoscopic distal pancreatectomy was an option, discussion at the hepatobiliary multidisciplinary team meeting led to referral for EUS-FNA, which was performed to determine the nature of the cyst, in an effort to avoid high-risk surgery for a benign lesion.
The pancreatic EUS-FNA was performed under conscious sedation with a linear echo-endoscope (Olympus GF-UCT240 and Aloka ProSound SSD-4000, KeyMed, Southend, UK) and a 19G Echotip Ultrasound needle (EUS 19T Cook, Limerick, Ireland). The 3.5 cm part-solid, part-cystic lesion was found in the pancreatic tail. A large amount of white necrotic material was aspirated, however little fluid was obtained (Figure 2). Samples were sent for cytology, cell block and tuberculosis culture for acid-fast bacilli. CEA and amylase were also requested but unfortunately due to the minimal volume of fluid aspirated, these assays could not be performed. Acid-fast bacilli culture was negative.

|
Figure 2. EUS-FNA image confirming successful puncture of the lymphoepithelial cyst. |
Results of microscopy showed acellular debris with eosinophilic viscous extracellular material and groups of epithelial cells with reactive changes. The cell block showed squamous epithelium overlying dense lymphoid tissue, with secondary follicles. No malignant cells were seen (Figure 3). The appearances were consistent with lymphoepithelial cyst of the pancreas.
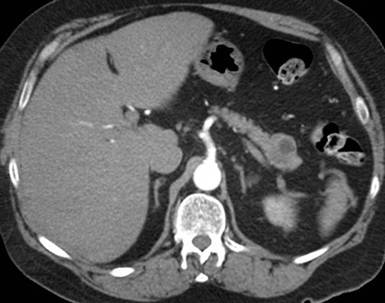
Radiological follow-up was obtained in 2011, when the patient was admitted for left sided abdominal pain again. A CT was performed and confirmed diverticulitis. This showed that the lymphoepithelial cyst in the pancreatic tail was unchanged in size and appearance (Figure 4) The benefit of follow-up imaging over three years later confirmed the correct diagnosis from the EUS-FNA. The patient recovered following a course of antibiotic therapy for the diverticulitis and has now been discharged from clinical follow-up.

|
Figure 3. H&E section (x200) from the cell block shows acellular cyst contents overlying stratified squamous epithelium. Beneath the epithelium there is dense lymphoid tissue. No dysplastic or malignant change is seen. |

|
Figure 4. Three year follow-up CT in 2011 demonstrates no change in size or appearance of the lymphoepithelial cyst. Unfortunately, the CTs were obtained in different phases and therefore these are the only CT images available. The initial diagnosis of an lymphoepithelial cyst was confirmed on the follow-up CT using size criteria. |
DISCUSSION
A MEDLINE search using PubMed was conducted searching for the terms “lymphoepithelial cyst”, “pancreas” and “endoscopic ultrasound”. Only a small number of cases of lymphoepithelial cyst of the pancreas correctly diagnosed with EUS have been described. Our case supports EUS as an accurate method to correctly diagnose these cysts. Accuracy of EUS-FNA in the diagnosis of lymphoepithelial cyst has not been calculated as there is no large series to date. Turner et al. found accuracy of EUS-FNA to be between 80-94% in the detection of pancreatic adenocarcinoma [1].
Lymphoepithelial cysts of the pancreas are rare, occurring predominately in middle aged men (range 35-82; M:F = 4:1) [2]. Lymphoepithelial cysts can occur anywhere in the pancreas but are most commonly found in the tail and body. Patients most commonly present with abdominal pain but nausea, vomiting, back pain and anorexia can occur.
Lymphoepithelial cysts can mimic pancreatic cystic neoplasms. Lymphoepithelial cysts contain keratinous debris and can be intra- or peri-pancreatic, and can be either uniloculated (40%) or multiloculated (60%). The mean size of lymphoepithelial cysts is 4.6cm (range 1.2-17 cm). The cysts are lined by stratified squamous epithelium and surrounded by dense epithelial lymphoid tissue containing lymphoid follicles [2].
Truong et al. [3] first termed these cysts lymphoepithelial cysts in 1987 however Luchtrath and Schriefers [4] first described the histological similarity to a branchial cyst in the neck in 1985.
The diagnostic challenge faced by the clinician is differentiating lymphoepithelial cysts from other cystic lesions of the pancreas, especially from cystic neoplasms. Among the differential diagnosis are pseudocysts, duplication cysts and cystic neoplasms of the pancreas such as mucinous cystadenocarcinoma. This is further complicated as CA 19-9 and CEA may be raised in lymphoepithelial cyst [5, 6].
The aetiology of lymphoepithelial cysts is unknown. Several conditions associated with lymphoepithelial cysts of salivary glands are Sjogren disease, HIV infection and lymphoma. However, these conditions have not been associated with lymphoepithelial cysts of the pancreas [2]. Lymphoepithelial cysts have been described in the parotid, submandibular glands, lung and thyroid gland [7]. There have been no reports of malignant transformation or recurrence following surgery.
Truong and Luchtrath [3, 4] have speculated that lymphoepithelial cysts may represent branchial cyst clefts that have fused with the pancreas during embryogenesis [2].
Cytology shows abundant anucleated squamous cells, multinucleated giant cells and mature lymphocytes in a background of keratinous debris and lack of neoplastic cells [8, 9, 10].
Frequently, contamination at the time of sampling can occur. Mucinous and glandular epithelium from intestinal sources can make a cystic neoplasm difficult to exclude [10].
Appearances on EUS can vary from a cystic to solid mass, or one with mixed components [6]. Lymphoepithelial cysts appear hypoechoic, unilocated or multiloculated on EUS. Fine or coarse sludge with hyperechoic architecture can also be seen, which is likely due to debris within the cyst [9].
Characteristics of lymphoepithelial cysts on CT are of a low-attenuation lesion that can be either uniloculated or multiloculated, and can have a thin enhancing rim. Lymphoepithelial cysts can also appear as a solid lesion of low attenuation on CT due to a large amount of keratinous material within [11].
The lymphoepithelial cyst in this case contained mainly acellular debris with little fluid. This correlates with CT findings previously described and adds to evidence from an EUS series described by Nasr et al., in which lymphoepithelial cysts of the pancreas were found to have the characteristics of a solid lesion [11].
The significant length of follow-up and successful diagnosis in this case has added further evidence towards the use of EUS-FNA to reliably diagnose lymphoepithelial cysts of the pancreas [6, 10]. Lymphoepithelial cysts of the pancreas should be managed with a conservative approach, thus avoiding unnecessary surgery with potentially serious complications.
Received June 24th, 2012 – Accepted September 24th, 2012
Key words Cysts; Endosonography; Pancreas
Conflicts of interests The authors have no potential conflict of interests
Correspondence
Kieran G Foley
Department of Radiology
University Hospital of Wales
Heath Park Campus
Heath, Cardiff, CF14 4XW Wales
United Kingdom
Phone: +44.2920.747.747
Fax: +44.2920.743.029
E-mail: kfoley@doctors.org.uk
References
1. Turner BG, Cizginer S, Agarwal D, Yang J, Pitman MB, Brugge WR. Diagnosis of pancreatic neoplasia with EUS and FNA: A report of accuracy. Gastrointest Endosc 2010;71(1):91-8.
2. Adsay NV, Hasteh F, Cheng JD, Bejarano PA, Lauwers GY, Batts KP, Kloppel G, et al. Lymphoepithelial cysts of the pancreas: A report of 12 cases and a review of the literature. Mod Pathol 2002; 15:492-501.
3. Truong LD, Rangdaeng S, Jordan PH Jr. Lymphoepithelial cyst of the pancreas. Am J Surg Pathol 1987; 11:899-903.
4. Luchtrath H, Schriefers KH. A pancreatic cyst with features of a so-called branchiogenic cyst. Pathologe 1985; 6:217-9.
5. Centeno BA, Stockwell JW, Lewandrowski KB. Cyst fluid cytology and chemical features in a case of lymphoepithelial cyst of the pancreas: A rare and difficult preoperative diagnosis. Diagn Cytopathol 1999; 21:328-30.
6. Ali S, Wilkinson N, Jensen CS, Gerke H. EUS-Guided trucut biopsies may enable the diagnosis of lymphoepithelial cysts of the pancreas. Report of two cases. JOP 2009;10(4):409-412.
7. Truong LD, Stewart MG, Hao H, Yutani C, Jordan PH. A comprehensive characterization of lymphoepithelial cyst associated with the pancreas. Am J Surg 1995;170:27-32.
8. Mandavilli SR, Port J, Ali SZ. Lymphoepithelial cyst (LEC) of the pancreas: cytomorphology and differential diagnosis on fine-needle aspiration (FNA). Diagn Cytopathol 1999; 20:371-4.
9. Ahlawat S. Lymphoepithelial cyst of the pancreas: Role of ultrasound guided fine needle aspiration. JOP 2008;9:230-4.
10. Karim Z, Walker B, Lam EC. Lymphoepithelial cysts of the pancreas: The use of endoscopic ultrasound-guided fine-needle aspiration in diagnosis. Can J Gastroenterol 2010;24(6):348-350
11. Nasr J, Sanders M, Fasanella K, Khalid A, McGrath K. Lymphoepithelial cysts of the pancreas: An EUS case series. Gastrointest Endosc 2008;68:170-3.