CASE REPORT
JOP. J Pancreas (Online) 2012 Mar 10; 13(2):226-230.
VIP and Calcitonin-Producing Pancreatic Neuroendocrine Tumor with Watery Diarrhea: Clinicopathological Features and the Effect of Somatostatin Analogue
Tomoya Kon1, Ryuichi Wada3, Ryuta Suzuki1, Yoshihito Nakayama3, Yoshihito Ebina2, Soroku Yagihashi3
Departments of 1Surgery and 2Pathology, Kensei Hospital; 3Department of Pathology and Molecular Medicine, Hirosaki University Graduate School of Medicine. Hirosaki, Japan
ABSTRACT
Context Pancreatic neuroendocrine tumor (pNET) secretes various peptide hormones; however, calcitonin hypersecretion is rare. Its clinicopathological significance and treatment is still controversial. Case report A 43 year-old Japanese man presented severe watery diarrhea and a large mass in the pancreatic tail. Blood concentration of VIP was elevated to 649 pg/mL (reference range: 0-100 pg/mL), and calcitonin to 66,700 pg/mL (reference range: 15-86 pg/mL). There was no tumor in other endocrine organs. The resected tumor was composed of 80% calcitonin-positive cells and 10% VIP-positive cells. After the operation, the levels of VIP and calcitonin were decreased to 44 and 553 pg/mL, respectively, and diarrhea was improved. The mRNA of somatostatin receptor (SSTR) subtypes 2, 3 and 5 in the tumor tissue were increased 22.8, 25.1, and 37.0-fold of those of normal pancreas, respectively. At 19 months after the operation, blood calcitonin was again raised to 3,980 pg/mL, and metastatic tumors were found in the liver. With the treatment of long-acting somatostatin analogue, calcitonin was reduced to 803 pg/mL. The patient does not present endocrine symptom, and the size of the metastatic tumors appears stable. Conclusion From the world literature to date, co-secretion of VIP and calcitonin was documented in only 10 cases of pNET including the current case. Although VIP is a primary cause of diarrhea in these cases, high level of calcitonin may also influence on the clinical symptoms. Somatostatin analogue suppresses the levels of VIP and calcitonin, and the control proliferation is also expected when tumor cells express SSTRs.
INTRODUCTION
Pancreatic neuroendocrine tumor (pNET) is a rare neoplasm, and they constitute approximately 1 to 2% of the neoplasm of the pancreas. pNET releases various hormones such as insulin, glucagon, somatostatin, PP and VIP. However, the production and secretion of calcitonin is rare. To date, only 9 cases with co-secretion of VIP and calcitonin were reported in the world literature [1, 2, 3, 4, 5, 6, 7, 8]. Most of these cases manifest clinically watery diarrhea, hypokalemia and achlorhydria (WDHA) syndrome, which is intractable to the treatment except for surgery. However, clinical significance of high level of calcitonin and the treatment of calcitonin-producing tumor is not fully understood. Here, we present clinicopathological features of pNET with excessive production of VIP and calcitonin and the effect of somatostatin analogue on the tumor growth.
CASE REPORT
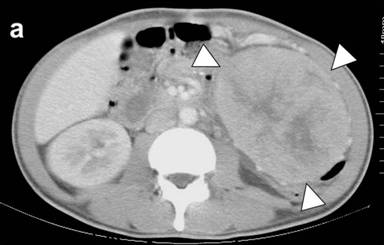
A Japanese man at age of 43 years attended at our hospital, complaining of severe general fatigue and weight loss of 10 kg in the last 3 months. He had more than 10 times movements of watery diarrhea a day. He was severely dehydrated, and blood urea nitrogen (BUN) and creatinine levels were increased to 211 mg/dL (reference range: 8-20 mg/dL) and 3.80 mg/dL (reference range: 0.61-1.04 mg/dL), respectively. With institutional treatment of hydration and correction of electrolytes, systemic examination was done. A large mass was palpable in the left upper abdomen, and CT demonstrated a wrist-sized tumor in the tail of the pancreas (Figure 1a). The serum K+ level was slightly decreased at 2.8 mEq/L (reference range: 3.5-5.0 mEq/L) and Ca2+ was 9.3 mg/dL (reference range: 8.4-10.4 mg/dL). Tumor markers such as alpha-fetoprotein (AFP), CEA and CA 19-9 were within the normal range. The blood levels of VIP and calcitonin were increased to 649 pg/mL (reference range: 0-100 pg/mL) and 66,700 pg/mL (reference range: 15-86 pg/mL), respectively. The glucagon level was slightly elevated, and other hormone levels were in normal range. There was no palpable nodule in the thyroid or neck region. CT and MRI detected no other tumor except the pancreatic tumor, and the accumulation of 18F-fluorodeoxy-glucose was detected only in the pancreas by PET. On day 5 after the admission, intracutaneous injection of octreotide was started at a dose of 100 μg/day, and on day 10 the dose was increased to 200 μg/day. The bowel movement was reduced, and general condition was improved. On day 33, the patient underwent pancreaticosplenectomy and partial resection of the transverse colon.



|
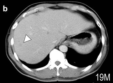
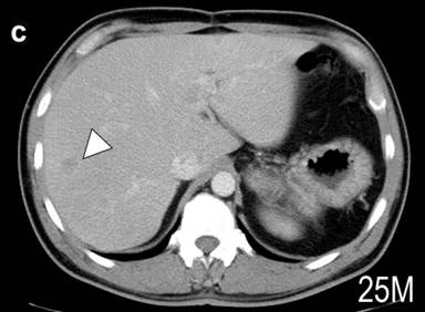
Figure 1. CT scan image of the abdomen. a. Large tumor was found at the tail of the pancreas (arrow heads). The CT scan of the liver 19 months (b.) and 25 months (c.) after the operation. Arrowheads indicate one of the metastatic tumors. The size appeared unchanged at 25 months. |
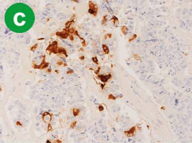
The resected tumor measured 14.5 cm in diameter (Figure 2a). There was no invasion to the spleen or the colon. The cut surface was pale tan, and there were foci of hemorrhage. Histologically, the tumor was composed of trabecular proliferation of medium to large sized cell with lightly eosinophilic cytoplasm (Figure 2b). Angioinvasion was frequently observed. Mitotic figure was counted as 3/10 high power fields, and MIB1 index was estimated as 4.8%. Immunohistochemically, the cells were positive for chromogranin A, synaptophysin and CD56. VIP was positively immunostained in approximately 10% of tumor cells (Figure 2c), whereas calcitonin was positive in 80% of cells (Figure 2d). PP and somatostatin-positive cells were less than 5%. The cells were negative for insulin, glucagon, gastrin and serotonin. Metastasis was found in 2 out of 2 lymph nodes. A pathological diagnosis of neuroendocrine tumor, G2 with production of VIP and calcitonin was made.




|
Figure 2. The macroscopic and histological appearance of the resected tumor. a. The resected tumor was solid, and there was a small focus of hemorrhage on the cut surface (scale equal to 10 cm). b. The tumor cells had lightly eosinophilic cytoplasm and proliferated around the blood vessels. c. Approximately 10% of tumor cells were immunostained with VIP. d. The most of the tumor cells were positive for calcitonin. |
The expression levels of somatostatin receptor (SSTR) subtypes were determined by the method reported by Nakayama et al. [9]. The mRNA levels of SSTR subtypes 2, 3 and 5 were increased 22.8, 25.1 and 37.0-fold of those of normal pancreas, respectively (Case #16 in Nakayama et al. [9]). By immunostaining, the expression of SSTR2 was found mainly in the cytoplasm of the tumor cells and semiquantitatively scored as 1 by the method described by Volante et al. [10].
After the operation, VIP and calcitonin levels were decreased to 44 and 553 pg/mL, respectively, and diarrhea disappeared. Twelve months after the operation, however, the calcitonin level was gradually increased, and 19 months it reached at 3,980 pg/mL. CT demonstrated several small metastatic tumors in the liver (Figure 1b). Treatment with intramuscular injection of long-acting octreotide at a dose of 20 mg/month was started. Twenty-five months, the calcitonin was reduced to 803 pg/mL, and the patient has no endocrine symptom. The sizes of metastatic tumors in the liver appear unchanged (Figure 1c).
DISCUSSION
pNET with production and secretion of calcitonin is rare. There were only a few cases of pNET with production of calcitonin alone [11]; however, in most cases calcitonin was found to be co-secreted with other hormones such as insulin, somatostatin, pancreatic polypeptide and VIP. As shown in the current case, co-secretion of VIP and calcitonin was documented to date in only 9 cases (Table 1) [1, 2, 3, 4, 5, 6, 7, 8]. Previous 9 cases were all women, and ours was only one for man. The median age was 53-year-old. All patients presented severe diarrhea with or without dehydration.
|
Table 1. Reported cases of pNET with VIP and calcitonin secretion. |
|||||||
|
Case |
Author |
Age/Sex |
Symptoms |
VIP (reference range) |
Calcitonin (reference range) |
Location |
Size (cm) |
|
#1 |
Rambaud [1] |
38/Female |
Diarrhea |
1,030 (0-60 pg/mL) |
1,710 (0-100 pg/mL) |
Body |
Not described |
|
#2 |
Yamaguchi [2] |
30/Female |
Diarrhea |
1,000 (0-100 pg/mL) |
130 (0-50 pg/mL) |
Body (multiple) |
2 |
|
#3 |
Yamaguchi [2] |
55/Female |
Diarrhea |
1,500 (0-100 pg/mL) |
3,400 (0-50 pg/mL) |
Head |
14 |
|
#4 |
Crowley [3] |
68/Female |
Diarrhea |
802 (0-20 pmol/l) |
125 (0-0.3 ng/ml) |
Tail |
3 |
|
#5 |
Eskens [4] |
54/Female |
Diarrhea |
1,504 (0-210 pg/mL) |
235 (0-28 pmol/l) |
Head, body |
6 |
|
#6 |
Ichimura [5] |
50/Female |
Diarrhea |
7,200 (0-100 pg/mL) |
2,000 (0-74 pg/mL) |
Tail |
6 |
|
#7 |
Mullerpatan [6] |
56/Female |
Diarrhea, dehydration |
Not tested |
6,520 (0-50 pg/mL) |
Head |
4.4 |
|
#8 |
Jackson [7] |
61/Female |
Diarrhea, weight loss |
565 (0-100 pg/mL) |
454 (0-10 pg/mL) |
Tail |
2-3 |
|
#9 |
Nasir [8] |
52/Female |
Diarrhea |
400 (0-50 pg/mL) |
5,055 (0-4 pg/mL) |
Tail |
9.5 |
|
#10 |
Current case |
44/Male |
Diarrhea, dehydration |
649 (0-100 pg/mL) |
66,700 (15-86 pg/mL) |
Tail |
14.5 |
|
Table 1. Continues. |
||||
|
Case |
Diagnosis |
Immunostaining |
Metastasis |
MEN |
|
#1 |
Islet cell carcinoma |
Som (few), Calcitonin (-), Ins (-), Glu (-) |
Liver, ovary, peritoneal dissemination |
- |
|
#2 |
VIPoma, malignant |
VIP (+), Calcitonin (+) |
None |
MEN1 |
|
#3 |
Islet cell carcinoma |
VIP (-), Calcitonin (-), |
Invasion to the aorta |
- |
|
#4 |
VIP secreting tumor |
VIP (+), Calcitonin (+), Som (+), Gas (+) |
None |
- |
|
#5 |
Islet cell tumor |
Not described |
Liver |
- |
|
#6 |
Islet cell adenoma |
VIP 13.6 (0-0.0079) µg/g, Calcitonin 3.1 (0-0.002) µg/g |
None |
- |
|
#7 |
Calcitonin secreting tumor |
VIP (scattered), Calcitonin (++) |
None |
- |
|
#8 |
Islet cell adenoma |
Not described |
None |
- |
|
#9 |
PDEC |
VIP (-), Calcitonin (-), Ser (F), Ins (F), Glu (F) |
Liver |
None |
|
#10 |
NET, G2 |
VIP (10%), Calcitonin (70%), PP (F), Som (F), Ins (-), Glu (-) |
Lymph nodes, liver |
None |
|
F: focal; Gas: gastrin; Glu: glucagon; Ins: insulin; MEN: multiple endocrine neoplasia; PDEC: poorly differentiated endocrine carcinoma; pNET: pancreatic neuroendocrine tumor; PP: pancreatic polypeptide; Ser: serotonin; Som: somatostatin |
||||
When serum calcitonin levels are increased in patients with pNET, thyroid should be carefully examined to explore the possibility of the presence of medullary thyroid carcinoma. Among the reported cases of pNET with co-secretion of VIP and calcitonin, only one case was reported as multiple endocrine neoplasia type 1 (MEN1; Case #2 in Table 1), in which pituitary adenoma was found at autopsy [2]. The current case underwent systemic examination, and no tumor was demonstrated in other endocrine organs. Significant decrease in calcitonin after the resection of pNET and demonstration of calcitonin in the resected tumor by immunostaining further confirmed that the resected tumor was the source of calcitonin.
Hypersecretion of VIP causes WDHA syndrome. VIP activates the specific G-protein coupled receptor expressed on the intestinal mucosa and induces the secretion of Na+, K+ and water to the intestinal lumen. However, diarrhea can be caused by other hormones and chemical mediators such as gastrin, calcitonin gene related protein, serotonin, histamine and prostaglandin E2 and F2 alpha [12]. Calcitonin is involved in calcium metabolism. It inhibits the release of Ca2+ from the bone and induces the re-absorption of Ca2+ in the renal tubules. It was also shown that calcitonin induces the intestinal secretion of electrolytes and water in the jejunum [13]. Diarrhea was documented in extensive metastasis of medullary thyroid carcinoma with high calcitonin level greater than 30,000 pg/mL [14].
In the current case, the calcitonin reached a value of 66,700 pg/mL, and the level was 776 times higher than the upper limit of the reference range. The level is the highest among the reported cases (Table 1), and it was higher than the level that gastrointestinal symptom can be induced [14]. The VIP level was only 6.5 times higher than the upper limit. The histological composition of the tumor cells producing hormones paralleled with the serum hormone levels. Multiple hormones were detected on the section of the tumor, but serotonin and gastrin, which may cause gastrointestinal symptoms, were negative. In addition to the intestinal symptoms, Ca2+ metabolism may be modulated by excessive calcitonin. Hypercalcemia, which can be found in half of the cases of VIP-secreting pNET [14], was not present in the current case. This may be due to the inhibitory effect of calcitonin on the renal tubular resorption of Ca2+ and osteoclast-mediated bone resorption. It is thus plausible that calcitonin may have an influence on clinical symptoms in our case. It may be necessary to suppress high level of calcitonin as well as VIP, in case that pNET produces and secretes high amount of calcitonin.
Somatostatin analogue is used for the treatment of endocrine symptoms caused by hypersecretion of hormones from pNET. The analogue stimulates mainly SSTR2 and inhibits the secretion of hormones from neoplastic endocrine cells [15]. In the current case, octreotide suppressed levels of VIP and calcitonin and alleviated diarrhea in the preoperative period. Such a reduction of calcitonin by octreotide was previously documented in the case of pNET, in which calcitonin reached high level [8]. It is thus conceivable that somatostatin analogue is effective for the control the release of calcitonin form pNET.
On the other hand, in vitro studies suggested the inhibitory effect of the analogues on the proliferation of the neoplastic endocrine cells through SSTR subtypes 3 and 5 [16, 17]. In patients with hepatic metastasis of midgut neuroendocrine tumors, the octreotide treatment improved the prognosis of the disease, although the most favorable effect was observed when the tumor occupancy in the liver was less than 10% [18]. In the current case, the expression of mRNA of SSTR subtypes 2, 3 and 5 were determined by semiquantitative method, and the occupancy of metastatic tumors was less than 5%. The size of the metastatic nodes appeared unchanged by the treatment of octreotide. Because the observation duration is still short, the effect of octreotide on the growth of tumors in the liver needs to be carefully monitored.
CONCLUSION
The production and secretion of calcitonin is very rare in pNET. High level of calcitonin may modify gastrointestinal and systemic symptoms. Somatostatin analogue is expected to reduce the levels of calcitonin and co-secreted hormones and to stabilize the growth of the tumor.
Received November 16th, 2011 - Accepted January 12th, 2012
Keywords Octreotide; Receptors, Somatostatin; WDHA syndrome
Abbreviations SSTR: somatostatin receptor; WDHA: watery diarrhea, hypokalemia, achlorhydria
Sources of support None
Grant support None
Conflicts of interest None
Correspondence
Ryuichi
Wada
Department of Pathology and Molecular Medicine
Hirosaki University Graduate School of Medicine
5 Zaifu-cho
Hirosaki 036-8562
Japan
Phone: +81-172.39.5025
Fax: +81-172.39.5026
E-mail: ryuichi@cc.hirosaki-u.ac.jp
References
1. Rambaud JC, Modigliani R, Matuchansky C, Bloom S, Said S, Pessayre D, et al. Pancreatic cholera. Sudies on tumoral secretions and pathophysiology of diarrhea. Gastroenterology. 1975;69:110-122. (More details: [1]).
Yamaguchi K, Abe K, Adachi I, Tanaka M, Ueda M, Oka Y, et al. Clinical and hormonal aspects of the watery diarrhea-hypokalemia-achlorhydria (WDHA) syndrome due to vasoactive intestinal polypeptide (VIP)-producing tumor. Endocrinol Jpn. 1980;27 Suppl 1:79-86. (More details: [2]).
Crowley PF, Slavin JL, Rode J. Massive amyloid deposition in pancreatic vipoma: a case report. Pathology. 1996;28:377-379. (More details: [3]).
Eskens FA, Roelofs EJ, Hermus AR, Verhagen CA. Pancreatic islet cell tumor producing vasoactive intestinal polypeptide and calcitonin. Anticancer Res. 1997;17:4667-4670. (More details: [4]).
Ichimura T, Kondo S, Okushiba S, Morikawa T, Katoh H. A calcitonin and vasoactive intestinal peptide-producing pancreatic endocrine tumor associated with the WDHA syndrome. Int J Gastrointest Cancer. 2003;33:99-102. (More details: [5]).
Mullerpatan PM, Joshi SR, Shah RC, Tampi CS, Doctor VM, Jagannath P, et al. Calcitonin-secreting tumor of the pancreas. Dig Surg. 2004;21:321-324. (More details: [6]).
Jackson C, Buchman AL. Calcitonin-secreting VIPoma. Dig Dis Sci. 2005;50:2203-2206. (More details: [7]).
Nasir A, Gardner NM, Strosberg J, Ahmad N, Choi J, Malafa MP, et al. Multimodality management of a polyfunctional pancreatic endocrine carcinoma with markedly elevated serum vasoactive intestinal polypeptide and calcitonin levels. Pancreas. 2008;36:309-313. (More details: [8]).
Nakayama Y, Wada R, Yajima N, Hakamada K, Yagihashi S. Profiling of somatostatin receptor subtype expression by quantitative PCR and correlation with clinicopathological features in pancreatic endocrine tumors. Pancreas. 2010;39:1147-1154. (More details: [9]).
Volante M, Brizzi MP, Faggiano A, La Rosa S, Rapa I, Ferrero A, et al. Somatostatin receptor type 2A immunohistochemistry in neuroendocrine tumors: a proposal of scoring system correlated with somatostatin receptor scintigraphy. Mod Pathol. 2007;20:1172-1182. (More details: [10]).
Delis S, Bakoyiannis A, Giannakou N, Tsigka A, Avgerinos C, Dervenis C. Asymptomatic calcitonin-secreting tumor of the pancreas. A case report. JOP. 2006;7:70-73. (More details: [11]).
Ebert EC. The thyroid and the gut. J Clin Gastroenterol. 2010;44:402-406. (More details: [12]).
Gray TK, Bieberdorf FA, Fordtran JS. Thyrocalcitonin and the jejunal absorption of calcium, water, and electrolytes in normal subjects. J Clin Invest. 1973;52:3084-3088. (More details: [13]).
Norton J, Wells S. Medullary thyroid carcinoma and multiple endocrine neoplasia type 2 syndromes. In: Friesen S, Thompson N, eds. Surgical endocrinology Clinical syndromes. 2nd ed. Philadelphia: Lippincott; 1990:359-375. (More details: [14]).
Guillermet-Guibert J, Lahlou H, Pyronnet S, Bousquet C, Susini C. Endocrine tumours of the gastrointestinal tract. Somatostatin receptors as tools for diagnosis and therapy: molecular aspects. Best Pract Res Clin Gastroenterol. 2005;19:535-551. (More details: [15]).
Sharma K, Patel YC, Srikant CB. Subtype-selective induction of wild-type p53 and apoptosis, but not cell cycle arrest, by human somatostatin receptor 3. Mol Endocrinol. 1996;10:1688-1696. (More details: [16]).
Sharma K, Patel YC, Srikant CB. C-terminal region of human somatostatin receptor 5 is required for induction of Rb and G1 cell cycle arrest. Mol Endocrinol. 1999;13:82-90. (More details: [17]).
Rinke A, Müller HH, Schade-Brittinger C, Klose KJ, Barth P, Wied M, et al. Placebo-controlled, double-blind, prospective, randomized study on the effect of octreotide LAR in the control of tumor growth in patients with metastatic neuroendocrine midgut tumors: a report from the PROMID Study Group. J Clin Oncol. 2009;27:4656-4663. (More details: [18]).