CASE REPORT
JOP. J Pancreas (Online) 2012 Jan 10; 13(1):98-100.
Endoluminal Ultrasound of Neoduodenum Following Pancreas-Preserving Total Duodenectomy for Familial Adenomatous Polyposis
Andrew J Beamish1, S Ashley Roberts2, James Ansell3, Bilal Al-Sarireh1
1Department of General Surgery, Morriston Hospital, ABM University Health Board. Swansea, United Kingdom. Departments of 2Radiology and 3General Surgery, University of Wales Hospital, Cardiff and Vale University Health Board. Cardiff. United Kingdom
ABSTRACT
Context Familial adenomatous polyposis affects around 2-10 per 100,000 population. Untreated, it inevitably leads to colon cancer. Prophylactic panproctocolectomy has led to improved survival. The resulting extension to follow-up has revealed that 70-100% of patients with familial adenomatous polyposis go on to develop duodenal polyposis and the lifetime risk of duodenal carcinoma in this group is up to 10%. Treatment for those not locally resectable requires pancreaticoduodenectomy. In recent years, pancreas-preserving total duodenectomy has emerged as a safe alternative to pancreaticoduodenectomy. Endoscopy has previously been safely performed in patients following pancreas-preserving total duodenectomy. Case report We report successful endoscopic ultrasound (EUS) assessment and trans-neoduodenal EUS-guided fine needle aspiration biopsy (EUS-FNA) of the pancreas and adjacent tissue in a 45-year-old man with familial adenomatous polyposis who has previously undergone pancreas-preserving total duodenectomy. EUS confirmed the mass was most likely to represent a metastasis in a local lymph node. EUS-FNA confirmed invasive malignancy. A Kausch-Whipple pancreaticoduodenectomy was performed successfully and post-operative recovery has been excellent. Conclusion The authors consider this to be the first report of successful EUS and EUS-FNA performed through the neoduodenum fashioned during pancreas-preserving total duodenectomy.
INTRODUCTION
Familial adenomatous polyposis is an autosomal dominant disease affecting multiple organ systems. It has a prevalence of 2-10/100,000 population [1]. Patients with familial adenomatous polyposis have a high incidence of gastrointestinal carcinoma, which may affect any part of the gastrointestinal tract [2]. An inherited germ-line mutation on chromosome 5q21 of the adenomatous polyposis coli gene was identified in familial adenomatous polyposis twenty years ago [3]. This mutation is responsible for the transformation of normal mucosa through adenoma to carcinoma [2]. Familial adenomatous polyposis is characterised by a colorectal polyposis and, without colectomy, malignant transformation inevitably results. An advanced genetic understanding and the advent of the prophylactic panproctocolectomy for familial adenomatous polyposis has led to improved survival, allowing longer follow-up. Studies show up to 100% of patients with familial adenomatous polyposis goes on to develop duodenal polyposis [4], with the potential for malignant transformation. In patients with familial adenomatous polyposis, the lifetime risk of developing duodenal carcinoma is as high as 10% [4], 300 times greater than that of the general population.
With this high risk of duodenal malignancy, it has become important to find successful treatments for duodenal malignancy and pre-malignancy in familial adenomatous polyposis.
It is accepted that all patients with familial adenomatous polyposis should be enrolled into an upper gastrointestinal endoscopic surveillance programme.
Endoscopic snare excision and ablation techniques yield good results in localised disease involving less than 50% circumference [5, 6]. Duodenotomy with polypectomy and/or ampullectomy is largely insufficient in familial adenomatous polyposis, high recurrence rates being reported in patients with severe duodenal adenomatosis [6].
Local resection of the duodenum allows sparing of the terminal biliary and pancreatic ducts, whilst excising the papilla [7]. However, extensive lesions requiring wider excision would preclude this approach.
Often therefore, formal duodenal resection is necessary. This is associated with a low mortality when performed in a specialist centre [8, 9]. The classical procedure is the Kausch-Whipple pancreaticoduodenectomy. The pylorus-preserving Kausch-Whipple pancreaticoduodenectomy later provided an alternative with some functional benefits [8].
Since duodenal adenomatosis is a premalignant disease, the less oncologically radical pancreas-preserving total duodenectomy has emerged as a safe procedure [9]. This was first described by Sillin et al. in 1984 [10]. Avoiding pancreatic head resection, it provides high quality of life, and shows advantages over the pylorus-preserving Kausch-Whipple procedure [5, 9].
CASE REPORT
A 34-year-old man presented in 1997 with carcinoma of the rectum, for which he underwent abdominoperineal excision. Subsequent routine colonoscopy revealed multiple polyps in the remaining colon and a diagnosis of familial adenomatous polyposis was made. A completion colectomy was performed for familial adenomatous polyposis in 2002.
In 2004, routine upper gastrointestinal endoscopic surveillance revealed duodenal polyps. Biopsies of the polyps identified no worrying features until 2008, when multiple moderately dysplastic tubulovillous adenomata were identified in the second and third parts of the duodenum. A small focus of severe dysplasia was also identified in the duodenum. He was referred to a tertiary pancreatobiliary centre, where the multidisciplinary team recommended pancreas-preserving total duodenectomy as the most appropriate treatment. At the time, endoscopic ultrasound (EUS) demonstrated neither invasion beyond the submucosa, nor an accessory pancreatic duct.
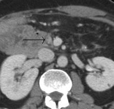
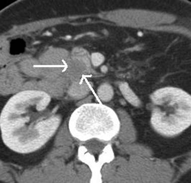
Pancreas-preserving total duodenectomy was performed in 2009, with fashioning of a neoduodenum from jejunum. Histopathological examination of the resected specimen revealed a focus of adenocarcinoma. Post-operative baseline computerised tomography (CT) revealed no peripancreatic abnormality (Figure 1). Follow-up CT after one year demonstrated a 2 cm hypodense mass between the neoduodenum and the uncinate process (Figure 2), although he remained clinically well. Following further discussion at the multidisciplinary team meeting, it was decided that EUS-guided biopsy (EUS-FNA) should be performed.

|
Figure 1. Post-operative baseline axial CT demonstrating part of the uncinate process (black arrow) adjacent to the collapsed neoduodenum. |

|
Figure 2. Routine one-year follow up CT at the same level demonstrates a new 2 cm hypodense mass (white arrows) displacing the uncinate process anteriorly. |
EUS (Olympus KeyMed, Southend, United Kingdom) demonstrated that the mass was extraluminal, peripancreatic and most likely to represent a metastasis in a local lymph node. EUS-FNA was therefore performed by means of trans-neoduodenal puncture (Figure 3) with a 22-gauge needle (Cook Medical, Limerick, Ireland). Histopathological examination of the biopsy specimen confirmed invasive malignancy. The multidisciplinary team consensus was to perform CT staging and offer a pylorus-preserving pancreaticoduodenectomy in the form of pylorus-preserving Kausch-Whipple pancreaticoduodenectomy.

|
Figure 3. EUS-FNA of the 2 cm hypoechoic mass with a 22-gauge needle clearly seen within the lesion. This confirmed adenocarcinoma. |
The pylorus-preserving Kausch-Whipple pancreaticoduodenectomy was performed successfully and his post-operative recovery has been excellent.
DISCUSSION
We believe this is the first report of EUS and EUS-guided biopsy performed after pancreas-preserving total duodenectomy. The investigation was performed via the neoduodenum fashioned at pancreas-preserving total duodenectomy.
This report demonstrates that EUS and EUS-guided biopsy are feasible and useful diagnostic tools in patients with a neoduodenum created at pancreas-preserving total duodenectomy. In this case, EUS-FNA enabled confirmation of extraluminal malignancy, allowing appropriate and potentially curative surgery to be performed. The necessity for open biopsy was avoided.
Received September 29th, 2011 - Accepted November 28th, 2011
Key words Adenomatous Polyposis Coli; Biopsy, Fine-Needle; Duodenal Neoplasms; Endoscopy; Endosonography; Pancreaticoduodenectomy
Conflict of interest The authors have no potential conflict of interest
Correspondence
Bilal
Al-Sarireh
Department of General Surgery
Morriston Hospital
ABM University Health Board
Swansea
United Kingdom
Phone: +44-(0)1792.487.418
Fax: +44(0)1792.703.224
E-mail: bilal.al-sarireh@wales.nhs.uk
References
1. European Medicines Agency. Document Reference: EMEA/COMP/264/04draft (online 2009). http://www.emea.europa.eu
2. Steinbach G, Lynch PM, Phillips RK, Wallace MH, Hawk E, Gordon GB, et al. The effect of celecoxib, a cyclooxygenase-2 inhibitor, in familial adenomatous polyposis. N Engl J Med 2000; 342(26):1946-52. [PMID 10874062]
3. Kinzler KW, Nilbert MC, Su LK, Vogelstein B, Bryan TM, Levy DB, et al. Identification of FAP locus genes from chromosome 5q21. Science 1991; 253:661-5. [PMID 1651562]
4. Bjork J, Akerbrant H, Iselius L, Bergman A, Engwall Y, Wahlstrom J, et al. Periampullary adenomas and adenocarcinomas in familial adenomatous polyposis: cumulative risks and APC gene mutations. Gastroenterology 2001;121: 1127-1135. [PMID 11677205]
5. MŸller MW, Dahmen R, Kšninger J, Michalski CW, Hinz U, Hartel M, et al. Is there an advantage in performing a pancreas-preserving total duodenectomy in duodenal adenomatosis? Am J Surg 2008; 195:741-748. [PMID 18436175]
6. Brosens LAA, Keller JJ, Offerhaus GJA, Goggins M, Giardiello FM. Prevention and management of duodenal polyps in familial adenomatous polyposis. Gut 2005; 54(7):1034-43. [PMID 15951555]
7. Farnell MB, Sakorafas GH, Sarr MG, Rowland CM, Tsiotos GG, Farley DR, Nagorney DM. Villous tumors of the duodenum: reappraisal of local vs. extended resection. J Gastrointest Surg 2000; 4:13-21. [PMID 10631358]
8. Penna C, Bataille N, Balladur P, Tiret E, Parc R. Surgical treatment of severe duodenal polyposis in familial adenomatous polyposis. Br J Surg 1998; 85(5):665-8. [PMID 9635818]
9. Al-Sarireh B, Ghaneh P, Gardner-Thorpe J, Raraty M, Hartley M, Sutton R, Neoptolemos JP. Complications and follow-up after pancreas-preserving total duodenectomy for duodenal polyps. Br J Surg 2008; 95(12):1506-11. [PMID 18991295]
10. Sillin LF, Rosenbloom MS, Chung RS. Ninety-five percent duodenectomy. an experimental study. Am J Surg 1984; 148:337-9. [PMID 6476223]