CASE REPORT
Brunner’s Glands Hyperplasia: Diagnosis with EUS-FNA for Suspected Pancreatic Tumor Involving the Duodenum
Monica Arena1, Stefania Rossi2, Elisabetta Morandi1, Benedetto Mangiavillano1, Paolo Franchi3
1Gastrointestinal Endoscopy and Departments of 2Pathology and 3Surgery, San Paolo Universitary Hospital. Milan, Italy
ABSTRACT
Context Brunner’s gland hyperplasia is a rare, benign, proliferative disorder of the duodenum. Large masses may cause obstructive and compressive symptoms which may depend upon the location of the tumour. Owing to its rarity, these lesions can be mistaken for malignancy on radiological and endoscopic examinations. Symptomatic Brunner’s gland hyperplasia associated with pancreatitis is very rare and the literature is limited to a few case reports endoscopic ultrasound may be useful to obtain a correct diagnosis. Case report We describe an unusual case of diffuse Brunner’s gland hyperplasia of duodenum mimicking a malignancy involving the pancreas, in which EUS-FNA avoided a possible major surgery. Conclusion Brunner’s gland hyperplasia imaging is very similar to malignant pancreatic mass; EUS with FNA is mandatory to reach a correct diagnosis, avoiding surgery.
INTRODUCTION
Brunner’s glands are mucus secreting acinar glands situated in the deep mucosa and submucosa of the duodenum which empty into the crypts of Lieberkühn. Their main physiological function is to secrete an alkaline-based mucus to protect the duodenal lining from the acid secreted in the stomach. Brunner’s gland hyperplasia is a rare, often benign proliferative disorder of the duodenum [1]. Brunner’s gland hyperplasia is asymptomatic or may present with abdominal pain, upper gastrointestinal bleeding and may be associated with chronic pancreatitis [2]. Imaging investigations lack of sensibility and specificity so Brunner’s gland hyperplasia can be mistaken for malignancy of the duodenal-pancreatic area. Symptomatic Brunner’s gland hyperplasia associating with pancreatitis is very rare and the literature is limited to a few case reports. Endoscopic ultrasound (EUS) with fine needle aspiration (FNA) may help us to obtain a correct diagnosis.
CASE REPORT
A 53-year-old man affected by multiple sclerosis referred to us for suspected intestinal sub-occlusion. Physical examination showed abdomen tense, with diffuse pain to deep palpation. Laboratory evaluation, abdominal ultrasound and X-ray were normal. A contrast-enhanced CT revealed a marked thickening of duodenal walls with enlargement of the head of the pancreas, with no certain cleavage plane with the duodenum. The pancreatic body presented a solid area of 4 cm of diameter. Upper gastrointestinal endoscopy was performed, revealing duodenal sub-stenosis, with mucosal hyperemia and edema (Figure 1). Biopsies established a diffuse Brunner’s gland hyperplasia without any sign of neoplasia (Figure 2). Therefore, EUS was performed and showed, at the sub-stenosis of the duodenum, a hypoechoic thickening wall with loss of normal stratification extending to muscularis and which seemed infiltrate the pancreatic parenchyma (Figure 3). Multiple lymph nodes near the pancreas were described. The body of the pancreas appeared diffusely heterogeneous and inside it and close the superior mesenteric artery, was observed a hypoechoic area of 4.3 cm of diameter with irregular margins, that showed a stiff consistency to the elastosonography (Figure 4). FNA of this lesion was performed and the cytological analysis showed signs of acute and chronic pancreatitis with no evidence of malignancy (Figure 5). The suspicion of malignancy was very high (according to radiological and endoscopic images), so we repeated upper gastrointestinal endoscopy with biopsies and EUS-FNA showing only a diffuse Brunner’s glands hyperplasia and cytological findings of pancreatitis. In view of clinical improvement, with gradual resolution of sub-occlusion and exclusion of malignancy we discharged the patient and decide to perform an endoscopic follow-up into three months. Three months after the patient was asymptomatic and on follow-up upper gastrointestinal endoscopy, duodenal sub-stenosis improved and histology confirmed Brunner hyperplasia.

|
Figure 1. Endoscopic findings of duodenal sub-stenosis. |

|
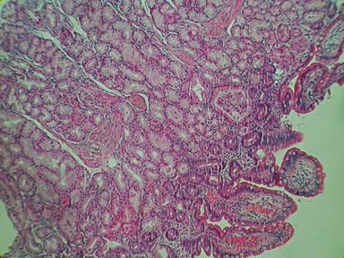
Figure 2. A histological section from an endoscopic sample of duodenal mucosa demonstrating Brunner glands hyperplasia and normal villi (lower right). Hematoxylin and eosin, x200. |

|
Figure 3. Endoscopic ultrasound findings of duodenal wall thickening which seemed infiltrate the pancreas. |

|
Figure 4. Endoscopic ultrasound findings of hypoechoic area of the body of the pancreas harder than surrounding tissue on elastosonography. |

|
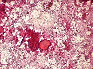
Figure 5. Direct smear prepared from a fine needle aspiration biopsy from the pancreas demonstrating necrotic debris in the background with inflammatory cells and dystrophic calcifications. Papanicolaou stain, x400. |
DISCUSSION
Brunner’s gland hyperplasia is a rare cause of biliary obstruction and pancreatitis and the literature is limited to a few case reports [3, 4]. The pathogenesis of Brunner’s gland hyperplasia remains unknown. However, many studies have associated this condition with acid hypersecretion, chronic pancreatitis, uremia, and H. pylori infection. Brunner’s gland hyperplasia may mimicking a malignancy of the pancreatic-duodenal area. Mayoral et al. [3] described a case of Brunner’s gland hyperplasia presenting with biliary obstruction, jaundice and pancreatitis in which initial histological diagnosis was misleading and subsequently a surgical resection (pancreaticoduodenectomy) was performed. Iusco et al. [5], and Lee et al. [6], described two similar cases of Brunner’s gland hyperplasia very difficult to differentiate from neoplasia that were “over-treated” with pancreaticoduodenectomy. Since the diagnosis of Brunner’s gland hyperplasia is not easy, EUS can be useful in its diagnostic algorithm. EUS allows not only to confirm the diagnosis of Brunner’s gland hyperplasia but also to rule out other possible causes (stones, sludge, or pancreatic cancer) of pancreatic or biliary involvement. In this case EUS features were very similar to pancreatic cancer infiltrating the duodenum wall, but repeated FNA showed no evidence of malignancy and then surgery was avoided. Unlike other cases of Brunner’s gland hyperplasia’s “over-treatment” previously described, in our report, the use of EUS-FNA, repeated twice, ruled out a diagnosis of pancreatic malignancy.
In conclusion, because Brunner’s gland hyperplasia imaging is very similar to malignant pancreatic mass, EUS with FNA is mandatory to reach a correct diagnosis, avoiding surgery.
Received June 28th, 2012 – Accepted September 24th, 2012
Keywords Brunner Glands; Endosonography; Hyperplasia; Pancreatitis
Conflict of interest No conflicts of interest declared
Correspondence
Monica
Arena
Gastrointestinal Endoscopy
San Paolo University Hospital
Via A. di Rudinì, 8
20142 Milan
Italy
Phone: +39-02-818.442.73
Fax: +39-02-818.446.47
E-mail: m_arena9@virgilio.it
References
1. Peetz ME, Moseley HS. Brunner’s gland hyperplasia. Am Surg 1989; 55: 474-7.
2. Stolte M, Schwabe H, Prestele H. Relationship between diseases of the pancreas and hyperplasia of Brunner’s glands.Virchows Arch Pathol Anat 1981; 394: 75 – 87.
3. Mayoral W, Salcedo JA, Montgomery E, et al. Biliary obstruction and pancreatitis caused by Brunner's gland hyperplasia of the ampulla of Vater: a case report and review of the literature. Endoscopy. 2000;32(12):998–1001.
4. Stermer E, Elias N, Keren D, et al. Acute pancreatitis and upper gastrointestinal bleeding as presenting symptoms of duodenal Brunner's gland hamartoma. Can J Gastroenterol 2006; 20:541-2.
5. Iusco D, Roncoroni L, Violi V, et al. Brunner’s gland hamartoma: ‘over-treatment’ of a voluminous mass simulating a malignancy of the pancreatic-duodenal area. JOP 2005; 6: 348-53.
6. W.C. Lee, H.W. Yang, Y.J. Lee, et al. Brunner’s Gland Hyperplasia: Treatment of Severe Diffuse Nodular Hyperplasia Mimicking a Malignancy on Pancreatic-Duodenal Area. J Korean Med Sci 2008; 23: 540-3.