CASE REPORT
JOP. J Pancreas (Online) 2011 Sep 9; 12(5):469-472.
Hemosuccus Pancreaticus Associated with Severe Acute Pancreatitis and Pseudoaneurysms: A Report of Two Cases
Sukanta Ray1, Khaunish Das2, Sujay Ray2, Sujan Khamrui1, Mahiuddin Ahammed2, Utpal Deka2
Divisions of 1Surgical Gastroenterology and 2Gastroenterology, School of Digestive and Liver Diseases, Institute of Postgraduate Medical Education and Research. Kolkata, West Bengal, India
ABSTRACT
Context Hemosuccus pancreaticus is a rare cause of upper gastrointestinal hemorrhage. The intensity of bleeding ranges from intermittent occult bleeding to massive acute bleeding leading to death. Although most cases can be managed by angioembolization, surgery plays an important role. Case report We report two cases of hemosuccus pancreaticus managed at our institution in the past three years. Both cases occurred associated with acute pancreatitis. A pseudocyst was found in one case. Angioembolization failed in one case and was not tried in the other because of hemodynamic instability. Both cases were successfully managed by surgery. Conclusion Timely intervention, either by embolization or by surgery, can control this potentially life-threatening bleeding. Choice of treatment, surgery or embolization, depends on technological availability and expertise of the practitioner.
INTRODUCTION
Hemosuccus pancreaticus, defined as bleeding into the pancreatic duct, is a rare cause of upper gastrointestinal hemorrhage. The most common cause is a pseudoaneurysm of the peripancreatic arteries due to acute or chronic pancreatitis [1, 2]. Other infrequent causes are trauma [3], rupture of a true aneurysm [4], pancreatic tumors [5], arteriovenous malformations [6], and EUS-guided FNA from a pancreatic cyst [7], etc. Due to its rare occurrence and the insufficient knowledge available which is limited to several case reports and a few case series [4, 8], diagnosis is often delayed or missed. But an astute clinician should consider hemosuccus pancreaticus in the differential diagnosis of all cases of obscure upper gastrointestinal bleeding, particularly associated with acute or chronic pancreatitis.
CASE REPORT
Case #1
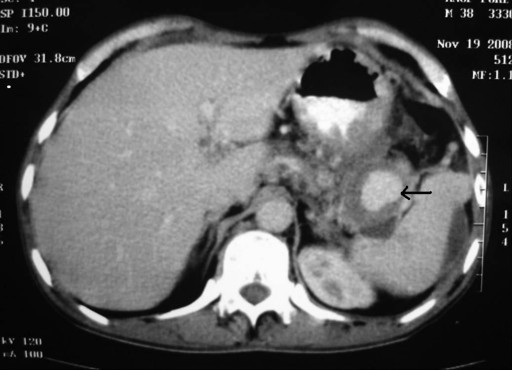
A 46-year-old male with a history of chronic alcoholism having a 3-week history of alcohol-related severe acute pancreatitis was referred to our institution for a necrosectomy. He was initially treated at a district hospital and was referred to us owing to persistent high fever not responding to antibiotics. After admission injection meropenem and fluconazole were initiated. He responded initially but fever recurred on the 7th day after admission. After exclusion of other sources of infection, a contrast-enhanced computed tomography (CECT) of the abdomen was carried out which showed more than 50% necrosis of the pancreas with a large pseudoaneurysm of the splenic artery (Figure 1). As a result of this, the patient was scheduled for a necrosectomy and ligation of the pseudoaneurysm the following day. Unfortunately, the patient hemorrhaged that night. An upper gastrointestinal endoscopy was performed and bleeding from the papilla was detected. As the CECT showed a pseudoaneurysm of the splenic artery, a ruptured pseudoaneurysm was diagnosed as the source of the bleeding. Emergency surgery was performed immediately. A necrosectomy was performed with multiple drains placed for continuous lavage, ligation of the pseudoaneurysm from the necrosectomy cavity and a feeding jejunostomy. Intraoperative blood loss was 1.5 liters. The patient needed postoperative mechanical ventilation. Although the postoperative course was difficult, the patient recovered slowly over a period of 34 days and was well at a 26-month follow-up.

|
Figure 1. CECT abdomen showing a large pseudoaneurysm of the splenic artery (black arrow) (Case #1). |
Case #2
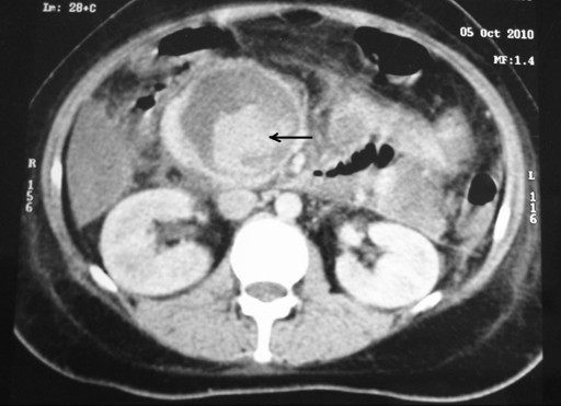
A 26-year-old female presented with a 2-month history of abdominal pain. She was admitted to our institution 7 days after the onset of the pain. She was diagnosed as having gallstone-induced severe acute pancreatitis with a large peripancreatic fluid collection. She was discharged on the 17th day after admission; a cholecystectomy and follow-up for the fluid collection were recommended. Three weeks after discharge, she developed sudden onset of severe abdominal pain with passage of black tarry stool. Hemodynamic stability was maintained. She was re-admitted to our institution. At admission, her pulse was 96 min-1 and her blood pressure was 100/70 mmHg. A lump was palpable in the epigastric region which was non-pulsatile. Hemoglobin was 7.8 g/dL (reference range: 11.5-15.5 g/dL). Upper gastrointestinal endoscopy showed blood in the stomach and duodenum with erosions in the body and antrum of the stomach. She was treated with proton pump inhibitors and blood transfusions. Four days after re-admission, she experienced one episode of hematemesis, and an upper gastrointestinal endoscopy showed blood trickling from the papilla; it was diagnosed as a case of hemosuccus pancreaticus. Contrast-enhanced computed tomography of the abdomen showed a large pseudocyst with extravasation of contrast within the cyst (Figures 2 and 3). The source of bleeding was not identified. Angiography identified a pseudoaneurysm of the gastroduodenal artery. Angioembolization failed due to technical reasons (partial embolization due to a rich collateral supply) and the patient had to undergo emergency surgery. We found that the pseudocyst was full of blood clots and there was a blister-like area in the wall of the cyst (Figure 4). After removal of the clots and slight pressure on the blister-like area, arterial bleeding was seen which was controlled with 4-0-polypropylene sutures. The pseudocyst was drained into the stomach. The patient had an uneventful postoperative course and was well at a 7-month follow-up.

|
Figure 2. CECT abdomen (axial) showing a large pseudocyst with extravasation of contrast within it (black arrow) (Case #2). |

|
Figure 3. CECT abdomen (coronal) showing a large pseudocyst with extravasation of contrast within it (black arrow) (Case #2). |

|
Figure 4. Operative photograph showing blister-like area within the pseudocyst cavity (white arrow) (Case #2). |
DISCUSSION
Lower and Farrell first described bleeding through the pancreatic duct due to the rupture of a splenic artery in 1931 [9], but the term hemosuccus pancreaticus was coined by Sandblom in 1970 [10]. In his case reports, he described three cases of hemosuccus pancreaticus; in two cases, the source was a ruptured aneurysm of the common hepatic artery and, in one case, an aneurysm of the splenic artery. In 80% of cases, hemosuccus pancreaticus complicates an underlying pancreatic disease; 20% of the cases correspond to a vascular anomaly [8, 11]. Several mechanisms could be involved: 1) rupture of a pseudoaneurysm or an aneurysm of the peripancreatic artery into the pancreatic duct and 2) bleeding of the intact or aneurysm-containing artery to the pseudocyst communicating with the duct. This kind of complication is more common in chronic pancreatitis. Rupture of a pseudoaneurysm/aneurysm or an intact artery into a pseudocyst occurs from cyst-induced pressure necrosis or autodigestion of the vessel wall by pancreatic enzymes (elastase and trypsin). During an episode of acute pancreatitis, hemosuccus pancreaticus can occur after necrosis of the arterial wall, or by weakening and rupture due to thrombosis of the vasa-vasorum (associated with infected necrosis). Other causes of hemosuccus pancreaticus are: trauma [3], pancreatic tumors [5], bleeding from arteriovenous malformations [6], pancreas divisum [12] and ectopic pancreas [13]. Finally, hemosuccus pancreaticus can occur as a complication of ERCP and EUS-guided FNA of the pancreatic cyst [7].
The typical manifestations are abdominal pain and symptoms of bleeding into the gastrointestinal tract. Pain is localized to the epigastrium or radiates towards the back. The cause is a transient increase in intraductal pressure by a blood clot. Approximately 48 hours later, the pain is relieved due to the egress of the blood into the gastrointestinal tract producing melena, hematemesis or occasionally hematochezia. Bleeding is usually intermittent in nature. Its magnitude varies from occult blood loss to massive life-threatening hemorrhage. Other clinical signs may be nausea, vomiting, icterus, and a palpable and pulsating epigastric mass. Both of our patients presented with increased abdominal pain and features of an upper gastrointestinal hemorrhage. A palpable non-pulsatile lump was found in one case (blood-filled pseudocyst).
Due to the intermittent nature of the bleeding, diagnosis is difficult and often delayed. The approach to this problem is same as to other causes of upper gastrointestinal bleeding. The first step is assessment of the severity of the blood loss, resuscitation and appropriate monitoring. A detailed history and examination should be obtained with attention to risk factors. The next step is the identification and localization of the source of the bleeding followed by definitive therapy.
Upper gastrointestinal endoscopy can visualize active bleeding via the papilla in 30% of patients [11], thus raising the suspicion of hemosuccus pancreaticus. Diagnosis is confirmed by CT scan or by visceral angiography. Contrast-enhanced CT is an excellent modality for demonstrating pancreatic pathologies, and it also demonstrates the features of acute or chronic pancreatitis, pseudocysts and pseudoaneurysms. On pre-contrast CT, a characteristic finding of clotted blood in the pancreatic duct, known as a sentinel clot, is seldom seen. Visceral angiography is the most sensitive diagnostic technique for a visceral artery aneurysm or pseudoaneurysm. Its sensitivity approaches 96% [3]. In our cases, the CT scan correctly diagnosed the source of bleeding in one case and, in the other case, it showed blood within the pseudocyst, indirect evidence of blood loss from the peripancreatic vessels. On the other hand, angiography delineated the source of bleeding correctly but angioembolization failed due to technical factors.
There are two therapeutic options for this entity: surgery and angioembolization. Angioembolization is safe and effective for immediate hemostasis, with a success rate of approximately 80 to 100%. Recurrent bleeding may occur in about 17-37% ofd patients [14] following embolization which can be managed by surgery or by repeat embolization. Although embolization is the first line of treatment, surgical therapy is the procedure of choice in hemodynamically unstable patients when angiography fails to localize the source of bleeding, when angioembolization fails (as in Case #2) or when there is a pancreatitis-related indication (i.e., drainage of a pseudocyst) (as in Case #1). The procedures described for controlling bleeding include intracystic ligation of the bleeding vessel, external ligation of the feeding vessels, a distal pancreatectomy or occasionally a pancreaticoduodenectomy. A hemostatic procedure is often accompanied by a cystogastrostomy or a cystojejunostomy, as in one of our cases. Overall mortality of surgical intervention ranges from 20 to 25%. Re-bleeding rates are significantly lower (0-5%) than embolization rates [15, 16]. There was no mortality or recurrence of bleeding in our cases. We believe that surgery is safe and plays an important role, particularly where expertise for interventional radiology is lacking, as in our case.
CONCLUSION
The diagnosis of hemosuccus pancreaticus requires a high level of expertise. It should be considered in patients presenting with upper gastrointestinal bleeding and a history of acute or chronic pancreatitis or a pseudocyst. Embolization and surgery are both equally effective and complementary. The choice of therapy depends on the clinical condition of the patient as well as local availability and expertise of the practitioner.
Received May 17th, 2011 - Accepted July 20th, 2011
Key words Aneurysm, False; Embolization, Therapeutic; Pancreatic Pseudocyst; Pancreatitis
Conflict of interest The authors have no potential conflict of interest
Correspondence
Sukanta Ray
Division of Surgical Gastroenterology
School of Digestive and Liver Diseases
Institute of Postgraduate Medical Education and Research
244 A. J. C. Bose Road
Kolkata 700020, West Bengal
India
Phone: +91-98-3028.7364
Fax: +91-33-2223.5435
E-mail: drsukantaray@yahoo.co.in
References
1. Cahow CE, Gusberg RJ, Gottlieb LJ. Gastrointestinal hemorrhage from pseudoaneurysms in pancreatic pseudocysts. Am J Surg 1983; 145:534-41. (More details: [1]).
2. Maus TP. Pseudoaneurysm hemorrhage as a complication of pancreatitis. Mayo Clin Proc 1993; 68:895-6. (More details: [2]).
3. Kim SS, Roberts RR, Nagy KK, Joseph K, Bokhari F, An G, Barrett J. Hemosuccus pancreaticus after penetrating trauma to the abdomen. J Trauma 2000; 49:948-50. (More details: [3]).
4. Etienne S, Pessaux P, Tuech JJ, Lada P, Lermite E, Brehant O, Arnaud JP. Hemosuccus pancreaticus: a rare cause of gastrointestinal bleeding. Gastroenterol Clin Biol 2005; 29:237-42. (More details: [4]).
5. Shinzeki M, Hori Y, Fujino Y, Matsumoto I, Toyama H, Tsujimura T, et al. Mucinous cystic neoplasm of the pancreas presenting with hemosuccus pancreaticus: report of a case. Surg Today 2010; 40:470-3. (More details: [5]).
6. Williams DM, Shetzline MA, Guarisco SA, Branch MS. Presumed arteriovenous malformation mimicking hemosuccus pancreaticus of Santorini's duct with normal pancreatic anatomy. Gastrointest Endosc 1996; 44:348-50. (More details: [6]).
7. Cheruvattath R, Diehl DL. Hemosuccus pancreaticus after EUS-FNA of a pancreatic tail cyst. Gastrointest Endosc 2009; 70:817. (More details: [7]).
8. Lermite E, Regenet N, Tuech JJ, Pessaux P, Meurette G, Bridoux V, et al. Diagnosis and treatment of hemosuccus pancreaticus: development of endovascular management. Pancreas 2007; 34:229-32. (More details: [8]).
9. Lower WE, Farrel JJ. Aneurism of the splenic artery. Report of a case and review of literature. Arch Surg 1931; 23:182-90. (More details: [9]).
10. Sandblom P. Gastrointestinal hemorrhage through the pancreatic duct. Ann Surg 1970; 171:61-6. (More details: [10]).
11. Péroux JL, Arput JP, Saint-Paul MC, Dumas R, Hastier P, Caroli FX, et al. Wirsungorrhagia complicating chronic pancreatitis associated with a neuroendocrine tumor of the pancreas. Gastroenterol Clin Biol 1994; 18:1142-5. (More details: [11]).
12. Vázquez-Iglesias JL, Durana JA, Yañez J, Rodriguez H, Garcia-Vallejo L, Arnal F. Santorinirrhage: hemosuccus pancreaticus in pancreas divisum. Am J Gastroenterol 1988; 83:876-8. (More details: [12]).
13. Meneu JA, Fernandez-Cebrian JM, Alvarez-Baleriola I, Barrasa A, Morales V, Carda P. Hemosuccus pancreaticus in a heterotopic jejunal pancreas. Hepatogastroenterology 1999; 46:177-9. (More details: [13]).
14. Boudghène F, L'Herminé C, Bigot JM. Arterial complications of pancreatitis: diagnostic and therapeutic aspects in 104 cases. J Vasc Interv Radiol 1993; 4:551-8. (More details: [14]).
15. Bender JS, Bouwman DL, Levison MA, Weaver DW. Pseudocysts and pseudoaneurysms: surgical strategy. Pancreas 1995; 10:143-7. (More details: [15]).
16. Negi SS, Sachdev AK, Bhojwani R, Singh S, Kumar N. Experience of surgical management of pseudo-aneurysms of branches of the coeliac axis in a North Indian Hospital. Trop Gastroenterol 2002; 23:97-100. (More details: [16]).