CASE REPORT
JOP. J Pancreas (Online) 2011 Sep 9; 12(5):461-463.
Successful Diagnosis and Management of Biliary Cast Syndrome in a Liver Transplant Patient Using Single Operator Cholangioscopy
Udayakumar Navaneethan1, Preethi GK Venkatesh1, Mayar Al Mohajer1, Andres Gelrud2
1Department of Gastroenterology, Digestive Disease Institute, the Cleveland Clinic. Cleveland, OH, USA. 2Division of Gastroenterology, Department of Internal Medicine, University of Pittsburgh Medical Center. Pittsburgh, PA, USA
ABSTRACT
Context Biliary cast syndrome is an unusual complication of orthotopic liver transplantation with serious clinical implications. Surgical management has been the mainstay of treatment. Endoscopic techniques are recently described in the successful removal of biliary casts. Peroral single operator cholangioscopy is useful for direct visualization of bile ducts, tissue sampling and therapeutic applications. Case report We report here a post liver transplant patient who underwent successful complete endoscopic removal of biliary cast using single operator cholangioscopy in a single sitting. Conclusion Single operator cholangioscopy provides a safe means of diagnosing and treating patients with biliary cast syndrome.
INTRODUCTION
Biliary cast syndrome is an unusual complication of orthotopic liver transplantation with serious clinical implications [1, 2]. It is defined by the presence of casts morphologically confined to bile duct dimensions and causing obstruction and its attendant complications [1, 2]. It has also been described rarely in non liver transplant settings [3, 4, 5, 6]. Biliary cast formation is usually associated with biliary strictures and/or hepatic ischemia. Other attributed causes include fasting and total parenteral nutrition related gallbladder hypomotility and recent surgery [3, 4, 5, 6].
Surgical management has been the mainstay of treatment. Endoscopic techniques are recently described in the successful removal of biliary casts [2, 7, 8, 9]. A variety of techniques including biliary sphincterotomy, balloon/basket extraction, electrohydraulic and mechanical lithotripsy have been used through ERCP to extract biliary casts. However, the success rate varies from 25-60% with either endoscopic and/or percutaneous techniques [2, 7, 8, 9]. Many patients who fail endoscopic and surgical treatment will require retransplantation.
Peroral single operator cholangioscopy is useful for direct visualization of bile ducts, tissue sampling and therapeutic applications [10]. The SpyGlass® single-operator biliary visualization system (Boston Scientific, Natick, MA, USA) consists of an optical probe in a disposable access and delivery catheter with a 1.2 mm accessory channel plus dedicated irrigation channels. We reported that single operator cholangioscopy provided a safe means of expanding diagnostic and therapeutic biliary applications as compared to conventional ERCP [10]. We report here a post-orthotopic liver transplantation patient who underwent successful complete endoscopic removal of biliary cast using single operator cholangioscopy in a single sitting.
CASE REPORT
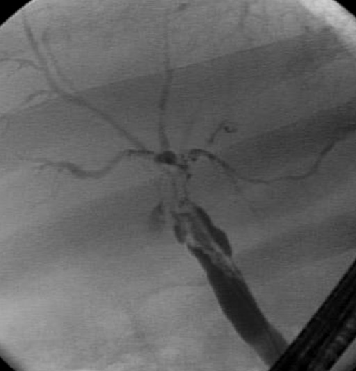
A 68-year-old male with history of orthotopic liver transplantation seven months before for hepatitis C induced cirrhosis presented for a routine follow-up visit. The patient did not report any complaints and physical exam was normal. Routine laboratory evaluation revealed a cholestatic liver enzyme elevation (alkaline phosphatase 580 IU/L, reference range: 80-130 IU/L), total bilirubin 2.3 mg/dL (reference range: 0.7-1.2 mg/dL) with normal aminotransferases and normal prothrombin time. Hepatitis C RNA was undetectable. Ultrasound demonstrated normal common bile duct (C) diameter with normal Doppler flow. Liver biopsy showed no acute rejection, but with suggestion of cholestasis. Endoscopic retrograde cholangiopancreatography (ERCP) with occlusion cholangiogram showed multiple linear filing defects in the proximal hepatic duct proximal to the anastomosis with extension into the intrahepatic system (Figure 1). Balloon failed to remove the filling defect. A single operator choledochoscope was then passed into the common hepatic duct for diagnostic visualization and possible therapeutic purpose. A dark brown tubular structure was seen resembling a cast of the bile duct (Figure 2). Using a basket, the distal aspect of the cast was secured and a 6 cm long cast was successfully removed in a single piece (Figure 3). Cholangiogram showed improvement with excellent biliary drainage both fluoroscopically and endoscopically. Liver function tests subsequently normalized. Patient followed up to a period of 14 months without recurrence of symptoms.

|
Figure 1. Cholangiogram showing the filling defect. |

|
Figure 2. Direct visualization of the biliary cast and fluoroscopic location using single operator choledochoscope. |

|
Figure 3. Biliary cast successfully removed in a single piece using choledochoscope. |
DISCUSSION
Biliary cast syndrome is defined by the presence of casts within the intra- or extra-hepatic biliary system due to lithogenic material confined to bile duct dimensions [1, 2]. It is an obstructive cholangiopathy, described almost three decades before in orthotopic liver transplantation recipients [1]. However, biliary cast syndrome occurring outside of the setting of liver transplant is reported in post cholecystectomy, post head trauma, antiphospholipid antibody syndrome and fasting-related gallbladder hypocontractility, parenteral nutrition, biliary infection all contributing to the formation of biliary casts [3, 4, 5, 6].
Biliary cast syndrome is a rare complication of orthotopic liver transplantation, incidence varying from 3% to 18% and should be thought of in patients presenting with cholestatic liver enzyme elevation, ductal dilatation on imaging studies, jaundice and/or cholangitis usually within the first year of transplant [2, 7]. In fact, more than 70% of casts are identified in the first 16 weeks post transplant and associated with graft failure, retransplantation and mortality [11, 12]. However, casts can occur up to 5 years after orthotopic liver transplantation [13]. In fact in the study by Shah et al., biliary cast syndrome was reported as late as 6.5 years after the transplant [2].
The pathogenesis of biliary cast syndrome is unclear, but increased bile viscosity and bile flow obstruction has been proposed. Biliary cast syndrome was independently associated with biliary strictures and/or hepatic ischemia (non-heart beating donor grafts) as demonstrated in a large study [2].
Biochemically, biliary casts occurring in the setting of liver transplant is composed of bilirubin (10-50%); bile acids comprise 10-15% of the cast, cholesterol about 5-10% and protein (5-10%) or collagen from necrotic biliary epithelial cells [2]. The chemical composition of biliary casts in the setting of non-liver transplant is unclear [6].
Diagnosis is established mainly by ERCP or percutaneous transhepatic cholangiography [14]. Surgery or re-transplant were the main stay of treatment of biliary cast syndrome in the past [1, 13]. Surgical success rates are reported greater than 85% [7]. However, it is associated with substantial morbidity. Endoscopic and percutaneous interventions with serial dilatations of the percutaneous port and choledochoscopy have reported success rates up to 70% [7, 8, 9, 15]. Although the complications associated with the percutaneous procedures are far less compared to major surgery involving removal of casts or re-transplant, they are prone to all complications including biliary sepsis. Recently, percutaneous approach with serial dilatations of the percutaneous port and choledochoscopy-assisted removal of the biliary casts in a patient with hepaticojejunostomy was reported by Srinivasaiah et al. [16]. They reported that they were able to treat successfully using the percutaneous route as the Roux-en-Y makes the therapeutic intervention through ERCP really difficult.
Given that both percutaneous and surgical intervention is associated with morbidity, we attempted endoscopic intervention. Single operator cholangioscopy is useful for direct visualization of bile ducts, tissue sampling and therapeutically for intrahepatic stone clearance [10]. We therefore attempted cholangioscopy in diagnosing the cause of the filling defect and were able to visualize the biliary casts directly. We were also able to extract the cast in a single sitting without any complications. In a large study of post orthotopic liver transplantation complications, biliary cast syndrome occurred in 4/260 patients, a median of 3.5 ERCP treatments attempted over a median of 21 weeks achieved a success rate of 25% [8]. We believe that our success was due to direct visualization and our ability to complete grasp the cast using the basket.
Recently a case reported the successful use of ursodeoxycholic acid in the treatment of persistent elevated liver enzymes following endoscopic removal of extrahepatic biliary casts [6]. Cholangioscopy is advantageous that it can directly visualize the intrahepatic ducts and can attempt complete removal in comparison to ERCP. The liver functions returned back to normal and our patient did not have residual cholestasis. In a retrospective study from our institute comparing single operator cholangioscopy and ERCP in the diagnosis and treatment of biliary disorders, we found that cholangioscopy altered patient management as compared to the initial ERCP in 42.1% of the patients [10].
Importantly, single operator cholangioscopy avoided the need for percutaneous or surgical intervention in our patient and provided the opportunity to do just one time intervention.
CONCLUSION
Single operator cholangioscopy is valuable in the evaluation and treatment of biliary tract disease. Single operator cholangioscopy provides a safe means of diagnosing and treating patients with biliary cast syndrome, particularly in cases with intrahepatic duct casts where surgery or percutaneous techniques are often required.
Key words Cholangiopancreatography, Endoscopic Retrograde; Ischemia; Liver Transplantation
Abbreviations ERCP: endoscopic retrograde cholangiopancreatography
Acknowledgement Presented as a poster presentation in the American College of Gastroenterology 2008 Meeting. Orlando, FL, USA. October 3-8, 2008.
Financial support No financial support was provided for this article
Conflict of interest No conflicts of interest to declare
Correspondence
Udayakumar
Navaneethan
Department of Gastroenterology/Hepatology-A31
The Cleveland Clinic Foundation
9500 Euclid Ave.
Cleveland, Ohio 44195
USA
Phone: +1-216.502.0981
Fax: +1-216.444.6305
E-mail: navaneu@ccf.org
References
1. Starzl TE, Putnam CW, Hansbrough JF, Porter KA, Reid HA. Biliary complications after liver transplantation: with special reference to the biliary cast syndrome and techniques of secondary duct repair. Surgery 1977; 81:212-21. (More details: [1]).
2. Shah JN, Haigh WG, Lee SP, Lucey MR, Brensinger CM, Kochman ML, et al. Biliary casts after orthotopic liver transplantation: clinical factors, treatment, biochemical analysis. Am J Gastroenterol 2003; 98:1861-7. (More details: [2]).
3. D'Haens GR, Ruchim MA, Goldberg MJ, Baker AL. Massive intra-hepatic and extra-hepatic bile cast formation after cholecystectomy. Gastrointest Endosc 1993; 39:579-81. (More details: [3]).
4. Byrne MF, Chong HI, O'Donovan D, Sheehan KM, Leader MB, Kay E, et al. Idiopathic cholangiopathy in a biliary cast syndrome necessitating liver transplantation following head trauma. Eur J Gastroenterol Hepatol 2003; 15:415-7. (More details: [4]).
5. Gleeson FC, Czaja AJ, Baron TH. Successful endoscopic management of biliary cast syndrome in nonliver transplant patients. J Clin Gastroenterol 2008; 42:752-5. (More details: [5]).
6. Katsinelos P, Kountouras J, Chatzimavroudis G, Zavos C, Pilpilidis I, Paroutoglou G. Combined endoscopic and ursodeoxycholic acid treatment of biliary cast syndrome in a non-transplant patient. World J Gastroenterol 2008; 14:5223-5. (More details: [6]).
7. Barton P, Steininger R, Maier A, Mühlbacher F, Lechner G. Biliary sludge after liver transplantation: 2. Treatment with interventional techniques versus surgery and/or oral chemolysis. AJR Am J Roentgenol 1995; 164:865-9. (More details: [7]).
8. Pfau PR, Kochman ML, Lewis JD, Long WB, Lucey MR, Olthoff K, et al. Endoscopic management of postoperative biliary complications in orthotopic liver transplantation. Gastrointest Endosc 2000; 52:55-63. (More details: [8]).
9. Baron TH, Yates RM 3rd, Morgan DE, Eckhoff DE, Bynon JS. Biliary cast syndrome: successful endoscopic treatment. Gastrointest Endosc 2000; 52:78-9. (More details: [9]).
10. Navaneethan U, Palascak J, Al Mohajer M, Chauhan S, Gelrud A. Single-operator cholangioscopy enhances diagnostic and therapeutic applications of endoscopic retrograde cholangiopancreatography. Gastrointest Endosc 2008; 67:B160. (More details: [10]).
11. Gor NV, Levy RM, Ahn J, Kogan D, Dodson SF, Cohen SM. Biliary cast syndrome following liver transplantation: Predictive factors and clinical outcomes. Liver Transpl 2008; 14:1466-72. (More details: [11]).
12. Zou Y, Yang X, Jiang X, Wang H, Hao Q, Liu Y, Yu P. High levels of soluble major histocompatibility complex class I related chain A (MICA) are associated with biliary cast syndrome after liver transplantation. Transpl Immunol 2009; 21:210-4. (More details: [12]).
13. McMaster P, Herbertson BM, Cusick C, Calne RY, Syrakos T, Marni A. The development of biliary ''sludge'' following liver transplantation. Transplant Proc 1979; 11:262-6. (More details: [13]).
14. Bak SH, Choi HS, Yang SY, Jun DW, Han SH, Lee HL, et al. Obstructive jaundice due to biliary cast syndrome followed by orthotopic liver transplantation. Korean J Gastroenterol 2006; 48:119-23. (More details: [14]).
15. O'Connor HJ, Vickers CR, Buckels JA, McMaster P, Neuberger JM, West RJ, et al. Role of endoscopic retrograde cholangiopancreatography after orthotopic liver transplantation. Gut 1991; 32:419-23. (More details: [15]).
16. Srinivasaiah N, Reddy MS, Balupuri S, Talbot D, Jaques B, Manas D. Biliary cast syndrome: literature review and a single centre experience in liver transplant recipients. Hepatobiliary Pancreat Dis Int 2008; 7:300-3. (More details: [16]).