CASE REPORT
JOP. J Pancreas (Online) 2012 Mar 10; 13(2):217-218.
Primary Pancreatic Choriocarcinoma Presenting as Pancreatitis
Biggs Saravanan Ramachandran, Malarvizhi Murugesan, Mohammed Ali, Purushotaman Padmanabhan
Department of Medical Gastroenterology, Madras Medical College. Chennai, India
ABSTRACT
Context Pancreatic cancers can present with pancreatitis or its complications. Pancreatic choriocarcinoma is an extremely rare disease to involve pancreas. Case report A 27-year-old married woman presented to our facility with abdominal pain and fullness of 20-day duration. She was clinically diagnosed as acute pancreatitis with pseudocyst as a complication. Serum amylase was elevated with CT scan of abdomen showing a cystic lesion involving the pancreas. We approached the cyst with endoscopic ultrasonography and cyst fluid was aspirated and analyzed. Cyst fluid amylase was elevated and cytology revealed germ cell tumor. Serum beta human chorionic gonadotropin was elevated. She had a swelling over the jaw which also revealed choriocarcinoma in histopathological examination. Patient was started with chemotherapy. Conclusion We report this case of pancreatic choriocarcinoma due to its extreme rarity and the diagnostic dilemma it posed.
INTRODUCTION
Acute pancreatitis is a rare mode of presentation of pancreatic ductal carcinoma [1]. Primary pancreatic choriocarcinoma is a rare tumor involving pancreas. To date only few case reports are available on pancreatic choriocarcinoma [2]. Primary pancreatic choriocarcinoma is still rarer and only one case report is available as of now [3]. In this case report we present a rare tumor of pancreas presenting as acute pancreatitis and an apparent pseudocyst.
CASE REPORT
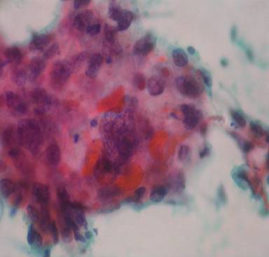
A 27-year-old married woman presented to our facility with abdominal pain and fullness of 20 days duration. She denied alcohol intake and she is a non smoker. There was no history of abdominal trauma or any drug intake for any other illnesses. Our clinical diagnosis was pancreatitis with fluid collection around the pancreas based on the serum amylase and lipase which were 720 U/L (reference range: 23-80 U/L) and 210 U/L (reference range: 0-60 U/L), respectively. CT scan of abdomen revealed huge hypodense lesion in pancreas suggestive of pseudocyst. (Figure 1). Patient also had a small 3x3 cm swelling over the right jaw. We subjected the patient for endoscopic ultrasonography (EUS) which revealed a 6x6 cm cystic lesion involving head and body of pancreas. There was no gallstones visualized. As the EUS showed irregular borders of the cyst we did cyst fluid aspiration for analysis (Figure 2). Cyst fluid amylase, CA 19-9, and CEA were 13,500 U/L, 28 U/mL, and 17 ng/mL, respectively. Cytological examination (fine needle aspiration; FNA) showed large, pleomorphic mononucleated cells having large, hyperchromatic, pleomorphic nuclei and moderate to ample amount of pale or vacuolated cytoplasm and a multinucleated giant cell at the center suggestive of choriocarcinoma (Figure 3). Biopsy of the lesion in left jaw also revealed germ cell tumor. Serum beta human chorionic gonadotropin was 98,000 mg/dL. Interestingly, alpha-fetoprotein was 9.6 ng/mL which excluded other giant cell tumors except choriocarcinoma. Choriocarcinoma is a germ cell tumor which presents with normal alpha-fetoprotein and very high beta human chorionic gonadotropin levels.

|
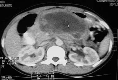
Figure 1. Contrast enhanced computerized tomogram of abdomen showing huge hypodense lesion in pancreas suggestive of pseudocyst (circle#1). |

|
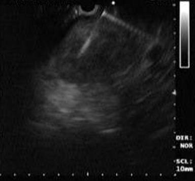
Figure 2. Endoscopic ultrasonography guided fine needle aspiration of cystic lesion of pancreas. |

|
Figure 3. Cytology smear showing large, pleomorphic mononucleated cells having large, hyperchromatic, pleomorphic nuclei and moderate to ample amount of pale or vacuolated cytoplasm and a multinucleated giant cell at the center. |
Based on these we made a diagnosis of primary non gestational extragonadal choriocarcinoma involving pancreas with metastasis to jaw. Patient was started on chemotherapy with methotrexate. She is on regular follow-up now.
DISCUSSION
Pancreatic malignancies can present with pancreatitis and/or its complication pseudocyst in nearly 17.6% of patients [4]. Pancreatic ductal adenocarcinoma is the most common malignant tumor involving pancreas accounting for 85% to 90% of pancreatic tumors [5]. Intraductal papillary mucinous neoplasms (IPMN) can also present with pancreatitis due to its ductal location which may cause obstructive pancreatitis. Choriocarcinoma involving pancreas is a rare disease. Only few case reports available so far. Primary choriocarcinoma (extragonadal non gestational) is still rarer. Only one case report is available as of now in PubMed search [3]. In our case primary pancreatic choriocarcinoma presented as pancreatitis with apparent pseudocyst. Role of EUS in cystic lesions of pancreas is well established recently [6]. Hence we approached the case with EUS and EUS FNA which helped us to come to our final diagnosis. Interestingly, this patient had tumor involving the left jaw as well which might be due to metastasis as histopathology showed the same type of cells. They present with elevated serum beta human chorionic gonadotropin and normal serum alpha-fetoprotein which differentiates it from other germ cell tumors affecting gonads. Choriocarcinoma is an aggressive malignancy with high metastatic potential. It responds well to chemotherapy. Patient was receiving chemotherapy with methotrexate. Methotrexate is the drug of choice for choriocarcinoma. We report this primary pancreatic choriocarcinoma as it is extremely rare disease which can mimic an episode of pancreatitis or its complication namely pseudocyst.
Received October 18th, 2011 - Accepted December 21st, 2011
Current knowledge
· Pancreatic ductal cancers and IPMN can present as an acute episode of pancreatitis.
· Endoscopic ultrasonography (EUS) is very useful in evaluating the cystic lesions of pancreas.
What is new?
· Pancreatic choriocarcinoma can present as pancreatitis as well.
· Endoscopic ultrasonography fine needle aspiration (EUS-FNA) is useful in detecting pancreatic choriocarcinoma.
Key words Choriocarcinoma; Endosonography; Pancreatic Neoplasms
Conflict of interest None
Correspondence
Biggs Saravanan
Ramachandran
Department of Medical Gastroenterology
Madras Medical College
Park Town
Chennai, 600003
India
Phone: +91-915.966.6778
Fax: +91-893.939.6169
E-mail: rbiggs21@yahoo.com
References
1. Mujica VR, Barkin JS, Go VL: Acute pancreatitis secondary to pancreatic carcinoma. Study group participants. Pancreas 2000; 21:329-32. (More details: [1]).
2. Alvarez NR, Lambrou N, Solorzano CC. Metastatic choriocarcinoma to the pancreas. Am Surg. 2005 Apr;71(4):330-2. (More details: [2]).
3. Childs CC, Korsten MA, Choi HS et al. Pancreatic choriocarcinoma presenting as inflammatory pseudocyst. Gastroenterology. 1985 Aug; 89(2):426-31. (More details: [3]).
4. Bonetti A, Deyhle P, Largiadèr F et al. :Pancreatic cancer associated with pancreatitis and pseudocysts. Schweiz Med Wochenschr. 1980 May 31;110(22):852-3. (More details: [4]).
5. Hruban RH, Klimstra DS, Pitman MB. Ductal adenocarcinoma. In: Hruban RH, Pitman MB, Klimstra DS, ed. AFIP Atlas of Tumor Pathology. Tumors of the Pancreas, Washington, D.C.: American Registry of Pathology; 2007:111-64. (More details: [5]).
6. Brugge WR. Role of endoscopic ultrasound in the diagnosis of cystic lesions of the pancreas. Pancreatology. 2001;1(6):637-40. (More details: [6]).