CASE REPORT
JOP. J Pancreas (Online) 2011 Sep 9; 12(5):489-490.
Pancreatic Leak After Endoscopic Ultrasound Guided Fine Needle Aspiration Managed by Transpapillary Pancreatic Duct Stenting
Savio Reddymasu1, Melissa M Oropeza-Vail2, Stephen Williamson3, Faisal Jafri4, Mojtaba Olyaee2
1Division of Gastroenterology, Department of Medicine, Creighton University Medical Center. Omaha, NE, USA. Divisions of 2Gastroenterology and 3Hematology/Oncology, Department of Medicine, University of Kansas Medical Center. Kansas City, KS, USA. 4Kansas City Gastroenterology and Hepatology, LLC. Kansas City, MO, USA
ABSTRACT
Context Endoscopic ultrasonography guided fine needle aspiration (EUS-FNA) is a front line test used for the diagnosis of solid as well as cystic lesions of the pancreas. This procedure is fairly well tolerated and associated with minimal complications. Local complications such as perforation and pancreatitis have been reported with EUS-FNA, albeit rarely. Although pancreatic duct injury can occur during EUS-FNA, symptomatic pancreatic duct leak as a complication of this procedure has never been reported. Case report We present a 67-year-old patient who developed symptomatic ascites after EUS-FNA of a pancreatic neck lesion that required several paracenteses. Analysis of the ascitic fluid revealed that the fluid amylase and lipase levels were very high consistent with pancreatic ascites. An endoscopic retrograde pancreatography was subsequently performed that documented the presence of a pancreatic duct leak in the neck. The pancreatic duct leak and the ascites resolved after placing a pancreatic duct stent. Conclusion A clinically significant pancreatic leak can occur as a rare complication of EUS-FNA that can be effectively managed by endoscopic retrograde pancreatography and placement of a transpapillary pancreatic duct stent.
INTRODUCTION
Endoscopic ultrasonography (EUS) and EUS guided fine needle aspiration (EUS-FNA) has evolved as a key diagnostic modality for solid and cystic lesions of the pancreas. This test can be performed safely as an outpatient procedure with minimal risk of complications [1, 2]. In a recent systematic review analyzing EUS-FNA complications, the authors found that the risk of complications from EUS can occur in about 1% of patients and 1/3 of these complications are due to acute pancreatitis [3]. While it is plausible that a pancreatic leak could occur due to injury to the pancreatic duct during the FNA, this complication as a result of EUS-FNA has never been reported. We present a patient here who underwent EUS-FNA for evaluation of a pancreatic neck mass who subsequently developed a symptomatic pancreatic duct leak.
CASE REPORT
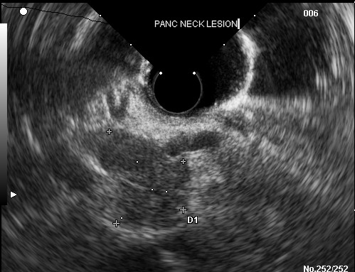
A 67-year-old female with history of metastatic carcinoid tumor presented with worsening abdominal pain, nausea, bloating, and finding of new onset ascites on computerized tomography (CT) about two weeks after endoscopic ultrasound guided fine needle aspiration at an outside facility. During the EUS, a 2.5x2.2 centimeter hypoechoic lesion (Figure 1) was seen in the neck of the pancreas. Fine needle aspiration of the mass was performed with a 25 gauge Echotip® needle (Wilson Cook, Winston-Salem, NC, USA) and a total of three passes were made. The cytological interpretation of the aspirate was consistent with well differentiated neuroendocrine tumor.

|
Figure 1. Endoscopic ultrasonic image of the pancreatic neck lesion. |
A diagnostic paracentesis was performed that revealed that the serum ascitic-albumin gradient of the fluid was greater than 1.1, with the fluid amylase level being 2,480 U/L, and the lipase being higher than 4,000 U/L. There was no radiographic or biochemical evidence of acute pancreatitis after EUS-FNA. Since the patient required several paracenteses for symptomatic ascites, an endoscopic retrograde pancreatography was performed that showed a significant pancreatic duct leak (Figure 2) at the level of the neck of the pancreas. A 5-French 3 cm transpapillary pancreatic duct stent was placed following which the patients symptoms improved and the ascites resolved over the next few months. A follow-up endoscopic retrograde pancreatography after four months showed resolution of the pancreatic duct leak.

|
Figure 2. Endoscopic retrograde pancreatographic image of pancreatic duct leak in the neck of the pancreas. |
DISCUSSION
The patient presented above developed symptomatic pancreatic duct leak in the form of worsening abdominal pain and ascites after EUS-FNA. The temporal relationship between EUS-FNA and the development of the pancreatic duct leak in the absence of acute pancreatitis or trauma makes EUS-FNA as the most likely etiology of the pancreatic duct leak. Further, the location of the pancreatic duct leak at the same site where the FNA was performed strengthens the suspicion. To our knowledge this is the first reported case of a pancreatic duct leak occurring as a complication of EUS-FNA. This complication appears to be very rare given that pancreatic duct leak was not mentioned as a complication in a recent meta analysis of EUS-FNA complications in 10,941 patients [3].
It can be speculated that this patient might have developed acute pancreatitis after EUS-FNA and the pancreatic leak was a complication of pancreatitis; however, the absence of radiological or biochemical evidence of pancreatitis makes this explanation unlikely. A possible reason for paucity of literature on this topic could be that the injury to the pancreatic duct after EUS-FNA in most cases is self limited and may not cause overt clinical manifestations like the patient presented above. Similar to pancreatic leaks of other etiologies, transpapillary stenting appears to be effective in the management of pancreatic leak in this scenario [4, 5].
In conclusion, clinicians should recognize that a clinically significant pancreatic duct leak can occur after EUS-FNA. Endotherapy with transpapillary stent placement appears to be effective in the management of this complication. Further studies estimating the incidence of this complication after EUS-FNA are awaited.
Received June 21st, 2011 - Accepted August 16th, 2011
Key words Endosonography; Pancreatic Fistula
Financial disclosure None
Conflict of interest The authors have no potential conflicts of interest
Correspondence
Mojtaba
Olyaee
Department of Medicine
The University of Kansas Medical Center
3901 Rainbow Boulevard
Kansas City, KS 66160
USA
Phone: +1-913.588.6003
Fax: +1-913.588.3283
E-mail: molyaee@kumc.edu
References
1. Shami VM, Waxman I. Technology insight: Current status of endoscopic ultrasonography. Nat Clin Pract Gastroenterol Hepatol 2005; 2(1):38-45. (More details: [1]).
2. Anandasabapathy S. Endoscopic ultrasound: indications and applications. Mt Sinai J Med 2006; 73:702-7. (More details: [2]).
3. Wang KX, Ben QW, Jin ZD, Du YQ, Zou DW, Liao Z, Li ZS. Assessment of morbidity and mortality associated with EUS-guided FNA: a systematic review. Gastrointest Endosc 2011; 73:283-90. (More details: [3]).
4. Wilcox CM, Varadarajulu S. Endoscopic therapy for chronic pancreatitis: an evidence-based review. Curr Gastroenterol Rep 2006; 8:104-10. (More details: [4]).
5. Baron TH. Treatment of pancreatic pseudocysts, pancreatic necrosis, and pancreatic duct leaks. Gastrointest Endosc Clin N Am 2007; 17: 559-79. (More details: [5]).