CASE REPORT
JOP. J Pancreas (Online) 2011 Nov 10; 12(6):603-606.
Intrapancreatic Accessory Spleen: Investigative Dilemmas and Role of EUS-Guided FNA for Diagnostic Confirmation
Somashekar G Krishna1, Muhannad M Heif2, Shree G Sharma3, Tarun Pandey4, Rayburn F Rego5
1Department of Gastroenterology, Hepatology and Nutrition, The University of Texas MD Anderson Cancer Center. Houston, Texas, USA. 2Division of Gastroenterology, The University of Colorado. Denver, CO, USA. Departments of 3Pathology, 4Radiology, and 5Gastroenterology and Hepatology, University of Arkansas for Medical Sciences. Little Rock, AR, USA
ABSTRACT
Context We submit a case of intrapancreatic accessory spleen. Case report A 33-year-old patient with history of dyspepsia underwent imaging studies suggestive of a neuroendocrine tumor. After referral to our institute, endoscopic ultrasound guided fine needle aspiration (EUS-FNA) confirmed diagnosis as intrapancreatic accessory spleen. Discussion An accessory spleen may develop from estranged mesenchymal cells due to fusion failure of the splenic anlage. The prevalence of an accessory spleen is 10-30% with 80% of them present at the splenic hilum and 17% in the pancreatic tail. Intrapancreatic accessory spleen is commonly misdiagnosed as a pancreatic tumor. Since, the differential diagnosis includes pancreatic neuroendocrine tumors, additional investigation with EUS-FNA should be considered when radiological diagnosis is not definitive. Conclusion For diagnosis of intrapancreatic accessory spleen, radiographic imaging is useful, but lacks specificity without tissue diagnosis. Diagnosis can be safely and reliably established with EUS-FNA, leading to a benign prognosis and avoidance of unnecessary surgical intervention.
INTRODUCTION
The spleen develops from the mesenchymal cells in the dorsal mesogastrium which drift between the folds of the mesentery. An accessory spleen may develop from estranged mesenchymal cells due to fusion failure of splenic anlage [1]. The prevalence of an accessory spleen is 10-30% with 80% of them present at the splenic hilum and 17% in the pancreatic tail [1, 2]. Intrapancreatic accessory spleen is commonly misdiagnosed as a pancreatic tumor.
CASE REPORT
A 33-year-old lady presented with a three month history of dyspepsia. During evaluation, a 1.5 cm, homogenous, sharply defined lesion in the tail of the pancreas was seen on computed tomography (CT) scan of the abdomen and later confirmed by magnetic resonance imaging (MRI). The initial (pre-EUS) read on the CT and MRI suggested an enhancing intrapancreatic lesion concerning for a neuroendocrine tumor. Continued investigations included a negative Octreotide scan for pancreatic tumor localization. After being referred to our institution, review of radiological images suggested intrapancreatic accessory spleen since the signal intensity of the lesion was similar to the spleen on pre- and post-contrast CT and MRI sequences (Figure 1). Endosonography revealed a 1.5 cm, oval shaped, well-defined, homogeneous, hypoechoic lesion with similar echogenicity of the spleen (Figure 2). The pancreatic body and duct appeared normal. Two passes were made using a 22-guage needle for fine needle aspiration (FNA). The FNA showed normal pancreatic acinar tissue adjoining splenic pulp (Figure 3a) displaying extramedullary hematopoiesis (Figure 3b) and prominent vascularity (Figure 3c). Immunostaining with CD8 highlighted the sinus endothelial cells (Figure 3d) confirming diagnosis of intra-pancreatic accessory spleen.

|
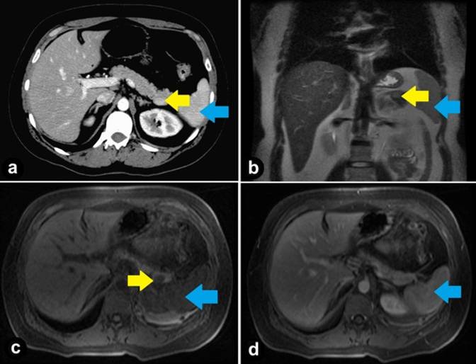
Figure 1. a. Contrast-enhanced axial CT Scan showing intra-pancreatic lesion in the tail of the pancreas isoattenuating compared to spleen. b. Coronal T2-haste MR image showing intra-pancreatic accessory spleen with signal intensity similar to that of the spleen. c. Axial pre-contrast T1-weighted MRI with fat saturation showing hypointense signal of intrapancreatic accessory spleen relative to the pancreas. d. Axial gadolinium T1-weighted MRI, portovenous phase (notice that intrapancreatic accessory spleen becomes homogenously isointense relative to surrounding pancreatic parenchyma, nearly obscuring the lesion). Intrapancreatic accessory spleen (yellow arrow); spleen (blue arrow). |

|
Figure 2. a. Radial endosonography demonstrates a 1.5 cm, oval shaped, homogeneous, hypoechoic lesion with sharp, well defined borders in the tail of the pancreas and has similar echogenicity of the spleen. b. Linear endosonography confirms the same 1.5 cm hypoechoic lesion for fine needle aspiration. |

|
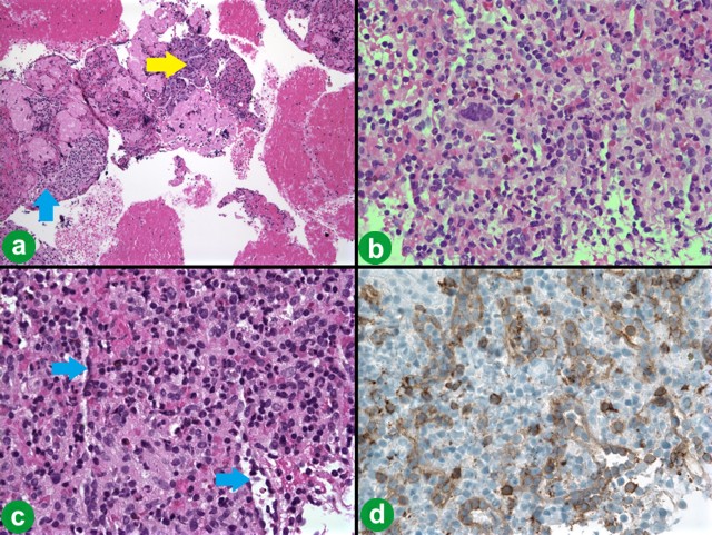
Figure 3. Histopathology of fine needle aspiration confirming intra-pancreatic accessory spleen. a. H&E stain of cell block (40x) showing pancreatic acinar tissue (yellow arrow) with adjoining splenic tissue (blue arrow). b. H&E stain (400x) of intrapancreatic accessory spleen showing hematopoietic cells, histiocytes and megakaryocytes. c. H&E stain (400x) of intrapancreatic accessory spleen parenchyma with prominent vascularity (blue arrows). d. CD8 immunostaining (400x) highlighting sinus endothelial cells. |
DISCUSSION
In most patients, the finding of intrapancreatic accessory spleen is incidental during otherwise unrelated diagnostic evaluation involving imaging studies. The majority of intrapancreatic accessory spleen are asymptomatic benign lesions. Although radiographic features are fairly reliable, intrapancreatic accessory spleen is often misdiagnosed due to lack of awareness regarding its imaging findings and characteristic brisk enhancement that mimics a neuroendocrine tumor. The CT and MRI findings reveal similarity of intrapancreatic accessory spleen to the adjacent spleen in terms of density, attenuation values and signal characteristics and should parallel the spleen on all imaging techniques [3]. On the arterial phase images, normal spleen shows an “arciform enhancement? pattern on both MRI and CT scans which is due to differential blood flow in the white and red pulp. This equalizes in the portovenous phase. An accessory spleen of sufficient size may show this diagnostic pattern [4]. In our patient, arterial phase was not obtained as it was a case referred from an outside hospital where arterial phase images are not part of routine abdominal imaging protocol. This was probably also the reason for the diagnostic dilemma. Since we have the capability to obtain tissue (EUS-FNA), decision was taken to proceed with EUS. Octreotide scan can be negative or falsely positive (splenic physiological uptake) [5]. Other imaging modalities with higher specificity include: contrast-enhanced ultrasound, 99mtechnetium (Tc) sulfur colloid scan and 99mTc heat-damaged red blood cell scintigraphy, the latter being most specific [5, 6]. However these imaging techniques may not be available in non-tertiary centers.
There are very few studies characterizing EUS features of “accessory spleen?. In the largest such case series of 10 patients, accessory spleens were extra-pancreatic, round, with distinct margins and homogenous with echo-intensity similar to adjacent spleen [7]. In a later case series by Schreiner et al., EUS features of three patients with intrapancreatic accessory spleen revealed similar round to oval shaped masses with well-defined margins, and homogenous echotexture [8]. Other isolated case reports in the last two years have revealed consistent EUS findings. Some reports presented EUS Doppler mode confirmation of increased vascularity comparable with pancreatic neuroendocrine tumors [9, 10]. The differential diagnosis for intrapancreatic accessory spleen includes pancreatic neuroendocrine tumors, lymphoma, solid pseudopapillary tumor, and pancreatic adenocarcinoma [8].
The cytological features of splenic tissue by EUS-FNA are characterized by small lymphocytes with a mixed inflammatory infiltrate (white pulp), and presence of thin walled blood vessels (sinuses). The splenic sinus endothelial cells take up CD8 immunostain which is a recognized T-cell marker [8, 11]. Flow cytometry and immunohistochemistry can aid in excluding lymphoproliferative disorders when splenic tissue is not present in the FNA specimen [12]. When possible, confirmation by CD8 immunostaining of cell block sections is recommended [8].
In conclusion, current radiographic imaging (CT and MRI) will lead to incidental finding of suspected intrapancreatic accessory spleen. Although intrapancreatic accessory spleen can be diagnosed by certain non-invasive imaging modalities, they are not universally available and can lack specificity without tissue diagnosis. Since, the differential diagnosis includes pancreatic neuroendocrine tumors, additional investigation with EUS-FNA should be considered especially before contemplating any surgical exploration. A definitive diagnosis can be safely and reliably established with EUS-FNA, leading to a benign prognosis and avoidance of unnecessary surgical intervention.
Received July 25th, 2011 - Accepted September 6th, 2011
Keywords Biopsy, Fine-Needle; Endosonography; Neuroendocrine Tumors; Non functioning pancreatic endocrine tumor; Pancreas; Pancreatic islet cell tumors; Spleen
Disclosure None of the authors have any potential conflicts (financial, professional or personal)
Correspondence Somashekar G Krishna
Unit 1466, 1515 Holcombe Blvd.
Houston, Texas 77030
USA
Phone: +1-713.794.5073
Fax: +1-713.563.4398
E-mail: sgkrishna@gmail.com
References
1. Dodds WJ, Taylor AJ, Erickson SJ, Stewart ET, Lawson TL. Radiologic imaging of splenic anomalies. AJR Am J Roentgenol 1990; 155:805-10. (More details: [1]).
Halpert B, Gyorkey F. Lesions observed in accessory spleens of 311 patients. Am J Clin Pathol 1959; 32:165-8. (More details: [2]).
Kim SH, Lee JM, Han JK, Lee JY, Kim KW, Cho KC, et al. Intrapancreatic accessory spleen: findings on MR Imaging, CT, US and scintigraphy, and the pathologic analysis. Korean J Radiol 2008; 9:162-74. (More details: [3]).
Low G, Panu A, Millo N, Leen E. Multimodality imaging of neoplastic and nonneoplastic solid lesions of the pancreas. Radiographics 2011; 31:993-1015. (More details: [4]).
Chung SY, Ryo UY, Pinsky S. Evaluation of a patient with splenosis by various imaging modalities. J Natl Med Assoc 1986; 78:458-9. (More details: [5]).
Ota T, Tei M, Yoshioka A, Mizuno M, Watanabe S, Seki M, et al. Intrapancreatic accessory spleen diagnosed by technetium-99m heat-damaged red blood cell SPECT. J Nucl Med 1997; 38:494-5. (More details: [6]).
Barawi M, Bekal P, Gress F. Accessory spleen: a potential cause of misdiagnosis at EUS. Gastrointest Endosc 2000; 52:769-72. (More details: [7]).
Schreiner AM, Mansoor A, Faigel DO, Morgan TK. Intrapancreatic accessory spleen: mimic of pancreatic endocrine tumor diagnosed by endoscopic ultrasound-guided fine-needle aspiration biopsy. Diagn Cytopathol 2008; 36:262-5. (More details: [8]).
Arkadopoulos N, Athanasopoulos P, Stafyla V, Karakatsanis A, Koutoulidis V, Theodosopoulos T, et al. Intrapancreatic accessory spleen issues: diagnostic and therapeutic challenges. JOP. J Pancreas (Online) 2009; 10:400-5. (More details: [9]).
Hutchinson CB, Canlas K, Evans JA, Obando JV, Waugh M. Endoscopic ultrasound-guided fine needle aspiration biopsy of the intrapancreatic accessory spleen: a report of 2 cases. Acta Cytol 2010; 54:337-40. (More details: [10]).
Lin J, Jing X. Fine-needle aspiration of intrapancreatic accessory spleen, mimic of pancreatic neoplasms. Arch Pathol Lab Med 2010; 134:1474-8. (More details: [11]).
Pugh JL, Jhala NC, Eloubeidi MA, Chhieng DC, Eltoum IA, Crowe DR, et al. Diagnosis of deep-seated lymphoma and leukemia by endoscopic ultrasound-guided fine-needle aspiration biopsy. Am J Clin Pathol 2006; 125:703-9. (More details: [12]).