CASE REPORT
JOP. J Pancreas (Online) 2011 Sep 9; 12(5):477-481.
Diffuse Pancreatic Lesion Mimicking Autoimmune Pancreatitis in an HIV-Infected Patient: Successful Treatment by Antiretroviral Therapy
Gil Leurquin-Sterk1, Kinda Schepers2, Myriam Delhaye3, Serge Goldman1, Laurine Verset4, Celso Matos5
Departments of 1Nuclear Medicine, 2Immunodeficiency, 3Gastroenterology, 4Pathology and 5Medical Imaging, University Clinics of Brussels, “Erasme” Hospital. Brussels, Belgium
ABSTRACT
Pancreatitis is a relatively common cause of morbidity in HIV patients, the acute form being more prevalent in this population as compared to the general population and most frequently attributed to HIV-related medication or opportunistic infection [1, 2, 3]. Acute pancreatitis directly related to HIV infection has only seldom been reported, mostly in primary HIV infection [4, 5, 6, 7]. Moreover, multimodal imaging features suggestive of autoimmune pancreatitis have not specifically been reported in HIV-infected patients.
CASE REPORT
A 27-year-old Congolese woman, known to be HIV positive, presented at our outpatient immunodeficiency clinic for epigastric pain radiating to the back, nausea, anorexia and weight loss of three weeks duration. The patient had also recently had bouts of vomiting but did not mention diarrhea or fever. The patient had a poor compliance to HIV medications, and she had stopped antiretroviral treatment for 6 months. The plasma viral load was 75,640 copies RNA/mL and the CD4 count was 147 cells/mm3 (reference range: 288-1,500 cells/mm3). Other pathological laboratory data included lipase 630 UI/L (reference range: 0-75 UI/L), CRP 4.2 mg/dL (reference range: 0-1 mg/dL and, polyclonal gamma-globulin 2.27 g/dL (reference range: 0.80-1.35 g/dL) with total IgG 2,610 mg/dL (reference range: 650-1,500 mg/dL). Liver tests, and calcium and triglyceride levels were within the normal range. Serological tests for HBV, HCV, toxoplasma and syphilis were negative. EBV and CMV serologies were positive for IgG and negative for IgM. There was no history of previous pancreatitis, smoking or alcohol abuse.
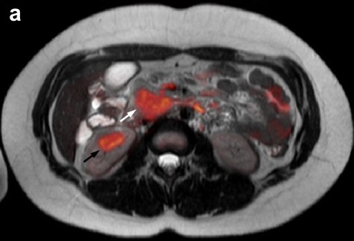
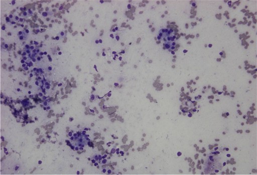
Contrast-enhanced MRI and diffusion-weighted imaging showed: a) an enlarged pancreas associated with highly restricted diffusion and delayed enhancement of the pancreas parenchyma as well as capsule-like peripheral enhancement in the late venous phase; b) main pancreatic duct strictures and chronic pancreatitis changes, suggesting possible autoimmune pancreatitis or a diffuse inflammatory process (Figure 1abc). Multiple mesenteric lymph nodes and two right renal mass-like lesions were also evidenced. 18F-fluorodeoxyglucose positron emission tomography/computed tomography (FDG-PET/CT) showed hypermetabolic activity within all lesions seen on MRI as well as less intense hyperactivity at the level of enlarged bilateral axillary lymph nodes (Figure 1d). These findings raised the hypothesis of lymphoma or tuberculosis. Endoscopic ultrasonography found a diffuse enlarged pancreatic gland and a 40 mm right renal mass. Fine needle aspiration (FNA) was performed both in the pancreas and in the kidney. Cytology showed non-specific inflammatory cells (Figure 2). IgG4-immunostaining was negative, serum IgG4 level was normal and anti-nuclear antibody was negative. Ultrasound-guided percutaneous renal biopsy was inconclusive, revealing a normal renal parenchyma. Cultures (containing a medium specific for mycobacteria and fungus) on FNA and percutaneous renal biopsy specimens were negative.




|
Figures 1. a. Fusion of axial MRI T2-weighted spin-echo and diffusion-weighted images showing high-intensity focal lesions in the pancreatic head (white arrow) and in the right kidney (black arrow). b. Late venous phase of contrast-enhanced axial MRI T1-weighted gradient-echo image showing a diffusely enhanced and enlarged pancreas with a high intensity capsule-like rim (arrows). c. MRCP image revealing a long segmental stricture (arrow) as well as dilatation and side branch ectasia of the main pancreatic duct. d. FDG-PET/CT showing multiple localizations of intense abnormal radiotracer uptake corresponding to the superior and inferior pole of the right kidney (open arrows), the head and body of the pancreas (closed arrows), and the axillary regions (arrowheads). |

|
Figure 2. Cytological specimen (Diff-Quick staining; magnification x200) of the pancreatic head mass showing a few non-specific inflammatory cells (lymphocytes and neutrophils). |
Given the lack of evidence of malignancy or infection, highly active antiretroviral therapy was resumed with a regimen including tenofovir, emtricitabine and boosted darunavir. Two months later, the patient was totally asymptomatic. She had had an undetectable HIV viral load. Lipase and CRP were within the normal range, and abnormal findings on MRI and FDG-PET/CT had totally disappeared at the level of the pancreas and were almost entirely normalized in the other sites (Figure 3).



|
Figure 3. Image following highly active antiretroviral therapy. a. Fusion of axial MRI T2-weighted spin-echo and diffusion-weighted images showing complete resolution of the pancreatic lesions and dramatic regression of the right kidney lesion. b. Axial MRCP showing improvement of the main pancreatic duct abnormalities. c. FDG-PET/CT revealing slight residual radiotracer uptake in the axillary lymph nodes. |
DISCUSSION
This case report illustrates an inflammatory process which involved the pancreas, the kidney and the lymph nodes, and which was presumably a direct consequence of HIV infection.
The incidence of acute pancreatitis among HIV-positive patients is higher than in the general population [1, 2], and the risk increases with the progression of the HIV infection [8, 9]. In addition to the common causes of acute pancreatitis, the differential diagnosis in HIV-infected patients includes the side effects of the medication (the most frequent) and opportunistic infections [3]. Acute pancreatitis directly due to HIV has been suggested in a few reports, mostly in the context of primary HIV infection [4, 5, 6, 7].
In HIV-infected individuals, abdominal MRI [10], CT or ultrasonography [11] may show non-specific features of acute or chronic pancreatitis. Typical pancreatic MRI findings of autoimmune pancreatitis include focal or diffuse pancreatic parenchyma enlargement, delayed contrast enhancement, a high-intensity capsule-like rim (rim sign) and mild dilatation of the main pancreatic duct with focal or diffuse narrowing [12]. To our knowledge, the rim sign has never been described in HIV-related pancreatitis. Diffusion-weighted imaging has been reported to help in the differentiation between normal tissue, cancer and autoimmune pancreatitis [13, 14]. In addition, functional imaging of autoimmune pancreatitis using FDG-PET/CT has been reported to be useful in diagnosing the condition and monitoring the therapy [15, 16].
Even if MRI findings and the high polyclonal IgG level found in our patient were sufficient to fulfill the diagnostic criteria of autoimmune pancreatitis according to the Japan Pancreas Society [17], we considered this diagnosis very unlikely. Sugumar et al. recently described two different histopathological and clinical subtypes of autoimmune pancreatitis [18]: type I (lymphoplasmacytic sclerosing pancreatitis) which is an IgG4-related disorder more prevalent in elderly males and potentially associated with multiple-organ involvement, and type II (idiopathic duct-centric pancreatitis or autoimmune pancreatitis with granulocyte epithelial lesions) which is not IgG4-related, more prevalent in young adults in Western countries and only sometimes associated with inflammatory bowel disease. However, these two entities are similarly responsive to glucocorticoids. Our patient had lymph node and kidney involvement but no signs of IgG4-related disease (either in serum or on immunocytochemistry). Moreover, complete resolution with highly active antiretroviral therapy alone without any glucocorticoid therapy did not support the theory of autoimmune pancreatitis. In addition, no case of autoimmune pancreatitis has ever been published regarding HIV-infected patients.
The imaging studies carried out on our patient were also suggestive of lymphoma, the most common neoplastic disease in HIV-infected individuals [19]. Primary and secondary pancreatic lymphomas may present as acute pancreatitis with autoimmune pancreatitis-like imaging features [20]. Moreover, extra-pancreatic involvement, such as lymph node or mass-like renal lesions, may also be associated with either lymphoma [21] or autoimmune pancreatitis [22]. Interestingly, complete remission on highly active antiretroviral therapy alone has been reported in one patient with EBV-positive HIV-associated lymphoproliferative disease [23] and in two other patients with HIV-associated lymphoma, one EBV-negative [24] and one EBV-positive [25]. However, no investigations carried out on our patient confirmed a diagnosis of lymphoma.
Because of the exclusion of any opportunistic infection, side effects of the medication or malignancy and, given the complete resolution of the clinical abnormalities after highly active antiretroviral therapy re-initiation, our case most probably corresponds to an episode of systemic inflammation involving the pancreas, kidney and lymph nodes which was directly related to HIV replication.
Of note, Aboulafia [26] highlighted the potential implication of HIV in inflammatory processes by reporting the case of an HIV patient presenting with a mesenteric inflammatory pseudotumor associated with systemic inflammation and a high TNF-alpha serum level, all of which improved under treatment with thalidomide, a drug with immunomodulatory and anticytokine properties.
To conclude, we described the case of an HIV-infected patient presenting with acute pancreatitis and autoimmune pancreatitis features on imaging studies. In view of this case, we propose that inflammatory processes directly related to HIV replication and involving the pancreas and other organs should be considered in patients with uncontrolled HIV infection. Furthermore, HIV-related pancreatitis should be included in the differential diagnosis for patients suspected of having autoimmune pancreatitis on MRI. The pathogenesis of HIV-related inflammatory pseudotumoral processes remains to be defined.
Received June 24th, 2011 - Accepted July 21st, 2011
Key words Acquired Immunodeficiency Syndrome; Inflammation; Magnetic Resonance Imaging; Pancreatitis; Positron-Emission Tomography
Conflict of interest The authors have no potential conflict of interest
Correspondence
Gil
Leurquin-Sterk
Erasme Hospital
808 route de Lennik
1070 Brussels
Belgium
Phone: +32-2.555.4325
Fax: +32-2.555.3994
E-mail: gleurqui@ulb.ac.be
References
1. Dutta SK, Ting CD, Lai LL. Study of prevalence, severity, and etiological factors associated with acute pancreatitis in patient infected with human immunodeficiency virus. Am J Gastroenterol 1997; 92:2044-8. (More details: [1]).
2. Bush ZM, Kominski LA. Acute pancreatitis in HIV-infected patients: are etiologies changing since the introduction of protease inhibitor therapy? Pancreas 2003; 27:1-5. (More details: [2]).
3. Trindade AJ, Huysman A, Huprikar SS, Kim MK. A case study and review of pancreatitis in the AIDS population. Dig Dis Sci 2008; 53:2616-20. (More details: [3]).
4. Rizzardi GP, Tambussi G, Lazzarin A. Acute pancreatitis during primary HIV-1 infection. N Engl J Med 1997; 336:1836-7. (More details: [4]).
5. Mortier E, Gaba S, Mari I, Vinceneux P, Pouchot J. Acute pancreatitis during primary HIV infection. Am J Gastroenterol 2002; 97: 504-7. (More details: [5]).
6. Tyner R, Turett G. Primary human immunodeficiency virus infection presenting as an acute pancreatitis. South Med J 2004; 97:393-4. (More details: [6]).
7. Paño-Pardo JR, Alcaide ML, Abbo L, Dickinson G. Primary HIV infection with multisystemic presentation. Int J Infect Dis 2009; 13:177-80. (More details: [7]).
8. Maxson CJ, Greenfield SM, Turner JL. Acute pancreatitis as a common complication of 2',3'-dideoxyinosine therapy in the acquired immunodeficiency syndrome. Am J Gastroenterol 1992; 87:708-13. (More details: [8]).
9. Smith CJ, Olsen CH, Mocroft A, Viard JP, Staszewski S, Panos G, Staub T, et al. The role of antiretroviral therapy in the incidence of pancreatitis in HIV-positive individuals in the EuroSIDA study. AIDS 2008; 22:47-56. (More details: [9]).
10. Bilgin M, Balci NC, Erdogan A, Momtahen AJ, Alkaade S, Rau WS. Hepatobiliary and pancreatic MRI and MRCP findings in patients with HIV infection. AJR Am J Roentgenol 2008; 191:228-32. (More details: [10]).
11. Keaveny AP, Karasik MS. Hepatobiliary and pancreatic infections in AIDS: part II. AIDS Patient Care STDS 1998; 12:451-6. (More details: [11]).
12. Rehnitz C, Klauss M, Singer R, Ehehalt R, Werner J, Büchler MW, et al. Morphologic patterns of autoimmune pancreatitis in CT and MRI. Pancreatology 2011; 11:240-51. (More details: [12]).
13. Fattahi R, Balci NC, Perman WH, Hsueh EC, Alkaade S, Havlioglu N, Burton FR. Pancreatic diffusion-weighted imaging (DWI): comparison between mass-forming focal pancreatitis (FP), pancreatic cancer (PC), and normal pancreas. J Magn Reson Imaging 2009; 29:350-6. (More details: [13]).
14. Kamisawa T, Takuma K, Anjiki H, Egawa N, Hata T, Kurata M, Honda G, et al. Differentiation of autoimmune pancreatitis from pancreatic cancer by diffusion-weighted MRI. Am J Gastroenterol 2010; 105:1870-5. (More details: [14]).
15. Shigekawa M, Yamao K, Sawaki A, Hara K, Takagi T, Bhatia V, Nishio M, et al. Is (18)F-fluorodeoxyglucose positron emission tomography meaningful for estimating the efficacy of corticosteroid therapy in patients with autoimmune pancreatitis? J Hepatobiliary Pancreat Sci 2010; 17:269-74. (More details: [15]).
16. Nguyen VX, De Petris G, Nguyen BD. Usefulness of PET/CT imaging in systemic IgG4-related sclerosing disease. A report of three cases. JOP. J Pancreas (Online) 2011; 12:297-305. (More details: [16]).
17. Okazaki K, Kawa S, Kamisawa T, Naruse S, Tanaka S, Nishimori I, Ohara H, et al. Clinical diagnostic criteria of autoimmune pancreatitis: revised proposal. J Gastroenterol 2006; 41:626-31. (More details: [17]).
18. Sugumar A, Kloppel G, Chary ST. Autoimmune pancreatitis: Pathologic subtypes and their implications for the diagnosis. Am J Gastroenterol 2009; 104:2308-11. (More details: [18]).
19. Straus DJ. HIV-associated lymphomas. Curr Oncol Rep 2001; 3:260-5. (More details: [19]).
20. Ishigami K, Tajima T, Nishie A, Ushijima Y, Fujita N, Asayama Y, Kakihara D, et al. MRI findings of pancreatic lymphoma and autoimmune pancreatitis: a comparative study. Eur J Radiol 2010; 74:22-8. (More details: [20]).
21. Sheth S, Ali S, Fishman E. Imaging of renal lymphoma: patterns of disease with pathologic correlation. Radiographics 2006; 26:1151-68. (More details: [21]).
22. Triantopoulou C, Malachias G, Maniatis P, Anastopoulos J, Siafas I, Papailiou J. Renal lesions associated with autoimmune pancreatitis: CT findings. Acta Radiol 2010; 51:702-7. (More details: [22]).
23. Fujita H, Nishikori M, Takaori-Kondo A, Yoshinaga N, Ohara Y, Ishikawa T, Haga H, et al. A case of HIV-associated lymphoproliferative disease that was successfully treated with highly active antiretroviral therapy. Int J Hematol 2010; 91:692-8. (More details: [23]).
24. Koszyk-Szewczyk A, Bayerl M, Zurlo J, Drabick JJ. Epstein Barré virus-negative diffuse large B-cell lymphoma in an HIV-infected man with a durable complete remission on highly active antiretroviral therapy alone. South Med J 2010; 103:76-80. (More details: [24]).
25. Amengual JE, Zhang X, Ibrahim S, Gardner LB. Regression of HIV-related diffuse large B-cell lymphoma in response to antiviral therapy alone. Blood 2008; 112:4359-60. (More details: [25]).
26. Aboulafia DM. Inflammatory pseudotumor causing small bowel obstruction and mimicking lymphoma in a patient with AIDS: clinical improvement after initiation of thalidomide treatment. Clin Infect Dis 2000; 30:826-31. (More details: [26]).