ORIGINAL ARTICLE
JOP. J Pancreas (Online) 2011 Nov 10; 12(6):567-573.
Pancreatic Peptides in Young and Elderly Zucker Type 2 Diabetic Fatty Rats
Frank Christopher Howarth1, Mey Khalfan Ahmed Ali Al Kitbi1, Rasheed Shaul Hameed2, Ernest Adeghate2
Departments of 1Physiology and 2Anatomy, Faculty of Medicine and Health Sciences, UAE University. Al Ain, United Arab Emirates
Abstract
Context The global prevalence of diabetes mellitus, and in particular type 2 diabetes mellitus is increasing at an alarming rate. Risk factors for development of diabetes include obesity and advancing age. Objectives The distribution of insulin, glucagon, somatostatin and pancreatic polypeptide in the pancreatic islets has been investigated in young and elderly type 2 Zucker diabetic fatty (ZDF) rats and age-matched Zucker lean (ZL) controls. Methods Experiments were performed in male animals aged either 9-13 weeks or 30-34 weeks. Immunohistochemistry was used to label insulin, glucagon, somatostatin and pancreatic polypeptide in islet cells. Results The percentage of insulin-positive cells was unaltered in young but decreased in elderly ZDF (35.5±2.5%) rats compared to ZL controls (57.9±1.8%). The percentage of glucagon-positive cells was increased in young ZDF (58.7±3.4%) compared to ZL controls (23.4±2.1%). However, in elderly rats the percentage of glucagon-positive cells declined in ZDF rats and was no longer different from ZL controls. The percentage of somatostatin-positive cells was unaltered in young and elderly ZDF rats compared to ZL controls. The percentage of pancreatic polypeptide-positive cells was unaltered in young but increased in elderly ZDF (22.0±2.5%) rats compared to ZL controls (13.8±1.8%). Conclusions The distribution of pancreatic hormones is altered to varying extents in the ZDF rat and during the normal aging process.
Introduction
Diabetes mellitus is a serious medical problem. The worldwide prevalence of diabetes is rising dramatically. The total number of people with diabetes is projected to rise from 171 million in 2000 to 366 million in 2030 [1]. Cardiovascular complications are the major cause of morbidity and mortality in diabetic patients [2]. Type 2 diabetes mellitus is a multifactorial disease. The hyperglycemia that accompanies type 2 diabetes mellitus is related to a decrease in glucose peripheral uptake and an increase in hepatic glucose production, due to reduced insulin secretion and insulin sensitivity. Insulin secretory defects include loss of basal pulsatility, decreased basal and stimulated plasma insulin concentrations and progressive decrease in insulin secretory capacity with time [3], a result of decreased beta cell mass. Associated with the defects in insulin secretion are abnormal secretion of glucagon and other counterregulatory hormones [4]. This study investigated the distribution of pancreatic insulin, glucagon, somatostatin and pancreatic polypeptide in young and elderly type 2 Zucker diabetic fatty rats.
METHODS
Animal Model
Experiments were performed in young (9-13 weeks of age) and elderly (30-34 weeks of age) male Zucker diabetic fatty (ZDF; fa/fa) rats and age-matched Zucker lean (ZL; +/fa) controls (Charles River Laboratories, Wilmington, MA, USA). All animals were maintained on Formulab Rodent Diet 5008 (International Product Supplies Limited, London, United Kingdom) ad libitum. Body weight and blood glucose (One Touch® Basic® Plus; LifeScan, Johnson & Johnson, Milpitas, CA, USA) were measured at the time of sacrifice.
Immunohistochemistry
After humane sacrifice the pancreata were rapidly removed from ZDF and ZL control rats. Isolated pancreata were trimmed free of adherent fat and connective tissue and cut into small pieces (2 mm3) and fixed overnight in freshly prepared Zamboni’s fixative. The tissue samples were later dehydrated in graded concentrations of ethanol, cleared in xylene and subsequently embedded in paraffin wax at 55°C. Sections of 6 µm thickness were cut on a microtome (Shandon AS325, USA). The sections were deparaffinized, transferred into absolute ethanol and processed for immunohistochemistry using established methods [5]. In brief, sections were incubated for 30 min in 0.3% hydrogen peroxide solution in methanol to block endogenous peroxidase activity and then treated with a blocking reagent for 30 min before incubation in antibodies against insulin, glucagon, somatostatin and pancreatic polypeptide (1:2,000) for 24 h at 4°C. The sections were then washed and incubated for 30 min with prediluted biotinylated anti-rabbit IgG (Sigma-Aldrich, Poole, United Kingdom) for 30 min, before incubation in streptavidin peroxidase conjugate for 45 min. The peroxidase activity was revealed by incubating the specimens for 3 min in 3,3-diaminobenzidine tetrahydrochloride containing 0.03% hydrogen peroxide in PBS. The slides were later washed and counterstained with haematoxylin for 30 s before mounting in Cytoseal 60 (Stephens Scientific, Riverdale, IL, USA).
The antisera to insulin, glucagon, somatostatin and pancreatic polypeptide were supplied diluted (Dako, Copenhagen, Denmark). No specific immunostaining was observed in pancreatic tissue when primary antisera were omitted.
Morphometric Analysis of Pancreatic Islet Cells
Sections of pancreata were examined with a microscope (Carl Zeiss Microimaging, Göttingen, Germany) and photographed with a digital camera attached to the microscope. Slides, containing sections of pancreas, were prepared from all animals. Twenty slides were selected at random from the different animals and 5 sections were labeled for insulin, 5 for glucagon, 5 for somatostatin and 5 for pancreatic polypeptide. Twenty digital photographs were taken of each slide for subsequent offline analysis. The total number of cells in the islets were counted using Axiovision Microimaging System® (Carl Zeiss Microimaging, Göttingen, Germany). In addition, insulin, glucagon, somatostatin and pancreatic polypeptide-positive cells within a given islet were also counted.
ETHICS
Approval for this project was obtained from the Faculty of Medicine and Health Sciences Ethics Committee, United Arab Emirates University. All animals received humane care according to the criteria outlined in the “Guide for the care and use of laboratory animals (1996)? prepared by the National Academy of Sciences.
STATISTICS
Data were expressed as mean±SEM. Statistical comparisons were made using the independent sample t-test. Two-tailed P values less than 0.05 were considered significant. Data were analyzed by means of the IBM-SPSS-Statistics (Version 19) package.
RESULTS
General Characteristics
Non-fasting blood glucose in young ZDF rats and ZL controls were 412.8±15.8 mg/dL and 108.2±3.5 mg/dL, respectively and in elderly ZDF rats and ZL controls were 478.4±29.2 mg/dL and 108.2±2.5 mg/dL, respectively. Body weight in young ZDF rats and ZL controls were 387.9±18.2 g and 295.7±11.8 g, respectively and in elderly ZDF rats and ZL controls were 409.1±16.2 g and 446.6±11.7 g, respectively.
Insulin
Typical micrographs showing the distribution of insulin immunolabeling in islets from young ZDF rats and ZL controls are shown in Figures 1a and 1b, respectively. The percentage distribution of insulin-positive cells from elderly ZDF rats and ZL controls are shown in Figures 1c and 1d, respectively. The percentage distribution of insulin-positive cells in young animals was not significantly (P=0.768) altered in ZDF rats (71.2±2.0%) compared to ZL controls (72.1±2.2%). However, the percentage distribution of insulin-positive cells in elderly animals was significantly (P<0.001) reduced in ZDF rats (35.5±2.5%) compared to ZL controls (57.9±1.8%). There was also a significant age-related reduction in insulin-positive cells from elderly ZDF and ZL controls compared to young ZDF and ZL controls (P<0.001).

|
Figure 1. Light micrographs showing the pattern of distribution of insulin-immunoreactive cells (arrows) in the pancreatic islets of young ZL (a.) and ZDF (b.) rats and elderly ZL (c.) and ZDF (d.) rats. Graphs showing the pattern of distribution of insulin-positive islets in young (e.) and elderly (f.) rats. (Data are mean±SEM; n=20 islets from 7-9 animals; magnification: x200). **P<0.001 vs. ZL elderly rats |
Glucagon
Typical micrographs showing the distribution of glucagon immunolabeling in islets from young ZDF rats and ZL controls are shown in Figure 2a and 2b, respectively. The percentage distribution of glucagon-positive cells from elderly ZDF rats and ZL controls are shown in Figures 2c and 2d, respectively. The percentage distribution of glucagon-positive cells in young animals was significantly (P<0.001) increased in ZDF rats (58.7±3.4%) compared to ZL controls (23.4±2.1%). There was also a significant (P<0.001) age-related reduction in glucagon-positive cells in islets from elderly (31.8±2.9%) compared to young (58.7±3.4%) ZDF rats so that there was no longer any significant (P=0.514) difference in glucagon-positive cells between elderly ZDF rats (31.8±2.9%) and ZL controls (29.1±2.9%), as well as, there was no significant (P=0.150) difference between elderly compared to young ZL control rats.

|
Figure 2. Light micrographs showing the pattern of distribution of glucagon-immunoreactive cells (arrows) in the pancreatic islets of young ZL (a.) and ZDF (b.) rats and elderly ZL (c.) and ZDF (d.) rats. Graphs showing the pattern of distribution of glucagon-positive islets in young (e.) and elderly (f.) rats. (Data are mean±SEM; n=20 islets from 7-9 animals; magnification: x200). **P<0.001 vs. ZL young rats |
Somatostatin
Typical micrographs showing the distribution of somatostatin immunolabeling in islets from young ZDF rats and ZL controls are shown in Figure 3a and 3b, respectively. The percentage distribution of somatostatin-positive cells from elderly ZDF rats and ZL controls are shown in Figures 3c and 3d, respectively. There were no significant differences in the distribution of somatostatin-positive cells in islets from ZDF rats compared to ZL controls either in young (11.4±1.4% vs. 15.5±1.9%; P=0.121) or elderly (19.7±2.6% vs. 15.3±1.8%; P=0.202) animals. There was a significant increase in somatostatin-positive cells in elderly compared to young ZDF rats (P=0.023); however, there was no significant difference in somatostatin-positive cell in elderly compared to young ZL rats (P=0.954).

|
Figure 3. Light micrographs showing the pattern of distribution of somatostatin-immunoreactive cells (arrows) in the pancreatic islets of young ZL (a.) and ZDF (b.) rats and elderly ZL (c.) and ZDF (d.) rats. Graphs showing the pattern of distribution of somatostatin-positive islets in young (e.) and elderly (f.) rats. (Data are mean±SEM; n=20 islets from 7-9 animals; magnification: x200). |
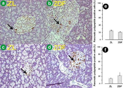
Pancreatic Polypeptide
Typical micrographs showing the distribution of pancreatic polypeptide immunolabeling in islets of young ZDF rats and ZL controls are shown in Figure 4a and 4b, respectively. The percentage distribution of pancreatic polypeptide-positive cells from elderly ZDF rats and ZL controls are shown in Figures 4c and 4d, respectively. There was no significant (P=0.100) alterations in the distribution of pancreatic polypeptide between ZDF (20.5±1.4%) and ZL control (24.6±1.7%) young animals. However, the percentage distribution of pancreatic polypeptide-positive cells in elderly animals was significantly (P=0.029) increased in ZDF rats (22.0±2.5%) compared to ZL controls (13.8±1.8%). There was no significant difference in pancreatic polypeptide-positive cells in elderly compared to young ZDF rats (P=0.608); however, there was a significant reduction in pancreatic polypeptide-positive cells in elderly compared to young ZL rats (P=0.002).

|
Figure 4. Light micrographs showing the pattern of distribution of pancreatic polypeptide-immunoreactive cells (arrows) in the pancreatic islets of young ZL (a.) and ZDF (b.) rats and elderly ZL (c.) and ZDF (d.) rats. Graphs showing the pattern of distribution of pancreatic polypeptide-positive islets in young (e.) and elderly (f.) rats. (Data are mean±SEM; n=20 islets from 7-9 animals; magnification: x200). *P=0.029 vs. ZL eldery rats |
DISCUSSION
The study investigated the distribution of pancreatic insulin, glucagon, somatostatin and pancreatic polypeptide in young and elderly type 2 Zucker diabetic fatty rats. The main findings of the study were that: i) the percentage of insulin-positive cells was unaltered in young but was reduced in elderly ZDF rats compared to ZL controls;, ii) the percentage of glucagon-positive cells was increased in young ZDF rats compared to ZL controls, and there was a decline in glucagon-positive cells in elderly ZDF rats so that there was no longer any difference between glucagon-positive cells in elderly ZDF rats compared to ZL controls; iii) the percentage of somatostatin-positive cells were not altered in either young or elderly ZDF rats compared to ZL controls; and iv) the percentage of pancreatic polypeptide-positive cells was not altered in young ZDF rats compared to ZL controls however, in elderly animals the percentage of pancreatic polypeptide was increased in ZDF rats compared to ZL controls.
Non-fasting blood glucose was significantly elevated in young (9-13 weeks) and elderly (30-34 weeks) ZDF rats compared to ZL controls. Previous experiments have also demonstrated progressive increases in plasma glucose at 10, 14 and 20 weeks of age in ZDF rats compared to controls [6]. The same study also demonstrated increases in plasma insulin at 7 and 10 weeks, declining insulin at 14 weeks and falling to control levels at 20 weeks of age in ZDF rats compared to controls. Plasma glucagon was increased at 7 weeks and was not significantly different at 10, 14 and 20 weeks in ZDF rats compared to controls [6].
The pancreatic islets are neuroendocrine organs that control blood glucose homeostasis. The precise interplay of beta, alpha, delta and pancreatic polypeptide cell populations results in a fine-tuned and balanced release of insulin, glucagon, somatostatin and pancreatic polypeptide hormones [7] and the patterns of distribution of pancreatic islets within the pancreas varies from species-to-species [8]. Pancreatic polypeptide may function as an important feedback inhibitor of pancreatic secretion after a meal [9]. Somatostatin acts as a paracrine agent to inhibit both insulin and glucagon levels and therefore, to modulate their output [10].
Effect of Ageing on the Islet Cells of Zucker Lean Rats
The percentage of insulin-positive cells was significantly reduced in elderly compared to young ZL rats. While no studies appear to have been performed on the effect of aging on the pattern of distribution of insulin-containing beta cells in aged Zucker lean rats, a similar experiment examining the role of ageing on insulin release in 54 week-old Zucker lean rats, showed that ageing did not reduce arginine- or glucose-induced insulin release [11]. Some studies in humans have shown that ageing does not seem to affect insulin sensitivity, but may cause a slight deterioration of insulin release [12] whilst others have demonstrated age-related progressive decline in beta-cell function [13].
The percentage of glucagon-positive cells was not significantly altered by ageing in islets from ZL rats.
There was no significant alteration in the percentage distribution of somatostatin-immunoreactive cells in the pancreatic islets of elderly compared to young ZL rats. The findings of this study corroborate those of Riccillo et al. (2004) [14] in which no histological changes were seen in the non-beta cells of ageing endocrine pancreas. The pattern of distribution of somatostatin in young and old ZL rats has not been previously reported.
The percentage of pancreatic polypeptide cells was significantly reduced in elderly compared to young ZL control rats. There appears to be no previous data available on the distribution of pancreatic polypeptide in the pancreas of ZL control rats and the significance of this result will require clarification.
Effect of Ageing on the Islet Cells of Zucker Diabetic Rats
The number of insulin-positive cells was significantly reduced in elderly compared to young ZDF rats. This observation corroborates those of Janssen et al. (2001) [15] who reported that the staining intensity of insulin in the islet of ZDF rats decreases with age. The reason for the rapid loss of insulin-positive cells with age may be due to hyperglycemia-induced oxidative stress which may contribute to the death of pancreatic beta cells. It has been shown that hyperglycemia, as well as oxidative stress, are both toxic to pancreatic beta cells [16]. The toxicity of these substances is probably due to their ability to generate free radicals that could induce apoptosis of pancreatic beta cells.
The number of glucagon-immunoreactive cells was elevated in young ZDF rats and then declined in elderly ZDF rats so that levels of glucagon-immunoreactive cells in elderly ZDF rats and ZL controls were similar. It is noteworthy that the number of glucagon-positive cells declines with age in ZDF rats. It was expected that the number of glucagon immunoreactive cell will be higher in ZDF rat. This is true for young ZDF but not for elderly ZDF rats. The reason for the present result may be due to a global degeneration of pancreatic islet cells in elderly ZDF rats. Interestingly, Janssen et al. (2001) reported that the islet staining intensity of glucagon did not change in ZDF rats from 6 to 32 weeks of age [17]. A study by Torres et al. (2009) reported that plasma glucagon was elevated at 7 weeks and not significantly different at 10, 14 and 20 weeks of age in ZDF rats compared to controls [6]. The reason for the difference between our result and those of Janssen et al. and Torres et al. might be due to the methodology used and the time point(s) applied in the studies.
Although the significance of lower levels of tissue glucagon in the pancreas of elderly ZDF rats is unclear, it may be caused by a generalized tissue atrophy, a possible sign of ageing.
There was no significant difference in somatostatin-immunoreactive cells in young ZDF rats compared to ZL controls. However, there was a significant increase in the number of somatostatin-positive cells in elderly compared to young ZDF rats. The effect of diabetes mellitus on the number of somatostatin-positive cells remains controversial. Some studies have reported that the number of somatostatin-positive cells is unaltered in the pancreas of ZDF rats [15] while others have reported increases in the number of somatostatin-positive cells in the pancreas of streptozotocin-induced diabetic rats [18].
There was no significant changes in pancreatic polypeptide-positive cells in young ZDF rats compared to young ZL controls. Interestingly, there was a significant reduction in pancreatic polypeptide-positive cells in elderly compared to young ZL control rats which probably contributed to the significant difference in pancreatic polypeptide-positive labeling between elderly ZDF rats and ZL controls. Previous studies in the streptozotocin treated rat, an experimental model with characteristics of type 1 diabetes, have demonstrated an increase in the number of pancreatic polypeptide-positive cells in the streptozotocin-induced diabetic rat [19]. Streptozotocin-induced diabetic rats gain less body weight compared to controls and this may be partly attributed to the anorexic effects of pancreatic polypeptide [20]. Previous studies have demonstrated increases in plasma pancreatic polypeptide with exercise, with aging and in diabetic patients [9].
In conclusion, the distribution of pancreatic hormones is altered to varying extents in the ZDF rat and during the normal aging process.
Received July 12, 2011 - Accepted August 1st, 2011
Keywords Glucagon; Insulin; Pancreas; Pancreatic Polypeptide; Somatostatin; Diabetes Mellitus, Type 2; Rats, Zucker
Conflicts of interest The authors have no potential conflicts of interest
Correspondence
Frank Christopher Howarth
Department of Physiology
Faculty of Medicine and Health Sciences; United Arab Emirates University
P.O. Box 17666
Al Ain; United Arab Emirates
Phone: +971-3.713.7536
Fax: +971-3.767.1966
E-mail: chris.howarth@uaeu.ac.ae
References
1. Wild S, Roglic G, Green A, Sicree R, King H. Global prevalence of diabetes: estimates for the year 2000 and projections for 2030. Diabetes Care 2004; 27:1047-53. (More details: [1]).
2. Winer N, Sowers JR. Epidemiology of diabetes. J Clin Pharmacol 2004; 44:397-405. (More details: [2]).
3. Guillausseau PJ, Laloi-Michelin M. Pathogenesis of type 2 diabetes mellitus. Rev Med Interne 2003; 24:730-7. (More details: [3]).
4. Burcelin R, Knauf C, Cani PD. Pancreatic alpha-cell dysfunction in diabetes. Diabetes Metab 2008; 34(Suppl 2):S49-55. (More details: [4]).
5. Adeghate E, Donath T. Morphometric and immunohistochemical study on the endocrine cells of pancreatic transplants. Exp Clin Endocrinol 1991; 98:193-9. (More details: [5]).
6. Torres TP, Catlin RL, Chan R, Fujimoto Y, Sasaki N, Printz RL, et al. Restoration of hepatic glucokinase expression corrects hepatic glucose flux and normalizes plasma glucose in zucker diabetic fatty rats. Diabetes 2009; 58:78-86. (More details: [6]).
7. Soria B, Andreu E, Berna G, Fuentes E, Gil A, Leon-Quinto T, et al. Engineering pancreatic islets. Pflugers Arch 2000; 440:1-18. (More details: [7]).
8. Wieczorek G, Pospischil A, Perentes E. A comparative immunohistochemical study of pancreatic islets in laboratory animals (rats, dogs, minipigs, nonhuman primates). Exp Toxicol Pathol 1998; 50:151-72. (More details: [8]).
9. Lonovics J, Devitt P, Watson LC, Rayford PL, Thompson JC. Pancreatic polypeptide. A review. Arch Surg 1981; 116:1256-64. (More details: [9]).
10. Engelking LR. Physiology of the endocrine pancreas. Semin Vet Med Surg (Small Anim) 1997; 12:224-9. (More details: [10]).
11. Hiramatsu S, Inoue K, Sako Y, Umeda F, Nawata H. Secretion of insulin and glucagon by the perfused pancreas of genetically obese (fa/fa) Zucker rats and its alteration with aging. Endocr J 1995; 42:563-7. (More details: [11]).
12. Akehi Y, Oketa A, Mitsuyoshi Y, Yoshida R, Ohkubo K, Yamashita T, et al. The effects of age on insulin sensitivity and insulin secretion in Japanese subjects with normal glucose tolerance. Rinsho Byori 2007; 55:901-5. (More details: [12]).
13. Fritsche A, Stumvoll M, Haring HU. Insulin secretion and aging. Implications for insulin therapy in the geriatric patient with diabetes mellitus. Med Klin (Munich) 2003; 98:287-91. (More details: [13]).
14. Riccillo FL, Bracamonte MI, Console GM, Gomez Dumm CL. Histomorphological and quantitative immunohistochemical changes in the rat pancreas during aging. Biocell 2004; 28:127-34. (More details: [14]).
15. Janssen SW, Hermus AR, Lange WP, Knijnenburg Q, van der Laak JA, Sweep CG, et al. Progressive histopathological changes in pancreatic islets of Zucker Diabetic Fatty rats. Exp Clin Endocrinol Diabetes 2001; 109:273-82. (More details: [15]).
16. Adeghate E, Parvez SH. Nitric oxide and neuronal and pancreatic beta cell death. Toxicology 2000; 153:143-56. (More details: [16]).
17. Ausma J, Cleutjens J, Thone F, Flameng W, Ramaekers F, Borgers M. Chronic hibernating myocardium - interstitial changes. Mol Cel Biochem 1995; 147:35-42. (More details: [17]).
18. Ahmed I, Adeghate E, Sharma AK, Pallot DJ, Singh J. Effects of Momordica charantia fruit juice on islet morphology in the pancreas of the streptozotocin-diabetic rat. Diabetes Res Clin Pract 1998; 40:145-51. (More details: [18]).
19. Howarth FC, Marzouqi FM, Al Saeedi AM, Hameed RS, Adeghate E. The effect of a heavy exercise program on the distribution of pancreatic hormones in the streptozotocin-induced diabetic rat. JOP. J Pancreas (Online) 2009; 10:485-91. (More details: [19]).
20. Ueno N, Asakawa A, Satoh Y, Inui A. Increased circulating cholecystokinin contributes to anorexia and anxiety behavior in mice overexpressing pancreatic polypeptide. Regul Pept 2007; 141:8-11. (More details: [20]).