CASE REPORT
JOP. J Pancreas (Online) 2012 Jan 10; 13(1):104-107.
Wernicke Encephalopathy Presenting in a Patient with Severe Acute Pancreatitis
Ana Cecilia Arana-Guajardo1, Carlos Rodrigo Cámara-Lemarroy1, Erick Joel Rendón-Ramírez1, Joel Omar Jáquez-Quintana2, Juan Fernando Góngora-Rivera3, Dionicio Ángel Galarza-Delgado1
1Department of Internal Medicine: Units of 2Gastroenterology and 3Neurology; University Hospital “Dr. José E. González”, Autonomous University of Nuevo León. Monterrey, NL, México
ABSTRACT
Context Acute pancreatitis can lead to prolonged fasting and malnutrition. Many metabolic changes, including thiamine deficiency, may lead to the well know pancreatic encephalopathy. In this condition however the thiamine deficiency is rarely suspected. Case report We report the case of a 17-year-old woman with severe acute pancreatitis who developed mental status changes and ophthalmoplegia. A magnetic resonance image showed hyperintensive signals in periventricular areas, medial thalamus, and mammillary bodies, findings consistent with the diagnosis of Wernicke encephalopathy. Thiamine treatment reversed neurological complications. Conclusion Wernicke encephalopathy secondary to thiamine deficiency should be considered as a possible cause of acute mental status changes in patients with acute pancreatitis and malnutrition. Prophylactic doses of thiamine could be considered in susceptible patients.
INTRODUCTION
Wernicke encephalopathy is a neuropsychiatric condition associated with thiamine deficiency, presenting as a combination of acute onset ataxia, ophthalmoplegia, nystagmus and confusion [1]. It is commonly associated with alcohol consumption, but conditions including important weight loss, repeated vomiting, prolonged fasting, and other nutritional abnormalities such as those occurring after gastrointestinal surgery for tumors are also associated with Wernicke encephalopathy [2]. Acute pancreatitis can lead to fasting, weight loss, a hypercatabolic state and malnutrition, and as such can lead to thiamine deficiency. However, during pancreatitis many metabolic alterations can lead to altered mental status, and Wernicke encephalopathy is rarely suspected. Here we present a case of Wernicke encephalopathy that developed in a 17-year-old patient with severe acute pancreatitis.
CASE REPORT
A 17-year-old woman with no prior history reported to the emergency department, complaining of 8 days of severe abdominal pain radiating to the back accompanied with nausea and vomiting. Her cardiovascular and neurological exams were normal. Her vital signs were: heart rate of 125 min-1, blood pressure 120/80 mmHg, temperature 38.1°C, and respiratory rate 30 min-1. Her blood workup showed mild anemia, leukocytosis and hypoalbuminemia. Serum amylase was 154 IU/L (reference range: 25-125 IU/L) and lipase 554 IU/L (reference range: 23-300 IU/L). The diagnosis of acute necrotizing pancreatitis was confirmed after an abdominal CT scan showed biliary sludge in the gallbladder and a large fluid collection around a severely inflamed pancreas. APACHE-II scores for the patient reached 15 points. The patient was admitted to the internal medicine ward and medical treatment was initiated, including fasting and initiation of parenteral nutrition. After a CT-guided aspiration of the peripancreatic fluid collection that was positive for an antibiotic-sensitive E. coli, antibiotic treatment was started with imipenem.
Blood workup and laboratory evaluations were carried out after admission. Her electrocardiogram was unremarkable, as was her chest X-ray. Her blood gases were normal. She had low serum sodium (126.7 mmol/L; reference range: 136-146 mmol/L) and chloride (83 mmol/L; reference range: 101-111 mmol/L). Glucose was 163 mg/dL (reference range: 70-118 mg/dL), creatinine 0.84 mg/dL (reference range: 0.6-1.4 mg/dL), blood urea nitrogen 10 mg/dL (reference range: 7-20 mg/dL), and normal coagulation parameters. Liver function tests were as follows: albumin 1.9 g/dL (reference range: 3.2-5.5 g/dL), AST 29 IU/L (reference range: 10-42 IU/L), ALT 33 IU/L (reference range: 10-42 IU/L), alkaline phosphatase 114 IU/L (reference range: 38-126 IU/L), total bilirubin 2.09 mg/dL (reference range: 0.2-1.0 mg/dL), total cholesterol 92 mg/dL (reference range: 140-200 mg/dL).
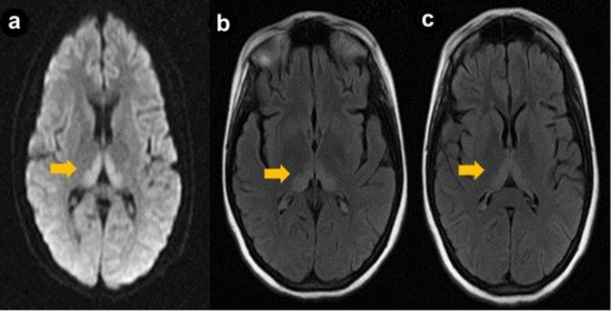
After 15 days of a favorable clinical course, and after the acute episode was resolved, the patient was referred to the surgery department for a laparoscopic pancreatic necrosectomy and cholecystectomy. These procedures were uneventful, and the patient was admitted to the surgical ward for recovery. At this point, the neurological exam was normal, and the patient was afebrile and hemodynamically stable. The patient was again referred to the internal medicine department at the 8th post-operative day because of mental status changes, including drowsiness, confusion and dizziness. At interrogation, the patient complained of severe headache and diplopia. At neurological examination, she had a horizontal nystagmus, VI cranial nerve palsy, signs of cerebellar dysfunction, short term memory impairment, and lethargy. Deep tendon reflexes were increased in lower limbs. General muscle weakness (4/5) was also found. Her blood glucose was normal; she had low hemoglobin (10.6 g/dL; reference range: 12.2-18.1 g/dL), no signs of meningeal irritation and a normal spinal fluid analysis. Antinuclear antibodies were negative and thyroid function tests normal. Because of the prolonged fasting, Wernicke encephalopathy was suspected. A contrasted brain MRI was performed that showed hyperintensive signals in periventricular areas, medial thalamus, and mammillary bodies, findings consistent with the diagnosis of Wernicke encephalopathy (Figure 1). An electroencephalography was performed.

|
Figure 1. Brain magnetic resonance imaging (fast spin echo). a. Diffusion. b., c. T2 flair (arrows): bilateral and symmetrical hyperintense lesions in pulvinar and dorsomedial thalami. |
Even though the patient’s initial thiamine levels were not determined, the authors made the diagnosis of Wernicke encephalopathy, and 300 mg of thiamine daily was started in i.v. fluids as well as other electrolytes. After 7 days, her symptoms began to slowly improve, with correction of dizziness, alterations in consciousness and improvement in memory disturbances. Nystagmus and ophthalmoplegia improved but were not reversed completely.
DISCUSSION
Wernicke encephalopathy is a neuropsychiatric condition associated with thiamine deficiency, classically presenting as a combination of acute onset ataxia, ophthalmoplegia, nystagmus and confusion [1]. It can lead to a closely related condition, the more chronic Korsakoff dementia syndrome [1]. MRI is the preferred imaging method employed for the diagnosis of Wernicke encephalopathy, with a sensitivity of 53% and a specificity of 93%, and findings commonly include affectation of mammillary bodies, thalamus, periventricular areas, and hippocampus [3, 4]. However, it is known that only 16% of patients present with the classic triad of eye signs, confusion and ataxia [5]. This has led to a reevaluation of the clinical diagnosis of Wernicke encephalopathy, concentrating now on the predisposing conditions when encountering a patient with neuropsychiatric symptoms.
Thiamine, or vitamin B1, is an essential nutrient not produced by the body, which makes its dietary intake its only natural source. The average daily requirement is 0.66 mg, but currently a daily intake of 1.1 mg is recommended for adult women and 1.2 mg for adult men [6]. Thiamine is a co-factor in the tricarboxylic acid cycle, and neurons, because of their dependence on oxidative metabolism, are very sensitive to thiamine deficiency, which leads to cell death via apoptosis, impaired transmitter signaling and DNA damage [7].
Thiamine deficiency associated with Wernicke encephalopathy occurs mainly in alcoholics, and 90% of patients presenting with Wernicke encephalopathy have a history of important alcohol use [8]. The mechanisms by which alcohol induces thiamine deficiency are varied: decreased absorption in the gastrointestinal tract, inadequate nutritional intake, and impaired intracellular utilization [6]. However, many other conditions are known to predispose to thiamine deficiency, including important weight loss, repeated vomiting, prolonged fasting, and other nutritional abnormalities [5]. Our patient had no history of alcohol use, but her gastrointestinal condition (acute pancreatitis) led to vomiting and fasting. During her hospitalization, complications led to the utilization of prolonged total parenteral nutrition, without adequate thiamine supplementation. Additionally, it was revealed that she had recently given birth, and medical records showed she had lost excessive weight in the postpartum.
A condition known as pancreatic encephalopathy has been described. It is a complication of severe pancreatitis, presenting as confusion, restlessness, altered consciousness, and associated with diffuse demyelination and white matter changes in cerebral imaging [9]. Pancreatic encephalopathy presents in 18% of patients with severe acute pancreatitis, and is associated with mortality close to 70% [10]. The physiopathology is not completely understood: altered hemodynamic, metabolic status, electrolyte and fluid disorders, inflammatory cytokines, and a direct neurotoxic action of phospholipase have all been implicated [9]. Treatment consists of that of the underlying condition. Our patient had severe pancreatitis, with an APACHE-II score of 15 and a large peripancreatic collection that became secondarily infected. Considering the overlap of neuropsychiatric manifestations associated with both pancreatic encephalopathy and Wernicke encephalopathy, as well as the multiple concomitant clinical and metabolic alterations capable of explaining the neurologic alterations, the distinction of these two entities can be quite difficult. This can lead to delay in treatment and increased morbidity/mortality. We have no direct evidence of thiamine deficiency in our patient, but the eye signs and affectation of mammillary bodies strongly suggests the diagnosis of Wernicke encephalopathy in our patient. Furthermore, an intriguing possibility is that thiamine deficiency might play a co-causative role in undiagnosed cases of pancreatic encephalopathy.
Pancreatitis is associated with Wernicke encephalopathy. Fei et al. reported their findings in 12 non-alcoholic Wernicke encephalopathy patients presenting from 1999 to 2006 in their institution, finding that 9 of them had the diagnosis of pancreatitis [4]. In another series, Sun et al. reported an incidence of 0.7% of Wernicke encephalopathy in patients with severe acute pancreatitis [10]. In both of these studies, ocular signs, total parenteral nutrition deficient in thiamine, as well as bilateral mammillary body affectation, were hallmarks of Wernicke encephalopathy associated with acute pancreatitis. These were all present in our patient. In another study, Chen et al. reported their findings of 185 patients with acute pancreatitis presenting with encephalopathy. They concluded that early onset encephalopathy probably consists of pancreatic encephalopathy, while symptoms presenting after 2 weeks probably consists of Wernicke encephalopathy [11]. They also noted a decreased mortality in Wernicke encephalopathy compared with pancreatic encephalopathy. Our patient presented her neuropsychiatric symptoms well after 2 weeks of her initial gastrointestinal symptoms, again suggesting the diagnosis of Wernicke encephalopathy.
Treatment of Wernicke encephalopathy consists of prompt and intravenous thiamine administration. The optimal dose continues to be a matter of debate, and suggested doses range from the classical 100 mg and up to 2,000 mg daily [5, 8], with higher doses favored in recent publications [1, 2]. Classically, the response is spectacular, with a rapid improvement and resolution of symptoms. Administration of prophylactic doses of thiamine in patients with risk factors for its deficiency is recommended in various guidelines, but its clinical application is not uniform. A high index of suspicion for thiamine deficiency should be maintained in treating patients with pancreatitis, as rapid intervention may alleviate and prevent medical complications including Wernicke encephalopathy.
Received September 23rd, 2011 - Accepted December 21st, 2011
Key words Pancreatitis; Thiamine; Wernicke Encephalopathy
Conflict of interest The authors have no potential conflict of interest
Correspondence
Carlos
Rodrigo Camara-Lemarroy
Departamento de Medicina Interna
Hospital Universitario “Dr. José E. González”
Universidad Autónoma de Nuevo León
Madero y Gonzalitos S/N
64700 Monterrey, NL
Mexico
Phone/Fax: +52-81.8333.7798
E-mail: crcamara83@hotmail.com
References
1. Sechi G, Serra A. Wernicke's encephalopathy: new clinical settings and recent advances in diagnosis and management. Lancet Neurol. 2007;6:442-55. [PMID 17434099]
2. Rufa A, Rosini F, Cerase A, et al. Wernicke encephalopathy after gastrointestinal surgery for cancer: causes of diagnostic failure or delay. Int J Neurosci. 2011;121:201-8. [PMID 21244301]
3. Sullivan EV, Pfefferbaum A. Neuroimaging of the Wernicke-Korsakoff syndrome. Alcohol Alcohol. 2009;44:155-65. [PMID 19066199]
4. Fei GQ, Zhong C, Jin L, et al. Clinical characteristics and MR imaging features of nonalcoholic Wernicke encephalopathy. AJNR Am J Neuroradiol. 2008;29:164-9. [PMID 18192344]
5. Thomson AD, Cook CC, Guerrini I, Sheedy D, Harper C, Marshall EJ. Wernicke's encephalopathy: 'Plus ça change, plus c'est la mème chose'. Alcohol Alcohol. 2008;43:180-6. [PMID 17959615]
6. Martin PR, Singleton CK, Hiller-Sturmhöfel S. The role of thiamine deficiency in alcoholic brain disease. Alcohol Res Health. 2003;27:134-42. [PMID 15303623]
7. Zhang XP, Lu YQ, Huang WD. Wernicke encephalopathy following splenectomy in a patient with liver cirrhosis: a case report and review of the literature. J Zhejiang Univ Sci B. 2010;11(6):433-6. [PMID 20506574]
8. Thomson AD, Cook CC, Touquet R, Henry JA; Royal College of Physicians, London. The Royal College of Physicians report on alcohol: guidelines for managing Wernicke's encephalopathy in the accident and Emergency Department. Alcohol Alcohol. 2002;37:513-21. [PMID 12414541]
9. Zhang XP, Tian H. Pathogenesis of pancreatic encephalopathy in severe acute pancreatitis. Hepatobiliary Pancreat Dis Int. 2007;6:134-40. [PMID 17374570]
10. Sun GH, Yang YS, Liu QS, Cheng LF, Huang XS. Pancreatic encephalopathy and Wernicke encephalopathy in association with acute pancreatitis: a clinical study. World J Gastroenterol. 2006;12:4224-7. [PMID 16830380]
11. Chen L, Zhang X. Pancreatic encephalopathy and Wernicke encephalopathy. Zhonghua Nei Ke Za Zhi. 2002;41:94-7. [PMID 11940303]