ORIGINAL ARTICLE
JOP. J Pancreas (Online) 2012 Jan 10; 13(1):36-44.
Evaluation of Ultrasound Based Acoustic Radiation Force Impulse (ARFI) and eSie touch Sonoelastography for Diagnosis of Inflammatory Pancreatic Diseases
Mohammad A Mateen, Khan A Muheet, Ramchandani J Mohan, Poplapally N Rao, Hussain MK Majaz, Guduru V Rao, Duvvur N Reddy
Asian Institute of Gastroenterology. Hyderabad, India
ABSTRACT
Context Pathology changes the consistency of the tissues. Objective To prospectively assess the accuracy of per-abdominal US elastography in the form of acoustic radiation force impulse - virtual touch tissue quantification (ARFI-VTQ) and eSie touch elasticity imaging in characterizing and differentiating inflammatory pancreatic diseases. Patients One-hundred and 66 patients from among the patients that visited the Asian Institute of Gastroenterology, Hyderabad, India, during the period April 2009 to December 2010, for master health check-up, blood donation and those with pancreatic pathology. Setting Based on the clinical symptomatic criteria and diagnostic imaging findings, the patients were divided into normal, chronic and acute, or acute resolving, pancreatitis group. Main outcome measures The ultrasound based ARFI-VTQ and eSie touch elasticity imaging techniques were applied. Design Prospective single-center study. Results The mean ARFI-VTQ values were 1.28 m/s, 1.25 m/s and 3.28 m/s for the normal, chronic and acute pancreas, respectively. The eSie touch gray scale and color elastograms were light gray and purple-greenish, respectively for both normal and chronic pancreas, while for acute pancreas the elastograms were dark black on the gray scale and orange to red on color scale. Conclusion Both the ARFI-VTQ and eSie touch elasticity imaging techniques may be successfully adopted in order to diagnose acute pancreatitis, to assess extent of inflammation (whether focal or diffuse), to assess peripancreatic edema, to identify presence of necrotic areas and early pseudocyst formation, to early diagnose acute recurrent attacks and to monitor patient’s response to treatment.
INTRODUCTION
Imaging techniques for pancreatic inflammatory diseases include contrast enhanced computed tomography (CECT), magnetic resonance imaging (MRI), secretin-magnetic resonance cholangiopancreatography (S-MRCP), ultrasound (US) B-mode, endoscopic ultrasonography (EUS), and endoscopic retrograde cholangiopancreatography (ERCP). All the techniques have variable sensitivity and specificity, with certain disadvantages, to detect acute pancreatitis. CECT involves radiation and is more accurate following the onset of acute attack in assessment and quantification of pancreatic necrosis. Although MRI is superior to CECT in this respect, CECT is less expensive and readily available. However, both S-MRCP and EUS can timely detect pancreatic ductal impairments before the onset of acute attack. ERCP is both diagnostic and therapeutic for obstructive pancreatic pathology. Since the procedure is invasive and generally causes considerable postoperative complications, candidates for ERCP need to be chosen carefully. The radiation-free MRCP and US B-mode have been established as preferred imaging techniques for this purpose. Unlike MRCP, US imaging facilities are cost-effective, repetitive and readily available. The role of US B-mode as a diagnostic tool in pancreatic pathology has so far been effective in detection of etiological causes including presence of gallstones [1, 2, 3, 4, 5], common bile duct calculi [6], intrahepatic biliary duct calculi, pseudocysts in and around pancreas [3, 4, 5, 7, 8, 9], pseudoaneurysm, if any, and guiding percutaneous aspiration during the follow-up process. US also depicts the secondary signs for diagnosis of chronic pancreatitis like calcification and dilatation of pancreatic ducts [7, 10] and onset of main pancreatic duct obstruction [5].
Early detection of morphological changes in the pancreatic parenchyma is crucial in the management of pancreatitis patients. Since the pathology changes the consistency of the tissues [11], the recently introduced US based tissue strain technologies that differentiate tissues on the basis of their consistency, namely, the acoustic radiation force impulse - virtual touch tissue quantification (ARFI-VTQ) and eSie touch elasticity imaging have been evaluated in this study. A virtual touch software image is a qualitative grayscale map of relative tissue stiffness (elastogram) for a user defined region of interest. For a given elastogram image, bright regions depict tissue that is more elastic (less stiff) than dark regions. eSie touch imaging forms the elastogram by computing relative tissue deformation globally and displaying the information within a user defined region of interest. Using this technique, stiff and soft tissue may be differentiated even when the tissues appear isoechoic on the B-mode exam. Of the two techniques, ARFI-VTQ technique has been reported to be highly effective in various clinical diagnostic applications [12, 13, 14, 15, 16, 17, 18, 19, 20, 21, 22, 23, 24, 25, 26, 27, 28, 29]. However, studies on the role of ARFI-VTQ in a deep-seated organ like pancreas are limited [18, 30, 31].
The aim of the present study is to prospectively assess the effectiveness of per-abdominal US elastography in the form of ARFI-VTQ and eSie touch elasticity imaging in characterizing and differentiating normal pancreas, chronic pancreatitis and acute pancreatitis, as well as to assess the appropriateness of these methods in the follow-up cases of acute pancreatitis, patient’s response to treatment, assessment of acute-on-chronic and recurrent pancreatitis.
MATERIALS AND METHODS
Study Population
Consecutive patients of acute pancreatitis, acute resolving pancreatitis and chronic pancreatitis who visited Asian Institute of Gastroenterology, in the city of Hyderabad, State of Andhra Pradesh, Southeast India, during the period April 2009 to December 2010 were included. Since the present study was conducted at a tertiary care hospital, a majority of the patients under the acute or acute resolving group consisted of the chronic pancreatitis patients presenting with recurrent attack and/or acute resolving pancreatitis. The patients in acute attack tend to visit a primary or a secondary care centre for stabilization and are referred to this center for further management. Pregnant women, HIV positive, obese (body mass index greater than 25 kg/m2) and patients carrying infectious disease were excluded from the study.
Group 1. Healthy Control Group
Patients registered for master health check-up, healthy blood donors and patients suffering from irritable bowel syndrome with the following criteria: i) no past history of pancreatic disease; ii) normal serum amylase and lipase levels; iii) trans-abdominal US B-mode showing homogeneous, finely granular, isoechoic or slightly hyper-echoic pancreatic parenchyma compared to liver, absence of gallbladder calculi, no evidence of splenomegaly and dimensions of normal pancreas (head: 25 to 30 mm; body: about 18 mm; tail: 25 to 30 mm and pancreatic duct less than 2 mm in body).
Group 2. Chronic Pancreatitis Group
Known cases of chronic pancreatitis confirmed by any imaging modality, which included abdominal X-ray, abdominal US, abdominal CT, EUS, MRCP and/or ERCP, presently asymptomatic and on regular follow-up were included in this group and followed criteria: i) dilatation of pancreatic duct (more than 2 mm); ii) increased echotexture of pancreas; iii) atrophy of pancreas; iv) presence of calculi or calcification in pancreas; v) absence of peripheral edema; vi) absence of pseudocysts, vii) normal portal, splenic and mesenteric veins (observations from i to vii as in B-mode image); viii) established chronic pancreatitis by the MRCP; ix) no history of acute pancreatic attack during the past three months prior to examination but had a history of at least three attacks earlier; and x) normal levels of amylase and lipase (serum lipase: 5.6-51.3 U/L, serum amylase: 28-100 U/L). Occurrence of at least two markers from among i to vii above, as visualized in B-mode image, associated with other markers (all viii to x above) was required for inclusion in this group.
Group 3. Acute Pancreatitis/Acute Resolving Pancreatitis Group
This included: i) patients in acute pancreatitis attack or with history of such acute attack/recurrent attacks during the two months prior to examination; ii) patients with 3-time higher levels of amylase/lipase than the normal levels mentioned above; iii) elevation of white blood cells count to 20,000-50,000; iv) decrease in echotexure of pancreas; v) increase in size of pancreas (both focal and diffuse); vi) presence of pseudocysts; and vii) presence of peripancreatic edema (markers iv to vii as in US B-mode).
Characteristics of the Study Population
A total number of 166 patients were included in the study. The mean age of the patients was 33.8±17.2 years (ranging from 6 to 80 years). Healthy control group contained 52 patients (male:female ratio, 25:27) and ranged from 7-76 years in age (mean±SD, 39.4±19.7 years). The chronic pancreatitis group had 46 patients (male:female ratio, 30:16) belonging to the age group of 6-60 years (mean±SD, 26.8±13.8 years). Under the acute or acute resolving pancreatitis group 68 patients (male:female ratio, 57:11), belonging to the age group 8-80 years (mean±SD, 34.2±15.8 years), were examined. The frequency of male patients was significantly different among the 3 groups (P<0.001): it was higher in the healthy control group (P<0.001), as well as, it was lower in the acute or acute resolving pancreatitis group (P<0.001). Age too was significantly different among the 3 groups (P=0.001): it was significantly lower in the chronic pancreatitis groups when compared to both healthy control (P<0.001) and acute or acute resolving pancreatitis (P=0.021) groups, while no significant difference was found between the two pancreatitis patient groups (P=0.092).
Patient Preparation for Imaging and Investigation
All the patients were required to have observed at least six hours of fasting prior to examination, except those who were in acute phase. For examination, the patient was required to lie down in supine position. The upper abdominal transverse B-mode scan was done placing the transducer in the epigastrium. The probe was angled to locate the celiac trunk. A key landmark was the splenic vein, which is located by angling the probe further and sliding it in the caudal direction. For the desired elastography results of ARFI-VTQ and eSie touch, pancreas should be well defined with clear margin and echotexture on the B-mode. The scanning technique is adapted to the organ. The head of the pancreas is directed downward and to the right. The tail is directed upward and to the left. In certain patients if the pancreas was not accessible from the epigastrium, and if the tail was seen through the splenic window, the stiffness was assessed through accordingly. The patient was asked to distend the abdomen and hold breath for a few seconds till the eSie touch elastogram was obtained. Then the patient was asked to relax and hold breath in expiration for ARFI-VTQ. At least 10 observations (3 in the head, 4 in the body and 3 in the tail of pancreas) were made for each patient and the mean ARFI-VTQ value was considered. Total scan time was about 20 minutes. ARFI-VTQ and eSie touch elastogram results were recorded throughout the pancreatic parenchyma and peripancreatic tissue.
Ultrasound System
US device S 2000 ACUSON (Siemens, Mumbai, India) with a 1-4 MHz convex array transducer was used.
ARFI Imaging
ARFI imaging features with two virtual touch implementations [32]: virtual touch tissue imaging and virtual touch tissue quantification. In virtual touch tissue imaging, first, a baseline B-mode sonographic reference image is obtained to define the region of interest (dimension 15x20 mm) around a subtle region. Second, a short (approximately 100 microseconds) acoustic push pulse is transmitted through tissue. This gives a small displacing mechanical force to tissue. Depending on its specific stiffness properties, a given tissue will displace approximately 1 to 20 microns. A very stiff tissue may displace little or not at all. Once the push pulse has passed through, the tissue begins to relax towards its original configuration. Third, conventional sonographic tracking beams are applied during a short time interval (a few milliseconds) to detect minute tissue displacement and compute it. The process was repeated for each axial line across the entire user-defined region of interest to generate a gray-scale map (elastogram) depicting the relative stiffness of tissue for each patient from the three groups.
For virtual touch tissue quantification, an anatomical location for measurement is identified on the region of interest placed on a conventional ultrasound image. An acoustic push pulse is applied just lateral to this location, inducing a shear-wave. Tracking beams (sensitive to greater than 1/100 the wavelength of sound) are applied adjacent to the push pulse path. These beams are continuously transmitted until the passing shear-wave front is detected. The time between generation of the shear-wave and detection of the peak is utilized to compute the shear-wave velocity. Multiple measurements were made throughout the chosen location and mean calculated. This numerical value was related to the stiffness of tissue within the region of interest [32].
eSie Touch Elastogram
The eSie touch elasticity imaging uses a gentle compression. Axial detection pulses are continuously transmitted throughout the field of view to provide information about the state of tissue deformation along one axial line at a specific point of time. Using this technique high resolution elastograms depicting relative tissue stiffness were created for all the patients from the three groups. On this elastogram, stiffness of the tissue was depicted by color [32]. Two types of images (gray scale and color scale) were available. On gray scale image, with increasing stiffness of the tissue, the images gradually changed from white to black with white depicting the softest tissue and black, the hardest tissue. On color scale, with increasing stiffness of the tissue, the image gradually changed from purple-green to dark red with purple-green representing the softest tissue and dark red the hardest tissue. For convenient reading, the ranges of colors depicting the corresponding tissue consistency were assigned a score from 1 to 6 (Table 1). On the gray scale image, score 1 was assigned to white image and score 6 to dark black image. On the color code, green/purple was given score 1 while dark red image was given score 6.
Since the assessment of a color is often subjective and since Group 3 consisted of patients in acute attack to acute resolving stages, the eSie touch color images of 53 cases of Group 3 were scored by three different raters blinded to the result given by the other raters.
|
Table 1. Score assigned to eSie touch imaging. |
||
|
Score |
Gray scale |
Color scale |
|
1 |
White |
Green/purple |
|
2 |
Light gray |
Yellowish green |
|
3 |
Gray |
Yellow |
|
4 |
Grayish black |
Yellowish red |
|
5 |
Patchy black |
Patchy red |
|
6 |
Dark black |
Dark red |
STATISTICS
Frequencies, means, standard deviations (SDs) and ranges were used as descriptive statistics. The statistical analysis of the data was carried out using the Statistical Package for Social Sciences (17th Version) [33]. The mean values of age and ARFI-VTQ were compared among the three groups by using the one-way analysis of variance (ANOVA) and the simple contrast was applied in order to compare pairs of groups. The eSie touch scores were compared by means of the Kruskal-Wallis and the Mann-Whitney tests. Gender was compared among groups by means of the Pearson’s chi-square test and the frequencies observed in each group were compared with the overall frequency by means of the hierarchical log-linear model. The power of the ARFI-VTQ test in diagnosing acute or acute resolving pancreatitis was assessed by computing the sensitivity, specificity and positive and negative predictive values. In order to determine consistency between pairs of the three raters for the eSie touch color image scores, an inter-rater agreement analysis was performed by calculating the kappa statistic and its asymptomatic standard error.
ETHICS
The study was prospectively designed and approved by the local ethical committee. All the patients provided written consent. For patients in minor age, parental consent was availed. The study protocol conforms to the ethical guidelines of the "World Medical Association Declaration of Helsinki - Ethical Principles for Medical Research Involving Human Subjects" adopted by the 18th WMA General Assembly, Helsinki, Finland, June 1964, as revised in Tokyo 2004.
RESULTS
Healthy Control Group (Group 1)
The ARFI-VTQ values for the pancreatic parenchyma ranged from 0.80 m/s to 2.21 m/s with a mean value of 1.276±0.293 m/s (Table 2, Figure 1). On eSie touch elastogram, normal pancreatic parenchyma and peripheral fat appeared white to light gray (scores 1-2) on gray scale while on the color scale, it was green/purple to yellowish green (scores 1-2), thus indicating softness of the normal tissue (Figure 2).
|
Table 2. ARFI-VTQ values (m/s) for healthy control, chronic pancreatitis, and acute or acute resolving pancreatitis groups. |
||
| Groups |
Mean±SD |
Range |
| Healthy controls (Group 1, n=52) |
1.276±0.293 |
0.80-2.21 |
| Chronic pancreatitis (Group 2, n=46) |
1.249±0.235 |
0.65-1.74 |
| Acute and acute resolving pancreatitis (Group 3, n=68) |
3.282±0.852 |
1.48-4.95 |
| Comparison among the 3 groups: P<0.001 (one-way ANOVA) | ||

|
Figure 1. Box and whisker plot showing interquartile range (box), median (thick line), and range (vertical thin line) of tissue stiffness (ARFI-VTQ) for each groups. |

|
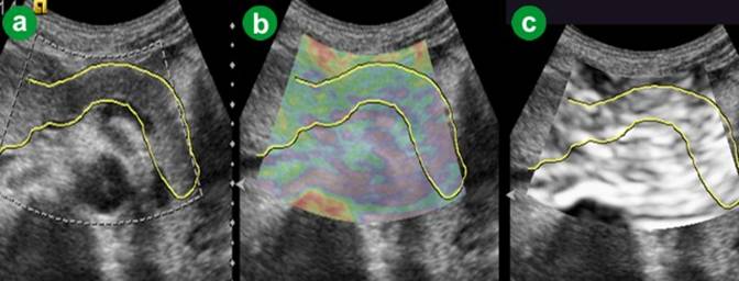
Figure 2. Normal pancreas. a. US B-mode image. b. eSie touch color scale image (green/purple to yellowish green: score 1-2). c. eSie touch gray scale image (white to light gray: score 1-2). |
Chronic Pancreatitic Group (Group 2)
The ARFI-VTQ values for the pancreatic parenchyma ranged from 0.65 m/s to 1.74 m/s with a mean value of 1.240±0.235 m/s (Table 2; Figure 1). On eSie touch elastogram the pancreatic parenchyma and peripheral fat appeared light gray to gray (scores 2-3) on gray scale (Figure 3), while on the color scale it was yellowish green to yellow (scores 2-3; Figure 4).

|
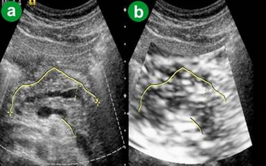
Figure 3. Chronic pancreatitis. a. US B-mode image. b. eSie touch gray scale image (light gray to gray: score 2-3). |

|
Figure 4. Chronic pancreatitis. a. US B-mode image. b. eSie touch color scale image (yellowish green to yellow: score 2-3). |
Acute and Acute Resolving Pancreatitic Group (Group 3)
In five patients (7.4% out of the 68 patients) the ARFI-VTQ values for pancreatic parenchyma and peripancreatic fat during the acute attack, or soon following an attack, were greater than the upper detection limit (ARFI-VTQ equal to 4.95 m/s) showing that the tissue hardness of this condition often is beyond the capacity of the machine. The 4.95 m/s value was arbitrarily assigned to these patients in order to allow the analysis of data. After considering this assumption, the ARFI-VTQ values for the pancreatic parenchyma ranged between 1.48 and 4.95 m/s with a mean of 3.283±0.852 m/s (Table 2, Figure 1). The mean ARFI-VTQ value for peripancreatic fat in this group was higher than 2.0 m/s. The eSie touch image colors ranged from light gray to dark black (scores 2-6) on gray scale (Figure 5). On color scale, the images ranged from yellowish green to dark red (scores 2-6) (Figure 5). Out of the 68 patients of this group, 48.5% (n=33) belonged to score 4 (yellowish red image), 35.3% (n=24) belonged to score 5 (patchy red image), 8.8% (n=6) had score 6 (dark red image), 1.5% (n=1) had score 3 (yellow image) and 5.9% (n=4) belonged to score 2 (yellowish green image).

|
Figure 5. Acute pancreatitis. a. US B-mode image. b. eSie touch color scale image (dark red: score 6). c. eSie touch gray scale image (dark black: score 6). |
Comparison among the 3 Groups
ARFI-VTQ Values
A significant difference among the 3 groups (P<0.001) was observed (Table 2). In particular, ARFI-VTQ values were significantly higher in Group 3 when compared with both Group 1 (P<0.001) and Group 2 (P<0.001), while no significant difference (P=0.761) was found between healthy controls (Group 1) and chronic pancreatitis patients (Group 2).
eSie Touch Image Scores
The same eSie touch image scores were observed in all cases both in the gray or color scale (Table 3). A significant difference among the 3 groups (P<0.001) was observed; in particular, the score values were significantly different (P<0.001) by comparing each pair of groups.
|
Table 3. eSie touch gray or color image scores for healthy control, chronic pancreatitis, and acute or acute resolving pancreatitis groups. |
|||
|
Gray or color score |
Group 1 |
Group 2 |
Group 3 |
|
1 |
25 (48.1%) |
0 |
0 |
|
2 |
27 (51.9%) |
22 (47.8%) |
4 (5.9%) |
|
3 |
0 |
24 (52.2%) |
1 (1.5%) |
|
4 |
0 |
0 |
33 (48.5%) |
|
5 |
0 |
0 |
24 (35.3%) |
|
6 |
0 |
0 |
6 (8.8%) |
|
Comparison among the 3 groups: P<0.001 (Kruskal-Wallis test) Group 1 vs. Group 2: P<0.001; Group 1 vs. Group 3: P<0.001; Group 2 vs. Group 3: P<0.001 (Mann-Whitney test) |
|||
The Follow-up of Patients
The eSie touch images for parenchyma and peripancreatic fat for the five patients with ARFI-VTQ values greater than the upper detection limit were dark black (score 6) on gray scale and dark red (score 6) on color image at the time of the acute attack, or soon following the attack. The numerical expression of tissue hardness (i.e. the fall below the upper detection limit of 4.95 m/s) in these patients was possible from the 7th day following attack. The ARFI-VTQ values during the following days decreased gradually reaching the value of 2.2 m/s (i.e., the highest ARFI-VTQ value observed in the healthy control group) within about 4-6 weeks depending upon the intensity of infection. During this period, the eSie touch images turned from dark black (score 6) to gray (score 3) on the gray scale image and from dark red (score 6) to yellow (score 3) on the color scale. There were patchy areas of light gray color and blue-green color on the respective scales, indicating necrosis (Figure 6).

|
Figure 6. Acute resolving pancreatitis with necrosis and pseudocyst formation in the body. a. US B-mode image. b. eSie touch color scale image: patchy red parenchyma with focal green/purple area suggesting necrosis and pseudocyst formation. |
The rapid recovery of the four patients belonging to this group who had acute attack following diagnostic ERCP, correlated with a quick fall to less than the 2.2 m/s ARFI-VTQ value within 2 weeks since the attack. The eSie touch image scores fell rapidly from score 6 to score 2 to indicate speedy recovery to normal condition in these patients.
In the acute resolving pancreatitis group some of the patients had focal areas with necrosis formation expressed by low ARFI-VTQ values in the range of 1.48 m/s to 2.50 m/s. Decrease in inflammation of parenchyma in these focal areas was indicated by white to gray areas (score 1-3) on the gray scale image and purple-green to yellow (score 1-3) on the color image of eSie touch. Occurrence of some hard areas was represented by higher ARFI-VTQ values of greater than 3.0 m/s. The eSie touch image for such areas was grayish black (score 4) on gray scale and yellowish red (score 4) on color image suggesting areas of persistent pancreatic inflammation.
Three of our cases were diagnosed as acute autoimmune pancreatitis: one focal (Figure 7) and two diffused. The eSie touch images were dark black (score 6) and dark red (score 6) on gray and color codes, respectively. Post-steroid therapy scan of a patient six weeks following therapy showed decreased ARFI-VTQ to less than 2 m/s. The eSie touch image (Figure 8) was light gray (score 2) on gray scale and yellowish green (score 2) on color scale.

|
Figure 7. Focal autoimmune pancreatitis. a. US B-mode image show bulky head of pancreas. b. eSie touch color scale image (dark red area in the head of the pancreas: score 6). |

|
Figure 8. Focal autoimmune pancreatitis six weeks after steroid therapy. a. US B-mode. b. eSie touch color scale image (yellowish green: score 2). |
As the ARFI-VTQ value expressed by the presently available machine was within the range of 0.50 m/s and 4.95 m/s and not beyond, in cases with ARFI-VTQ values higher than 4.95 m/s, if the eSie touch image was dark black (score 6) on gray scale and patchy red to dark red (scores 5 or 6) on color code (Figure 9), this was considered to indicate hard pancreas (acute inflamed) suggesting acute pancreatitis. In cases of acute resolving pancreatitis, where ARFI-VTQ values were higher than 4.95 m/s but eSie touch image was patchy with bright white (score 1) on gray scale and green/purple (score 1) on color code, it suggested necrotic areas.

|
Figure 9. Acute-on-chronic calcific pancreatitis. a. US B-mode image. b. eSie touch color scale image (patchy red to dark red: score 5-6). |
Accuracy of ARFI-VTQ Elastography in Diagnosing Acute and Acute Resolving Pancreatitis
The cut-off value of ARFI-VTQ was chosen as the upper limit of the 95% confidence interval (1.792-2.157 m/s) of the mean ARFI-VTQ value observed in the entire study population (2.088±1.155 m/s; SEM: 0.086 m/s) rounded to 2.2 m/s. The sensitivity of the ARFI-VTQ elastography in order to differentiate acute or acute resolving pancreatitis versus healthy controls and chronic pancreatitis was calculated to be 97.1% while the specificity was 92.9% (Table 4). The test had positive predictive power of 90.4% and negative predictive power of 97.8%. The inter-rater agreement (expressed in terms of kappa value) for the scores assigned to the colored eSie touch images (Table 5) between the raters 1 and 2 was found to be 0.291 (fair agreement), between raters 2 and 3 was 0.248 (fair agreement) whereas, between raters 1 and 3 it was 0.583 (moderate agreement).
|
Table 4. Sensitivity, specificity and positive and negative predictive values of ARFI-VTQ elastography in diagnosing acute or acute resolving pancreatitis. |
|
|
|
No. of cases |
|
Sensitivity |
66/68 (97.1%) |
|
Specificity |
91/98 (92.9%) |
|
Positive predictive value |
66/73 (90.4%) |
|
Negative predictive value |
91/93 (97.8%) |
|
Overall number of cases correctly identified |
157/166 (94.6%) |
|
Table 5. Proportion of agreement on eSie touch color image scores among the raters by using the kappa statistic (53 out of 68 cases of Group 3: acute or acute resolving pancreatitis patients). |
|
|
|
Kappa±SE |
|
Rater 1 vs. 2 |
0.291±0.089 |
|
Rater 2 vs. 3 |
0.248±0.078 |
|
Rater 1 vs. 3 |
0.583±0.086 |
DISCUSSION
ARFI technology has been reported to be useful in describing parenchymal stiffness in various abdominal organs (Goretz et al.) [13] and assessing liver fibrosis or cirrohsis (Goretz et al.) (29). D’Onofrio et al. [31] diagnosed pancreatic cystadenoma, which mimicked a solid neoplasm at conventional imaging (US and CT), as cystic at US-ARFI imaging. Galloti et al. [18] recorded normal values of shear-wave speed for healthy pancreas to be 1.40 m/s with ARFI technology in US with VTQ which is near to the mean ARFI-VTQ value of 1.28 m/s for the normal pancreas in the present study. Mean ARFI-VTQ value of peripancreatic soft tissue was around 1 m/s. In peripancreatic edema the values were always more than 2 m/s in this study.
The present study suggests that a patient with complaint of abdominal pain but with mean ARFI-VTQ value less than 2.2 m/s (upper limit of ARFI-VTQ values for normal pancreas in the present study) for pancreatic parenchyma and less than 2.0 m/s for peripancreatic soft tissue, associated with score 1 of eSie touch (pancreatic image white on gray scale and purple/green on color code) may be excluded from acute pancreatic inflammatory disease. In a patient with acute pancreatitis symptoms, if mean ARFI-VTQ value is higher than 2.2 m/s, associated with score 6 on eSie touch (pancreatic image dark black on gray scale and dark red on color code), an acute pancreatitis attack may be diagnosed. Higher ARFI values in acute pancreatitis (as also noted in acute hepatitis) are due to increased fluid content in the inflamed organ making the tissue hard. Rifai et al. [34] reported higher shear-wave velocity in patients with significant liver inflammation compared with those with no significant inflammation. Yet another study [35] indicated that pathological and serological liver inflammation might affect shear-wave velocity.
In the follow-up scans, decreasing ARFI-VTQ values along with the eSie touch image scores falling from score 6 to score 3 or 2 would be the signs of recovery, while reversal of the same would suggest exacerbation of the disease. Focal decrease in ARFI-VTQ values and focal change in color on eSie touch imaging in the follow-up scans suggest onset of focal areas of necrosis which may not be appreciable on the conventional B-mode US.
In some patients with acute recurrent pancreatitis, the pancreas showed very slow recovery with persistently high ARFI-VTQ values and high scored eSie touch images for about 7-8 weeks since the onset of acute inflammation. Speedy recovery within 2 weeks in post-procedural (post-ERCP) acute pancreatitis patients was denoted correctly by the quick drop in the ARFI-VTQ values, as well as reversal of the eSie touch image colors for these patients.
Inability to express ARFI-VTQ values higher than 4.95 m/s for the patients in, or immediately after, an acute attack suggests that it is beyond the capacity of the machine to quantify higher than a certain degree of tissue hardness. The non significant difference between mean ARFI-VTQ values for normal and chronic pancreatitis groups, as well as the eSie touch image color demonstrations for both the groups in the present study, may be because the amount of fibrosis in the shrunken tissue in chronic pancreatitis is not measurable enough with the present version of ARFI-VTQ. An earlier study (Janssen et al.) [36] concluded that chronic pancreatitis and hard tumors cannot be distinguished by elastography, probably because of their similar fibrous structure.
Difficulty in scanning to record ARFI-VTQ values in obese patients, in thick/muscular subjects, in patients unable to hold breath, as well as the deep location and small structure of pancreas as compared to the large and superficially situated organ like liver (maximum depth accepted by ARFI application being 55 mm) and the presence of large pseudocysts are some of the limitations that need to be addressed in the further technological development in ARFI elastography technique to be used as a diagnostic tool for pancreatic disorders. Pulsations from the aorta or the superior mesenteric artery, presence of air in the stomach, transverse colon and small bowel interfere with ARFI and eSie touch imaging.
The study concludes that both the ARFI-VTQ and eSie touch elasticity imaging techniques may be successfully adopted in order to diagnose acute pancreatitis, to assess extent of inflammation (whether focal or diffuse), to assess peripancreatic edema, to identify presence of necrotic areas and early pseudocyst formation, to early diagnose acute recurrent attacks and to monitor patient’s response to treatment. Further modifications in the present technology to differentially diagnose the chronic from normal pancreatic tissue are awaited.
Received September 13th, 2011 - Accepted October 26th, 2011
Key words Pancreatitis; Pancreatitis, Acute Necrotizing; Pancreatitis, Chronic
Abbreviations ARFI-VTQ: acoustic radiation force impulse - virtual touch tissue quantification
Conflict of interest The authors have no potential conflict of interest
Acknowledgement The authors are thankful to Dr Rajesh Gupta, consultant gastroenterologist, and Dr Rupjyoti Talukdar, consultant pancreatologist, Asian Institute of Gastroenterology, Hyderabad, India, for reviewing the manuscript and offering critical comments
Correspondence
Mohammad
Abdul Mateen
Asian Institute of Gastroenterology
6-3-661, Somajiguda
Hyderabad - 500082
India
Phone: +91-40.2337.8888
Fax: +91-40.2332.4255
E-mail: drmateen@hotmail.com
References
1. McKay AJ, Duncan JG, Imrie CW, Joffe SN and Blumgart LH. A prospective study of the clinical value and accuracy of gray scale ultrasound in detecting gallstones. British Journal of Surgery 1978, 65(5): 330-333.
2. Neoptolemos JP, Hall AW, Finlay DF, Berry JM, Carr-Locke DL and Fossard DP. The urgent diagnosis of gallstones in acute pancreatitis: A prospective study of three methods. British Journal of Surgery(1984), 71: 230-233.
3. Doust BD. The use of ultrasound in the diagnosis of gastroenterological disease. Gastroenterology. 1976 Apr; 70(4):602-10.
4. McKay AJ, Imrie CW, O'Neill J and Duncan JG (1982). Is an early ultrasound scan of value in acute pancreatitis? British Journal of Surgery, 69: 369-372.
5. Munsell, MA and Buscaglia JM (2010). Acute pancreatitis. Journal of Hospital Medicine, 5: 241-250.
6. Lane RJ, Glazer G. Intra-operative B-mode ultrasound scanning of the extra-hepatic biliary system and pancreas. Lancet. 1980 Aug 16; 2(8190):334-7.
7. Bernard Sigel MD, Julio CU, Coelho MD, Dimitrios G, Spigos MD, Philip E. Ultrasonic imaging during biliary and pancreatic surgery. The American Journal of Surgery Volume 141, Issue 1, January 1981, Pages 84-89.
8. Edward L. Bradley III MD, J.L. Clements Jr MD and A.C. Gonzalez MD. The natural history of pancreatic pseudocysts: A unified concept of management. The American Journal of Surgery Volume 137, Issue 1, January 1979, Pages 135-141.
9. Gonzalez AC, Bradley EL, and Clements JL Jr. Pseudocyst formation in acute pancreatitis: ultrasonographic evaluation of 99 cases. American Journal of Roentgenology, Vol 127, Issue 2, 315-317.
10. Hohl C, Schmidt T, Haage P, Honnef D, Blaum M, Staatz G, Guenther RW. Phase-inversion tissue harmonic imaging compared with conventional B-mode ultrasound in the evaluation of pancreatic lesions. Eur Radiol. 2004 Jun; 14(6):1109-1117. Epub 2004 Jan 9.
11. Skovoroda AR, Klishko AN, Gusakyan DA, Mayevskii YI, Yermilova VD, Oran- skaya GA,et al. Quantitative Analysis of the Mechanical Characteristics of Pathologically Changed Soft Biological Tissues. Biophysics, 40. (1995) 1359-1364.
12. Sharma AC, Soo MS, Trahey GE, Nightingale KR. Ultrasonic Symposium, 2004. 23-27 Aug 2004, vol.1: 728-731.
13. Goertz RS, Amann K, Heide R, Bernatik T, Neurath MF, Strobel D. An abdominal and thyroid status with Acoustic Radiation Force Impulse Elastometry- A feasibility study Acoustic Force Impulse Elastometry of human organs. Eur. J. Radiology, 2010(a), Oct 22.
14. Zhai L, Dahl J, Madden J, Mouraviev V, polascik T, Palmeri M. nightingale K. Three dimensional acoustic radiation force impulse (ARFI) imaging of human prostates in vivo. Ultrasonic Symposium, 2008, 2-5 Nov 2008:540-543.
15. Tanaka T, Makino S, Saito T, Yorifuji T, Koshiishi T,Tanaka S, et al. Attempts to quantify uterine involution using acoustic radiation force impulse before and after placental delivery. Journal of medical ultrasonics, 2011, vol. 38, n0 1: 21-25.
16. Fahey BJ, Nightingale KR, Nelson RC, Palmeri ML, Trahey GE. Acoustic Radiation Force Impulse imaging of the abdomen: demonstration of feasibility and utility. Ultrasound in Med. Biol., vol. 31, no. 9: 1185-1198, 2005.
17. Fahey BJ, Nelson RC, Bradway DP, Hsu SJ, Dumont DM, Trahey GE. In vivo visualization of abdominal malignancies with acoustic radiation force elastometry. Phys Med Biol, 2008; Jan 7; 53(1): 279-93.
18. Gallotti A, D'Onofrio M, Pozzi Mucelli R. Acoustic Radiation Force Impulse (ARFI) ultrasound technique in virtual touch with quantification of the upper abdomen. Radiol Med 2010; 115: 889-897.
19. Dumont D, Behler RH, Nichols TC, Merricks EP, Gallippi CM. ARFI imaging for noninvasive material characterization of atherosclerosis. Ultrasound Med Biol; 2006; 32:1703-1711.
20. Behler RH, Nichols TC, Zhu H, Merricks EP,Gallippi CM. ARFI imaging for noninvasive material characterization of atherosclerosis. Part II: toward in vivo characterization. Ultrasound Med Biol; 2009; 35: 278-295.
21. Fahey BJ, Hsu SJ, Wolf PD, Nelson RC, Trahey GE. Liver ablation guidance with acoustic radiation force impulse imaging: challenges and opportunities. Phys. Med. Biol. 2006b. 51: 3785-3808.
22. Palmeri ML, Wang MH, Dahl JJ, Frinkley KD, Nightingale KR. Quantifying hepatic shear modulus in vivo using acoustic radiation force. Ultrasound Med Biol 2008; 34: 546-558.
23. Gatti E, Cabassa P, Gandolfi S, Contessi G, Rossini A, Maroldi R. Quantification of hepatic fibrosis with a new US technique (virtual touch analysis): correlation with pathologic findings. Eur. Radiol, 2009; 19:s308.
24. Lees WR. Acoustic radiation force imaging: a new method for quantifying hepatic fibrosis. Eur Radiol, 2009; 19: s 308.
25. Friedrich-Rust M, Wunder K, Sotoudeh F, et al. Acoustic radiation force elastography versus transient elastography for non-invasive assessment of liver fibrosis in viral hepatitis: a new alternative? Hepatology 2008; 48: 1108A.
26. Rifai K, Bahr MJ, Mederacke I, et al. Acoustic radiation force imaging (ARFI) as a new method of ultrasonographic elastography allows accurate and flexible assessment of liver stiffness. J Hepatol 2009; 50:s88.
27. Lupsor M, Badea R, Stefanescu H, Sparchez Z, Branda H, Serban A, et al. Performance of a New Elastographic Method (ARFI technology) Compared to Unidimensional Transient Elastography in the Noninvasive Assessment of Chronic Hepatitis C. Preliminary Results. J Gastrointestin Liver Dis. September 2009 Vol.18 No 3, 303-310.
28. Heide R, Strobel D, Bernatik T, Goertz RS. Characterization of focal liver lesions (FLL) with acoustic radiation force impulse (ARFI) elastometry. Ultraschall Med. 2010 Aug; 31(4):405-9. Epub 2010 Jul 22.
29. Goertz RS, Zopf Y, Jugl V, Heide R, Janson C, Strobel D, Bernatik T, Haendl T. Measurement of liver elasticity with acoustic radiation force impulse (ARFI) technology: an alternative noninvasive method for staging liver fibrosis in viral hepatitis. Ultraschall Med. 2010(b) Apr; 31(2): 151-5.
30. Hiroki U, Yoshiki H, Akihiro I, Hiroki K, Kazuo H, Koji N, et al. Feasibility of tissue elastography using transcutaneous ultrasonography for the diagnosis of pancreatic diseases. Pancreas. 38(1) Jan 2009: 17-22.
31. D'Onofrio M, Galloti A, Martone E, Pozzi MR. Solid appearance of pancreatic serous cystadenoma diagnosed as cystic at ultrasound acoustic radiation force impulse imaging. JOP. 2009, Sep 4; 10(5): 543-6.
32. Rees SL. Tissue Strain Analysis: Virtual Touch Tissue Imaging and Quantification. Acuson 2000 Ultrasound System, Oct 2008. Siemens Medical Solutions, USA.
33. Landis J.R., Koch G.G. The measurement of observer agreement for categorical data. Biometrics. 1977; 33:159-174.
34. Rifai K, Cornberg J, Mederacke I, Bahr MJ, Wedemeyer H, Malinski P, et al. Clinical feasibility of liver elastography by acoustic radiation force impulse imaging (ARFI). Dig Liver Dis. 2011; 43:491-7.
35. Takahashi H, Ono N, Eguchi Y, Eguchi T, Kitajima Y, Kawaguchi Y, et al. Evaluation of acoustic radiation force impulse elastography for fibrosis staging of chronic liver disease: a pilot study. Liver Int. 2010; 30:538-45.
36. Janssen J, Schlörer E, Greiner L. EUS elastography of the pancreas: feasibility and pattern description of the normal pancreas, chronic pancreatitis, and focal pancreatic lesions. Gastrointest Endosc 2007; 65:971-8.