CASE REPORT
JOP. J Pancreas (Online) 2011 Nov 10; 12(6):593-597.
Acute Recurrent Pancreatitis: A Possible Clinical Manifestation of Ampullary Cancer
Athanasios Petrou1,2, Konstantinos Bramis1,2, Timothy Williams1, Alexandros Papalambros3, Eleftherios Mantonakis3, Evangelos Felekouras3
1Department of Hepatobiliary Surgery and 2Transplant Centre, Churchill Hospital. Oxford, United Kingdom. 3First Department of Surgery, University of Athens Medical School, Laikon Teaching Hospital. Athens, Greece
ABSTRACT
Context Acute recurrent pancreatitis still poses diagnostic difficulties. The coexistence or moreover the causative relationship of carcinoma of the ampulla of Vater and acute recurrent pancreatitis is fairly rare. Case report We present a case of carcinoma of the ampulla of Vater that presented with acute recurrent necrotizing pancreatitis complicated with pseudocysts. A diagnosis of malignancy in the ampulla was only made after several ERCP attempts due to residual inflammation at the periampullary area. Conclusion Malignancy at the ampulla of Vater causing recurrent episodes of pancreatitis represents a realistic risk and attempts to diagnose the underlying cause should always take into account the possibility of cancer.
INTRODUCTION
Acute recurrent pancreatitis still poses diagnostic difficulties. According to literature, about 30% of cases of acute recurrent pancreatitis remain undiagnosed after routine evaluation.
The coexistence or moreover the causative relationship of periampullary carcinoma and acute recurrent pancreatitis is fairly rare, posing a challenge to physicians and surgeons.
The usual presentation of carcinoma of ampulla of Vater is with painless jaundice; here we describe a case where presenting feature was recurrent episodes of acute pancreatitis. In the case presented below there was more than one potential causative factor for the development of acute pancreatitis and pancreatic cancer was not promptly diagnosed. The diagnosis was only made after the inflammatory changes at the region of head of pancreas totally subsided making possible a successful third ERCP attempt.
A high index of suspicion is important when dealing with cases of recurrent acute pancreatitis so that the aetiology can be promptly elucidated and a possible diagnosis of malignancy made in a timely manner to optimize outcome.
CASE PRESENTATION
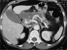
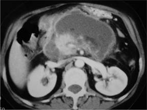
A 65-year-old woman was admitted to our unit with recurrent acute necrotising pancreatitis after several previous admissions to a general county hospital. Past medical history included hypertension, hyperlipidaemia and a raised BMI of 35 kg/m2; there was no history of previous abdominal surgery. She presented with copies of her previous blood results demonstrating a haematocrit of 0.36 (reference range: 0.36-0.44), white blood cell count of 10.3 x109/L (reference range: 3.7-11.0 x109/L), platelet count of 255 x109/L (reference range: 150-450 x109/L), glucose of 118 mg/dL (reference range: 30-61 mg/dL), LDH of 355 IU/L (reference range: 125-243 IU/L), calcium of 9.6 mg/dL (reference range: 8.4-10.5 mg/dL), CRP of 67 mg/L (reference range: 0-5 mg/L), cholesterol of 219 mg/dL (reference range: 120-200 mg/dL), triglycerides of 199 mg/dL (reference range: 70-150 mg/dL) and a CA 19-9 of 261 IU/mL (reference range: 0-40 IU/mL); serum and urine concentrations of amylase were both within the normal range. On this admission her investigations included an ultrasound of the liver and biliary tree, an abdominal CT and a MRI-MRCP. The ultrasound found a thick-walled gallbladder containing sludge and multiple small gallstones in conjunction with dilatation of the common bile duct. The CT (Figure 1) measured the common bile duct dilatation at 7 mm at the level of the head of the pancreas as well as revealing several peripancreatic fluid collections of low attenuation. MRI-MRCP further characterised this and showed oedema of the head of the pancreas with multiple fluid collections but did not demonstrate further distension of the intra- or extra-hepatic biliary tree (Figure 2).

|
Figure 1. Axial CT image demonstrating bile duct dilatation. |

|
Figure 2. Intrahepatic bile duct dilatation demonstrated on contrast study. |
During her admission she developed a fever of 38.5C in association with rigors and was empirically treated with meropenem pending repeated CT imaging which revealed pseudocyst formation (Figure 3). At this point inflammatory markers had increased (CRP 96 mg/L, white cell count 12.7 x109/L) and plans were made to percutaneously drain the pseudocyst. Fluid sent for analysis from the drain came back showing an amylase of 34,613 IU/L, LDH of 2,678 IU/L and an albumin of 0.5 U/L (reference range in serum: 3.5-4.8 U/L); bacterial culture showed this fluid was colonised by Enterococcus and vancomycin was added to the antibiotic regimen. Following drainage the patients fever settled, inflammatory markers decreased and further imaging revealed decreasing size of the pseudocyst. Improvement was such that she was discharged home with a date for elective cholecystectomy.

|
Figure 3. Axial CT image demonstrating pseudocyst formation. |
Unfortunately, prior to this elective procedure she presented again with severe epigastric pain on a background of fevers measured at 39.2C. CT scan revealed a residual pseudocyst that had increased in size and this was again drained percutaneously. Twelve days later she was discharged again but failed to remain well and returned to hospital again after 2 weeks complaining of fever and abdominal pain. Conservative treatment was again the original management option but after a short while it was clear this had failed and so we progressed to open cholecystectomy and drainage of the remaining pseudocysts with silastic draining tubes. During her post-operative course she developed a low output pancreatic fistula which resolved after a few days; LFTs post operatively also began to rise and an MRCP was performed which demonstrated distension of the common bile duct with no obvious cause for obstruction revealed.
She went on to have ERCP attempted which failed twice due to severe oedema at the ampulla of Vater. Some days later a third attempt was successful at visualising the biliary tree and pancreatic duct; biopsies were taken at this point which later revealed a poorly differentiated adenocarcinoma.
The patient subsequently underwent a total pancreatectomy and splenectomy 9 months following her initial presentation. Total pancreatectomy was decided upon due to atrophy of the body and tail of the pancreas which were occupied by sizeable pseudocysts. During the operation an exophytic lesion of the stomach was found and sent for frozen section. Histology revealed a tumour compatible with GIST and she was discharged home three weeks post operation. Final histology report concluded that the tumor was a moderately-differentiated adenocarcinoma of the ampulla of Vater and the stage was pT2N1Mx.
DISCUSSION
This case describes a patient presenting with recurrent episodes of acute pancreatitis where the ultimate diagnosis of carcinoma of the ampulla of Vater was unclear until the pathology findings were known.
Primary ampullary carcinoma refers to cancers originating in ampulla of Vater itself and is often challenging to distinguish from other periampullary carcinomas. Periampullary cancers can be broadly considered as those tumours originating out of or within 1 cm of the papilla of Vater and include ampullary, pancreatic, bile duct, and duodenal cancer. Periampullary carcinoma is a malignant tumor arising in the last centimeter of the common bile duct, where it passes through the wall of the duodenum and ampullary papilla, and, can arise from the epithelium of the terminal common bile duct, the duodenal mucosa, the pancreatic duct, or the ampulla of Vater. The most common is ductal carcinoma of the pancreas, which has a prevalence of 10/100,000 population. The incidence of distal bile duct cancers is increasing [1, 2].
Adenocarcinoma of the ampulla of Vater is relatively uncommon (6 cases per million populations), accounting for approximately 0.2% of gastrointestinal tract malignancies and approximately 7% of all periampullary carcinomas [3, 4].
Periampullary cancers, especially pancreatic adenocarcinoma, are known to have dismal prognosis, but is often reported that ampullary cancers are less aggressive relative to the other periampullary cancers arising from pancreatobiliary structures. In some series the reported surgical treatment of ampullary cancer reaches curative rates of above 50% whereas the treatment of pancreatic cancer presents an always low cure rate of around 10% [5, 6].
The explanation of this phenomenon is mainly based on pathophysiological criteria. It is well known that junctions between two different types of epithelial cells do not only give rise to unique types of diseases, but are also interesting and relevant areas with regards to tumour genesis. The ampulla of Vater is one of these epithelial junctions and there is growing evidence suggesting that clinic-pathophysiology of primary ampullary carcinoma is closer to intestinal cancer than pancreatobiliary cancer. Histology, genetic association, and clinical outcomes have suggested primary ampullary carcinomas similarity to carcinoma of intestinal origin rather than to cancers of pancreas or biliary tract [7, 8, 9].
Furthermore, according to austere histological criteria, ampullary tumors can be classified as either pancreaticobiliary or intestinal and the clinical behavior of these tumors reflects this classification; the course of intestinal ampullary adenocarcinomas is similar to that of their duodenal counterparts, whereas pancreaticobiliary tumors follow a more aggressive course, similar to that of pancreatic adenocarcinomas [10].
Surgery (pylorus preserving, or, Whipples pancreaticoduodenectomy) remains the only treatment modality that offers chance for a cure. Survival after surgical resection is related to the extent of local invasion, vascular invasion, perineural invasion, cellular differentiation, surgical margins, and lymphatic involvement [11]. Recently, studies investigating different molecular changes in metastasis associated genes have shown a prognostic significance in ampullary and pancreatic cancers [12]. Certainly part of the explanation for poor overall survival is likely related to the often late presentation of patients with locally or distantly advanced disease once symptoms such as obstructive jaundice have developed.
Our patients presenting complaint leading to a diagnosis of pancreatic cancer was that of recurrent bouts of acute pancreatitis. This can be defined as more than one episode of acute pancreatitis [13] and those patients presenting with a second attack of pancreatitis require more intensive investigation due to the higher risk of a third or further episode of pancreatitis [13, 14]. Despite often intensive investigation it is not unusual for the underlying cause of pancreatitis to remain undiagnosed in an estimated 10% of single episodes and 30% of recurrent episodes [15, 16].
Pancreatitis can occur as a result of any process that prevents free flow of pancreatic juice, the blockage can occur at the ampulla, periampullary or within the pancreatic duct [17]. Different pathological processes can impinge on the pancreatic drainage system at these points leading to obstruction and ultimately inflammation of the pancreas. At the ampulla it is known that tumours or polyps such as ampullary adenoma or carcinoma can grow and directly occlude the distal pancreatic duct [18, 19, 20, 21]. In cases where the blockage is intra-ductal the culprit can be ductal adenocarcinoma or intraductal papillary mucinous tumour in addition to strictures resulting from recurrent pancreatic inflammation [22, 23, 24, 25, 26].
The diagnostic/prognostic approach, and the therapeutic management of the ampullary adenocarcinoma, is similar as for carcinomas of pancreatobiliary origin. It has proven difficult to develop adequate tests for successful screening and diagnosis of these rare tumours. Although numerous tumour markers are available for periampullary tumours, including pancreatic cancer, their specificity and sensitivity have been questioned. Prognostic values of tissue polypeptide specific antigen (TPS), carbohydrate antigen 19-9 (CA 19-9), vascular endothelial growth factor (VEGF-A), and carcinoembryonic antigen (CEA), have been investigated as diagnostic and prognostic factors in patients with mass lesions in the pancreatic head, but studies shows that the markers may be used as fairly reliable diagnostic tools, but cannot be used to predict survival [27]. Despite having low positive predictive value for identifying patients with pancreatic cancer, CA 19-9 is an adjunct in detecting periampullary cancers, presenting more important diagnostic and prognostic values than CEA. Additionally, CA 19-9 represents the most important independent factor in evaluating resectability, predicting prognosis, and the best available marker for monitoring progression of the disease [28]. This marker can also be used as a marker of response to chemotherapy and testing for recurrence following surgical resection [29].
Of course imaging has the most pivotal role in diagnosing all the pancreatic malignancies. The most widely used imaging techniques for this purpose are ultrasound (both transcutaneous and endoscopic), CT and MRI. The most sensitive of these are endoscopic ultrasound and CT and as such have been recommended as the first line investigations where pancreatic or periampullary cancer is suspected [30]. Once initial investigations have been completed endoscopic retrograde cholangiopancreatography (ERCP) has a well established role in investigating recurrent pancreatitis.
For many years ERCP has been of great importance in the diagnosis of cholelithiasis [31], papillary stenosis [32], pancreas divisum [33] and sphincter of Oddi dysfunction [32]. Unlike the other, non-invasive investigations, the main drawback of ERCP has been the known hazard of causing acute pancreatitis; a risk of 20% where sphincter of Oddi dysfunction is suspected and 5% in the general population [34]. Owing to this risk of inducing an acute attack of pancreatitis the use of EUS has steadily been replacing ERCP in diagnostic procedures for recurrent pancreatitis, where it has demonstrated high accuracy for stones in the bile duct, pancreatic tumours and cysts [35]. EUS has not totally replaced the use of ERCP, however, because of the potential for intervention and use of manometry during ERCP examinations that is not available in EUS alone [36]. The role of EUS as a screening tool has also been investigated in high risk patients but was found to yield a number of false positives in this small study [37]. In recent years the use of MRCP as an investigative tool to assess the biliary tree and pancreatic duct has increased in use, especially with the concurrent use of secretin [38]. In practice, a combination of the above investigative tools provides the correct approach to the investigation of recurrent pancreatitis.
CONCLUSION
In conclusion this report describes the presentation of a patient with primary ampullary carcinoma where the original presentation was with recurrent episodes of acute pancreatitis. Relapsing pancreatitis due to underlying malignancy has been described previously but remains a rare presentation of this malignant disease. There has not been much success in the development of a reliable screening test for pancreatic head malignancy and when investigating recurrent acute pancreatitis the diagnosis of cancer must remain in mind and investigated promptly as the risk of cryptogenic malignancy is real. Imaging modalities must be chosen to maximise the chance of diagnosis but weighed against the risks of each investigation, especially in the case of ERCP.
Received July 12th, 2011 - Accepted July 25th, 2011
Key words Adenocarcinoma; Pancreatic Neoplasms; Pancreatitis; Pancreatitis, Acute Necrotizing
Conflicts of interest The authors declare no conflicts of interest with regards to the contents of this paper
Correspondence
Timothy Williams
Department of Hepatobiliary Surgery
Churchill Hospital
Old Road, Headington
Oxford, OX3 7LJ
United Kingdom
Phone: +44-1865.235.668
Fax: +44-1865.235.668
E-mail: timothy.williams@doctors.org.uk
References
1. Benhamiche AM, Jouve JL, Manfredi S, Prost P, Isambert N, Faivre J. Cancer of the ampulla of Vater: results of a 20-year population-based study. Eur J Gastroenterol Hepatol 2000; 12:75-9. (More details: [1]).
2. Albores-Saavedra J, Schwartz AM, Batich K, Henson DE. Cancers of the ampulla of Vater: demographics, morphology, and survival based on 5,625 cases from the SEER program. J Surg Oncol 2009; 100:598-605. (More details: [2]).
3. Chareton B, Coiffic J, Landen S, Bardaxoglou E, Campion JP, Launois B. Diagnosis and therapy for ampullary tumors: 63 cases. World J Surg 1996; 20:707-12. (More details: [3]).
4. Howe JR, Klimstra DS, Moccia RD, Conlon KC, Brennan MF. Factors predictive of survival in ampullary carcinoma. Ann Surg 1998; 228:87-94. (More details: [4]).
5. Beger HG, Treitschke F, Gansauge F, Harada N, Hiki N, Mattfeldt T. Tumor of the ampulla of Vater: experience with local or radical resection in 171 consecutively treated patients. Arch Surg 1999; 134:526-32. (More details: [5]).
6. Riall TS, Cameron JL, Lillemoe KD, Winter JM, Campbell KA, Hruban RH, et al. Resected periampullary adenocarcinoma: 5-year survivors and their 6- to 10-year follow-up. Surgery 2006; 140:764-72. (More details: [6]).
7. Ruemmele P, Dietmaier W, Terracciano L, Tornillo L, Bataille F, Kaiser A, et al. Histopathologic features and microsatellite instability of cancers of the papilla of Vater and their precursor lesions. Am J Surg Pathol 2009; 33:691-704. (More details: [7]).
8. Perrone G, Santini D, Zagami M, Vincenzi B, Verz A, Morini S, et al. COX-2 expression of ampullary carcinoma: correlation with different histotypes and clinicopathological parameters. Virchows Arch 2006; 449:334-40. (More details: [8]).
9. Kadmon M, Tandara A, Herfarth C. Duodenal adenomatosis in familial adenomatous polyposis coli. A review of the literature and results from the Heidelberg Polyposis Register. Int J Colorectal Dis 2001; 16:63-75. (More details: [9]).
10. Carter JT, Grenert JP, Rubenstein L, Stewart L, Way LW. Tumors of the ampulla of Vater: histopathologic classification and predictors of survival. J Am Coll Surg 2008; 207:210-8. (More details: [10]).
11. Berberat PO, Knzli BM, Gulbinas A, Ramanauskas T, Kleeff J, Mller MW, Wagner M, et al. An audit of outcomes of a series of periampullary carcinomas. Eur J Surg Oncol 2009; 35:187-91. (More details: [11]).
12. Friess H, Guo XZ, Tempia-Caliera AA, Fukuda A, Martignoni ME, Zimmermann A, et al. Differential expression of metastasis-associated genes in papilla of Vater and pancreatic cancer correlates with disease stage. J Clin Oncol 2001; 19:2422-32. (More details: [12]).
13. Levy MJ, Geenen JE. Idiopathic acute recurrent pancreatitis. Am J Gastroenterol 2001; 96:2540-55. (More details: [13]).
14. Gullo L, Migliori M, Pezzilli R, Olah A, Farkas G, Levy P, et al. An update on recurrent acute pancreatitis: data from five European countries. Am J Gastroenterol 2002; 97:1959-62. (More details: [14]).
15. Steinberg W, Tenner S. Acute pancreatitis. N Engl J Med 1994; 330:1198-210. (More details: [15]).
16. Lee SP, Nicholls JF, Park HZ. Biliary sludge as a cause of acute pancreatitis. N Engl J Med 1992; 326:589-93. (More details: [16]).
17. Delhaye M, Matos C, Arvanitakis M, Deviere J. Pancreatic ductal system obstruction and acute recurrent pancreatitis. World J Gastroenterol 2008; 14:1027-33. (More details: [17]).
18. Guzzardo G, Kleinman MS, Krackov JH, Schwartz SI. Recurrent acute pancreatitis caused by ampullary villous adenoma. J Clin Gastroenterol 1990; 12:200-2. (More details: [18]).
19. Wright BE, Kozarek RA, Traverso LW, Wechter D, Thirlby R, Raltz SL. Recurrent pancreatitis in Gardner variant familial polyposis: etiology, diagnostic approach, and interventional results. Arch Surg 1999; 134:311-5. (More details: [19]).
20. Tanasijtchouk T, Vaisbein E, Lachter J, Nassar F. Carcinoma of papilla Vateri presenting as recurrent acute pancreatitis. Acta Gastroenterol Belg 2004; 67:309-10. (More details: [20]).
21. Kwon TH, Park do H, Shim KY, Cho HD, Park JH, Lee SH, et al. Ampullary adenomyoma presenting as acute recurrent pancreatitis. World J Gastroenterol 2007; 13:2892-4. (More details: [21]).
22. Lorente JA, Ruiz del Arbol L, Moreira VF, Garcia-Plaza A. Recurrent pancreatitis in a young patient associated with a solitary nonopaque concretion in the main pancreatic duct. Gastrointest Endosc 1990; 36:63-5. (More details: [22]).
23. Chung JP, Chi SW, Park YN, Lee SJ, Song SY, Lee KS, et al. A case of minute intraductal papillary mucinous tumor of the pancreas presenting with recurrent acute pancreatitis. Yonsei Med J 2000; 41:528-32. (More details: [23]).
24. Tikhomirov V, Tikhomirova S, Sieber S, Schiffman MK. A pancreatic intraductal papillary mucinous tumor causing recurrent acute pancreatitis at the onset of menstrual periods. J Clin Gastroenterol 2000; 31:172-4. (More details: [24]).
25. Mosca S, Bottino V, Molino C. Hepatobiliary and pancreatic: a woman with recurrent idiopathic acute pancreatitis. Intraductal papillary mucinous tumor of the pancreas. J Gastroenterol Hepatol 2001; 16:1070-5. (More details: [25]).
26. Howard TJ, Moore SA, Saxena R, Matthews DE, Schmidt CM, Wiebke EA. Pancreatic duct strictures are a common cause of recurrent pancreatitis after successful management of pancreatic necrosis. Surgery 2004; 136:909-16. (More details: [26]).
27. Sandblom G, Granroth S, Rasmussen IC. TPS, CA 19-9, VEGF-A, and CEA as diagnostic and prognostic factors in patients with mass lesions in the pancreatic head. Ups J Med Sci 2008; 113:57-64. (More details: [27]).
28. Kau SY, Shyr YM, Su CH, Wu CW, Lui WY. Diagnostic and prognostic values of CA 19-9 and CEA in periampullary cancers. J Am Coll Surg 1999; 188:415-20. (More details: [28]).
29. Steinberg W. The clinical utility of the CA 19-9 tumor-associated antigen. Am J Gastroenterol 1990; 85:350-5. (More details: [29]).
30. Legmann P, Vignaux O, Dousset B, Baraza AJ, Palazzo L, Dumontier I, et al. Pancreatic tumors: comparison of dual-phase helical CT and endoscopic sonography. AJR Am J Roentgenol 1998; 170:1315-22. (More details: [30]).
31. Feller ER. Endoscopic retrograde cholangiopancreatography in the diagnosis of unexplained pancreatitis. Arch Intern Med 1984; 144:1797-9. (More details: [31]).
32. Venu RP, Geenen JE, Hogan W, Stone J, Johnson GK, Soergel K. Idiopathic recurrent pancreatitis. An approach to diagnosis and treatment. Dig Dis Sci 1989; 34:1943-5. (More details: [32]).
33. Cotton PB. Congenital anomaly of pancreas divisum as cause of obstructive pain and pancreatitis. Gut 1980; 21:105-14. (More details: [33]).
34. Freeman ML, Nelson DB, Sherman S, Haber GB, Herman ME, Dorsher PJ, et al. Complications of endoscopic biliary sphincterotomy. N Engl J Med 1996; 335:909-18. (More details: [34]).
35. Eloubeidi MA, Gress FG, Savides TJ, Wiersema MJ, Kochman ML, Ahmad NA, et al. Acute pancreatitis after EUS-guided FNA of solid pancreatic masses: a pooled analysis from EUS centers in the United States. Gastrointest Endosc 2004; 60:385-9. (More details: [35]).
36. Rocca R, De Angelis C, Castellino F, Masoero G, Daperno M, Sostegni R, et al. EUS diagnosis and simultaneous endoscopic retrograde cholangiography treatment of common bile duct stones by using an oblique-viewing echoendoscope. Gastrointest Endosc 2006; 63:479-84. (More details: [36]).
37. Canto MI, Goggins M, Hruban RH, Petersen GM, Giardiello FM, Yeo C, et al. Screening for pancreatic neoplasia in high-risk individuals: a prospective controlled study. Clin Gastroenterol Hepatol 2006; 4:766-81. (More details: [37]).
38. Al-Haddad M, Wallace MB. Diagnostic approach to patients with acute idiopathic and recurrent pancreatitis, what should be done? World J Gastroenterol 2008; 14:1007-10. (More details: [38]).