CASE REPORT
JOP. J Pancreas (Online) 2012 Jan 10; 13(1):94-97.
Castleman’s Disease Mimetizing Pancreatic Tumor
Franz Robert Apodaca-Torrez1, Benedito Herani Filho1, Reinaldo Isaacs Beron1, Alberto Goldenberg1, Suzan Menasce Goldman2, Edson José Lobo1
1Division of Gastrointestinal Surgery, Department of Surgery and 2Departament of Radiology; Federal University of São Paulo, Paulista School of Medicine. São Paulo, Brazil
ABSTRACT
Context Angiofollicular lymph node hyperplasia or Castleman’s disease is a rare clinical condition. Knowledge about etiology and physiopathology; and treatment management as well are yet to be defined. Unicentric presentation of this disease affecting single lymph nodes in the mediastinum seems to be the most common presentation. Castleman’s disease localized in the pancreas topographic area that mimics a pancreatic neoplasm is an even more uncommon event, with available published data of less than 15 cases until now. Case report We present a 64-year-old male patient with a six-month past history of asthenia, adynamia, and lack of general clinical conditions. Imaging studies showed a nodular hypoechoic mass in the pancreatic head. Enucleation of the lesion was performed. Histopathological study revealed unicentric form of Castleman’s Disease. Conclusions Castleman’s disease mimetizing pancreatic tumor is uncommon and it also curses with a difficult preoperative diagnosis. Surgery seems to be the best therapeutic alternative for this disease.
INTRODUCTION
Angiofollicular lymph node hyperplasia, first described by Benjamin Castleman, in 1956, in patients with mediastinal localized disease, is a rare heterogenic lymphoproliferative disorder [1]. There are two basic types, the localized or unicentric form that might have vascular hyaline or a plasma cellular presentation, and the multicentric form; a more aggressive form that sometimes curses with neuropathy [2]. Many denominations have been used in previous publications for this condition; such as: follicular lymphoreticuloma, lymph node hamartoma, linfoid angiohamartoma, giant lymph hyperplasia and benign giant lymphoma [3]. However, the most used term is still Castleman’s disease. The main site of unicentric or localized form is the thorax, specifically in the mediastinum. Pancreatic localization of Castleman’s disease is without any doubt a poorly observed occurrence, with only a few reports in the literature [4]. Our objective is to present another case of Castleman’s disease mimetizing a pancreatic neoplasm.
CASE REPORT
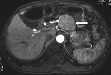
A 64-year-old male with a six-month past history of asthenia, adynamia, and lack of general clinical conditions that leads him to a 13 kilograms weight loss. Also, during this period he refers lypotimic episodes, sporadic diarrheal symptoms without cause, lower limbs muscle pain and extremities paresthesia (hands). The patient is a heavy smoker and he reveals drinking in social events on weekends. On physical examination he had regular clinical state, weight loss signs are present and no palpable masses or adenopathies are revealed in the abdominal examination. Laboratory blood tests results showed a hemoglobin level of 9.7 g/dL (reference range: 12.4-14.9 g/dL), sodium and potassium of 135 mmol/L (reference range: 137-148 mmol/L) and 4.8 mmol/L (reference range: 3.5-5.0 mmol/L), respectively. Normal alkaline phosphatase of 170 U/L (reference range: 50-250 U/L) with abnormal gamma glutamyl-transpeptidase of 87 U/L (reference range: 2-30 U/L) and confirming an extreme malnourishment, albumin value of 1.8 g/dL (reference range: 3.2-5.6 g/L). HCV and HBV serologic results were negative and also tumor markers CEA and CA 19-9 were non-conclusive. Imaging studies were made and the abdominal ultrasound showed a nodular hypoechoic mass in the pancreatic head, with precise delimitation boundaries and dimensions of 5.07x4.17 cm. Abdominopelvic CT scan showed an expansive formation in the head of the pancreas of 5.1x6.1 cm between the lesser gastric curvature and the pancreas head, with no cleavage point with this structure, with homogeneous signal and a “wash-out” delay appearance. Other portions of the pancreas were normal and no ductal distortions were seen; he also had bilateral renal cysts. Magnetic resonance imaging showed a 5.5x4.5 cm mass arising from the pancreatic body in close relation to the celiac trunk, without pancreatic duct dilation, low signal reperfusion signs in the spleen and the already described renal cysts (Figure 1). The patient developed an exacerbated worsening of clinical conditions associated to an acute renal insufficiency which led him to our institution’s emergency room. After his clinical recovery and under a pancreatic tumor of undefined etiology hypothesis, surgery was indicated. Access was made through a subcostal bilateral incision. Upon entering the lesser sac and exposing the pancreas, we found a well delimited exophytic mass, with fibroelastic consistence in the superior aspect of the pancreatic transition between the head and the body of the pancreas (Figure 2). Enucleation of the lesion was performed (Figure 3). Final pathology report of the tumor was hyaline vascular variation of Castleman’s disease. Strepto24 avidin-biotin-peroxidase immunohistochemistry were positive for CD20, CD45RO, CD34 in vessels and Epstein-Barr virus positive.

|
Figure 1. Magnetic resonance imaging showed a 5.5x4.5 cm mass arising from the pancreatic body (white arrow). |

|
Figure 2. Well delimited exophytic mass, in the superior aspect of the pancreatic transition between the head and the body of the pancreas (arrow). |

|
Figure 3. Aspect of enucleated tumor, with fibroelastic consistence. |
DISCUSSION
Historically this disease was first reported by Benjamin Castleman in a patient with a mediastinal mass, at first diagnosed as timoma. Posteriorly Castleman et al. published a series of another ten cases, describing clinical and histological aspects of this peculiar disease, calling attention to the lack of specific signs or symptoms that could at least suggest the disease [1]. In 1969, Flendrig and Schillings while analyzing histological features of a series of patients, described another form of the disease, with systemic symptoms and polyadenophaty, different from the first report, called type I and II, respectively [5]. Keller et al. in 1972 reported the histological variations hyaline vascular and plasma cellular [2]. In 1978 Gaba et al. described the multicentric form along with clinical features and a poorer outcome of these patients, clearly different and some times the opposite of the unicentric form of the disease [6]. The etiology and consequently the physiopathology of Castleman’s disease is not clearly known and actually most theories point to different etiological factors depending in the form of presentation of the disease, either the localized, unicentric or the multicentric form. Moreover, the most valid hypothesis is related abnormal response to antigenic stimulation from viral origin, cursing with cell development disarrangements and lymph node enlargement similar to the one that occurs with hamartomas, chronic inflammatory processes, and also immunodepressive states such as HIV or HCV/HBV infections. More recently, interleukin 6 (IL-6) has been implicated in the pathogenesis of the disease [3, 7]. Among possible etiological agents found on literature are Epstein-Barr virus, toxoplasma and mycobacterium [8]. Due to the rapid deteriorating condition of the patient we could not identify other diseases that could justify such an acute and systemic compromise of the patient, nevertheless immunohistochemical findings collected from the patient ganglia on necropsy came positive for Epstein-Barr. Treatment and prognosis of this disease will depend on the form presented. Although there are no randomized studies, most published series agree that surgical resection is the best therapeutic option for the localized, unicentric form of Castleman’s disease, with favorable long term prognosis reports and no cases of malignant transformation. The occurrence of this form of the disease seems to be more common in young adults regardless of gender [4, 9, 10]. Multicentric form of the disease still rises controversy and it is not well established the best treatment, due to poor prognosis and low rate of survival showing no, or very low, response to chemotherapy and radiation [3, 10]. This generalized form has higher incidence in the elder, masculine patients and, due to clinical and histopathological characteristics can be considered malignant disease. Castleman’s disease or angiofollicular lymph node hyperplasia localized in the pancreas region is a rare clinical situation and most often very difficult to diagnose and to exclude pancreatic malignancies as well. After the initial report of one patient from Lepke and Pagani in 1982 (firstly diagnosed with a pancreas tumor), there have been some reports of isolated cases in the literature were Castleman’s disease located in the pancreas was only confirmed after pathologic study of the surgical specimen [11]. Wang et al. in 2007 performed a retrospective analysis of eight cases of pancreatic localized Castleman’s disease and reported the supposedly first case of Castleman’s disease in the pancreas head [4]. However, Le Borgne et al. in 1999 and De Alburqueque et al. in 2003 had already reported this singular form of the disease, at the time treated with pancreaticoduodenectomy [12, 13]. In that series the most common type of the disease was the unicentric vascular hyaline form, and half of the patients were asymptomatic and the rest showed vague, uncharacterized abdominal pain and mass effect complaints without defined origin. Almost all the patients had poor clinical conditions without any specific signs or symptoms [4]. Although there are no comparative studies about the best treatment options, in all series that showed pancreatic lesions the surgical resection was carried on, probably due to diagnosis uncertainty in the preoperatively stage. However, certain imaging details, such as the macroscopic aspect and delimitation of the mass, as well as points of cleavage with the pancreas should be helpful to define and differentiate the Castleman’s disease from pancreas malignancies [4, 9, 10]. Other diagnostic tools, like endoscopic ultrasound with guided biopsy, could be useful in establishing the Castleman’s disease diagnosis before surgery. Evidence based data is insufficient to define the role of other options of treatment like chemo- and radio-therapy, although it has been reported the use of radiation for local unresectable disease [10]. Pathology report of this case showed the vascular hyaline type of Castleman’s disease presenting characteristic features such as onion peel cellular deposition.
CONCLUSION
Castleman’s disease still represents many doubts about physiopathology and definitive treatment, especially in the pancreas topography located forms, because of its rare incidence and the difficulty to establish a diagnosis. Surgery seems to be the best therapeutic alternative for this disease.
Received November 21st, 2011 - Accepted December 12th, 2011
Key words Pancreatic Neoplasms; Giant Lymph Node Hyperplasia; Granuloma, Plasma Cell; Multicentric Castleman’s Disease
Conflict of interest The authors have no potential conflict of interest
Correspondence
Franz
Robert Apodaca-Torrez
Rua Maracá 266, 131
São Paulo, SP
CEP: 04313-210
Brazil
Phone: +55-11.5576.4053
Fax: +55-11.5549.6906
E-mail: apodaca@uol.com.br
References
1. Castleman B, Iverson L, Menendez VP. Localized mediastinal lymph-node hyperplasia resembling thymoma. Cancer 1956; 9:822-30.
2. Keller A R, Hochholzer L, Castleman B. Hyaline-vascular and plasma-cell types of giant lymph node hyperplasia of the mediastinum and other locations. Cancer 1972; 29: 670-83.
3. McCarty MJ, Vukelja SJ, Banks PM, Weisst RB. Angiofollicular lymph node hyperplasia (Castleman's disease). Cancer Treat Rev 1995;21:291-310.
4. Wang H, Wieczorek RL, Zenilman ME, Desoto-Lapaix F, Ghosh BC, Bowne WB. Castleman's disease in the head of the pancreas: report of a rare clinical entity and current perspective on diagnosis, treatment, and outcome. World J Surg Oncol. 2007; 20;5:133.
5. Flendrig J A. Benign giant lymphoma. Volia Med. Need. 1969; 12: 119-20.
6. Gaba AR, Stein RS, Sweet DL, Variakojis D. Multicentric giant lymph hyperplasia. Am J Clin Pathol. 1978; 69: 86-90.
7. Kojima M, Nakamura S, Miyawaki S, Ohno Y, Sakela N, Majawa N. Progressive transformation of germinal center presenting with histologic features of hyaline-vascular type of Castleman's disease. APMIS. 2005; 113:288-95.
8. Frizzera G. Castleman's disease: more questions than answers. Hum Pathol 1985; 156:202-5.
9. Dispenzieri A, Gertz MA. Treatment of Castleman's disease. Curr Treat Options Oncol. 2005;6(3):255-66.
10. Bowne WB, Lewis JJ, Filippa DA, Niesvizky R, Brooks AD, Burt ME, et al. The management of unicentric and multicentric Castleman disease: a report of 16 cases and a review of the literature. Cancer 1999; 85:706-17.
11. Erkan N, Y?ld?r?m M, Selek E, Sayhan S. Peripancreatic Castleman disease. JOP. J Pancreas (Online) 2004; 5(6):491-4.
12. Le Borgne J, Joubert M, Emam N, Gaillard F, Lafergue JP, Moussu P, Lehur PA. Pancreatic localization of a Castleman's tumor. Gastroenterol Clin Biol 1999; 23:536-8.
13. De Albuquerque AC, Silva Junior OE, Ferraz AAB. Castleman disease presenting as pancreatic tumor. Rev Col Bras Cir 2003; 30(5): 396-8.