CASE REPORT
JOP. J Pancreas (Online) 2012 Jan 10; 13(1):87-90.
Acinar Cell Carcinoma of the Pancreas: A Possible Role of S-1 as Chemotherapy for Acinar Cell Carcinoma. A Case Report
Tameyoshi Yamamoto, Hiroki Ohzato, Mutumi Fukunaga, Hiroshi Imamura, Hiroshi Furukawa
Department of Surgery, Sakai Municipal Hospital. Sakai, Osaka, Japan
Context Acinar cell carcinoma
of the pancreas is a rare malignancy, accounting for 1-2% of pancreatic
exocrine malignancies. This rarity makes it difficult to standardize a protocol
of treatment for acinar cell carcinoma. Case report A 71-year-old male
without any particular past history was referred to our institute with
abdominal distention and mild liver dysfunction. Computed tomography (CT)
revealed a cystic lesion with a diameter of 3.5 cm, which originated from the
neck of pancreas and had solid nodules inside. Several nodules were
demonstrated surrounding the cystic tumor. Laparotomy and histological study
demonstrated peritoneal dissemination of acinar cell carcinoma. The patient was
treated with S-1 monotherapy (80 mg/m2 for four weeks with a
two-week interval as one cycle). After one cycle of S-1 monotherapy, CT
demonstrated remarkable shrinkage of the main tumor and disappearance of the
nodules on the peritoneum. The patient underwent a radical distal
pancreatectomy. The patient was then treated with 16 cycles of S-1 monotherapy
after the radical pancreatectomy and remains without any recurrence of
the disease two years later. Conclusion Initially inoperable acinar cell
carcinoma was treated by monotherapy using S-1, resulting in curative operation
and two years disease free survival post operation. S-1 might be more effective
on acinar cell carcinoma, rather than gemcitabine.
INTRODUCTION
Acinar cell carcinoma of the pancreas is a rare malignancy, accounting for 1-2% of pancreatic exocrine malignancies [1, 2]. This rarity makes it difficult to standardize a protocol of treatment for it.
At the time of diagnosis, 38.5 to 76.5% of patients with acinar cell carcinoma have been considered as resectable [3, 4, 5]. The median overall survival of patients with unresectable acinar cell carcinoma is about 3 to 27 months [4, 5]. Resectable acinar cell carcinoma has been treated by the standard radical pancreatectomy, resulting in a 5-year survival rate of 36.2 to 42.8% [3, 5]. There have been a few large-scale clinical studies on the surgical outcomes of acinar cell carcinoma. Memorial Sloan-Kettering Cancer Center [5] reported a surgical outcome of acinar cell carcinoma that was between those of endocrine and ductal adenocarcinomas. In 2007, Kitagami et al. [4] reported a similar result of acinar cell carcinoma by analyzing 115 patients from the Pancreatic Cancer Registry of the Japan Pancreas Cancer Society. Although the resection rate and 5-year survival varied depending on the paper, these retrospective studies indicated that surgical resection can be postulated as the first-line treatment for acinar cell carcinoma. Acinar cell carcinoma might often recur in the liver and locoregional region, even if the resection rate was relatively high in comparison with that of ductal adenocarcinoma [4, 6].
In order to improve the clinical outcome of acinar cell carcinoma, chemotherapy and/or radiation therapy might be necessary. Although the chemo- and/or radio-therapy group showed a better outcome than surgery alone group in the retrospective studies [4, 6], these data might include clinical bias. The efficacy and protocol of the adjuvant therapies have not been examined by large-scale clinical studies. The standard protocol of chemotherapy for acinar cell carcinoma has not been established.
We report here a patient with initially unresectable acinar cell carcinoma who underwent chemotherapy using S-1 and radical operation.
CASE REPORT
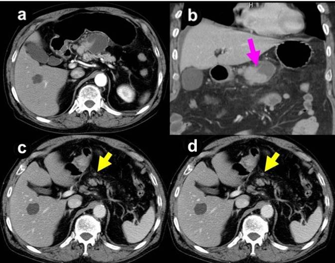
A 71-year-old male was referred with a chief complaint of abdominal distention and a mild elevation of transaminase in December 2008. CT demonstrated a cystic lesion with a diameter of 3.5 cm, which originated from the neck of the pancreas and had solid nodules inside. Several well-enhanced nodules were observed surrounding the main tumor (Figure 1ab). The main pancreatic duct was not dilated. A small amount of ascites was shown, which was preoperatively controlled with diuretics. Positron emission tomography showed no abnormal uptake, which is considered to indicate that it was unresectable (data not shown).

|
Figure 1. CT scan prior to (a. b.) and during chemotherapy (c.), and prior to operation (d.). |
The patient was diagnosed with an intraductal papillary mucinous carcinoma with lymph-node metastasis, and underwent an operation. Laparotomy presented the cystic tumor and white-colored nodules on the surface of the transverse mesocolon (Figure 2a), which was histologically diagnosed as acinar cell carcinoma (Figure 3ab) and deemed unresectable.


|
Figure 2. a. Findings of the main tumor and the surrounding nodules in the first operation, and (b.) macroscopic appearances of the resected tissues and the transection of the main tumor. |

|
Figure 3. Histological studies of the peritoneal nodules in the first operation (a. b.) and induration in the second operation (c. d.). |
S-1 was used as palliative chemotherapy. 80 mg/m2 per day was given to the patient for 4 weeks with a break of two weeks as a cycle. After one cycle of S-1 monotherapy, CT scan showed remarkable shrinkage of the main tumor and peritoneal dissemination (Figure 1c). This effect demonstrated by CT scan continued until four courses of S-1 administration over five cycles (Figure 1d). In addition, chemotherapy was well tolerated and no severe complications were observed. We decided upon operative re-exploration with the aim of radical resection.
In the second-look operation, there was no lesion that was deemed unresectable. The disseminations on the transverse mesocolon had disappeared, and the cystic main tumor had shrunk to the induration on the surface of the pancreas with a size of 8x4 mm. This lesion was excised and subjected to histological study, which demonstrated a small nest of cancer cells in the granulation tissue (Figure 3cd), which suggested a grade 2 effect of chemotherapy. Distal pancreatectomy was performed with lymph node dissection as well as ductal adenocarcinoma and resection of the transverse mesocolon (Figure 2b). There was no other microscopic finding except for remarkable infiltration of macrophages into the lymph node. Immunohistochemically, the tumor cells were positive for trypsin, lipase, and chymotrypsin, which are specific for acinar cell carcinoma.
Postoperative surgical complications did not occur. After a two-week hospital stay, the patient was discharged. From six weeks after the second-look operation, 80 mg/m2 S-1 was administered for two weeks with a one-week interval as a cycle. While chemotherapy transiently ceased because of subileus, 16 cycles of S-1 monotherapy were completed following the second-look operation. Thereafter, the dose of S-1 was decreased 20% owing to mild renal dysfunction and 3 cycles were carried out. The disease did not recur for two years after the second-look operation without any deterioration of the general condition of the patient.
DISCUSSION
Acinar cell carcinoma is a rare disease comprising 1% of malignant tumors originating from pancreatic exocrine tissues [1, 2, 3, 4, 5, 6]. Postoperative survival and resection rates of acinar cell carcinoma have been reported to be superior to those of pancreatic ductal adenocarcinoma, but were not satisfactory. Adjuvant therapy might be needed to improve the clinical outcome of acinar cell carcinoma. Until gemcitabine and S-1 were proven to be effective for pancreatic ductal adenocarcinoma, various anti-cancer drugs have been used for acinar cell carcinoma [7; 8, 9, 10, 11]. Thereafter, gemcitabine and/or S-1 might be clinically used for rare pancreatic malignancies including acinar cell carcinoma, undifferentiated adenocarcinoma, and pancreatoblastoma, as well as for pancreatic ductal adenocarcinoma. However, the effectiveness of these two drugs for these tumors has remained unclear.
Gemcitabine has a crucial role as an anti-cancer drug for pancreatic ductal adenocarcinoma. The effectiveness of gemcitabine has been reported in palliative [12] and adjuvant settings [13]. Sorscher et al. reported a case with metastatic acinar cell carcinoma successfully treated with gemcitabine, 5-fluorouracil (5-FU), and leucovorin [14]. On the other hand, Seki et al. reported that monotherapy with gemcitabine was ineffective in four cases with acinar cell carcinoma [15]. We have experienced five cases of acinar cell carcinoma, in which gemcitabine monotherapy failed in two (data not shown).
S-1 is an orally administered drug that is comprised of the 5-FU prodrug tegafur and two molecules, gimeracil and oteracil potassium, which increase the blood concentration, alleviate the gastrointestinal toxicity of 5-FU, and enhance the anti-tumor effect of 5-FU [16]. Clinical studies using S-1 have proven a significant anti-tumor activity in a variety of the malignant tumors: stomach cancer, colorectal cancer, head and neck cancer, non-small cell lung cancer, and breast cancer. An early phase II study of pancreatic ductal adenocarcinoma with distant metastasis demonstrated a response rate of 21.1%, time to progression of 77 days, and mean survival time of 169 days [17]. Another phase II study showed a response rate of 37.5%, time to progression of 113 days, and mean survival time of 281 days [18]. The above data led to the approval of S-1 for the treatment of pancreatic ductal adenocarcinoma in Japan in August 2006.
Recently, several case reports revealed successful control of acinar cell carcinoma using S-1 in Japan. Seki et al. reported four patients who were successfully treated with S-1 after failure of gemcitabine monotherapy [15]. Besides S-1 monotherapy, S-1 plus gemcitabine or cis-diamminedichloroplatinum (CDDP) combination therapy has been reported. Among these reports, main tumor or liver metastasis responded to chemotherapy. Lee reported that locally advanced acinar cell carcinoma of the pancreas was successfully treated by capecitabine and concurrent radiotherapy [9]. S-1 and capecitabine are 5-FU prodrugs. These findings suggest that 5-FU might be effective for acinar cell carcinoma, while gemcitabine might not. This was the reason why S-1 was chosen for the patient reported in this paper. In our patient, main tumor and peritoneal dissemination responded to S-1 monotherapy. In addition, these lesions remarkably and rapidly shrank.
In conclusion, we experienced successful control of acinar cell carcinoma accompanied by peritoneal dissemination using S-1, resulting in radical resection and 2-year disease free survival. S-1 might be effective for acinar cell carcinoma, even for the far advanced stage of acinar cell carcinoma, as preoperative chemotherapy.
Received November 10th, 2011 - Accepted November 20th, 2011
Key words Carcinoma, Acinar Cell; Pancreatic Neoplasms; S 1 (combination); Peritoneal Neoplasms; titanium silicide
Conflict of interest The authors have no potential conflict of interest
Correspondence
Hiroki
Ohzato
Department of Surgery
Sakai Municipal Hospital
1-1-1, Minamiyasui-cho, Sakai-ku
Sakai, Osaka 590-0064
Japan
Phone: +81-72.221.1700
Fax: +81-72.225.3303
E-mail: oosato-h@sakai-hospital.jp
References
1. Chen J, Baithun SI. Morphological study of 391 cases of exocrine pancreatic tumors with special reference to the classification of exocrine pancreatic carcinoma. J Pathol 1985;146:17-29. [PMID 2989468]
2. Seth AK, Argani P, Campbell KA, Cameron JL, Pawlik TM, Schulick RD. et al. Acinar cell carcinoma of the pancreas: an institution series of resected patients and review of the current literature. J Gastrointest Surg 2008;12:1061-1067. [PMID 17957440]
3. Schmidt CM, Matos JM, Bentrem DJ, Talamonti MS, Lillemoe KD, Bilimoria KY. Acinar cell carcinoma of the pancreas in the UnitedState: prognostic factors and comparison to ductal adenocarcinoma. J Gastrointest Surg 2008;12:2078-2086. [PMID 18836784]
4. Kitagami H, Kondo S, Hirano S, Kawakami H, Egawa S, Tanaka M. Acinar cellcarcinoma of the pancreas: clinical analysis of 115 patients from PancreaticCancer Registry of Japan Pancreas Society. Pancreas. 2007 Jul;35(1):42-6. [PMID 17575544]
5. Holen KD, Klimstra DS, Hummer A, Gonen M, Conlon K, Brennan M, Saltz LB. Clinical characteristics and outcomes from an institutional series of acinar cell carcinoma of the pancreas and related tumors. J Clin Oncol 2002;20:4673-4678. [PMID 12488412]
6. WisnoskiNC, Townsend Jr. CM, Nealon WH, Freeman JL, Ria TS. 672 patients with acinar cell carcinoma of the pancreas: a population-based comparison to pancreatic adenocarnoma. Surgery 2008;144:141-148. [PMID 18656619]
7. Ukei T, Okagawa K, Uemura Y, Miyauchi K, Kaneko T, Mizunoya S, Monden M. Effective intra-arterial chemotherapy for acinar cell carcinoma of the pancreas. Dig Surg. 1999;16:76-9. [PMID 9949272]
8. Kobayashi S, Ishikawa O, Ohigashi H, Yamada T, Sasaki Y, Imaoka S, et al. Acinar cell carcinoma of the pancreas successfully treated by en bloc resection and intraperitoneal chemotherapy for peritoneal relapse: a case report of a 15-year survivor. Pancreas. 2001;23(1):109-12. [PMID 11451140]
9. Lee JL, Kim TW, Chang HM, Lee SK, Kim MH, Kang YK, et al. Locally advanced acinar cell carcinoma of the pancreas successfully treated bycapecitabine and concurrent radiotherapy: report of two cases. Pancreas. 2003;27:e18-22. [PMID 12826914]
10. Antoine M, Khitrik-Palchuk M, Saif MW. Long-term survival in a patient withacinar cell carcinoma of pancreas. A case report and review of literature. JOP. 2007;8:783-9. [PMID 17993731]
11. Riechelmann RP, Hoff PM, Moron RA, da Camera Lopes LH, Buzaid AC. Acinar cell carcinoma of the pancraeas. Int J Gastrointestinal Cancer 2003;34:67-72. [PMID 15361637]
12. Rosenberg ML. Moore MJ, Cripps MC, Andersen JS, Portnoy RK, Burris III HA, et al. A phase II trial of gemicitabine in patients with 5-FU refractory pancreas cancer. Ann Oncol 1996;7:347-353. [PMID 8805925]
13. Oettle H, Post S, Neuhaus P, Gellert K, Langrehr J, Ridwelski K, et al. Adjuvant chemotherapy with gemcitabine vs observation in patients undergoing curative-intent resection of pancreatic cancer. JAMA 2007;297:267-277. [PMID 17227978]
14. Sorscher SM. Metastatic acinar cell carcinoma of the pancreas responding to gemcitabine, 5-fluorouracil and leucovorin therapy: a case report. Eur J Cancer Care. 2009;18:318-319. [PMID 19445023]
15. Seki Y, Okusaka T, Ikeda M, Morizane C, Ueno H. Four cases of pancreatic acinar cell carcinoma treated with gemcitabine or S-1 as a single agent. Jpn J ClinOncol. 2009;39:751-755. [PMID 19666905]
16. Shirasaka T, Shimamoto Y, Ohshimo H, Yamaguchi M, Kato T, Yonekura K, et al. Development of a novel form of an oral 5-fluorouracil derivative (S-1) directed to the potentiation of the tumor selective cytotoxicity of 5-fluorouracil by two biochemical modulators. Anticancer Drug 1996;7:548-557.
17. Ueno H, Okusaka T, Ikeda M, Takezako Y. An early phase II study of S-1 in patients with metastatic pancreatic cancer. Oncology 2005;68:171-178. [PMID 16006754]
18. Okusaka T, Funakoshi A, Furuse J, Boku N, Yamao K, Ohkawa S, Saito H. A late phase II study of S-1 for metastatic pancreatic cancer. Cancer Chemother Pharmacol 2008;61:615-621. [PMID 17520253]