CASE REPORT
JOP. J Pancreas (Online) 2012 Mar 10; 13(2):239-242.
Total Pancreatectomy and Islet Auto-Transplantation as Treatment for Ampullary Adenocarcinoma in the Setting of Pancreatic Ductal Disruption Secondary to Acute Necrotizing Pancreatitis. A Case Report
Uroghupatei P Iyegha, Javariah I Asghar, Gregory J Beilman
Department of Surgery, University of Minnesota. Minneapolis, MN, USA
ABSTRACT
Context Ampullary adenocarcinoma is the third most common periampullary malignancy. Obstruction of the main pancreatic duct is linked with an increased incidence of acute pancreatitis. Acute necrotizing pancreatitis leading to pancreatic duct disruption carries significant morbidity. When these conditions occur in combination, the treatment can be drastically limited as pancreaticoduodenectomy is not a viable option in the setting of friable ductal tissue, which precludes pancreatic ductal anastomosis and can lead to the complications of leak or stricture. Case report Our patient is a 72-year-old woman who developed pancreatic ductal disruption and splenic vein thrombosis as a result of acute necrotizing pancreatitis. Concurrently, she was found to have an ampullary adenoma with high-grade dysplasia. Her treatment options were limited, as she was neither a candidate for pancreaticoduodenectomy given the ductal disruption nor total pancreatectomy, which would render her a brittle diabetic. She was successfully treated with total pancreatectomy and islet auto-transplantation thereby resecting her ampullary lesion while both avoiding a pancreatic anastomosis and preserving pancreatic endocrine beta-cell function. Conclusion We report a case where total pancreatectomy and islet auto-transplantation can be considered as a viable option for treatment of ampullary lesions in a setting where standard surgical options are suboptimal.
INTRODUCTION
Ampullary adenocarcinoma is the third most common periampullary malignancy, with an incidence of 6 new cases per million persons per year [1]. Peak incidence occurs in the sixth or seventh decade of life with a slightly greater propensity among males. Patients typically present with waxing and waning symptoms of biliary obstruction. Due to lower pathologic aggressiveness in the initial stages, the tumors are resected early on in the course of the disease, thereby improving 5-year survival (up to 55%) when compared to pancreatic ductal adenocarcinoma, for example, which has a markedly lower 5-year survival. Most benign ampullary growths can be treated with endoscopic resection or with open surgical resection. Invasive tumors have been historically treated with pancreaticoduodenectomy.
CASE REPORT
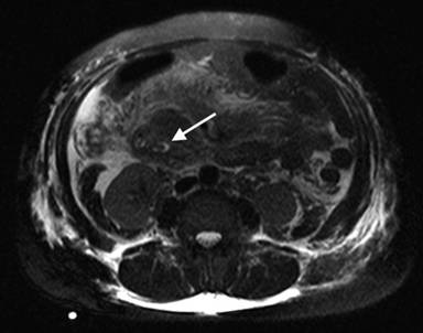
Our patient is a72-year-old woman who initially presented to an outside hospital in January 2011 with severe epigastric abdominal pain and near syncopal episode. Initial diagnostic tests revealed elevated amylase, lipase and transaminase levels. An abdominal computed tomography (CT) scan showed a diffusely edematous pancreas with peripancreatic inflammation. She was treated conservatively with bowel rest and appropriate fluid resuscitation. Once stable, she underwent magnetic retrograde cholangiopancreatography (MRCP), which indicated an intraluminal filling defect in the conjoined portion of the common bile duct and pancreatic duct near the ampulla suspicious for stone, clot or tumor (Figures 1 and 2), in addition to the marked pancreatic edema and peripancreatic inflammation (Figure 3). The patient then underwent endoscopic retrograde cholangiopancreatography (ERCP), which confirmed a lesion in the ampulla of Vater. This lesion was biopsied and thereby only partially resected. Additionally, a pancreatic stone was discovered and removed. The patient received biliary sphincterotomy and stent placement. The final pathology of the biopsy specimen revealed duodenal papillary adenoma with high-grade dysplasia. The patient convalesced from this acute episode and was discharged with planned follow-up to discuss the treatment strategy for the ampullary lesion.

|
Figure 1. Coronal MRCP (T2 HASTE sequence, thin slice) image demonstrating intraluminal filling defect due to ampullary lesion (white arrow). |

|
Figure 2. Axial MRCP (T2 HASTE sequence, thin slice) image demonstrating intraluminal filling defect due to ampullary lesion (white arrow). |

|
Figure 3. Axial MRCP image demonstrating significant pancreatic edema and peripancreatic inflammation (white arrows). |
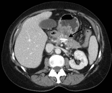
Unfortunately, our patient went on to have quite a complicated course after the index admission. She was readmitted several times with recurrent symptoms of abdominal pain and vomiting over the next several months. She underwent drainage of a peripancreatic fluid collection that was felt to be an abscess and eventually developed necrosis of the mid portion of the pancreas, which resulted in ductal disruption. In addition, she developed thrombosis of the splenic vein. She underwent ERCP and stent placement across the disrupted duct (Figure 4) and was managed over this time period with total parenteral nutrition and bowel rest.

|
Figure 4. Coronal CT image demonstrating pancreatic ductal stent (black arrow). |
Pancreaticoduodenectomy was considered for management of her papillary adenoma with high-grade dysplasia; however, there was significant concern for performing a pancreatic anastomosis in the setting of recent acute necrotizing pancreatitis. Total pancreatectomy was also considered but rendering the patient a brittle diabetic was felt to be prohibitive. Alternatively, total pancreatectomy with islet auto-transplantation was presented as an option that would adequately treat the ampullary adenoma, avoid an anastomosis in a high-risk field while still preserving islet cell function. As total pancreatectomy with islet auto-transplantation also includes splenectomy, the splenic vein thrombosis would be adequately treated as well. The patient was referred to our institution given our extensive experience with this procedure.
The patient underwent a thorough multi-disciplinary evaluation to optimize her for surgery by endocrinology, internal medicine, gastroenterology and general surgery. All laboratory levels, including baseline insulin levels and liver function tests were well within normal limits. Her nutritional status was satisfactory; as she had returned to an oral diet with improved appetite while still being maintained on nocturnal total parenteral nutrition. She also received appropriate vaccinations in anticipation of splenectomy two weeks prior to surgery. She successfully underwent total pancreatectomy with islet auto-transplantation in June 2011, which she tolerated well. She received 1,326 islet equivalents per kilogram of body weight. Post-operatively, she required a small dose of daily insulin with meal correction. She was discharged from the hospital two weeks later on supplemental enteral feeds, which were eventually discontinued. Unfortunately, her final pathology indicated a 0.3 cm invasive adenocarcinoma of the ampulla within a background of extensive adenoma with high-grade dysplasia. The margins were widely negative with a final pathologic stage of pT1N0MX G1. On a 3-month follow-up visit, she demonstrated steady and gradual improvement with improved appetite, weight gain and required only moderate serum glucose correction.
DISCUSSION
We have presented a patient with a complex problem that served as a rare indication for total pancreatectomy and islet auto-transplantation. The pancreatic duct disruption secondary to necrotizing pancreatitis had been temporized by ERCP and stent placement; however, the diagnosis of papillary adenoma dictated that appropriate intervention be performed in a timely fashion. Not only did the papillary adenoma represent the likely etiology of her acute necrotizing pancreatitis [2, 3, 4] but it also represented a pre-malignant lesion that, with the presence of high-grade dysplasia, may already harbor invasive carcinoma, as the final pathology report indeed revealed.
The treatment options for this patient were limited and associated with significant pitfalls. Pancreaticoduodenectomy, the standard of care for invasive cancer, would have effectively treated the ampullary lesion. However, the reconstruction would have been undermined by the pancreatic necrosis present at the usual pancreaticojejunostomy site as a result of the patient’s recent episode of acute necrotizing pancreatitis. A pancreatic anastomosis in this setting would have had a markedly elevated risk of leakage and subsequent morbidity. Total pancreatectomy, on the other hand, also effectively treats the lesion and yields the benefit of avoiding a pancreatic anastomosis. However, this option would have left the patient a brittle diabetic with its resultant morbidity. Another option for benign lesions that has gained some recent popularity is endoscopic resection. However, this option in the setting of high-grade dysplasia is associated with a high risk of recurrence and is suboptimal treatment for potential coexistent invasive adenocarcinoma that can be found in up to 50% of adenomas with high-grade dysplasia [5]. In addition, it is associated with a risk of post-procedural pancreatitis [6] that may have had devastating consequences in this patient.
Total pancreatectomy with islet auto-transplantation afforded an opportunity to adequately treat the lesion with pancreatic resection while also preserving beta-cell function and minimizing or avoiding brittle diabetes. Initially performed in 1977 at the University of Minnesota [7], total pancreatectomy with islet auto-transplantation is being used with increasing frequency for treatment of chronic pancreatitis [8]. Total pancreatectomy with islet auto-transplantation has been successful in preventing brittle diabetes in the majority of patients undergoing this procedure with up to 71% of patients in the recent era (2001-2007, n=106) demonstrating either full islet function (i.e. insulin independence, 33%) or partial islet function (euglycemia on once daily long-acting insulin, 32%) at one year post-transplant. Moreover, once islet function (full or partial) was established, it persisted, with rates of 85%, 68% and 57% at 2, 5 and 10 years, respectively [9].
While this procedure is performed almost exclusively for chronic pancreatitis, other indications have been reported. Liu et al., reported a case of pancreaticoduodenectomy for pancreatic adenocarcinoma of the head of the pancreas. The procedure was complicated by life-threatening leakage of the pancreaticojejunostomy that was salvaged with completion pancreatectomy and islet auto-transplantation [10]. This patient remained dependent on insulin (16-18 U/day) at one-year follow-up. Unfortunately, he died of local tumor recurrence 2.5 years after transplant without radiographic evidence of tumor metastases in the liver [11].
Similarly, Alsaif et al. published a case of total pancreatectomy with islet auto-transplantation performed for management of uncontrolled pancreatic fistula complicating pancreaticoduodenectomy [12]. This patient was insulin independent at discharge and remained so without evidence of tumor recurrence at one-year follow-up.
Of obvious concern is the potential to inoculate the liver with malignant cells during the portal vein infusion of islet cells. This theoretical risk is not only concerning for the cases above where total pancreatectomy with islet auto-transplantation was performed in the setting of frank pancreatic adenocarcinoma, but also in patients with chronic pancreatitis who are at increased risk for development of malignancy. To date, there are no published reports of liver metastases occurring after total pancreatectomy with islet auto-transplantation. Indeed, even the patient noted above who died of local recurrence of pancreatic adenocarcinoma had no evidence of liver metastases.
Lee et al. published their data on total pancreatectomy with islet auto-transplantation in Korea for indications other than chronic pancreatitis [13]. The majority of the 10-patient cohort underwent pancreatic resection for neoplasia: serous cystic adenomas (n=4), pseudopapillary neoplasms (n=3) and intraductal papillary mucinous neoplasms (IPMN, n=2), which are thought to be both precursor of and markers of malignancy. For the patients with IPMN, preoperative evaluation as well as intraoperative frozen section confirmed the disease to be focal (as opposed to multicentric) and confined to the body of the pancreas (negative ductal margin). Both lesions had moderate dysplasia and a background of adenoma. At 1-year follow-up, there was no evidence of recurrence or metastatic disease in the liver. In fact, none of their 10 patients had evidence of liver disease following total pancreatectomy with islet auto-transplantation.
The paucity of data regarding this issue makes it extremely difficulty to determine the true risk of malignancy. Nonetheless, it remains of serious concern and should certainly be considered when considering total pancreatectomy with islet auto-transplantation in the setting of a neoplastic process. If performed for this indication, the patient should be thoroughly counseled regarding this risk and should receive close follow-up for detection of this complication.
CONCLUSION
We have presented a case of total pancreatectomy and auto-islet transplantation for treatment of ampullary adenocarcinoma in the setting of recent acute necrotizing pancreatitis with mid pancreatic ductal disruption and splenic vein thrombosis. Total pancreatectomy with islet auto-transplantation should be considered if resources are available and standard therapeutic options are suboptimal.
Received November 21st, 2011 - Accepted February 1st, 2012
Key words Adenoma; Ampulla of Vater; Insulin; Pancreatectomy /methods; Pancreatitis, Acute Necrotizing; Transplantation, Autologous
Disclosures None
Conflicts of interest None
Correspondence
Greg J
Beilman
MMC 11
University of Minnesota
420 Delaware St. SE
Minneapolis, MN 55455
USA
Phone: +1-612.625.7911
Fax: +1-612.626.0439
E-mail: beilm001@umn.edu
References
1. Cameron JL, Cameron AM. Current Surgical Therapy, 10thEd. Philadelphia: Elsevier; 2011. (More details: [1]).
2. White SH, Nazarian NA, Smith AM, Balfour TW. Periampullary adenoma causing pancreatitis. Br Med J. 1981; 283(6290):527 (More details: [2]).
3. Guzzardo G, Kleinman MS, Krackov JH, Schwartz SI. Recurrent acute pancreatitis caused by ampullary villous adenoma. J Clin Gastroenterol. 1990; 12(2):200-202 (More details: [3]).
4. Van Esch AA, Drenth JP, te Morsche RH, Jansen JB, Nagengast FM. Recurrent idiopathic pancreatitis in familial adenomatous polyposis: a report of a case-series and review of the literature. Fam Cancer. 2007;6(3):275-280 (More details: [4]).
5. Kim JH, Kim JH, Han JH, Yoo BM, Kim MW, Kim WH. Is endoscopic papillectomy safe for ampullary adenomas with high-grade dysplasia? Ann Surg Oncol. 2009; 16(9):2547-2554 (More details: [5]).
6. Jung MK, Cho CM, Park SY, Jeon SW, Tak WY, Kweon YO, et al. Endoscopic resection of ampullary neoplasms: a single-center experience. Surg Endosc. 2009;23(11):2568-2574 (More details: [6]).
7. Sutherland DE, Matas AJ, Najarian JS. Pancreatic islet cell transplantation. Surg Clin North Am. 1978;58(2):365-382 (More details: [7]).
8. Blondet JJ, Carlson AM, Kobayashi T, Jie T, Bellin M, Hering BJ, et al. The role of total pancreatectomy and islet autotransplantation for chronic pancreatitis. Surg Clin North Am. 2007;87(6):1477-1501 (More details: [8]).
9. Sutherland DE, Gruessner AC, Carlson AM et al. Islet autotransplant outcomes after total pancreatectomy: a contrast to islet allograft outcomes. Transplantation. 2008;86(12):1799-1802 (More details: [9]).
10. Liu X, Förster S, Adam U, Schmidt W, Müller P, Hopt UT. Islet autotransplantation combined with total pancreatectomy for treatment of pancreatic adenocarcinoma. Transplantation Proc. 2001;33(1-2):662-663 (More details: [10]).
11. Förster S, Liu X, Adam U, Schareck WD, Hopt UT. Islet autotransplantation combined with pancreatectomy for treatment of pancreatic adenocarcinoma: a case report. Transplant Proc. 2004;36(4):1125-26 (More details: [11]).
12. Alsaif F, Molinari M, Al-Masloom A, Lakey JR, Kin T, Shapiro AM. Pancreatic islet autotransplantation with completion pancreatectomy in the management of uncontrolled pancreatic fistula after whipple resection for ampullary adenocarcinoma. Pancreas. 2006;32(4):430-431 (More details: [12]).
13. Lee BW, Jee JH, Heo JS, Choi SH, Jang KT, Noh JH, et al. The favorable outcome of human islet transplantation in Korea: experiences of 10 autologous transplantations. Transplantation. 2005;79(11):1568-1574 (More details: [13]).