EDITORIAL
JOP. J Pancreas (Online) 2011 Nov 10; 12(6):557-566.
18F-FDG PET/CT Imaging of the Pancreas: Spectrum of Diseases
Vien X Nguyen1, Cuong C Nguyen1, Ba D Nguyen2
1Department of Gastroenterology and Hepatology and 2Department of Radiology; Mayo Clinic Arizona. Scottsdale, AZ, USA
SUMMARY
Since the introduction of integrated positron emission tomography-computed tomography (PET/CT), it has a great impact on the field of oncology. Comparing to other conventional scanners, only PET/CT is capable of providing important information on accurate detecting, staging/restaging, and post-therapeutic monitoring of many cancers. Many studies have demonstrated that PET/CT changes the management in approximately 30% of all cancer patients. Because 2-(18F)-fluoro-2-deoxy-D-glucose (FDG) is a nonspecific tracer, understanding the PET/CT limitations and pitfalls for various pancreatic conditions can lead to more accurate interpretation of PET/CT images, which ultimately would impact patient care. As a result, it is important for radiologists and other clinicians to familiarize themselves with a wide spectrum of pancreatic PET/CT findings simulating cancer from benign entities.
INTRODUCTION
Positron emission tomography (PET) is a functional imaging technique using 2-(18F)-fluoro-2-deoxy-D-glucose (FDG) to characterize cellular metabolism. Because PET imaging lacks of high-resolution anatomy, computed tomography (CT) imaging provides a precise localization of lesions seen on PET imaging. As a result, the first integrated PET/CT scanner was introduced in 1998. Since then, several studies have shown that PET/CT images outperform either PET, CT, or PET and CT images viewed side-by-side. PET/CT separates normal physiologic uptake from pathologic uptake, provides accurate localization of functional abnormalities, and reduces false-negative and false-positive findings. In addition, by using CT data for attenuation correction of PET images, a standard PET/CT examination is completed within 20-30 minutes, approximately 30% faster than PET with radioactive source transmission correction. In 2006, PET/CT has gained wide acceptance because the Centers for Medicare and Medicaid Services (CMS; https://www.cms.gov/) has agreed to provide coverage for the use of PET/CT in essentially all cancers. Therefore, a proper knowledge in a wide spectrum of PET/CT findings of pancreatic disorders is crucial for not only radiologists but for other clinicians as well. The purpose of this pictorial essay is: 1) to present an up-to-date role of PET/CT in the evaluation and management of primary pancreatic malignancies; 2) to familiarize the readers with the utility of PET/CT in detecting various benign pancreatic disorders and pancreatic metastases which may mimic primary pancreatic adenocarcinoma on imaging; 3) to discuss the role of PET/CT in screening for coexisting primary cancers; and 4) to discuss the limitations and pitfalls of PET/CT imaging modality.
PRIMARY PANCREATIC MALIGNANCIES
a) Primary Pancreatic Adenocarcinoma
Background of Pancreatic Malignancies
Pancreatic ductal adenocarcinoma is the most common type, the third most frequent malignancy of the gastrointestinal tract, and the fourth leading cause of mortality from cancer. Only 10-30% of pancreatic cancers are resectable by the time of presentation with a 5-year survival rate of 18-20%, and median survival of these patients is 17-21 months [1]. Patients with locally advanced disease have a median survival of 6-10 months. Median survival with metastatic disease is 3-6 months. CT, magnetic resonance imaging (MRI), and endoscopic ultrasound are the main imaging modalities for local involvement of pancreatic cancer.
PET/CT in Preoperative Diagnosis
PET/CT is a useful adjunctive imaging modality when conventional cross-sectional imaging is non-diagnostic, when there is pancreatic cancer co-existing with chronic pancreatitis, and when there is the presence of cystic/complex lesions of the pancreas. All studies have shown that PET/CT has high rates of sensitivity (85-100%) and specificity (67-99%) for distinguishing benign from malignant pancreatic masses [1].
PET/CT in Pancreatic Cancer Staging
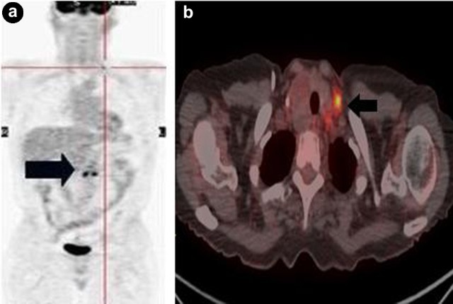
Pancreatic cancer uses TNM system, which stands for tumor (T), nodal involvement (N), and metastases (M), for staging. Stage I disease is confined to the pancreas. Stage II is extended outside the pancreas. Stage III is involved with lymph nodes. Stage IV is characterized by distant metastases. PET is more accurate than CT for M staging because it allows better detection of distant metastasis (Figure 1) and provides greater ability of differentiating benign from malignant behavior of equivocal lesions on CT. Approximately 1/3 of small metastases (<1 cm) in the liver and peritoneum were missed by CT and MRI. A meta-analysis showed that PET/CT had the highest pooled sensitivity (91%) in detecting peritoneal metastases when compared to CT and MRI [2]. PET/CT has an accuracy of 91% for primary pancreatic lesions, 85% for loco-regional staging, and 92% for restaging of pancreatic cancer [3]. PET/CT changes care management of patients (36-41% of cases) by providing a more accurate staging of pancreatic cancer [1].

|
Figure 1. a. Coronal PET maximum intensity projection image detects a distant left supraclavicular nodal metastasis (crosshair) of pancreatic cancer (arrow). b. Fused axial PET/CT image shows the corresponding left supraclavicular node (arrow). PET/CT provides an accurate M staging that is not obtainable with other conventional cross-sectional imaging modalities. |
PET/CT in Post-Therapeutic Monitoring
Preliminary evidence indicates that PET/CT is useful to distinguish recurrent/residual hypermetabolic malignancy from post-surgical changes/fibrosis in the pancreatic fossa, to characterize the metabolic behavior of non-specific hepatic lesions too small or not accessible for biopsy, to restage cases presenting with rising tumor marker levels and negative CT evaluation, and to assess the tumor response to neoadjuvant therapy [1]. Two examples are seen in Figures 2 and 3.

|
Figure 2. a. Coronal PET maximum intensity projection image shows hypermetabolic lesion of the head of the pancreas (circle) with a few hepatic metastases (arrowheads). b. Fused axial PET/CT image reveals the corresponding hypermetabolic pancreatic malignancy (crosshair). c. Post-therapeutic PET monitoring image demonstrates worsening with persistent pancreatic mass (circle), diffuse hepatic, and peritoneal metastases (arrowheads). |

|
Figure 3. a. b. Serial coronal PET maximum intensity projection images show poor therapeutic response with disease progression at the pancreatic fossa, peripancreatic nodes, liver, mediastinum, left supraclavicular node, and left lung apex (circles). Two incidental findings: diffuse thyroid uptake from thyroiditis and left axillary uptake from left upper extremity tracer injection infiltration (black arrows, potential false-positive PET findings). c. Corresponding fused axial PET/CT image shows hypermetabolic lesion of the head of the pancreas (circle) with liver metastasis (white arrow, also seen on the middle coronal PET maximum intensity projection (b.)). d. Another corresponding fused axial image reveals lesion of the uncinate process (circle) with retroperitoneal nodal metastasis (white arrow). |
b) Neuroendocrine Tumor (NET) of the Pancreas
NETs consist of a diverse group of neoplasms, ranging from well-differentiated, slow-growing tumors to aggressive, poorly-differentiated neoplasms. Most NETs belong to the former group which has a lower FDG-avidity. As a result, only a few NETs with high proliferative activity and low differentiation demonstrate a high FDG uptake on PET scan (Figure 4). Pancreatic NETs represent a possible but uncommon etiology of portal venous invasion comparing to the more frequent portal venous tumor thrombus encountered in hepatocellular carcinoma, gastrointestinal, and other abdominal-pelvic malignancies. For therapeutic and prognostic purposes, portal venous tumor thrombus needs to be distinguished from bland thrombus, which is secondary to altered portal venous hemodynamics from coagulopathies, cirrhosis, infection, inflammation, iatrogenic consequences of interventional or surgical procedures, or mechanical effect of adjacent tumors. Imaging demonstration of hypervascularity of the thrombus is helpful to confirm its neoplastic nature with contrast-enhancement on CT and MRI, and flow signal pattern on Doppler ultrasound. Differential diagnoses of thrombus accumulating radiotracer on PET are inflammatory and septic venous thrombi frequently accompanied by infectious clinical symptomatology of fever and chills.

|
Figure 4. a. Coronal PET image shows the hypermetabolic pancreatic neuroendocrine tumor (open arrow) with tumor thrombus of the portal vein (curved arrows). b. Corresponding coronal CT image reveals the enhancing pancreatic tumor and portal venous tumor thrombus (arrows). |
OVERVIEW: BENIGN PANCREATIC DISORDERS
FDG is not a tumor-specific tracer; it can accumulate in the inflammatory cells due to their increased glycolytic metabolism. As a result, sometimes benign conditions can mimic malignancies. Being able to differentiate cancers from benign lesions is crucial because invasive procedures can be avoided.
a) Acute Pancreatitis
Acute pancreatitis is an acute inflammatory condition of the pancreas caused by invasion of inflammatory cells (macrophages, neutrophils, T-cells) and cytokines released by these cells. The diffuse pattern of FDG uptake of the pancreas and peripancreatic fat observe in acute and chronic pancreatitis along with history of recent procedures, such as endoscopic retrograde cholangiopancreatography (ERCP) or biopsy, may help to differentiate inflammation from malignant processes (Figure 5).

|
Figure 5. Diffuse enlargement of the pancreas with intense tracer uptake from acute pancreatitis induced by ERCP (a. coronal PET maximum intensity projection image, arrows; b. fused axial PET/CT, crosshair). Incidental intrinsic thyroid disease (a. small arrow). |
b) Autoimmune Pancreatitis
Autoimmune pancreatitis is a pancreatic manifestation of a systemic entity called immunoglobulin G4 (IgG4)-related sclerosing disease. It affects other organs (50-85%), such as the salivary glands, lungs, lymph nodes, bile duct system, kidney, retroperitoneum, and prostate [4]. Serum immunoglobulin G (IgG) and IgG4 levels are frequently high. However, IgG4 is more than sensitive than total IgG for diagnosing autoimmune pancreatitis. Dense IgG4 plasma cells are observed on histoimmunostaining of the affected organs. When autoimmune pancreatitis appears as a discrete mass (usually at pancreatic head), it can be mistaken for pancreatic cancer. Approximately 3-11% of Whipple procedures were performed on patients with autoimmune pancreatitis who preoperatively were thought to have pancreatic cancers [5]. As a result, being able to distinguish between the two disorders preoperatively is crucial because invasive surgery can be avoided in patients with autoimmune pancreatitis. Preliminary data indicate that, when other conventional imaging findings are equivocal, the FDG-uptake pattern of PET/CT imaging can differentiate between autoimmune pancreatitis from pancreatic cancer. On PET/CT imaging, autoimmune pancreatitis usually displays a diffuse pancreatic (Figure 6) and concomitant extrapancreatic (Figure 7) IgG4-related hypermetabolic lesions. In addition, because of whole-body PET/CT imaging ability, it is useful in post-corticosteroid therapeutic monitoring of autoimmune pancreatitis (Figure 8).

|
Figure 6. Fused axial PET/CT image shows diffusely hypermetabolic lesion of autoimmune pancreatitis (arrows). |

|
Figure 7. Coronal (a.) and sagittal (b.) PET maximum intensity projection images show IgG4-related hypermetabolic lesions of the salivary glands (S), thyroid gland (T), bilateral hilar nodes (H), right middle pulmonary lobe (L), upper pole of the left kidney (K), pancreas (P) and prostate (PR). |

|
Figure 8. Pre-treatment (a.) and post-corticosteroid therapy (b.) PET maximum intensity projection images show dramatic resolution of IgG4-related hypermetabolic lesions of the salivary/submandibular glands (S), hilar/mediastinal adenopathy (H), bilateral pulmonary lesions (L), pancreas (P), and portacaval and para-aortic adenopathy (A). The IgG4-related cholecystitis (G) has been resected. |
OVERVIEW: PANCREATIC METASTASES
Three patterns of pancreatic involvement have been described: 1) a single mass (50-73%); 2) diffuse pancreatic enlargement (15-44%); 3) multiple pancreatic lesions (5-10%) [6]. On CT and MRI, typical pancreatic metastasis does not cause pancreatic duct dilation as commonly seen with primary pancreatic cancer because primary neoplasm arises from ductal epithelium, whereas metastasis affects the parenchyma.
a) Pancreatic Metastasis from Head and Neck Cancer
Head and neck cancer is the sixth most common carcinoma in the world. Patients with head and neck cancer are well-known to have synchronous/ metachronous second primary malignancies. Despite improved local control of head and neck cancer recently, there is no increase in survival rate because of the high mortality rate from distance metastases and second primary malignancies. The incidences of distance metastases and second primary malignancies are ranging from 4% to 25% [7]. The common sites for metastases are lungs, bones, and liver; pancreatic metastasis is rare. For staging, when compared to the limited field of view of CT and MRI, PET/CT is the best imaging modality because of its ability to evaluate the whole body (Figure 9) [7]. The sensitivity, specificity, and negative predictive value for detecting distance metastases and second primary malignancies were 98%, 93%, 100%, respectively; however, the positive predictive value was only 63% [8]. As a result, additional test (i.e. biopsy) is needed to rule out false-positive result.

|
Figure 9. a. Coronal PET maximum intensity projection image shows a large, advanced head and neck squamous cell cancer with metastasis to the thoracic spine, liver, and head of the pancreas (arrows). b. Fused axial PET/CT image identifies the corresponding hypermetabolic pancreatic lesion (crosshair). |
b) Pancreatic Metastasis from Lung Cancer
According to an autopsy study of patients with pancreatic tumors, lung cancer is the leading malignancy (18%) that disseminates to the pancreas [9]. Small cell lung cancer has the tendency to metastasize to the pancreas more frequently than non-small cell lung cancer. At the present time, almost all PET/CT data on lung cancer come from non-small cell lung cancer studies; only a few small cell lung cancer studies suggest that PET/CT has the potential to simplify and maybe improve the accuracy of the current staging system of small cell lung cancer (Figure 10).

|
Figure 10. a. Coronal PET maximum intensity projection image shows a prominent pancreatic metastasis from right lung small cell lung cancer (arrows). b. Coronal fused PET/CT image reveals the corresponding lesion. |
c) Extramedullary Myeloma of the Pancreas
The extramedullary sites of multiple myeloma are predominantly encountered at the head, neck and upper airways in 80% of all cases. There is rare involvement of the pancreas, especially with multiple lesions, mostly seen in post-mortem series. Cross-sectional imaging features of pancreatic myeloma are hypoechoic nodules on ultrasound, and enhancing lesions on CT and MRI with associated biliary and gastrointestinal obstructive radiological patterns due to the advanced stage of the disease. PET/CT provides a comprehensive evaluation of osseous and extramedullary lesions of multiple myeloma and has been incorporated in the updated Durie-Salmon classification of this hematological disorder (Figure 11) [10]. PET/CT identifies the high risk population of this disease with useful prognostic outcome data.

|
Figure 11. Fused axial PET/CT image shows diffuse extramedullary myeloma of the pancreas (arrows). |
d) Lymphoma of the Pancreas
Lymphoma consists of Hodgkin lymphoma (15%) and non-Hodgkin lymphoma (85%). Together, they account for less than 10% of all cancers. Non-Hodgkin lymphoma is more aggressive than Hodgkin lymphoma, having a tendency for extra-nodal involvement. Non-Hodgkin lymphoma makes up of two subtypes: low-grade or aggressive non-Hodgkin lymphoma. Only Hodgkin lymphoma and aggressive non-Hodgkin lymphoma show a high affinity for FDG. An autopsy study showed that up to 30% of non-Hodgkin lymphomas metastasize to the pancreas [11]. Approximately 70% of pancreatic lymphomas respond well to chemotherapy [11]. Current evidence indicates that PET/CT is extremely useful in the staging and restaging of FDG-avid lymphomas (Figure 12). In addition, PET has a prognostic value in lymphoma treatment.

|
Figure 12. a. Fused axial PET/CT image shows a hypermetabolic lesion of non-Hodgkin lymphoma of the pancreas (arrow). The other two bright “spots? represent normal kidney excretion of FDG tracer. b. Corresponding axial CT image (arrow). |
e) Pancreatic Metastasis from Renal Cell Cancer
Approximately 30% of patients with renal cell cancer have distant metastases at presentation. Three most common metastatic sites are lungs (75%), bone (20%), and liver (18%); pancreatic metastases are rare (Figure 13). Several studies have been shown that when there is a solitary pancreatic metastasis in a patient with the history of renal cell cancer; the 5-year survival rate after tumor resection was 75%, which is better than the prognosis after primary pancreatic cancer resection (20%) [12].

|
Figure 13. Fused axial PET/CT image reveals hypermetabolic metastasis of renal cell carcinoma to the tail of the pancreas (crosshair) in a patient with left nephrectomy. |
f) Pancreatic Metastasis from Melanoma
Melanoma is the sixth most common cancer in the United States. The incidence has tripled in the white population in the last 20 years. The most common metastatic sites are lungs, lymph nodes, gastrointestinal tract, brain, and bone (Figure 14). Pancreatic metastases occur in less than 5% of patients with distant metastatic sites (Figure 14). Current evidence supports using PET/CT in staging, restaging, and monitoring therapy for stage III and IV because of superior accuracy of PET/CT compared to CT alone in detecting distant metastases [13]. Early detection of metastases is crucial for patients with stage IV melanoma because, in selected cases, metastasectomy can improve the 5-year survival rate (20 months vs. 8 months).

|
Figure 14. a. Coronal PET maximum intensity projection image shows metastases of melanoma to the head of the pancreas (large arrow), right axilla, lower thoracic spine, right mesentery and left rib (small arrows). b. Coronal fused PET/CT image of another patient with melanoma metastasizing to the pancreas (arrow). |
COEXISTING CANCERS
Coexisting cancers may be encountered in high risk patients due to multiples factors, such as long duration exposure to carcinogens impacting numerous organ systems, mutational genetic predisposition, and immunocompromised/immunodepressed status. As mentioned above, PET/CT, with whole body assessment, provides a more comprehensive evaluation than other cross-sectional imaging modalities and may detect unanticipated hypermetabolic pathologic processes (Figure 15). The exact frequency of PET/CT incidental detection of additional primary malignancies during evaluation of unrelated cancer is not well known. The reported rate of such findings is about 5% for general oncologic patients [14]. This rate may be higher should clinical, imaging, and histopathological follow-up be more thorough with the involved patient groups. The most frequent malignant PET incidental findings are colorectal, thyroid, and lung lesions. All these unexpectedly detected lesions should be subjected to close clinical scrutiny with good collaboration between the imagers and referring physicians.

|
Figure 15. a. Coexisting cancers of the lung and pancreas (PET maximum intensity projection image; arrows). b. c. Corresponding fused axial PET/CT images (arrows). |
PET/CT LIMITATIONS
PET depends on the target-to-background activity ratio of the tumor, thus may be limited by several factors. A small lesion size (ampullary carcinoma), a necrotic tumor, or a cancer with low metabolic activity (mucinous adenocarcinoma or neuroendocrine tumor) can cause false-negative results [1]. The hyperglycemic status, which is often seen in patients with pancreatic pathology, may also lead to a decrease in the absorption of FDG due to competitive inhibition. Several benign conditions, such as post-operative changes, inflammation, iatrogenic acute pancreatitis, infection, abscess, and adjacent bowel activity of physiologic origin or induced by diabetic medication, can mimic malignancies. Acute pancreatitis and autoimmune pancreatitis are two benign, inflammatory conditions that can simulate neoplasms as illustrated in the above section, benign pancreatic disorders (Figures 5, 6, 7, 8). PET technical flaws, such as motion artifacts, PET/CT misregistration, and attenuation correction errors related to surgical hardware, could cause misinterpretation. Other promising radiotracers, such as 18(F)-fluoro-L-thymidine (a marker for cell proliferation) and 68Ga-labelled somatostatin analogues (peptides with high affinity for neuroendocrine tumors), are currently being evaluated and may have the potential to overcome several above limitations of FDG in detecting different types of pancreatic cancer.
CONCLUSION
PET/CT has a great impact on the M staging of primary pancreatic adenocarcinoma, on the post-therapeutic monitoring for recurrence, and on the response to adjuvant therapy. With training and experience, one can diagnose positive PET/CT findings simulating cancer from entities, such as of acute pancreatitis and autoimmune pancreatitis. PET/CT localizes the best targets for tissue sampling to confirm the primary or secondary malignant status of pancreatic involvement or from coexisting independent cancers. PET/CT limitations for pancreatic cancer are similar to the ones encountered in functional oncologic imaging, such as small size, histological type of the tumor, physiologic bowel tracer activity, technical artifacts, and hyperglycemia.
Received August 8th, 2011 - Accepted September 26th, 2011
Keywords Fluorodeoxyglucose F18; Neoplasm Metastasis; Pancreas; Pancreatic Neoplasms; Positron-Emission Tomography; Tomography, X-Ray Computed
Conflicts of interest The authors have no potential conflicts of interest. There is no source of financial funding for this research.
Correspondence Vien X Nguyen
Departments of Gastroenterology and Hepatology
Mayo Clinic Arizona
13400 East Shea Blvd
Scottsdale, AZ 85259; USA
Phone: +1-480-301-6990
Fax: +1-480-301-6737
E-mail: vnguy01@gmail.com
References
1. Delbeke D, Martin WH. PET and PET/CT for pancreatic malignancies. Surg Oncol Clin N Am 2010; 19:235-54. (More details: [1]).
2. Gu P, Pan LL, Wu SQ, Sun L, Huang G. CA 125, PET alone, PET-CT, CT and MRI in diagnosing recurrent ovarian carcinoma: a systematic review and meta-analysis. Eur J Radiol 2009; 71:164-74. (More details: [2]).
3. Casneuf V, Delrue L, Kelles A, Van Damme N, Van Huysse J, Berrevoet F, et al. Is combined 18F-fluorodeoxyglucose-positron emission tomography/computed tomography superior to positron emission tomography or computed tomography alone for diagnosis, staging and restaging of pancreatic lesions? Acta Gastroenterol Belg 2007; 70:331-8. (More details: [3]).
4. Kamisawa T, Okamoto A. IgG4-related sclerosing disease. World J Gastroenterol 2008; 14:3948-55. (More details: [4]).
5. Abraham SC, Wilentz RE, Yeo CJ, Sohn TA, Cameron JL, Boitnott JK, et al. Pancreaticoduodenectomy (Whipple resections) in patients without malignancy: are they all 'chronic pancreatitis'? Am J Surg Pathol 2003; 27:110-20. (More details: [5]).
6. Tsitouridis I, Diamantopoulou A, Michaelides M, Arvanity M, Papaioannou S. Pancreatic metastases: CT and MRI findings. Diagn Interv Radiol 2010; 16:45-51. (More details: [6]).
7. Jerjes W, Upile T, Petrie A, Riskalla A, Hamdoon Z, Vourvachis M, et al. Clinicopathological parameters, recurrence, locoregional and distant metastasis in 115 T1-T2 oral squamous cell carcinoma patients. Head Neck Oncol 2010; 2:9. (More details: [7]).
8. Kim SY, Roh JL, Yeo NK, Kim JS, Lee JH, Choi SH, Nam SY. Combined 18F-fluorodeoxyglucose-positron emission tomography and computed tomography as a primary screening method for detecting second primary cancers and distant metastases in patients with head and neck cancer. Ann Oncol 2007; 18:1698-703. (More details: [8]).
9. Adsay NV, Andea A, Basturk O, Kilinc N, Nassar H, Cheng JD. Secondary tumors of the pancreas: an analysis of a surgical and autopsy database and review of the literature. Virchows Arch 2004; 444:527-35. (More details: [9]).
10. Durie BG. The role of anatomic and functional staging in myeloma: description of Durie/Salmon plus staging system. Eur J Cancer 2006; 42:1539-43. (More details: [10]).
11. Webb TH, Lillemoe KD, Pitt HA, Jones RJ, Cameron JL. Pancreatic lymphoma. Is surgery mandatory for diagnosis or treatment? Ann Surg 1989; 209:25-30. (More details: [11]).
12. Sohn TA, Yeo CJ, Cameron JL, Nakeeb A, Lillemoe KD. Renal cell carcinoma metastatic to the pancreas: results of surgical management. J Gastrointest Surg 2000; 5:346-51. (More details: [12]).
13. Reinhardt MJ, Joe AY, Jaeger U, Huber A, Matthies A, Bucerius J, et al. Diagnostic performance of whole body dual modality 18F-FDG PET/CT imaging for N- and M-staging of malignant melanoma: experience with 250 consecutive patients. J Clin Oncol 2006; 24:1178-87. (More details: [13]).
14. Choi JY, Lee KS, Kwon OJ, Shim YM, Baek CH, Park K, et al. Improved detection of second primary cancer using integrated (18F) fluorodeoxyglucose positron emission tomography and computed tomography for initial tumor staging. J Clin Oncol 2005; 23:7654-9. (More details: [14]).