CASE REPORT
JOP. J Pancreas (Online) 2012 Jan 10; 13(1):91-93.
Interventional
Radiology in Acute Pancreatitis:
Friend or Foe?
Maziar Khorsandi1, Kevin
Beatson1, Scott Dougherty2,
Ian Zealley3, Christoph Kulli4
1Department of Surgery, Royal Infirmary of Edinburgh. Edinburgh, United Kingdom. Departments of 2General Medicine, 3Radiology, and 4Surgery, Ninewells Hospital. Dundee, United Kingdom
ABSTRACT
Context Peripancreatic fluid collections are known complications of pancreatitis. The majority of fluid collections can be drained percutaneously under radiological guidance. Although radiological percutaneous drainage is regarded as safe, here it resulted in catastrophic haemorrhage from the colon due to an iatrogenic injury. Case report We present a case of a 70-year-old man who presented with acute alcohol-related severe necrotizing pancreatitis and an associated massive peripancreatic fluid collection. The drainage of this collection was attempted under computed tomography (CT) scan guidance. During the procedure the splenic artery and the splenic flexure of the colon were inadvertently damaged leading to life threatening per rectal bleeding requiring emergency angiographic embolisation of the splenic artery. Conclusion Radiological drainage of peripancreatic fluid collections is generally regarded as having lower rates of complications compared to surgical necrosectomy. However, in this case it leads to a life threatening per rectal bleed requiring emergency splenic artery embolisation.
INTRODUCTION
Peripancreatic fluid collections are well-recognised complications of acute and chronic pancreatitis. Most fluid collections tend to occur in the lesser sac and the retroperitoneal regions such as the anterior pararenal space [1]. Although previously the main management of peripancreatic fluid collection was considered to be surgical, a study demonstrated that up to 65% of these collections can be drained without surgery through interventional radiology [1].
CASE REPORT
A 70-year-old man presented to our acute surgical receiving unit with severe abdominal pain, bilious vomiting, nausea and anorexia after an episode of excessive alcohol consumption. Serum amylase, measured at the time of admission, was 1,199 U/dL (reference range: 0-180 U/dL). Heamoglobin was 16 g/dL (reference range: 13-18 g/dL) and CRP was 270 mg/L (reference range: 0-10 mg/L). The patient was pyrexial with a temperature of 38.1°C, and had oxygen saturations of 94% (reference range: 94-98%) on air. He was diagnosed with severe acute pancreatitis, with a severity score of 4 using the Glasgow criteria, and was admitted to the surgical high dependency unit. The patient’s condition rapidly deteriorated shortly after admission. His pain became extremely severe (scored at 10/10) despite analgesia. His temperature increased to 40°C. A contrast-enhanced CT scan of the abdomen demonstrated necrotizing pancreatitis with associated massive peripancreatic fluid and gas collection (20x8.6 cm in dimensions) engulfing the splenic vessels and the portal vein. This peripancreatic fluid collection was drained percutaneously under CT scan guidance through a retroperitoneal approach.
Shortly after the procedure, the patient developed three episodes of massive haematochezia overnight. An urgent CT scan demonstrated a splenic artery pseudoaneurysm and haemorrhage from the splenic artery into the splenic flexure of the colon and blood in the descending colon (Figures 1 and 2).

|
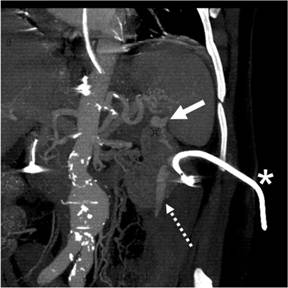
Figure 1. Coronal reformatted CT image demonstrates a splenic artery pseudoaneurysm (arrow), percutaneous drain (asterisk) and active extravasation of intravenous contrast (interrupted arrow) extending inferiorly from the region of the pseudoaneurysm and percutaneous drain. |

|
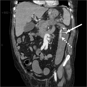
Figure 2. Coronal reformatted CT image demonstrates the position of the percutaneous drain in the colon lumen (arrow) and extravasated intravenous contrast mixed with unopacified blood in the descending colon (interrupted arrow). |
At this point the patient had dropped his blood pressure to 93/53 mmHg. He was resuscitated with i.v. fluids and was transferred to the interventional radiology suite where angiography confirmed active extravasation of contrast from the splenic artery pseudoaneurysm and into the splenic flexure of the colon (Figure 3).

|
Figure 3. Angiography image with a microcatheter in the splenic artery (interrupted arrow) demonstrates the splenic artery pseudoaneurysm (long arrow) with active contrast extravasation (short arrows) into the colon in close proximity to the percutaneous drain (asterisk). |
The relevant splenic artery branch was selectively embolized using coils, which halted the bleeding (Figure 4).

|
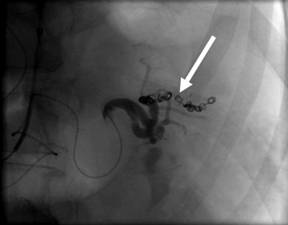
Figure 4. Angiography image demonstrating successful occlusion of the splenic artery branch with metal coils (arrowed). |
Successful embolization led to stabilisation of the patient’s haemodynamic status and consequently splenectomy was avoided.
DISCUSSION
Acute pancreatitis is often classified into two subgroups: mild acute pancreatitis and severe acute pancreatitis. Severe acute pancreatitis occurs in about 25% of patients with acute pancreatitis and is associated with multiple organ dysfunction syndrome with or without local complications. Local complications include acute peripancreatic fluid collections, pseudocysts, abscesses, and pancreatic necrosis. Peripancreatic fluid collections are known complications of pancreatic necrosis secondary to acute pancreatitis [2]. These collections occur due to necrosis of the pancreatic parenchyma and peripancreatic fat leading to peripancreatic fluid collections [3]. It is worth mentioning that there is clear distinction between peripancreatic fluid collection and a pancreatic pseudocyst, which can also arise as a consequence of acute or chronic pancreatitis and pancreatic trauma. However, these can only be diagnosed 4-6 weeks after an episode of acute pancreatitis as it takes at least 4 weeks for the inflammatory wall to form [1, 4].
Until recently pancreatic necrosis and peripancreatic fluid collections were treated surgically through a laparotomy [3]. This approach carried high morbidity and mortality rates. Over the past two decades radiologically guided percutaneous drainage of infected peripancreatic fluid collection has largely superseded surgical intervention and the majority of peripancreatic fluid collections have been successfully drained through radiologically guided percutaneous drainage [1, 3]. There are two main approaches of percutaneous drainage: the anterior approach (i.e., internal and external drainage) and the retroperitoneal approach through the left lateral flank, the latter being the approach of choice in our patient. Selection of the retroperitoneal approach is advantageous as it reduces the incidence of complications by avoiding traversing major abdominal organs, such as the colon, the liver, the spleen, and the stomach. However, it is not without its risks, as we have described in this case report [5].
In general, the main indications for percutaneous drainage of peripancreatic fluid collections are presence of sepsis, large size of the collection (i.e., collections larger than 5cm in diameter) and clinical features such as pain and pressure effects causing gastrointestinal or biliary tree obstruction. Presence of sepsis, the large size of the collection and pain were the indications, applied to our patient [6]. In this case the CT scan showed fluid collection to be greater than 10 cm in diameter.
Major complications of percutaneous drainage are haemorrhage or damage to the adjacent organs namely the large bowel, as was the case here. Bowel fistulisation leading to per rectal bleeding is a rare complication of acute pancreatitis, although when it does occur it is almost always a result of the disease process itself rather than being an iatrogenic complication of percutaneous drainage. In addition, although very rare, splenic artery pseudoaneurysm formation is a known complication of acute pancreatitis. This is thought to occur due to the digestive effects of activated pancreatic enzymes on the splenic artery leading to necrotizing arteritis, thereby destroying the vessel architecture, forming a pseudoaneurysm [7].
Our case report represents a technical complication with regards to percutaneous drainage; where the percutaneous catheter inserted through a left lateral flank approach, inadvertently pierced the splenic flexure of the colon and damaged the splenic artery pseudoaneurysm, which had formed as a result of acute pancreatitis in this patient, while trying to reach the peripancreatic fluid collection. This led to the flow of blood from the systemic circulation to the colonic lumen, and producing a massive, life threatening haematochezia [6].
In this case report we have covered a technical complication of percutaneous drainage for peripancreatic fluid collection leading to haemorrhage from a splenic artery pseudoaneurysm. However, it would be worth mentioning also that late haemorrhagic complications have also been reported in the literature. Splenic artery pseudoaneurysms have significant risk of spontaneous rupture [7]. The reported rate of spontaneous rupture of splenic artery pseudoaneurysm is 37% [8], with mortality rates of free rupture reaching near 100% [7]. A pseudoaneurysm can rupture into the gastrointestinal tract, the retroperitoneum or the peritoneal cavity [9]. Interestingly it has been reported that the size of the splenic artery pseudoaneurysm is not a predictor of rupture [8]. Treatment should be instigated as soon as splenic artery pseudoaneurysm is detected, irrespective of size, presence or absence of symptoms and whether or not there is bleeding [7]. The mainstay of management of splenic artery pseudoaneurysms is endovascular therapy by either embolisation or stent grafting [7].
In conclusion, radiological drainage of peripancreatic fluid collections is regarded as safe a procedure and carries lower rates of morbidity and mortality compared to surgical drainage. However, our case report describes an almost fatal complication of radiological drainage. Our title interventional radiology in acute pancreatitis as friend or foe reflects the sequence of events in this case report, as surgery was avoided by the use of minimally invasive interventional technique (i.e., interventional radiology as a friend). This led to inadvertent damage to the colon leading to haemorrhage (i.e., interventional radiology as a foe). The haemorrhage was subsequently treated by interventional embolisation (i.e., interventional radiology as friend).
Received September 30th, 2011 - Accepted November 25th, 2011
Key words Angiography /complications; Hemorrhage; Pancreas; Pancreatitis, Acute Necrotizing; Pancreatitis, Alcoholic; Radiology, Interventional
Conflict of interest The authors have no potential conflict of interest
Correspondence
Maziar
Khorsandi
Department of Surgery
Royal Infirmary of Edinburgh
51 Little France Crescent, Old Dalkeith Road
Edinburgh, EH16 4SA
United Kingdom
Phone: +44-131.536.1000; +44-773.770.8453
Fax: +44-131.536.1001
E-mail: m.khorsandi@sms.ed.ac.uk
References
1. Maher MM, Lucey BC, Gervais DA, Mueller PR. Acute pancreatitis: the role of imaging and interventional radiology. Cardiovascular Interventional Radiology. 2004;27:208-225.
2. Brun A, Agarwal N, Pitchumoni CS. Fluid collections in and around the pancreas in acute pancreatitis. Journal of Clinical Gastroenterology. 2011;45(7):614-625.
3. van Baal MC, van Santvoort HC, Bollen TL, Bakker OJ, Besselink MG, Gooszen HG. Systematic review of percutaneous catherter drainage as primary treatment for necrotizing pancreatitis. British Journal of Surgery. 2011;98(1)18-27.
4. Bergman S and Melvin WS. Operative and nonoperative management of pancreatic pseudocysts. Surgical Clinics of North America. 2007;87:1447-1460.
5. Heider R, Meyer AA, Gaianko JA, Behrns KE. Percutaneous drainage of pancreatic pseudocysts is associated with a higher failure rate than surgical treated in unselected patients. Annals of surgery. 1999;229:781-789.
6. Segal D, Mortele KJ, Banks PA, Silverman SG. Acute necrotizing pancreatitis: role of percutaneous catheter drainage. Abdominal Imaging. 2007;32:351-361.
7. Al-Habbal Y, Christophi C, Muralidharan V. Aneurysms of the splenic artery - A review. The Surgeon. 2010; 8(4): 223-231.
8. Goldberg RF, Maley W, Kennedy EP, Yeo CJ, Lavu H. Giant splenic artery pseudoaneurysm. Journal of Gastrointestinal Surgery. 2011; 15: 1063-1066.
9. Flati G, Andrén-Sandberg A, La Pinta M, Porowska B, Carboni M. Potentially fatal bleeding in acute pancreatitis: Pathophysiology, prevention, and treatment. Pancreas. 2003; 26(1): 8-14.