CASE REPORT
JOP. J Pancreas (Online) 2012 Jan 10; 13(1):66-72.
Mature Cystic Teratoma of the Pancreas. Case Report and Review of the Literature of a Rare Pancreatic Cystic Lesion
Luca Degrate1, Marta Misani1, Gianmaria Mauri1, Mattia Garancini1, Matteo Maternini1, Francesca Moltrasio2, Maria Serena Cuttin2, Fabrizio Romano1, Franco Uggeri1
Departments of 1General Surgery and 2Clinical Pathology, San Gerardo Hospital, University of Milano-Bicocca. Monza, Italy
ABSTRACT
Context Pancreatic cystic lesions are increasingly recognized and comprise different pathological entities. The management of these lesions is challenging, because of inadequate preoperative histological diagnosis. Among this family of lesions, mature cystic teratomas are an extremely rare finding. Case report We present the case of a 61-year-old man with a mature cystic teratoma of the pancreas’ uncinate process, incidentally discovered at diagnostic imaging. Conclusions This case highlights the difficulty to obtain a preoperative diagnosis of this pathological entity and the need of increased awareness about mature cystic teratoma when examining a pancreatic cystic lesion.
INTRODUCTION
Cystic lesions of the pancreas constitute a broad spectrum of entities ranging from non-neoplastic to malignant neoplastic cysts. With the routine use of improved cross-sectional imaging, there has been a dramatic increase in the detection of pancreatic cysts, mainly incidentally discovered. It has been estimated that approximately 1.2% of general medical patients have a pancreatic cyst requiring follow-up [1]. Among this family of pancreatic lesions, mature cystic teratomas are an extremely rare finding. The management of these lesions is challenging, because of inadequate preoperative radiological and histological diagnosis. We report the 33rd case of mature cystic teratoma of the pancreas, reviewing the world literature and reinforcing the need for increased awareness in the clinical management of pancreatic cystic lesions.
CASE REPORT
A 61-year-old man came to our attention for a hypoechoic lesion of the pancreatic head incidentally discovered on abdominal US, that was performed to study the urinary tract due to a slight elevation of PSA levels. The patient was healthy and did not complain any symptom. His past medical history included haemorrhoidectomy and endoscopic removal of colon adenomas. On physical examination, the abdomen was tender and no abdominal masses were palpable.
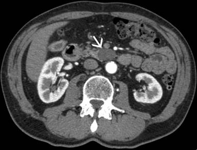
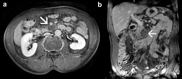
Workup firstly comprised laboratory analyses (including serum CEA, CA 19-9, alphafetoprotein and chromogranin-A) that were found normal and abdominal CT that showed the presence of a hypodense homogeneous lesion in the uncinate process of the pancreas. The lesion was well-defined, with oval shape and dimensions of 32x19x36 mm (Figure 1). We decided to continue the investigations with abdominal MRI that confirmed the presence of the pancreatic lesion appearing with clear-cut margins, moderately T2 hyperintense and without enhancement after paramagnetic contrast agent (Figure 2).

|
Figure 1. Computed tomography scan of the abdomen showing the presence of a 32x19x36 mm lesion in the uncinate process of the pancreas (white arrow). |

|
Figure 2. Axial (a.) and coronal (b.) magnetic resonance imaging scans of the abdomen showing the presence of a clear-cut margins lesion in the pancreatic head (white arrows). |
In addition, we performed EUS: the lesion appeared hypoechoic, without septations or signs of vascular infiltration; fine needle aspiration (FNA) of the lesion was performed for cytological examination, but it resulted unspecific.
Considering the non conclusive results of the performed examinations we planned an explorative laparotomy with possible duodenopancreatectomy. Intraoperatively, the manual exploration of the pancreas revealed a 3 cm diameter soft lesion, localized in the uncinate process, with well defined borders and without alterations of the pancreatic surface. There was no evidence of other lesions in the peripancreatic lymph nodes nor in the liver; no free fluid in the abdomen was found. The puncture of the lesion leaded to white mucoid material that was found to be acellular at intraoperative cytological examination. Considering the dimensions of the lesion, the age of the patient, the location in the pancreatic parenchyma, the presence of intracystic mucoid material and the impossibility to have a definitive histological diagnosis of the lesion, we decided to perform a pylorus preserving pancreaticoduodenectomy.
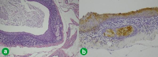
Macroscopic examination of the surgical specimen showed a 3.5 cm cystic lesion localized in the uncinate process, containing white thick material (Figure 3). Microscopic analysis revealed intrapancreatic cystic neoplasm with stratified squamous epithelium and skin appendages, surrounded by a wall of lymphoid tissue (Figure 4). The differential diagnosis was questioned between lymphoepithelial cyst and benign mature cystic teratoma, but the presence of sebaceous focal areas, immunoreactive for epithelial membrane antigen (EMA), supported the second diagnosis (Figure 4).

|
Figure 3. a. Macroscopic view of the cut surface of the surgical specimen that shows a 3.5 cm cystic lesion with clear-cut margins, containing yellowish thick material. The posterior edge is inked. b. Detail of the cystic lesion. |

|
Figure 4. a. Microscopic analysis revealing an intrapancreatic cystic neoplasm with stratified keratinized squamous epithelium and sebaceous glands, surrounded by a wall of lymphoid tissue (hematoxylin and eosin staining 10x). b. Immunohistochemical analysis of epithelial membrane antigen (EMA) expression in the resected pancreatic tissue, showing the staining of sebaceous glands (anti-human EMA, E29 clone, DakoCytomation, Glostrup, Denmark; 10x). |
The postoperative course was uneventful and the patient was discharged 12 days after surgery.
At 12-month follow-up the patient was asymptomatic, without any evidence of recurrent disease.
DISCUSSION
Teratomas are neoplasms of germ cell origin that are able to generate tissues from the three germinal layers: endoderm, mesoderm and ectoderm. They can be classified as mature or immature on the basis of the presence of immature neuroectodermal elements within the tumor [2]. The mature types can be further classified as solid or cystic. Mature cystic teratomas (also called dermoid cysts) are congenital well-differentiated cystic lesions, thought to arise from the inclusion of skin at the embryonic time of neural groove closure [3]. They are typically located in the ovaries, but they may also occur in the pathway of ectodermal cell migration along the midline of the body, such as testes, cranium, brain, mediastinum, omentum, retroperitoneum, sacrococcygeal region, neck and abdominal viscera. The rarest site of presentation is the pancreas [2, 4, 5].
To our knowledge, the world literature reports 33 cases [2, 6,7 ,8, 9, 10, 11, 12, 13, 14, 15, 16, 17, 17, 19, 20, 21, 22, 23, 24, 25, 26, 27, 28, 29, 30, n31, 32, 33, 34, 35] (including the present one) of pancreatic mature cystic teratomas with complete data (therefore, we excluded from the present review the case presented by Lushpai [36] for incomplete presentation of clinical information). The first case was described in 1918 by Kerr [6] and it was not until the case published by Judd [7] in 1922 that dermoid cysts were included in the classification of pancreatic cystic lesions by Primrose [37].
The clinical presentation of mature cystic teratomas is not specific. Most of patients complained abdominal pain and presented a palpable mass in the upper abdominal quadrants (Table 1). Only 6 cases of 33 (18.2%) were asymptomatic. The median age at diagnosis was 40 years (range 0.3-74 years), without gender preference (15 females, 18 males). The location of mature cystic teratoma was the pancreatic head in 13 patients (39.4%), the body in 12 (36.4%), the tail in 5 (15.2%) and unknown in 3 patients (9.1%). The median dimension of the lesion was 7.5 cm, ranging from 2.2 to 20 cm.
|
Table 1. Reports of pancreatic mature cystic teratomas in the world literature. |
||||||
|
Case |
Author and year of publication |
Age |
Sex |
Symptoms |
Signs |
Diagnostic procedures |
|
#1 |
Kerr, 1918 [6] |
55 |
F |
Epigastric swelling |
Mass, RUQ |
Roentgenogram |
|
#2 |
Judd, 1921 [7] |
33 |
F |
Backache, weakness |
Mass, LUQ |
Unknown |
|
#3 |
Dennis, 1923 [8] |
40 |
M |
Backache |
Mass, RUQ and epigastrium |
Unknown |
|
#4 |
DeCourcy, 1943 [9] |
2 |
F |
Vomiting |
Mass, epigastrium |
Roentgenogram, barium enema |
|
#5 |
Hoang-su, 1956 [10] |
18 |
M |
Abdominal mass |
Mass, epigastrium |
X-ray |
|
#6 |
Bittner, 1970 [11] |
2 |
F |
Liver failure |
Mass, epigastrium |
Unknown |
|
#7 |
Iovchev, 1972 [12] |
8 |
M |
Abdominal pain, vomiting, fever |
Mass, LUQ |
Unknown |
|
#8 |
Pomosov, 1973 [13] |
6 |
M |
Abdominal pain, vomiting |
Mass, LUQ |
Unknown |
|
#9 |
Komarov, 1973 [14] |
4 |
F |
Abdominal pain, vomiting |
Mass, epigastrium |
Unknown |
|
#10 |
Tobik, 1974 [15] |
34 |
F |
Abdominal pain |
Mass, LUQ |
Unknown |
|
#11 |
Assawamatiyanont, 1977 [16] |
11 |
F |
Asymptomatic |
Mass, LUQ |
X-ray, intravenous pyelogram, barium enema, US |
|
#12 |
Lazaro da Silva, 1984 [17] |
21 |
M |
Nausea, constipation |
Mass, LUQ |
Unknown |
|
#13 |
Mester, 1990 [18] |
25 |
F |
Abdominal pain, vomiting |
RUQ tenderness |
X-ray, oral cholecystogram, intravenous cholangiography |
|
#14 |
Vermeulen, 1990 [19] |
46 |
M |
Abdominal pain |
None |
US, CT |
|
#15 |
Jentschura, 1990 [20] |
57 |
M |
Backache, abdominal pain |
Mass, LUQ |
US, CT |
|
#16 |
Markovsky, 1993 [21] |
53 |
F |
Abdominal pain |
Mass, LUQ and epigastrium |
CT, CT guided FNA |
|
#17 |
Jacobs, 1993 [22] |
57 |
F |
Abdominal pain, weight loss |
None |
US, CT |
|
#18 |
Iacono, 1993 [23] |
26 |
F |
Abdominal pain, fever, weight loss |
Mass, RUQ |
US, CT, arteriography |
|
#19 |
Kraimps, 1993 [24] |
42 |
M |
Weight loss, dyspepsia, nausea |
None |
US, CT, ERCP |
|
#20 |
Das, 1996 [25] |
0.3 |
F |
Asymptomatic |
Mass, epigastrium |
Barium study, US, CT |
|
#21 |
Fernandez-Cebrian, 1998 [26] |
74 |
M |
Backache, dysuria |
Mass, LUQ |
X-ray, US, CT |
|
#22 |
Strasser, 2002 [27] |
44 |
M |
Abdominal pain |
None |
CT, MRI, CT guided FNA |
|
#23 |
Chih-Wei, 2003 [28] |
2 |
M |
Asymptomatic |
Epigastric mass |
US, CT |
|
#24 |
Salimi, 2004 [29] |
16 |
M |
Progressive jaundice, weight loss |
Hepatosplenomegaly |
US, percutaneous transhepatic cholangiography, ERCP, CT |
|
#25 |
Seki, 2005 [30] |
57 |
M |
Asymptomatic |
Unknown |
US, CT, MRI |
|
#26 |
Seki, 2005 [30] |
60 |
F |
Asymptomatic |
Unknown |
US, CT, MRI |
|
#27 |
Koomalsingh, 2006 [31] |
52 |
M |
Epigastric pain |
Mild epigastric tenderness |
X-ray, CT, upper endoscopy, EUS |
|
#28 |
Tucci, 2007 [2] |
64 |
M |
L4-S1 chronic radiculopathy |
Unknown |
US, CT, MRI, upper endoscopy |
|
#29 |
Rivkine, 2007 [32] |
45 |
F |
Abdominal pain |
None |
US, CT, MRI, EUS with FNA |
|
#30 |
Zhang, 2008 [33] |
67 |
M |
Chest tightness, shortness of breath |
None |
CT |
|
#31 |
Scheele, 2010 [34] |
40 |
M |
Upper abdominal pain |
None |
US, MRI, upper endoscopy, EUS |
|
#32 |
Casajoana Badia, 2010 [35] |
43 |
F |
Epigastric pain, vomiting |
Mass, mesogastrium |
CT |
|
#33 |
Present case, 2011 |
61 |
M |
Asymptomatic |
None |
US, CT, MRI, EUS with FNA |
|
LUQ: left upper quadrant; RUQ: right upper quadrant |
||||||
|
Table 1. Continued. |
||||
|
Case |
Pancreas cyst location |
Cyst size (cm) |
Treatment |
Follow-up |
|
#1 |
Head |
Unknown |
External drainage, marsupialization |
Reoperation: resection, drainage |
|
#2 |
Body and tail |
Unknown |
Resection/excision |
Cholecystectomy after 2 years |
|
#3 |
Head |
Unknown |
External drainage, marsupialization |
Persistent fistula after 1 year |
|
#4 |
Body |
Unknown |
Resection and drainage |
Uneventful |
|
#5 |
Unknown |
Unknown |
Resection/excision |
Unknown |
|
#6 |
Head |
Unknown |
Resection/excision |
Well after 6 months |
|
#7 |
Body |
Unknown |
External drainage |
Well after 7 months |
|
#8 |
Tail |
Unknown |
Distal pancreatectomy |
Well after 6 months |
|
#9 |
Unknown |
Unknown |
External drainage |
Unknown |
|
#10 |
Unknown |
Unknown |
Cystogastrostomy |
Unknown |
|
#11 |
Body |
9x8x6 |
Excision |
Uneventful |
|
#12 |
Head |
Unknown |
Superior mesenteric vein ligation, biopsy and drainage |
Tumor resection after 3 months |
|
#13 |
Head |
8x8x8 |
Excision |
Well after 14 years |
|
#14 |
Body |
3x3x3 |
Distal pancreatectomy |
Uneventful |
|
#15 |
Body |
10x13.7x8.5 |
Distal pancreatectomy |
Uneventful |
|
#16 |
Body |
20x20x11.5 |
Excision |
Uneventful |
|
#17 |
Body |
6.5x3x2 |
Excision |
Unknown |
|
#18 |
Head |
12x12x12 |
Pancreaticoduodenectomy |
Recurrence free at 6 years |
|
#19 |
Head |
4.5x4.5x4.5 |
Pancreaticoduodenectomy |
Uneventful |
|
#20 |
Body and tail |
9.5x8.5 |
Resection |
Unknown |
|
#21 |
Body |
10x8x9 |
Distal pancreatectomy, splenectomy |
Recurrence free after 2 years |
|
#22 |
Uncinate process |
7x5x7 |
None (for previous teratoma) |
Unknown |
|
#23 |
Head and body |
12x12x12 |
Excision |
Unknown |
|
#24 |
Head and body |
Unknown |
Excision, choledochoduodenostomy |
Unknown |
|
#25 |
Body |
5.5x3.7x3.3 |
Excision |
Unknown |
|
#26 |
Body |
2.1x2.2x1.5 |
Middle pancreatectomy |
Unknown |
|
#27 |
Tail |
3.5x3 |
Excision |
Recurrence free at 16 months |
|
#28 |
Tail |
8.5x3 |
Distal pancreatectomy |
Unknown |
|
#29 |
Uncinate process |
5.5 |
Excision |
Uneventful |
|
#30 |
Body |
4.6x3x2.2 |
Distal pancreatectomy, splenectomy |
Unknown |
|
#31 |
Head and body |
6.4x4.9x3.8 |
Pancreaticoduodenectomy |
Self-limiting low-output pancreatic fistula |
|
#32 |
Head and body |
15x10x10 |
Distal pancreatectomy |
Pancreatic fistula, splenic infarction, abscess |
|
#33 |
Uncinate process |
3.2x1.9x3.6 |
Pancreaticoduodenectomy |
Recurrence free at 1 year |
From the analysis of the reported radiological findings, the appearance of these lesions depends on the proportions of the various tissues of which they are composed [27]. The lesion would appear hyperechoic at US, with distinct margins and presence of calcified tissues (while in our case it was hypoechoic, without calcifications). At CT and MRI techniques, the characteristics suggesting the diagnosis of dermoid cyst are clear boundary of the uni- or multi-locular cystic mass, with solid components in varying proportions and areas of fat-like density or gross calcifications within the solid components [23, 27, 30].
At histological examination, dermoid cysts present a wall composed of stratified squamous epithelium and underlying connective tissue. The cyst cavity contains a combination of both cystic and solid elements, including hair, teeth, calcium, cartilage, and dermal appendages such as hair follicles, sweat glands, and sebaceous material [5]. Dermoid cysts are benign neoplasms, although a small percentage of mature teratomas may develop into malignant forms: therefore, a complete sampling of the lesion is necessary to exclude the presence of immature foci [23, 29]. Up to now all pancreatic teratomas reported correspond to mature type, whose behavior is benign.
Differential diagnosis and management of cystic lesions of the pancreas is challenging, mainly because of the hard distinction between the more common benign cystic lesions from their malignant counterparts [38]. As a matter of fact, pancreatic mature cystic teratomas should be differentiated from many different cystic lesions such as serous cystadenoma, mucinous cystic neoplasms, intraductal papillary mucinous neoplasms (IPMNs), solid pseudopapillary tumors, lymphoepithelial cysts, secondarily cystic solid neoplasms and non neoplastic cysts (as retention cysts, pseudocysts, etcetera) [1].
Among this wide spectrum of pathologies, it is imperative to rule out alarming lesions such as mucinous cystic neoplasms or IPMNs, that are associated with a high risk of malignant degeneration, that has been estimated to be 10-50% for mucinous cystic neoplasms and 35-45% for IPMNs [39, 40]. Preoperative EUS-guided FNA, with cytological, biochemical and tumor markers cyst fluid analysis seems to be a safe procedure to investigate pancreatic cystic lesions, but it does not allow an unquestionable diagnosis of nature and malignancy of the lesions [41].
The cyst fluid analysis of the most common pancreatic cystic lesions reveals different patterns for the above mentioned parameters. The cytological examination of the fluid shows mucine-positive columnar cells with variable atypia in mucinous cystic neoplasms and IPMNs; cuboidal glycogen-rich cells can be found in serous cystadenoma, while macrophages and inflammatory cells can be seen in pseudocysts [42, 43]. Amylase dosage in the cyst fluid reveals very high levels (usually in the thousands) in pseudocysts, while low levels (<250 ng/mL) are found in serous and mucinous cystic neoplasms. High amylase levels would be consistently found in IPMNs, in contrast to mucinous cystic neoplasms, because of the connectivity to the pancreatic ductal system [1].
Among the several cancer antigens that can be evaluated in the cyst fluid, CEA has been shown to be the most accurate to distinguish mucinous from nonmucinous cysts [1]. High concentrations of CEA (>192 ng/mL) within cyst fluid are typical of IPMNs and mucinous cystic neoplasms, while serous cystadenoma and pseudocysts are usually associated with very low levels (<5 ng/mL) of this tumor marker [1, 42]. However, considerable overlap exists in cyst fluid CEA concentrations among these pancreatic cystic lesions and, moreover, CEA levels do not allow to distinguish benign from malignant mucinous neoplasms [1, 42].
Current guidelines suggest indeed that all mucinous cystic neoplasms, main-duct and mixed variant of IPMNs, branch-duct IPMNs in association with symptoms, or high-risk features of malignancy (such as main pancreatic duct dilation greater than 6 mm, cyst size greater than 30 mm, mural nodules or positive cytology) should be surgically resected after consideration of patient’s surgical risk [40, 42]. As patient management algorithms are increasingly evolving to non-surgical options, it is critical to accurately discriminate mucinous from non-mucinous and benign from pre-malignant or malignant mucinous cystic lesions [1]. Considering that radiological findings are often inconclusive, the ongoing diagnostic issue is to differentiate these lesions in a preoperative setting.
In this context, the possibility of a trustworthy preoperative diagnosis of pancreatic mature cystic teratoma seems hard to be achieved. In the literature, three cases of preoperative diagnosis of dermoid cyst by FNA cytology were reported. In one case a CT guided FNA was performed and the cytological preparation of the cyst fluid revealed nucleated and non-nucleated squamous cells, keratin debris and inflammatory cells [21].
A CT-guided fine needle biopsy was also performed in the case reported by Strasser et al. [27]: the histology revealed the presence of fatty tissue, but the patient did not undergo surgical operation because of prior history of histologically proven teratoma. Therefore, in this case, the histology of the whole lesion was not obtained. In the case described by Rivkine et al. [32] EUS-guided FNA was performed: the cytological examination revealed the presence of regular cylinder-cubic cells, and the tumor markers analysis of the cyst fluid showed high levels of CEA (7,322 ng/mL) and CA-19.9 (15,755 IU/L). It has to be noted that such elevation of tumor markers in the fluid of pancreatic cystic lesions is associated with the diagnosis of mucinous neoplasms (mucinous cystic neoplasms or IPMNs) [39].
In our case the patient was asymptomatic and the pancreatic lesion was incidentally discovered; diagnostic imaging and EUS-guided FNA were not conclusive for defining the nature of the pancreatic cyst. Considering the impossibility to exclude the mucinous nature of the lesion and its dimensions greater than 3 cm, following the criteria proposed by Allen et al. [40], there was not indication for observation of the lesion. Even at laparotomy it has been impossible to obtain a histological diagnosis of the lesion; therefore, a radical resection of the pancreatic head was performed.
The reported surgical therapy for pancreatic mature cystic teratomas has included external drainage of the cyst in four cases [6, 8, 12, 14] with necessity of reintervention for persistent tumor fistula in half of the cases. One patient [15] underwent cystogastrostomy (with unknown long term results), while all the other patients (28 of 33) received excision/resection of the lesion. After surgical resection, the reported postoperative course was uneventful in almost all the cases; only 2 patients had a course complicated by pancreatic fistula [34, 35] and no cases of recurrent disease in the follow-up were reported. Over the years the external drainage procedures have been abandoned because a complete healing (due to retained elements of secretory epithelium) is unlikely and the possibility of recurrence or fistula formation is increased [31]. Conservative treatment has not been described in the literature.
Mature cystic teratomas are strictly benign neoplasms and theoretically they do not require surgery. Nonetheless the application of the current guidelines for pancreatic cystic lesions [40, 41] does not permit to avoid radical surgical resection for these lesions, because of inadequate preoperative diagnostic techniques. Until a reliable method to ensure a definitive preoperative histological diagnosis of benign nature became determined, limited surgery such as lesion’s excision should be avoided. Therefore, from an oncological standpoint of view, the recommended surgical therapy for pancreatic mature cystic teratomas is radical pancreatic resection.
The increase in detecting pancreatic cysts at diagnostic imaging will permit more frequent observation of mature cystic teratomas and more frequently in asymptomatic and older patients than in the past years. Since 1990, after the widespread use of CT and MRI techniques, the rate of asymptomatic patients with mature cystic teratoma has increased from 8.3% to 23.8% and the median age has raised from 14.5 to 46 years. Nowadays, these cysts do not appear anymore to occur mainly in childhood or in young age and it has come the time to “think about” mature cystic teratoma when examining a pancreatic cystic lesion.
In conclusion, clinicians should be more aware of mature cystic teratomas in the management of pancreatic cystic lesions. There is still a considerable difficulty in diagnosing these lesions preoperatively, leaving surgical exploration a necessary step through the diagnosis. Radical surgical resection represents the definitive treatment, it achieves a conclusive diagnosis, and it avoids the complications associated with cyst drainage.
Received October 27th, 2011 - Accepted November 4th, 2011
Key words Dermoid Cyst; Pancreatic Cyst; Pancreaticoduodenectomy
Disclosure No potential conflict of interest relevant to this article was reported
Correspondence
Luca
Degrate
Department of General Surgery
San Gerardo Hospital
University of Milano-Bicocca
Via Pergolesi 33
20900 Monza
Italy
Phone: +39-039.233.3600
Fax: +39-039.233.3600
E-mail: degluc@inwind.it
References
1. Pitman MB, Lewandrowski K, Shen J, Sahani D, Brugge W, Fernandez-del Castillo C. Pancreatic cysts. Cancer Cytopathol 2010; 118(1): 1-13. [PMID 20043327]
2. Tucci G, Muzi MG, Nigro C, Cadeddu F, Amabile D, Servadei F, Farinon AM. Dermoyd cyst of the pancreas: presentation and management. World J Surg Oncol 2007; 5: 85. [PMID 17683548]
3. Sternberg SS, Antonioli DA, Carter D, Mills SE, Oberman HA. Diagnostic Surgical Pathology. 3rd edition, volume 2. Philadelphia, PA, USA: Lippincott Williams and Wilkins, 1999.
4. Coulson W. Surgical Pathology. Philadelphia, PA: JB Lippincott Co; 1978.
5. Gonzalez-Crussi F. Extragonadal teratomas. Atlas of tumor pathology. 2nd ed. Washington, DC: Armed Forces Institute of pathology; 1982: 1-50, 142-153.
6. Kerr AA. Cysts and pseudocysts of the pancreas. Surg Gynecol Obstet 1918; 27: 40.
7. Judd ES. Cysts of the pancreas. Minnesota Med 1921; 4: 75.
8. Dennis WA. Dermoid cyst of the pancreas. Surg Clin North Am 1923; 3: 1919.
9. DeCourcy JL. Dermoid cyst of the pancreas: case report. Ann Surg 1943; 118(3): 394-395. [PMID 17858274]
10. Hoang-Su, Nguyen-Sang, Thon-That-Tung. Case of teratomatous dermoid cyst (monstre endocymiene parasitaire) operated as pancreatic cyst. Pol Tyg Lek (Wars) 1956; 11(40): 1710-1713. [PMID 13388866]
11. Bittner K, Sarrazin O. Pancreatic teratoma in a 2-year old girl. Wiad Lek 1970; 23 (14): 1251-1252. [PMID 5455922]
12. Iovchev II. Suppurative dermoid cyst of the pancreas. Vestn Khir Im I I Grek 1972; 107(3): 124. [PMID 5027996]
13. Posomov DV, Shpit'ko FS, Volianiuk MA. Dermoid cyst of the pancreas in a child. Vestn Khir Im I I Grek 1973; 110(4): 92-93. [PMID 4712370]
14. Komarov IF. Acute destructive pancreatitis in a child. Vestn Khir Im I I Grek 1973; 110(4): 93-94. [PMID 4712371]
15. Tobik S, Starzewky J, Walewski W. Case of retroperitoneal cystic teratoma simulating a pancreatic pseudocyst. Pol Przegl Chir 1974; 46(2): 179-181. [PMID 4816377]
16. Assawamatiyanont S, King AD Jr. Dermoid cysts of the pancreas. Am Surg 1977; 43(8): 503-504. [PMID 889185]
17. Lazaro da Silva A, Moreno Junior M. Surgery of pancreatic dermoid cyst with ligature of superior mesenteric vein. Arq Gastroenterol 1984; 21(4): 183-186. [PMID 6536257]
18. Mester M, Trajber HJ, Compton CC, de Camargo Júnior HS, de Almeida PC, Hoover HC Jr. Cystic teratomas of the pancreas. Arch Surg 1990; 125(9): 1215-1218. [PMID 2205176]
19. Vermeulen BJ, Widgren S, Gur V, Meyer P, Iselin C, Rohner A. Dermoid cyst of the pancreas. Case report and review of the literature. Gastroenterol Clin Biol 1990; 14(12): 1023-1025. [PMID 2289662]
20. Jentschura D, Bohrer MH, Geiger G. Para-pancreatic dermoid cyst. Chirurg 1990; 61(7):548-549. [PMID 2203644]
21. Markovsky V, Russin VL. Fine-needle aspiration of dermoid cyst of the pancreas: a case report. Diagn Cytopathol 1993; 9(1): 66-69. [PMID 8458286]
22. Jacobs JE, Dinsmore BJ. Mature cystic teratoma of the pancreas: sonographic and CT findings. AJR Am J Roentgenol 1993; 160(3): 523-524. [PMID 8430545]
23. Iacono C, Zamboni G, Di Marcello R, Zicari M, Maran M, Montresor E, et al. Dermoid cyst of the head of the pancreas area. Int J Pancreatol 1993; 14(3): 269-273. [PMID 7906703]
24. Kraimps JL, Zins J, Levillain P, Azais O, Deleplanque G, Carretier M, Barbier J. Dermoid cyst of the pancreas. Eur J Surg 1993; 159(8): 437-439. [PMID 8105979]
25. Das PC, Radhakrishna K, Rao PLNG. Cystic teratoma of the pancreas. Pediatr Surg Int 1996; 11: 177-178.
26. Fernandez-Cebrian JM, Carda P, Morale V, Galindo J. Dermoid cyst of the pancreas: a rare cystic neoplasm. Hepatogastroenterology 1998; 45(23): 1874-1876. [PMID 9840167]
27. Strasser G, Kutilek M, Mazal P, Schima W. Mature teratoma of the pancreas: CT and MR findings. Eur Radiol 2002; 12(S3): S56-S58. [PMID 12522604]
28. Yu CW, Liu KL, Lin WC, Li YW. Mature cystic teratoma of the pancreas in a child. Pediatr Radiol 2003; 33(4): 266-268. [PMID 12709759]
29. Salimi J, Karbakhsh M, Dolatshahi S, Ahmadi SA. Cystic teratoma of the pancreas: a case report. Ann Saudi Med 2004; 24(3): 206-209. [PMID 15307462]
30. Seki M, Ninomiya E, Aruga A, Yamada K, Koga R, Saiura A, et al. Image-diagnostic features of mature cystic teratomas of the pancreas: report on two cases difficult to diagnose preoperatively. J Hepatobiliary Pancreat Surg 2005; 12(4): 336-340. [PMID 16133705]
31. Koomalsingh KJ, Fazylov R, Chorost MI, Horovitz J. Cystic teratome of the pancreas: presentation, evaluation and management. JOP 2006; 7(6): 643-646. [PMID 17095845]
32. Rivkine E, Goasguen N, Chelbi E, Couvelard A, Vullierme MP, Vilgrain V, et al. Teratome kystique du pancreas. Gastroenterol Clin Biol 2007; 31 (11): 1016-1019. [PMID 18166898]
33. Zhang AY, Thompson SK, Game PA, Allin JJ. Images for surgeons. Cystic teratoma of the pancreas: a rare entity. ANZ J Surg 2008; 78(12): 1130-1131. [PMID 19087058]
34. Scheele J, Barth TFE, Strassburg J, Juchems M, Kornmann M, Henne-Bruns D. Dermoid cyst of the pancreas. Int J Colorectal Dis 2010; 25(3): 415-416. [PMID 19802626]
35. Casajoana Badia A, Pelaez Serra N, Fabregat Prous J, Serrano Pinol T, Valls Serra C. Teratoma quistico de pancreas. Cir Esp 2010; 88(6): 419-421. [PMID 20466357]
36. Lushpai VP. A case of pancreatic teratoma. Klin Khir 1997; 7-8: 100. [PMID 9518075]
37. Primrose A. Pancreatic cysts and pseudocysts. Surg Gynecol Obstet 1922; 34: 431-436.
38. Brugge WR, Lauwers GY, Sahani D, Fernandez-del Castillo C, Warshaw AL. Cystic neoplasms of the pancreas. N Engl J Med 2004; 351(12): 1218-1226. [PMID 15371579]
39. Levy MJ, Clain JE. Evaluation and management of cystic pancreatic tumors: emphasis on the role of EUS FNA. Clin Gastroenterol Hepatol 2004; 4(8): 639-653. [PMID 15290655]
40. Allen PJ, D'Angelica M, Gonen M, Jaques DP, Coit DG, Jarnagin WR, et al. A selective approach to the resection of cystic lesions of the panrceas. Results from 539 consecutive patients. Ann Surg 2006; 244(4): 572-582. [PMID 16998366]
41. Brugge WR, Lewandroski K, Lee-Lewandroski E, Centeno BA, Szydlo T, Regan S, et al. Diagnosis of pancreatic cystic neoplasms: a report of the cooperative pancreatic cyst study. Gastroenterology 2004; 126(5): 1330-1336. [PMID 15131794]
42. Turner BG, Brugge WR. Pancreatic cystic lesions: when to watch, when to operate, and when to ignore. Curr Gastroenterol Rep 2010; 12(2): 98-105. [PMID 20424981]
43. Khalid A, Brugge W. ACG practice guidelines for the diagnosis and management of neoplastic pancreatic cysts. Am J Gastroenterol 2007; 102: 2339-2349. [PMID 17764489]