CASE REPORT
JOP. J Pancreas (Online) 2011 Sep 9; 12(5):473-476.
Cystic Pancreatic Lymphangioma. The First Report of a Preoperative Pathological Diagnosis by Endoscopic Ultrasound-Guided Cyst Aspiration
Vikram Bhatia1, Archana Rastogi2, Sundeep Singh Saluja3, Manoj Kumar1, Chhaggan Bihari2, Raja Kalayarasan3, Naveen L Gupta4
1Medical Hepatology, 2Pathology, and 4Chemical Hepatopathology; Institute of Liver and Biliary Sciences (ILBS). 3Gastrointestinal Surgery; Gobind Ballabh Pant Hospital (GBPH). New Delhi, India
ABSTRACT
Context We describe a case of cystic lymphangioma of the pancreas in which a preoperative tissue diagnosis was made with endoscopic ultrasound-guided fine needle aspiration (EUS-FNA). Case report A 20-year-old female presented with upper abdominal pain of two months duration and was found to have a cystic lesion in the pancreatic tail. Radiological imaging could not determine the organ of origin or the nature of the lesion. On EUS examination, a mixed micro-macrocystic lesion with thin delicate septae, and clear anechoic contents was found in the pancreatic tail. EUS-guided aspiration demonstrated the typical endothelial lined cystic channels. The diagnosis was confirmed after surgical resection. Conclusion Cystic lymphangioma should be considered in the differential diagnosis of cystic pancreatic lesions in which the morphology is difficult to characterize. EUS-FNA has the potential of rendering a positive diagnosis of this benign entity.
INTRODUCTION
Lymphangiomas are endothelium-lined benign tumors which arise from the lymphatic system, secondary to blockage of the lymphatic flow by inflammation or due to congenital malformations. Pancreatic lymphangiomas are extremely rare, and preoperative diagnosis is difficult as conventional imaging studies cannot characterize this lesion. Endoscopic ultrasound (EUS) can depict the internal details of a cystic pancreatic lesion in great detail, and also be used to aspirate the lesion for diagnostic studies. There are only four previous reports where a pancreatic lymphangioma was diagnosed by EUS, based on elevated triglyceride levels in the cyst aspirate.
We describe the first case of a young female with pancreatic lymphangioma in whom the characteristic tissue architecture was demonstrated preoperatively by EUS-guided fine needle aspiration (FNA).
CASE REPORT
A 20-year-old female presented complaining of moderately intense, periodic upper abdominal pain, of two months duration. The pain radiated to the back, and was unrelated to food. There were no associated symptoms of vomiting, gastrointestinal bleeding, jaundice, fever, weight loss or any decrease in appetite. The patient did not have any prior history of pancreatitis. There was a remote history of aspiration of a cyst from the left side of her neck 10 years previously. No records of either the procedure or the results of an aspirate analysis were available. She had three younger female siblings, who were healthy. She had no history of tuberculosis, but her mother had been treated for pulmonary tuberculosis, four years earlier. On physical examination, no abnormality was detected.
Investigations revealed: hemoglobin 11.0 g/dL (reference range: 13.0-17.0 g/dL), total leukocyte count 10,400 mm-3 (reference range: 4,000-11,000 mm-3), erythrocyte sedimentation rate 8 mm/1st hour (reference range: 0-10 mm/1st hour), fasting blood sugar 93mg/dL (reference range: 75-100 mg/dL), total bilirubin 0.6 mg/dL (reference range: 0-1.0 mg/dL), alanine aminotransferase (ALT) 31 U/L (reference range: 0-40 U/L), and albumin 4.3 g/dL (reference range: 3.8-5.0 g/dL). Her chest radiograph was normal.
Ultrasound of the abdomen showed a loculated cyst in the pancreatic tail, with anechoic contents. A contrast-enhanced computed tomographic (CT) scan showed a non-enhancing, low-attenuating cystic mass lesion (size: 8.2x9.7x6.5 cm) along the lesser curvature of the stomach. The mass was reported as oriented anterosuperior to the pancreas and anteromedial to the spleen. Lymphadenopathy or ascites were not seen. The pancreas was normal.
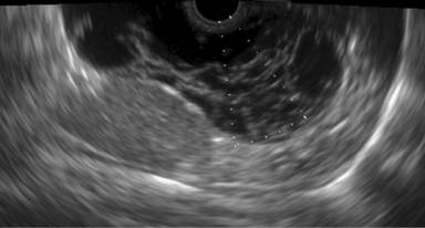
The patient was subsequently referred to our center for an EUS evaluation. EUS showed a lobulated, well-marginated, cystic lesion in the tail of the pancreas, reaching 8.0 cm in dimension. The lesion was anterior to the adrenal (not retropancreatic) gland, and separate from it. It extended to the splenic hilum with which it was closely related. The lesion was also found to be separate from the left kidney and stomach. There was no well-defined capsule. The internal contents of the lesion were clearly anechoic. Multiple thin, delicate strands and septae crisscrossed the lesion (Figure 1). Although most of the locules were larger (around 1.5-2.0 cm), some honeycombing microcystic components were also seen. No increased vascularity was evident in the walls or septae on power Doppler examination. No mural nodules, wall calcification or perilesional lymphadenopathy were noted. The remaining pancreatic parenchyma was normal.

|
Figure 1. EUS image showing the thin delicate septae inside the lesion, with clear anechoic contents. |
The cyst was aspirated with a 19G FNA needle and as much fluid as possible was removed with a single pass. The fluid was thick and yellowish, and solidified on standing (Figure 2). Subsequently, a 22G FNA needle was used to aspirate the collapsed septae and walls of the lesion. Periprocedure intravenous, and then oral antibiotics (amoxicillin and clavulanic acid) were given for 3 days to prevent cyst infection. No definitive morphological diagnosis could be made in view of the complex mixed macro- and micro-cystic nature of the lesion. The biochemical evaluation of the cystic fluid revealed: amylase 116 U/L, triglyceride: 30 mg/dL and carcinoembryonic antigen (CEA) 4.77 ng/mL levels.

|
Figure 2. Aspirate from the cystic lesion showing thick, yellow colored fluid, which jelled on standing. |
Cytology smears were cellular, and showed polymorphous, predominantly small, mature lymphoid cells, in a background of proteinaceous material (Figures 3 and 4). Mucin and epithelial cells were absent. Cell-block preparation of paraffin-embedded aspirate showed cystic spaces and dilated lymphatic channels, lined by a single layer of benign flattened endothelial cells (Figure 5). Abundant mature polymorphic leukocyte common antigen (LCA) positive lymphocytes were seen between these spaces (Figure 6). Immunohistochemical studies were also carried out for CD20 (B cell marker) and CD3 (T cell marker), and an intermixed population of B and T cells were found. The diagnosis based on EUS-FNA was pancreatic tail cystic lymphangioma.

|
Figure 3. Direct smear preparation showing mature lymphocytes in a background of proteinaceous fluid (40x, Giemsa stain). |

|
Figure 4. Cytospin preparation showing mature lymphocytes (100x, Giemsa stain). |

|
Figure 5. Cell-block preparation of paraffin-embedded aspirate fluid, showing cystic spaces and dilated lymphatic channels lined by endothelial cells. Abundant polymorphic mature lymphocytes are seen between these spaces (200x, H&E stain). |

|
Figure 6. Immunohistochemistry on the cell-block section showing mature lymphocytes positive for leukocyte common antigen (LCA) (200x). |
At laparotomy, an 8x6 cm multi-loculated cystic lesion was found which was located on the anterosuperior surface of the tail of the pancreas, extending to the splenic hilum. The cyst was completely excised (Figure 7). Histopathology confirmed the preoperative diagnosis.

|
Figure 7. Surgically resected lesion, with prominent surface lobulations and multi-septated internal structure on cut section. |
DISCUSSION
Cystic lymphangiomas are multi-loculated soft cystic masses, composed of a combination of variably sized, dilated lymphatic channels, divided by thin septae [1]. Flat endothelial cells line the cyst walls. Islands of lymphocytes can be present in the lumen and the septae [2, 3]. Lymphangiomas arise from detachment of the lymphatic tissue during embryologic development. It is believed that they develop from lymphatic vessels which dilate progressively because of insufficient drainage, due to atresia or inadequate efferent channels. Abdominal trauma, inflammatory process, surgery or radiation therapy can also lead to lymphatic channel obstruction and cyst enlargement.
Lymphangiomas are most commonly found in the neck (75%) and the axillae (20%), although a variety of other sites have been described, including the mediastinum, pleura, pericardium, groin, bones and abdomen [4]. Lymphangiomas of the pancreas are extremely rare, accounting for less than 1% of this type of tumor. Pancreatic lymphangiomas are more common in females, and are mostly located in the body and tail of the pancreas. Most patients are symptomatic, with abdominal pain and a palpable abdominal mass. Although a lymphangioma is a benign lesion, it can be locally invasive and can recur after incomplete excision of the cysts [5].
The diagnosis of pancreatic lymphangioma has traditionally been established after surgery. There are only four previous reports, describing a total of five cases of cystic pancreatic lymphangiomas, diagnosed by EUS-FNA [6, 7, 8, 9]. In two of these reports, the diagnosis was based on high triglyceride levels alone [8, 9] and, in the remaining two reports, on a combination of elevated triglycerides and numerous lymphocytes in the aspirate [6, 7]. The triglyceride levels in these five cases were more than 3,000 mg/dL. The gross appearance of the aspirated fluid has typically been described as milky, due to the high triglyceride content. All five of these lesions were followed up conservatively without surgical confirmation.
We could not estimate the triglyceride levels accurately due to the solidification of the cyst aspirate on standing. The aspirate did not contain any mucin, and its thick consistency was probably secondary to its high protein content.
The morphological appearance of a lymphangioma on EUS evaluation is variable. The lesion can be either unilocular or multilocular, and have variable components of micro- and macro-cysts in the same lesion. The septae, when present, are thin and delicate, and the contents are usually anechoic, without debris. The differential diagnosis of a cystic pancreatic lesion with a mixed micro-, and macro-cystic structure includes serous cystadenoma, and various tumors with cystic degeneration, such as neuroendocrine tumors, acinar cell cystadenocarcinoma and solid-pseudopapillary tumors, and some parasitic cysts, such as hydatid cysts of the pancreas. A lymphangioma of the pancreas does not contain any solid components and lacks a true capsule.
Although these features should suggest the diagnosis, the morphology itself is not characteristic. Aspiration of these difficult-to-characterize lesions can help to establish the diagnosis. We suggest that efforts should be made to prepare cell-blocks from the aspirates from all pancreatic cysts. The material from the collapsed walls and the septae of the cystic lesions after the fluid has been removed as completely as possible yields good material for processing as tissue blocks. This is particularly important in cysts without any solid components or mural nodules which can be directly targeted. A 19G FNA needle is normally used in our center to aspirate pancreatic cysts because it is easier to aspirate the cysts to dryness in a single pass with the larger needle as compared to a standard 22 G FNA needle. However, in this case, we also used a 22 G needle to sample the collapsed walls of the cyst after fluid aspiration since it is more difficult to make to-and-fro fanning movements with the bigger 19G needle. We were also apprehensive that there may have been a higher bleeding risk from the septae using the 19G needle.
Not all pancreatic cystic lesions need aspiration. Our patient was symptomatic, with a large pancreatic cyst, in an easily accessible site. We decided to aspirate the cyst preoperatively because of its unclear morphology, and also because our patient wanted a positive diagnosis before undergoing a laparotomy with its resultant scarring.
In conclusion, lymphangiomas should be considered in the differential diagnosis of microcystic and mixed micro-macrocystic pancreatic lesions. EUS-FNA can be used to establish a definite preoperative diagnosis, and, hence, allow for the conservative management of patients who are asymptomatic.
Received June 18th, 2011 - Accepted July 20th, 2011
Key words Biopsy, Fine-Needle; Endosonography; Lymphangioma
Conflict of interest None of the authors of this study have any conflict of interest to declare. None of the authors have received any funding or material support related to this manuscript
Correspondence
Vikram
Bhatia
Medical
Hepatology
Institute of Liver and Biliary Sciences (ILBS)
D-1,
Vasant Kunj
New Delhi - 110070
India
Phone: +91-27.312.382
Fax: +91-46.300.010
E-mail: vikrambhatiadr@gmail.com
References
1. Gray G, Fried K, Iraci J. Cystic lymphangioma of the pancreas: CT and pathologic findings. Abdom Imaging 1998; 23:78-80. (More details: [1]).
2. Casadei R, Minni F, Selva S, Marrano N, Marrano D. Cystic lymphangioma of the pancreas: an atomoclinical, diagnostic and therapeutic considerations regarding three personal observations and review of the literature. Hepatogastroenterology 2003; 50:1681-6. (More details: [2]).
3. Enzinger FM, Weiss SW. Tumors of lymph vessels. In: Enzinger FM, Weiss SW, editors. Soft Tissue Tumors. St. Louis: Mosby, 1995:679-700. (More details: [3]).
4. Colovic RB, Grubor NM, Micev MT, Atkinson HD, Rankovic VI, Jagodic MM. Cystic lymphangioma of the pancreas. World J Gastroenterol 2008; 14:6873-5. (More details: [4]).
5. Chung JC, Kim HC, Chu CW, Shin EJ, Lim CW, Song OP. Huge cystic lymphangioma of the pancreas. Can J Surg 2009; 52:E303-5. (More details: [5]).
6. Dries AM, McDermott J. Diagnosis of cystic lymphangioma of the pancreas with endoscopic ultrasound-guided fine needle aspiration. Am J Gastroenterol 2008; 103:1049-50. (More details: [6]).
7. Barresi L, Tarantino I, Curcio G, Mocciaro F, Catalano P, Spada M, Traina M. Pancreatic cystic lymphangioma in a 6-year-old girl, diagnosed by endoscopic ultrasound (EUS) fine needle aspiration. Endoscopy 2011; 43(Suppl 2):E61-2. (More details: [7]).
8. Jathal A, Arsenescu R, Crowe G, Movva R, Shamoun DK. Diagnosis of pancreatic cystic lymphangioma with EUS-guided FNA: report of a case. Gastrointest Endosc 2005; 61:920-2. (More details: [8]).
9. Applebaum B, Cunningham JT. Two cases of cystic lymphangioma of the pancreas: a rare finding in endoscopic ultrasonography. Endoscopy 2006; 38(Suppl 2):E24-5. (More details: [9]).